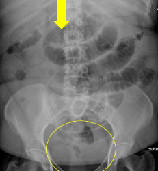
GI Path+Micro Flashcards

(83 cards)

1
Q

Pathology?

A

small bowel obstruction

dilated loops of small bowel, paucity of bowel gas distally

normal for comparison

How well did you know this?
1
Not at all
2
3
4
5
Perfectly
2
Q

Pathology?

A

pneumoperitoneum (free intraperitoneal air)

causes: rupture of hollow viscus, ulcer, tumor, trauma, instrumentation, post-operative (expected up to 5-7 days), necrotizing enterocolitis (neonatal setting)

How well did you know this?
1
Not at all
2
3
4
5
Perfectly
3
Q

Pathology/imaging?

A

Meckel’s scan to look for presence of ectopic mucosa in large bowel

How well did you know this?
1
Not at all
2
3
4
5
Perfectly
4
Q

H. pylori-induced ulcers are treated with [?]

A

PPI + 2 antibiotics (clarithromycin + ampicillin or metronidazole)

How well did you know this?
1
Not at all
2
3
4
5
Perfectly
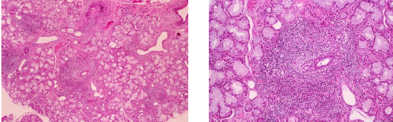
5
Q

Pathology? (salivary glands)

A

chronic sialadenitis

How well did you know this?
1
Not at all
2
3
4
5
Perfectly
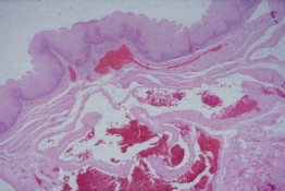
6
Q

Pathology?

A

mucocele

due to blockage or rupture of salivary gland duct with leakage of saliva into surrounding CT stroma

How well did you know this?
1
Not at all
2
3
4
5
Perfectly
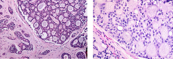
7
Q

Pathology? (salivary glands)

A

Sjogren’s syndrome

lymphoid infiltration of lacrimal and salivary glands by activated CD4+ T cells and B cells

How well did you know this?
1
Not at all
2
3
4
5
Perfectly
8
Q

Pathology? (salivary glands)

A

pleomorphic adenoma

most common salivary gland neoplasm; “benign mixed tumor”

How well did you know this?
1
Not at all
2
3
4
5
Perfectly
9
Q

Pathology? (salivary glands)

A

pleomorphic adenoma

distinctive magenta-colored fibrils on diff-quik stain when doing fine needle adenoma

How well did you know this?
1
Not at all
2
3
4
5
Perfectly
10
Q

Pathology? (salivary glands)

A

Warthin’s tumor

aka papillary cystadenoma lymphomatosum

benign tumor

How well did you know this?
1
Not at all
2
3
4
5
Perfectly
11
Q

Pathology? (salivary glands)

A

mucoepidermoid carcinoma

most common malignant neoplasm of salivary gland (46% in minor salivary gland)

How well did you know this?
1
Not at all
2
3
4
5
Perfectly
12
Q

Pathology? (salivary glands)

A

adenoid cystic carcinoma

cribriform architectural pattern; malignant

How well did you know this?
1
Not at all
2
3
4
5
Perfectly
13
Q

Pathology? (salivary glands)

A

acinic cell carcinoma

malignant

How well did you know this?
1
Not at all
2
3
4
5
Perfectly
14
Q

Pathology?

A

achalasia

bird beak sign on barium swallow

How well did you know this?
1
Not at all
2
3
4
5
Perfectly
15
Q

Pathology (esophagus)

A

esophageal varices

How well did you know this?
1
Not at all
2
3
4
5
Perfectly
16
Q

Pathology? (esophagus)

A

GERD

see basal zone hyperplasia

How well did you know this?
1
Not at all
2
3
4
5
Perfectly
17
Q

Pathology? (esophagus)

A

Barrett esophagus

salmon colored, tongue-like area of columnar epithelium

How well did you know this?
1
Not at all
2
3
4
5
Perfectly
18
Q

Pathology? (esophagus)

A

adenocarcinoma of esophagus

most arises from Barrett’s esophagus

How well did you know this?
1
Not at all
2
3
4
5
Perfectly
19
Q

Pathology? (esophagus)

A

squamous cell carcinoma of esophagus

exposure to dietary/ environmental carcinogens

How well did you know this?
1
Not at all
2
3
4
5
Perfectly
20
Q

Pathology? (esophagus)

A

squamous cell carcinoma of esophagus

exposure to dietary/ environmental carcinogens

How well did you know this?
1
Not at all
2
3
4
5
Perfectly
21
Q

Pathology? (stomach)

A

ulcers

How well did you know this?
1
Not at all
2
3
4
5
Perfectly
22
Q

Pathology? (stomach)

A

H. pylori infection

How well did you know this?
1
Not at all
2
3
4
5
Perfectly
23
Q

Pathology? (stomach)

A

ulcer

How well did you know this?
1
Not at all
2
3
4
5
Perfectly
24
Q

Pathology? (stomach)

A

Menetrier disease

excess secretion of TGF-alpha => diffuse hyperplasia of body and fundus foveolar epithelium => enlarged rugae

How well did you know this?
1
Not at all
2
3
4
5
Perfectly
25
Pathology? (stomach)
Zollinger Ellison syndrome gastric gland hyperplasia due to excessive gastrin secretion by pancreas
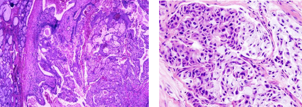
26
Pathology? (stomach)
diffuse adenocarcinoma see signet ring cells (tumor cells containing mucin); gross thickening of gastric wall due to desmoplastic reaction
27
Pathology? (stomach)
intestinal type adenocarcinoma predominates in high-risk areas; gland formation on microscopy; bulky tumor
28
Pathology
Meckel's diverticulum failure of involution of omphalo-mesenteric duct
29
Pathology?
Hirschsprung disease (congenital aganglionic megacolon)
30
Pathology? (intestines; left normal)
celiac
31
Pathology? (intestines)
abetalipoproteinemia enterocyte vacuolization
32
Pathology? (intestines)
giardia lamblia
33
Pathology? (appendix)
carcinoid tumor
34
Pathology? (colon)
juvenile polyp
35
Pathology?
Peutz-Jegher syndrome melanotic mucosal and cutaneous pigmentation; hamartomatous polyps throughout GIT
36
Pathology? (colon)
Crohn's disease skip lesions (not continuous); cobblestone appearance
37
Pathology? (colon)
Crohn's disease granulomas in colon
38
Pathology? (colon)
ulcerative colitis continuous lesions
39
Pathology? (liver)
cirrhosis
40
Pathology? (liver)
cholestasis brown bile pigment inside hepatocytes, feathery degeneration
41
Pathology? (liver)
primary sclerosing cholangitis
42
Pathology? (liver)
hepatocellular carcinoma malignant; increased AFP
43
Pathology? (liver)
fibrolamellar carcinoma can see scarring from fibrosing bands of collagen
44
Pathology? (liver)
focal nodular hyperplasia
45
Pathology?
cholesterosis aka strawberry gallbladder accumulation of cholesterol esters and triglycerides in macrophages within lamina propria
46
Pathology? (gallbladder)
gallbladder carcinoma
47
Pathology?
acute pancreatitis
48
Pathology? (pancreas)
intraductal papillary mucinous neoplasm can progress to invasive cancer
49
LFT abnormalities: predominant hepatocellular injury
increased transaminases (ALT, AST) ALP increased 2-3 times ULN
50
LTF abnormalities: predominant cholestatic pattern
ALP increased 3-5x ULN minor transaminase increase
51
Gilbert's syndrome
benign AD disorder; partial defect in BRN conjugation and decreased uptake of conjugated BRN by hepatocytes
52
Crigler-Najjar syndrome
impaired conjugation of BRN; rare; AR (much more deadly) or AD
53
congenital causes of conjugated hyperbilirubinemia
Dubin-Johnson syndrome, Rotor's syndrome, progressive familial intrahepatic cholestasis/Byler's disease all are AR
54
[?] naked, segmented ds RNA virus; most common cause of infantile diarrhea
rotavirus
55
[?] small, round, naked, ss RNA virus; 60% of non-bacterial diarrhea in adults
norovirus/norwalk virus
56
organisms that grow green-black colonies with metallic sheen on eosin-methylene blue agar
strong lactose fermenters: E. coli
57
organisms that grow pink-purple colonies on eosin-methylene blue agar
intermediate lactose fermenters: Klebsiella, Enterobacter
58
organisms that grow colorless, transparent colonies on eosin-methylene blue agar
non-lactose fermenters: Salmonella, Shigella
59
Guillain-Barre syndrome is often preceded by an infection with [?]
campylobacter jejuni
60
[?] most common roundworm in temperature zones; fecal-oral transmission; diagnosed with scotch-tape test (egg ID)
Enterobius vermicularis (pinworm) treatment = pyrantel pamoate or mebendazole
61
[?] football-shaped eggs in feces; heavy infections can show ulceration and hemorrhage
Trichuris trichiuria (whipworm) treatment = mebendazole
62
[?] common in tropical or subtropical regions; pneumonitis, GI perforation, bowel obstruction; do not attach to bowel wall
Ascaris lumbricoides (large roundworms) treatment = mebendazole
63
[?] cause pneumonia and eosinophilia as larva migrates; may live in host for 8-16 years
hookworms (Nectar americansus, Ancylostoma dudenale) treatment = mebendazole
64
[?] filariform larvae infiltrate through skin, migrate through lungs, and eventually to small intestine
Strongyloides stercoralis (small roundworms)
65
[?] lemon shaped; presents with diarrhea and muscle paralysis (due to larvae converting muscle cells to nurse cells); spread from eating pork
Trichinella spiralis
66
[?] nematode parasite of cats and dogs; most infections are asymptomatic
Toxocara
67
[?] filarial nematodes that cause tropical pulmonary eosinophilia and elephantiasis due to lymphatic obstruction
Wuchereria bancroftii, Brugia malayi
68
[?] filarial nematode spread by Simulium black flies; causes river blindness
Onchocerca volvus
69
[?] filarial nematode spread by Chrysops mango flies; migration is not painful but is noticed when they transverse conjunctival tissue
loa loa (African eye worm)
70
[?] crustacean intermediate; huge quantities of larvae released when worm contacts water through ulcer
Dracunculus medinensis
71
[?] snails release cercariae, which penetrate skin and develop in veins
Schistosomes (S. mansoni, S. japonicum, S. hematobium) treated with praziquantel
72
[?] scrolex and proglottids; cause anorexia and diarrhea; spread by undercooked beef
Taenia saginata (tapeworm)
73
[?] scrolex and proglottids; cause anorexia, diarrhea, blindness, and neurological disorders; spread by undercooked pork
Taeniea solium (tapeworm)
74
[?] scrolex and proglottids; cause fluid-filled cysts in liver and lungs; contain hydatid sand
Echinococcus granulosus (rarely in North America)
75
[?] scrolex and proglottids; spread by eating undercooked fish; can cause vitamin B12 deficiency
Diphyllobothrium lattum (fish tapeworm)
76
[?] parasite; causes diarrhea, flatulence, cramps, pneumonia, empyema, peritonitis, chronic pericardial infection; cyst disintegrates in small intestine and releases 8 trophozoites
Entamoeba histolytica treatment = metronidazole, iodoquinol
77
[?] parasite; binucleated flagellate with 4 pairs of flagella; cause sudden onset explosive diarrhea, greasy foul-smelling stools, large amounts of gas; water-borne epidemics
Giardia lamblia treatment: metronidazole, quinacrine
78
[?] obligatory intracellular parasites that cause explosive, perfuse, watery diarrhea, weight loss, wasting, and death in the immunocompromised
Cryptosporidium no treatment available
79
[?] causes food poisoning via enterotoxins A-D, which induce intestinal peristalsis and stimulate vomit reflex => nausea, vomiting, cramps, watery non-bloody diarrhea, profuse sweating, headache 1-6 hours after eating
Staph aureus
80
[?] form spores that can survive on grain foods (rise) and some meet dishes
Bacillus cereus
81
the emetic type of Bacillus cereus food poisoning is caused by [?], while the diarrheal type is caused by [?]
the emetic type of Bacillus cereus food poisoning is caused by heat-stable enterotoxin, while the diarrheal type is caused by heat-labile enterotoxin heat-labile has longer incubation period (24 hours) and involves increased cAMP production
82
[?] germination of spores in alkaline foodstuffs causes food-borne illness (12-36 hour incubation) and descending paralysis
C. botulinum
83
[?] ingestion of spore-contaminated meat dishes results in production of heat labile enterotoxin => diarrhea within 18 hours of ingestion
Clostridium perfringes