GI Tract Flashcards

(59 cards)

1
Q

describe filliform papillae

A
  • small and conical
  • most numerous
    • entire dorsal surface
  • involved in mechanical function
    • highly keratinized stratified squamous epi.
    • no taste buds
How well did you know this?
1
Not at all
2
3
4
5
Perfectly
2
Q
A

filliform papillae

How well did you know this?
1
Not at all
2
3
4
5
Perfectly
3
Q
A

filliform papillae

How well did you know this?
1
Not at all
2
3
4
5
Perfectly
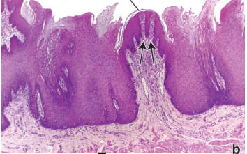
4
Q

describe fungiform papillae

A
  • mushroom shaped
  • prominent on tip of tongue
  • stratified squamous epithelium (usually non-keratinized)
  • taste buds in the epithelium on dorsal surface
How well did you know this?
1
Not at all
2
3
4
5
Perfectly
5
Q
A

fungiform papillae

How well did you know this?
1
Not at all
2
3
4
5
Perfectly
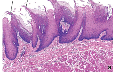
6
Q
A

arrows = fungiform papillae

in between arrows = filliform papillae

How well did you know this?
1
Not at all
2
3
4
5
Perfectly
7
Q

describe foliate papillae

A
  • found on the lateral edges of tongue
  • parallel rows separated by deep clefts
  • taste buds
  • rudimentary in humans
How well did you know this?
1
Not at all
2
3
4
5
Perfectly
8
Q
A
How well did you know this?
1
Not at all
2
3
4
5
Perfectly
9
Q

describe circumvallate papillae

A
  • large and dome shaped
  • located anterior to sulcus terminalis
    • only 8-12
  • surrounded by a moat-like invagination
    • receives ducts of Von Ebner’s glands
      • serous secretion
  • many taste buds in epi. of lateral surface
How well did you know this?
1
Not at all
2
3
4
5
Perfectly
10
Q
A
How well did you know this?
1
Not at all
2
3
4
5
Perfectly
11
Q

describe taste buds and the types of cells

A
  • extend through entire thickness of epi.
  • taste pore
  • 3 types of cells:
    • neuroepithelial cells
      • sensory cells
      • microvilli on apical surface
      • turnover ~10 days
    • supporting cells
      • microvilli on apical surface
      • turnover ~10 days
    • basal cells
      • stem cells
How well did you know this?
1
Not at all
2
3
4
5
Perfectly
12
Q

name the 3 distinct layers of mucosa

A
  1. epithelium
  2. lamina propria
    • loose CT, blood & lymph vessels, mucosal glands, gut-associated lymphatic tissue (GALT)
  3. muscularis mucosa
    • variable, usually 2 layers
      • inner circular
      • outer longitudinal
    • contraction produces movement of the mucosa
    • boundary between mucosa and submucosa
How well did you know this?
1
Not at all
2
3
4
5
Perfectly
13
Q

describe the function of the mucosa

A
  • protection: separates the external lumen from tissues and organs of the body
  • absorption: movement of the digested nutrients, water and electrolytes into blood and lymph vessels
  • secretion: carried out mainly by glands throughout the tube which secrete mucus, digestive enzymes, hormones and antibodies
How well did you know this?
1
Not at all
2
3
4
5
Perfectly
14
Q

describe the submucosa

A
  • dense irregular CT
  • large blood vessels and lymphatic vessels
  • some areas contain submucosal glands
    • esophagus and duodenum
How well did you know this?
1
Not at all
2
3
4
5
Perfectly
15
Q

describe the submucosal plexus (Meissner’s plexus)

A
  • part of enteric nervous system
  • cell bodies of postganglionic PS neurons
  • innervate muscularis mucosa
  • derived from neural crest cells
How well did you know this?
1
Not at all
2
3
4
5
Perfectly
16
Q

describe the muscularis externa

A
  • two concentric layers of smooth muscle
    1. inner circular
      • contracts, compresses and mixes content by constricting the lumen
      • forms sphincters at specific locations
    2. outer longitudinal
      • contractions propels content of lumen by shortening the tube
      • in large intestine, thickened to form three bands called teniae coli
How well did you know this?
1
Not at all
2
3
4
5
Perfectly
17
Q
A

submucosal plexus

pale-staining PS ganglion cells

How well did you know this?
1
Not at all
2
3
4
5
Perfectly
18
Q
A

muscularis externa

How well did you know this?
1
Not at all
2
3
4
5
Perfectly
19
Q

describe the myenteric plexus (Auerbach’s plexus)

A
  • located between the circular and longitudinal muscle layers
  • derived from neural crest cells
  • part of enteric nervous system
  • contains postganglionic PS neurons
  • innervates the muscularis externa for peristlatic movement
    • slow rhythmic contraction of muscle layers
How well did you know this?
1
Not at all
2
3
4
5
Perfectly
20
Q
A

myenteric/Auerbach’s plexus

How well did you know this?
1
Not at all
2
3
4
5
Perfectly
21
Q

describe the serosa layer of the alimentary canal

A
  • serous membrane
    • CT lined by simple sqamous epi.
  • mesothelium
    • small amount of underlying loose CT
  • continuous w/ mesentery and lining of abdominal cavity
How well did you know this?
1
Not at all
2
3
4
5
Perfectly
22
Q

describe the adventitia layer of the alimentary canal

A
  • CT not lined by simple squamous epi.
  • attaches structures to the body walls
    • parts of the GI tract that do not possess a complete serosal covering
      • thoracic esophagus
      • 2nd, 3rd, 4th parts of duodenum
      • ascending and descending colon
      • rectum and anal canal
How well did you know this?
1
Not at all
2
3
4
5
Perfectly
23
Q

describe the esophagus

A
  • epithelium = stratified squamous non keratinized
  • lamina proopria: CT containing diffuse lymphatic tissue and lymphatic nodules
    • esophageal cardiac glands are present mainly in the terminal part of esophagus
      • produces neutral mucus which protects from regurgitated gastric contents
  • muscularis mucosa: single layer of longitudinal muscle that begins at the level of cricoid cartilage
How well did you know this?
1
Not at all
2
3
4
5
Perfectly
24
Q

describe the submucosa of the esophagus

A
  • dense irregular CT
  • esophagel glands proper:
    • scattered throughout the length
    • produces slightly acidic mucous
    • lubricates the lumen
25
26
describe the esophagogastric junction
* epithelium changes from stratified squamous (esophagus) to simple columnar (stomach) * lamina propria: esophageal cardiac glands replaced by cardiac glands of stomach
27
esophagogastric junction
28
describe the 3 regions of the stomach
1. cardiac region * near esophgeal orifice * contain cardiac glands 2. fundic region (fundus) * situated between cardia and pylorus * contains fundic (gastric) glands 3. pyloric region (pylorus) * distal, funnel-shaped region proximal to pyloric sphincter * contains pyloric glands
29
contrast the cardiac region and the pyloric region
* cardiac region * relatively short pits and short glands * tubular with occasional branching * cells * mucus secreting * enteroendorcine * pyloric region * relatively long pits and short glands * branched, coiled, tubular with wide lumen * mucus cells secrete a viscous mucus
30
31
describe the fundic region of the stomach
* short pits * lined by surface mucus cells * long glands * simple branched tubular glands * 2-4 glands empty into 1 gastric pit * cell types: * mucus neck cells * parietal cells * chief cells * enteroendocrine cells * stem cells * found in neck of gland
32
describe the secretions of the fundic gland
* parietal cells * **hydrocholic acid (HCl)** * _converts inactive pepsinogen into pepsin_ * **intrinsic factor** * glycoprotein that binds to vit. B12 * _lack of intrinsic factor = pernicious anemia_ * chief cells * **pepsin** * **​**potent proteolytic enzyme * hydrolyzes proteins into small peptides * converted from pepsinogen * mucus
33
contrast surface mucus cells with mucus neck cells
* surface mucus cells * secretes thick viscous mucus that adheres to epi. and lines gastric pits * elongated nucleus * bicarb rich mucus protects epi. from acidity of gastric juice * mucus neck cells * secretes soluble mucus that helps transport gastric secretion to lumen
34
35
* chief cells secrete pepsinogen * converted to pepsin by low pH
36
describe enteroendocrine cells
* secretes hormones into the lamina propria * found throughout the gland * more prevalent in the fundus
37
describe peptic ulcers
* H. pylori secretes urease and proteases which: * break down mucus * creates an alkaline environment which stimulates gastrin -\> increase acid/pepsin (cycle) * bacterial infxn causes mucosal inflammation, exposing the surface to the effects of pepsin and acid
38
describe the small intestine
* mucosa: * simple columnar epi. * lamina propria contains GALT * submucosa: * dense CT * submucosal (Meissner's) plexus * plicae circularis (circular folds)
39
describe plicae circulares
* valves of Kerckring * permanent transverse folds * most numerous in distal duodenum and jejunum * reduced in size and freq. in ileum
40
describe villi
* finger-like mucosal projections * lamina propria contains central lacteals * blind-ended lymphatic capillary * accompanied by smooth muscle * absorption of lipids (first site of fat absorption)
41
describe microvilli
* feature of enterocytes * major increase in luminal surface area * gives the cells a striated border * brush border
42
describe enterocytes
* simple columnar * primary absorptive cells * have secretory function: * produce digestive enzmyes * secretes water and electrolytes * tight junctions allow for selective absorption across the plasma membrane
43
describe goblet cells
* unicellular mucus secreting cells * renewed every 4-6 days * mucinogen granules accumulate in the apical cytoplasm * increase in number from duodenum to colon
44
describe paneth cells
* found in base of intestinal glands * renewed every 4 weeks * intensely acidophilic apical secretory vesicles * lysozyme: antibacterial enzyme, digests cell walls of certain groups of bacteria * a-defensins: microbicidal peptides * regulates normal bacterial flora in small intestine
45
describe enteroendocrine cells in the small intestine
* similar to those seen in stomach * found at the base of the crypts * renewed every 60-90 days * produce some of the same peptide hormones as stomach * CCK * secretin * GIP * motilin
46
describe M cells in the small intestine
* epithelial cells that cover Peyer's patches and large lymphatic nodules * microfolds on apical surface rather than microvilli * **antigen-transporting cells**
47
describe Brunner's glands
* located in submucosa of small intestine (duodenum) * secretes a highly alkaline solution that helps to neutralize the acidic chyme from the stomach
48
49
describe the jejunum
* numerous plicae circularis * long prominent villi (more absorption) * increase in goblet cells * no submucosal glands
50
jejunum
51
52
describe Celiac disease
* gluten sensitive enteropathy * autoimmune mediated intolerance to Gliadin (a glycoprotein found in gluten) * inflammation of mainly distal duodenum and prox. jejunum * **mucosa appears flattened** * **2 signs:** * **​atrophy of villi** * **hyperplasia of cryts of Leiberkuhn** * IgA antibodies for transglutaminase and endomysium and deamidated gladin peptide
53
describe Crohn's disease
* ulcer formation of mainly small intestine especially the terminal ileum * malabsorption accompanied by crampy abdominal pain * underlying inflammation give a "cobblestone" appearance * granuloma formation with Giant cells
54
describe the mucosa of the large intestine
* numerous, straight, tubular, intestinal glands * crypts of Liberkuhn * principal functions: * **reabsorption of water and electrolytes** * **elimination of waste** * epithelium * simple columnar * no Paneth cells * you want bacterial flora to exist * abundant goblet cells
55
describe the appendix
* tenia coli ends at base of appendix * numerous lymphatic nodules * extend into submucosa * appendicitis * results from blockage of opening to the cecum * scarring, thick mucus or stool
56
appedix
57
describe the rectoanal junction
* epithelium transitions from glandular intestinal epi. (simple columnar) to stratified squamous epi. (non-keratinized to keratinized)
58
describe congenital megacolon (Hirschspring disease)
* faulty migration of neural crest cells * lack of myenteric plexus * decreased peristaltic movements of the gut * dilated colonic segment
59
describe hemorrhoids
* causes: * any pathology which increases pelvic pressure * secondary to portal hypertension * chronic constipation * submucosal veins undergo progressive dilatation and bulge towards the lumen * internal: above pectinate line -\> painless * external: below pectinate line -\> painful