GI neonatal pathology Flashcards

(24 cards)

1
Q

What is the GI water cycle?

A
  • Secretions and intake ~9L/day
  • SI is major absorptive site
  • Significant absorption in colon (esp. horses)
How well did you know this?
1
Not at all
2
3
4
5
Perfectly
2
Q

What are the mechanisms for diarrhea?

A
  • Malabsorption - osmotic diarrhea, usually SI
  • Hypersecretion - structurally intact mucosa
    • occurs as a result of net efflux of fluid and electrolytes independent of permeability changes or absorptive capacity
  • Exudation - increased capillary pressure or epithelial permeability (PLE, Lymphangiectasia is a good ex)
  • Hypermotility
How well did you know this?
1
Not at all
2
3
4
5
Perfectly
3
Q

What are the common causes of diarrhea in pigs from most to least?

A
  • Atrophic enteritis
  • idiopathic
  • E.coli (ETEC)
  • Rotavirus
  • C. diff
  • C. perf type A
  • TGE
  • Coccidia
  • C. diff type C
How well did you know this?
1
Not at all
2
3
4
5
Perfectly
4
Q

What are the common causes of diarrhea in calves?

A
  • Rotavirus
  • Cryptosporidium
  • Coronavirus
  • Corona/crypto mix
  • Rota/corona mix
  • Rota/crypto mix
How well did you know this?
1
Not at all
2
3
4
5
Perfectly
5
Q

What are the Bovine viral agents for neonatal diarrhea?

A
  • Bovine Viral Enteritis
    • multiplication in villous intestinal epithelial cells
    • Fecal - oral transmission
  • Bovine Enteric CoV
    • common
    • often involves other agents (rota, crypto)
    • Causes fibrinonecrotic colitis
  • Bovine Rotavirus
    • Ubiquitous- mostly group A/B/C rotavirus
    • mostly subclinical - severity is a function of exposure dose, age, immunity
    • Co-infections common (corona, crypto)
How well did you know this?
1
Not at all
2
3
4
5
Perfectly
6
Q

What is the Dx approach for viral ovine neonatal diarrhea?

A
  • Fixed SI/colon for histology and IHC
    • Fresh/frozen for viral detection (PCR, panels)
How well did you know this?
1
Not at all
2
3
4
5
Perfectly
7
Q

What are the viral agents responsible for swine neonatal diarrhea?

A
  • Transmissible gastroenteritis Virus (TGE)
    • Coronavirus historically common in suckling/nursery pigs
    • mostly eradicated today by vaccination
    • Cause of diarrhea, vomiting - any age
  • Porcine epidemic diarrhea Virus (PED)
    • TGE-like coronavirus
    • Emerged in US Spring 2013
    • NOT detected by TGE molecular tests
  • Porcine delta coronavirus (PDCoV)
    • Similar clinical signs, detected in wake of PED
    • Probably less virulent
  • Swine acute diarrhea syndrome (SADS)
  • Swine rotavirus group A/B/C
  • Rotavirus:
    • ubiquitous
    • mostly subclinical
    • severity depends on dose, age, immunity
How well did you know this?
1
Not at all
2
3
4
5
Perfectly
8
Q

How doe viral agents cause diarrhea in swine neonates?

A
  1. Fecal-oral transmission
  2. multiply in villous intestinal epithelial cells
  3. villous atrophy
How well did you know this?
1
Not at all
2
3
4
5
Perfectly
9
Q

How are viral agents of porcine neonatal diarrhea Dx?

A
  • Fixed SI for histology and ICH
  • Fresh/frozen tissue for viral detection (usually PCR)
How well did you know this?
1
Not at all
2
3
4
5
Perfectly
10
Q

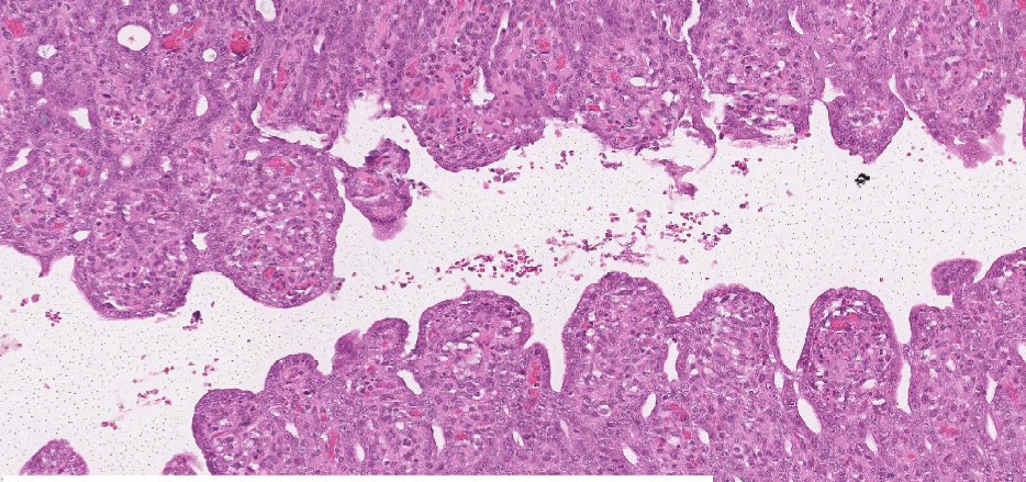
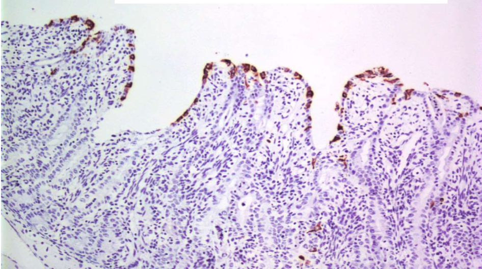
Morphologic Dx? Pathogenesis?

A
  • SI; villous atrophy/blunting and fusion (crypts are intact)
  1. Viral infection of villar tip epithelium
  2. necrosis of epithelium at tips
  3. villous atrophy
  4. healing by adjacent epithelium and cy crypt hyperplasia
  5. villous fusion
How well did you know this?
1
Not at all
2
3
4
5
Perfectly
11
Q

Morphologic Dx? Pathogenesis?

A
  • SI: villous atrophy, blunting, and fusion
    1. Enteric coronavirus (TGEV) infection of tip villar epithelium
How well did you know this?
1
Not at all
2
3
4
5
Perfectly
12
Q

How does Cryptosporidium parvum cause diarrhea

A
  • Protozoa colonize villi
  • usually 1-4 weeks of age
  • Cause malabsoption and hypersecretion
  • Co-infection with other agents is common
How well did you know this?
1
Not at all
2
3
4
5
Perfectly
13
Q

How would a Cryptosporidium infection be diagnosed?

A
  • Fecal flotation/smear, Sucrose wet mount
  • Fixed tissue for histopathology (distal SI)
  • PCR
How well did you know this?
1
Not at all
2
3
4
5
Perfectly
14
Q

How does Coccidia affect swine neonates?

A
  • affects pigs from 5-6 days to 2-3 weeks of age
  • MDx - severe fibrinonecrotic enteritis
  1. infected Feces
  2. Rapid sporulation of C.suis in environment (12h) short prepatent period (5 days)
  3. ingested
  4. replicates in villous epithelium of SI
  5. necrosis of epithelium
  6. Villous atrophy, necrosis, erosion, ulceration, fibrin
  7. Malabsorptive (& effusive) diarrhea
How well did you know this?
1
Not at all
2
3
4
5
Perfectly
15
Q

How is a coccidial infection diagnosed ?>

A
  • Mucosal scrapings/feces (fecal float)
  • Fixed SI 9 (histo)
How well did you know this?
1
Not at all
2
3
4
5
Perfectly
16
Q

How does E. coli (ETEC) cause neonatal diarrhea?

A
  1. Bacteria express adhesion factors that facilitate attachment to enterocyte surface receptors
  2. Secrete various toxins
  3. Stimulate cytokines and prostaglandins
  4. increased secretion/secretory diarrhea
  5. Profound dehydration
  6. death
  • Attachment and toxin production must be present for disease
  • Impossible to differentiate from other causes of neonatal diarrhea at necropsy
  • NO villous atrophy
17
Q

What are the virulence factors of Ecoli for neonatal diarrhea?

A
  • Fimbriae/pilli
    • F4 (K88) - receptors are shed as pigs age beyond a few days
    • F5 (K99) - receptors are shed as calves age beyond a few days
    • F6 (987P) uncommon
    • F7 (F41) usually with K99
    • F18 (F107) neonates lack receptors, found in weaned pigs
    • Fim-A, Paa, AIDA-I
  • Toxins
    • Heat-labile toxins:
      • LT1, LT2 - promote secretion by stimulation of PGs and cytokines
    • Heat-stable toxins:
      • STa - inhibits Na/Cl transport and water absorption by enterocytes
      • STb - secretion and enterocyte exfoliation
18
Q

Morphologic Dx? Pathogenesis?

A
  • Skin, conjunctiva; subcutaneous and conjunctival edema
  • E.coli edema disease
  1. STEC serotypes O138, 139, 141
  2. Colonize by F18 fimbriae
  3. STx2e toxin
  4. Circulates in blood (enterotoxemia)
  5. direct vascular injury/angiopathy, edema
  • Vaccination with Stx2e toxoid for prevention
  • Diarrhea usually not present!
19
Q

How is E coli edema disease diagnosed?

A
  • Appropriate clinical signs
  • appropriate gross and histologic lesions
  • Identification of the gent by culture
  • genotyping of isolate to identify toxin or pilus genes
  • Serotyping (usually agglutination based on O and F antigen types)
20
Q

What are the Toxins of C. perfringens?

A
  • a - lecithinase causes hemolysis, cell necrosis (Type A)
  • B - pore forming toxin (Types B & C)
    • inactivated by trypsin
    • affects epi- and endothelium
  • e - prototoxin activated by trypsin (Type D >B)
  • i - prototoxin, increases capillary permeability (Type E)
  • CPE (C. perf enterotoxin) - specific toxin pathogenicity unknown, various types
21
Q

What do the different types of Clostridium sp. do to swine neonates?

A
  • Perfringens
    • A - nonatal hemorrhagic diarrhea
    • C - necrohemorrhagic enteritis,
      • B toxin is trypsin sensiitve
  • Difficile - hemorrhagic diarrhea
22
Q

Morphologic Dx? Pathogenesis?

A
  • SI; hemorrhagic +/- necrotizing eneteritis
  1. C perfringens is normal inhabitant of GI tract
  2. microbiome alterations
  3. overgrowth of c perfrinens
  4. elaboration of toxins
  5. necrosis, hemorrhage, etc
23
Q

What is the diagnostic approach for Clostridial enteric diseases?

A
  • C perf C:
    • Gross histologic lesions + culture + genotyping + toxin ID (ELISA)
  • C perf A:
    • Gross and histologic lesions + culture + genotyping
      • must rule out other causes
  • C diff:
    • Clinical signs +gross histologic lesions + culture + Toxin ID (ELISA or PCR)
24
Q

What is the Dx approach for enteric salmonellosis?

A
  • Clinical signs + gross and histologic lesions + culture (fresh tissue/feces) + Serotyping ID (PCR/sequencing/microarray or serology)
  • Serotyping is significant from a public health standpoint