What are the advanatages of abdominal xrays?
5
—Kidney and gall bladder stones
What kind of xrays may you need for abdominal views?
2
What do you get better imaging with?
2
May need upright and lateral decubitus films as well as flat plates
Better imaging with CT or ultrasound
Abdominal xray
Indications 5
Not indicated for 3
Indications

Not indicated
Interpretation
Determine ownership, adequacy, and technical quality of the film
THEN?
3
What are we looking for with gases in general?
Normal and abnormal gas distribution
What are we looking for with gas in the small bowel?
(normal findings 4)
What are we looking for with gases in the large bowel?
(normal findings 3)
What are abnormal findings in gas patterns?
5
What is the soft tissue in the LUQ, size of a fist?
spleen
Can be seen, obscured, or not at all
Kidney shape?
Which is higher than the other?
What size?
Bean shaped
Left higher than right
About 3 vertebrae in size
Explain where you will find the psoas muscles on the xray?
Forms straight lines extending inferolaterally from lumbar spine to lesser trochanter of femur
Bladder appears how on the xray?
If full appears as soft tissue density in pelvis
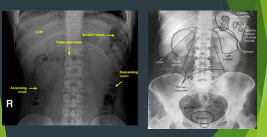
Normal Gas Pattern
See picture

What is these xrays showing?
What symtpoms does he have from this pathology? 3

SMALL BOWEL OBSTRUCTION
TWO PATIENTS WITH
What are these two xrays showing?
What symptoms come with this pathology? 3

LARGE BOWEL OBSTRUCTION
TWO PATIENTS WITH
What are these two xrays showing?
Often occurs when?

Ileus
After surgery
What are these xrays showing?

Constipation (full of stuff/stool)
What are these xrays showing
1?
2?

Abdominal organs

Find the Foreign Body!

Indications for an Upper GI series?
4
Indications

Upper GI series contraindications?
4
Risk? 1
Contraindications
Risk