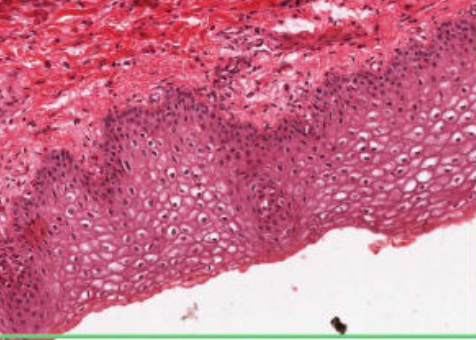
This is taken from the lip. What is the arrow pointing to?

The upper surface of the lip consists of hairy skin and the red arrow is pointing to a hair follicle
For the lips give
a) Mucosa
b) Fibers in connective tissue
c) Structures in the deep layers

a) Stratified squamous non-keratinising epithelium
b) sub-mucosa of collagen and elastin with small vessels to keep them moist
c) deep layers of skeletal muscle
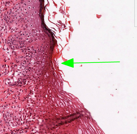
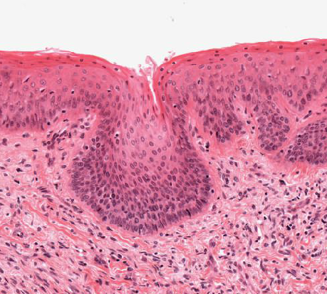
What is the arrow pointing to?

The abrupt transition between stratified squamous keratinising epithelium and non-keratinising epithelium
On the inner lip, what opens on to the surface instead of hair follicles?
Sebaceous glands (Fordyce’s spots)
The tongue contains two types of skeletal muscle fibers.
Intrinsic and extrinsic.
What is the difference?
Intrinsic fibers attach to the fibrous connective tissue of the underlying mucosa
Extrinsic fibers attach to the lower jaw
What type of epithelium is on
a) the ventral (upper) surface of the tounge
b) the dorsal (lower) surface of the tounge

Ventral = SSNKE
Dorsal = SSKE (constant abrasion)
This has been taken from the tounge. What is it?

A small serous salivary gland
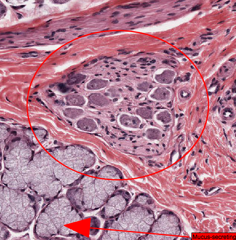
This has been taken from the tongue. What is?

Mucus secreting salivary gland
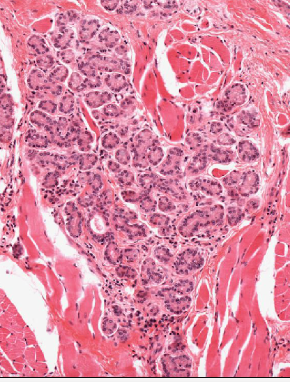
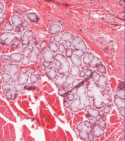
Where has this been taken from?

The tongue.
Contains mixed sero-mucous salivary glands
Lymph nodes - particullary in the posterior 1/3rd of tounge (linguninal tonsils)
Coarse multi-directional skeletal muscle bundles
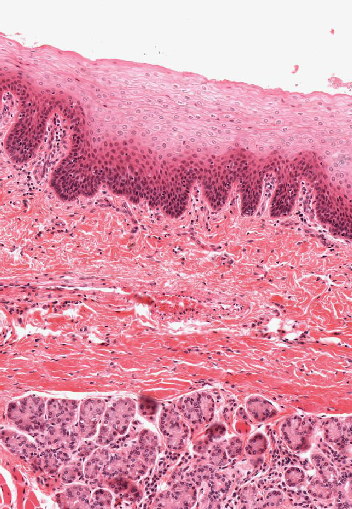
Where has this been taken from?

The upper surface of the tounge
SSKE
Connective tissue
2 types of salivary glands
Large bundles of stirated muscle
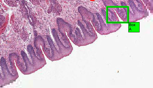
The dorsal tongue surface has complex folds. What are these called and give the two types?

Papillae
Filiform papillae (threadlike) = most common, tall, pointed & cover whole anterior 2/3
Fingiform papillae (mushroom-like) = @ tip and sides. Have pale staining, spindle shaped taste buds w/ nerve & synaptic vesicles
Circumvallate papillae (V shaped row) @ margin between the ant 2/3 and post 1/3 of tongue
Where are the following tastes detected on the tongue?

a) Sweet
b) Salty
c) Sour
d) Bitter
a) Sweet = tip
b) Salty = front/side
c) Sour = further back
d) Bitter = whole back
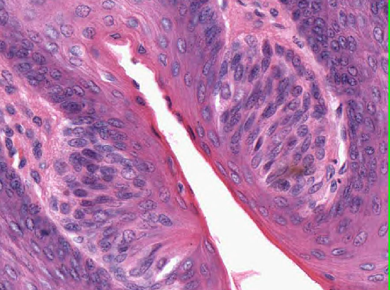
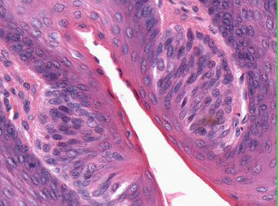
What is shown here?

Part of the surface of the tongue.
2 paler staining taste buds embedded in the opposing sides of adjacent fungiform papillae.
What type of papillae is this?

Fungiform papillae
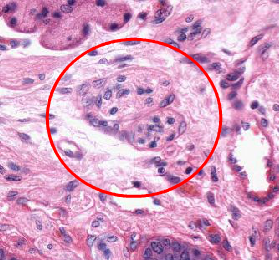
This has been taken near the surface of the tongue. What is it?

Small nerve in the sub-mucosa of the tongue
The parotid gland:

a) What is shown here?
b) What are the surrounding cells?
The parotid gland:
a) What is shown here? Stirated duct
b) What are the surrounding cells? Serous acini
The Parotid Gland:

a) What enzyme is the serous secretion rich in?
b) Where in the oral cavity do the ducts enter the oral cavity?
The Parotid Gland:
a) What enzyme is the serous secretion rich in? Alpha amylase (Starch digestion)
b) Where in the oral cavity do the ducts enter the oral cavity? Adjacent to the 1st upper molar teeth
The Parotid Gland:
Describe:
a) The secretory cells
b) The duct cells
Secretory cells = Pyramidal, spherical nuclei, basal cyt full of RER, apex contains prominent secretory granules (pink staining)
Duct cells = simple cuboidal (stratified @ distal end)
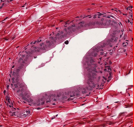
What is this?

A large parotid duct lined by stratified cuboidal epithelium.
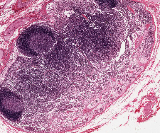
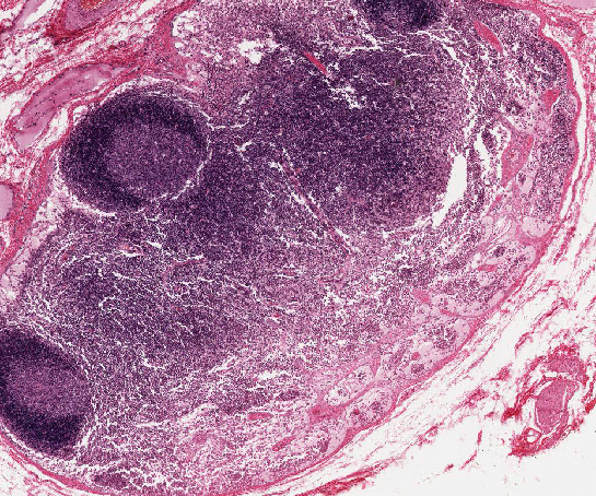
What is this?

This is a large lymph node, a common feature of the parotid gland

The Parotid Gland

C - bottom is a nerve
D - is a lrage lymph node
Parotid saliva contains IgA (from plasma), combines with proteinous pieces so reaches intestine unmodified by amylase
Stirated duct - from invaginations, indicative of water reabsorbtion
Source of epidermal growth factor
a) Which gland has this been taken from?
c) What type of secretion does it produce?
b) What type of cells have stained pale?

Sublingual salivary gland
What is the arrow pointing to?

A darker staining duct of the sublingual salivary gland with simple cuboidal epithelium
Major consituent = polysaccharide
The sublingunal salivary gland:
What is the following structure?

Parasympathetic nerve ganglion showing a collection of nerve bodies.
Involved in secretion regulation