Glaucoma Flashcards

(18 cards)

1
Q

Glaucoma - pathogenesis?

A

Ciliary EPITHELIUM produces aqueous humor from posterior -> anterior chamber, and returned to venous circulation @ SINOUS VENOUS SCLERAE (spaces of Fontana)–> GLAUCOMA OCCURS WHEN IOP INCREASES DUE TO BLOCKAGE OF AQUEOUS HUMOR DRAINAGE => OPTIC N. COMPRESSION

How well did you know this?
1
Not at all
2
3
4
5
Perfectly
2
Q

1º versus 2º glaucoma:

A

Primary: bilateral disease potential (first eye affected weeks-to-months before second eye is)

Secondary: lens luxation, uveitis, hyphema, intraocular neoplasis, melanocytic alucoma, pigmentary uveitis, trauma, etc.

How well did you know this?
1
Not at all
2
3
4
5
Perfectly
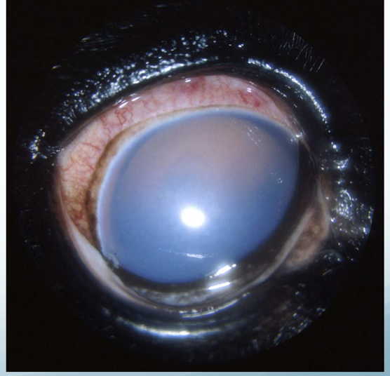
3
Q

Signs of acute glaucoma disease

A
  • blepharospasm
  • mydriasis (due to sphincter m. paralysis)
  • corneal edema
  • variable vision
  • episcleral injection
How well did you know this?
1
Not at all
2
3
4
5
Perfectly
4
Q

Signs of chronic glaucoma disease

A
  • all acute signs possible
  • buphthalmos
  • Haab’s striae (streak going across cornea)
  • lens subluxation
  • cupped optic nerve
How well did you know this?
1
Not at all
2
3
4
5
Perfectly
5
Q

What is the most common pathogenesis of feline glaucoma?

A

Chronic uveitis

How well did you know this?
1
Not at all
2
3
4
5
Perfectly
6
Q

What can aqueous humor misdirection cause in cats?

A

Aqueous humor misdirection = abnormaly flows behind lens -> lens gets displaced forward

How well did you know this?
1
Not at all
2
3
4
5
Perfectly
7
Q

Pathogenesis of glaucoma in equine?

A

2º to equine recurrent uveitis – typically an insidious disease in horses

How well did you know this?
1
Not at all
2
3
4
5
Perfectly
8
Q

How is glaucoma diagnosed?

A

Tonometry (rebound, applanation)

A primary means of dx / assessing efficacy of glaucoma therapy

Other: Gonioscopy

How well did you know this?
1
Not at all
2
3
4
5
Perfectly
9
Q

What IOP values are abnormal

A
  • Absolute numbers
  • IOP disparities b/w 2 eyes
  • low IOP values (uveitis drops IOP)

Always check both eyes for comparison purposes!

How well did you know this?
1
Not at all
2
3
4
5
Perfectly
10
Q

Role of tonometry in treating glaucoma?

A

Re-checks (e.g., AM versus PM IOP readings may be vastly different)

A primary means of dx / assessing efficacy of glaucoma therapy

Similar to BG readings on a diabetic pt throughout the day

  • tonometry is not used for early prediction of canine primary glaucoma

How well did you know this?
1
Not at all
2
3
4
5
Perfectly
11
Q

What is Gonioscopy?

A

Specialized assessment of the filtration (drainage) angle; requires a specialized lens. Determines likelihood of animal having primary glaucoma based on angle morphology

Gonioscopy is the examination of the iridocorneal angle or “drain” on the inside of the eye. By placing a goniolens on the cornea and allowing the Ophthalmologist to visualize the angle we can assess whether the glaucoma is due to an abnormal drainage angle. It also allows helps determine the risk for the development of glaucoma prior to completing cataract surgery.

How well did you know this?
1
Not at all
2
3
4
5
Perfectly
12
Q

What are the goals of glaucoma therapy?

A
  1. Maintenance of vision where possible (glaucoma may be reversible if the pt presents acutely)
  2. Patient comfort (in all cases!) -> glaucoma is very uncomfortable!
  3. Prophylaxis in “at-risk” eyes

“Prophylaxis” = preventing other eye from becoming affected

How well did you know this?
1
Not at all
2
3
4
5
Perfectly
13
Q

Emergency management of glaucoma: systemic versus topical medications used

A

Systemic: hyperosmotics (IV mannitol, PO glycerin)

Topical: prostaglandin analogue (latanoprost, bimatoprost)

Precautions with systemic = short-term tx; pt’s with heart issues

How well did you know this?
1
Not at all
2
3
4
5
Perfectly
14
Q

What are the characteristics of the 3 glaucoma-maintenance medications?

A
  1. Carbonic Anhydrase Inhibitors (CAIs)
  2. Miotics & Prostaglandin Analogues (topical)
  3. B-Blockers (topical)

Work by suppressing aqueous humor production

Aqueous humor secretion depends on the production of bicarbonate (HCO-3) from carbonic anhydrase II, an isoenzyme found in the non-pigmented ciliary body epithelium. Chemically, carbonic anhydrase catalyzes carbon dioxide (CO2) hydration and conversion to carbonic acid (H2CO3), which freely dissociates into bicarbonate anions and protons. Bicarbonate formation influences fluid transport by affecting Na+, possibly by regulating the pH for optimal active ion transport. Blockade of carbonic anhydrase by CAIs in local tissues reduces the formation of bicarbonate ions, thus reducing fluid transport and IOP.

How well did you know this?
1
Not at all
2
3
4
5
Perfectly
15
Q

What are the general principles for glaucoma treatment (4)?

A

This is not a curable disease -> you are pretty much treating the animal until they go blind. The only “real” way to treat glaucoma is via enucleation sx.

How well did you know this?
1
Not at all
2
3
4
5
Perfectly
16
Q

Why are topical mydriatics contraindicated in glaucoma tx?

e.g., atropine, tropicamide

A

Mydriasis may contribute to the possible development of angle closure glaucoma b/c pupil dilation further pushes the iris onto the drainage angle // narrows the angle further

17
Q

What are two ways to surgically manage glaucoma WITHOUT enucleation?

A
  • decrease aqueous production via cyclodestructive procedures
  • increases aqueous outflow via filtering procedures / aqueous shunts
18
Q

What are salvage procedures for glaucoma?

A

Enucleation; evisceration / intrascleral prosthesis; chemical ciliary body ablation

intrascleral prosthesis: gut the eye and replace with silicone eye

chemical CB ablation: intravitreal gentamicin injection (blind eyes only! avoid lens puncture; not always effective)