What is Sialadenitis?
inflammation of a salivary gland. It may be subdivided temporally into acute, chronic and recurrent forms.

What are the causes of sialadenitis?
Infectious (viral - mainly parotids- and bacterial, mainly submandibular) and
non-infectious (Sjogren syndrome, sarcoidosis, radiation)
What is the most common pathogen in bacterially-related sialadenitis? Viral?
Staph aureus (and strep viridans)
Viral: mumps

Describe acute sialadenitis
It typically affects the parotid gland, causing the gland to become swollen and painful. Purulent discharge drains from the duct

Describe chronic sialadenitis
This usually occurs secondary to recurrent or persistent ductal obstruction due to a stone (sialolithiasis) resulting in episodic pain and swelling, usually at mealtime

◦Submandibular involvement may include persistent enlargement
What is this?

Oral hairy leukoplakia- This pathology is associated with Epstein-Barr virus (EBV) and occurs mostly in people with HIV, both immunocompromised and immunocompetent, albeit it can affect patients who are HIV negative
It most often occurs on the lateral aspect of the tongue, and, unlike thrush, it can not be scraped off
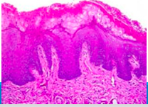
How does OHL appear histologically?

Define leukoplakia
“a white patch or plaque that cannot be scraped off and cannot be characterized clinically or pathologically as any other disease.” (a diagnosis of exclusion)
Note that leukoplakia is considered premalignant until proven otherwise (even though only 5-25% actually are)

What pts. does oral leukoplakia most commonly occur in?
smokers and those who use chewing tobacco
Typically males, aged 40-70
What is the prognosis for oral leukoplakia?
Leukoplakia is a premalignant lesion. The chance of transformation into oral SSC varies from almost 0% to about 20%, and this may occur over 1 – 30 years. The vast majority of oral leukoplakias will not turn malignant, however some subtypes hold greater risk than others.
No interventions have been proven to reduce the risk of cancer developing in an area of leukoplakia, but people are generally advised to stop smoking and limit alcohol consumption to reduce their risk.

Where are some other places besides the mouth that leukoplakia can occur?
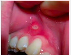
What are aphthous ulcers (canker sores)?
Superficial mucosal ulcerations more common in younger pts. that typically resolve within 7-10 days

What factors are associated with herpes reactivation?
trauma, allergies, UV light (sunburn), URTIs, immunosupression, stress, etc.
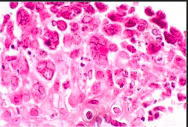
Describe the histology of herpes
Molding, Multinucleation, and Eosinophilic Inclusions

What are the three major types of oral candidiasis?
How does oral candida present?
Superficial, curdlike, gray to white inflammatory membranes composed of matted organisms enmeshed in an exudate that can be esily scrapped off to reveal and underlying erythematous base.
Describe fibromas of the oral cavity
These are modular fibrous tissue masses that are formed when chronic irritation results in reactive CT hyperplasia, most commonly occuring on the buccal mucosa along the bite line

What are oral pyogenic granulomas?
oral masses usually found on the gingiva of children, young adults, and pregnant women. These lesions are highly vascular and often erythematous appearing.
These tend to grow fastly but are typically benign and surgical excision is curative

What is erythroplakia?
red, velvety, possibly eroded areas that are flat or depressed relative to surrounding mucosa that are less common than leukoplakia, but are associated with a much greater risk of meligant transformation to OSCC


Approximately 95% of cancers of the head and neck are________
squamous cell carcinomas (SCCs). With the remainder being largely adenocarcinomas of salivary glands
Head and neck cancers have a BAD prognosis (Typically advanced stage when diagnosed; not amenable to screening)
In the oropharynx (but not the oral cavity), as many as 70% of SCCs, particularly those involving the tonsils, the base of the tongue, and the pharynx, harbor oncogenic variants of ______
HPV, particularly HPV-16. Those with HPV positive cancers have greater long term survival.
Oral SCCs
Multiple primary tumors may be present at initial diagnosis but more often are detected later, and tend to develop at a risk of 3-7%/yr. Note that the development of secondary primary tumors is a particularly poor prognosis and typically leads to death (survellance is important!)
How do OSCCs arise?
Two distinct pathways:
1) chronic alcohol or tobacco users typically produce tumors arising from mutations in TP53, p63, and NOTCH1
2) tumors arising in the tonsillar crypts or the base of the tongue related to HPV variants, particularly HPV-16 (most commonly overexpression of p16, a cyclin-dependent kinase inhibitor)