Quais são as principais causas de glaucoma pós-trabecular?
Obstrução à drenagem venosa
Sturge-Weber, Graves, Tumores orbitários, Trombose de seio cavernoso
Fistula AV
Fístula carótido-cavernosa
Hipertensão vensa episcleral idiopática

Qual a faixa normal da pressão venosa episcleral?
PVE normal = 8-10 mmHg
↑ 1 mmHg na PVE = ↑ 0,82 mmHg na PIO
Em qual tipo de fístula carótido-cavernosa o glaucoma pós-trabecular é mais prevalente?
O glaucoma pós-trabecular ocorre na quase totalidade das fístulas indiretas e em 30% das fístulas traumáticas (diretas e de alto débito)

Qual a epidemiologia e genética da síndrome de Sturge-Weber?
Genética esporádica
Acomete crianças
Homem = mulher

Qual a clínica da síndrome de Sturge-Weber?
Angioma facial = Nevus flammeus ou mancha vinho do porto unilateral e no território da 1ª e 2ª divisão do trigêmeo
Angioma leptomeníngeo ipsilateral
Hemangioma difuso da coróide - fundus em molho de tomate
Angioma episcleral/conjuntival
Glaucoma (30-70% dos casos) ipsilateral ao hemangioma

Quais são as características do glaucoma na síndrome de Sturge-Weber?
O glaucoma ocorre em 30-70% dos casos e costuma ser unilateral e ispilateral ao hemangioma
Se ocorrer nos 1ºs anos de vida, a causa geralmente é a mal-formação angular, semelhante ao glaucoma congênito primário
Se ocorrer em crianças mais velhas, a causa geralmente é o glaucoma pós-trabecular, por aumento da PVE
Qual é o marcador de risco para o glaucoma na síndrome de Sturge Weber?
O glaucoma é mais comum quando o hemangioma envolve a pálpebra
Qual é o tratamento do glaucoma na síndrome de Sturge-Weber?
Mal-formação angular semelhante ao GCP - Tratamento com cirurgia angular (Trabeculotomia)
Glaucoma pós-trabecular (↑PVE) - Tratamento clínico/Trabeculectomia - Risco aumentado de efusão/hemorragia supracoroidal

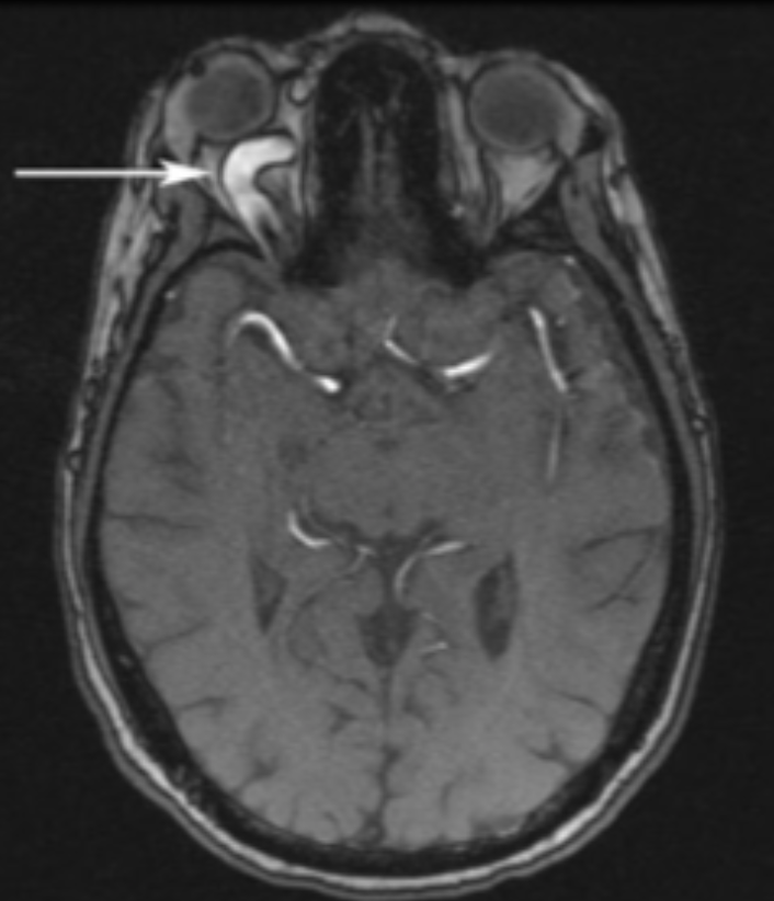
Qual a alteração clássica nos exames de imagem na fístula carótido-cavernosa?
Aumento do calibre da veia oftálmica superior

Qual o tratamento da fístula carótido-cavernosa?
Embolização por radiologia intervencionista
O que é a hipertensão venosa episcleral idiopatica?
Sindrome de Radius Malmenee
Quadro unilateral de aumento do calibre e tortuosidade dos vasos episclerais, aumento da PVE e aumento da PIO
Idiopático, sem causas secundárias

Qual o tratamento dos glaucomas pós-trabeculares?
1º passo = eliminar a causa base
Tratamento clínico
Priorizar fármacos que ↓produção do HA (Beta-bloq, IAC, Brimonidina)
Pilocarpina e análogos de prostaglandina não são 1ª linha
Cirúrgico - Trabeculectomia + MMC
Evitar áreas de vasos dilatados e evitar bloqueios se anormalidades orbitárias
Realizar suturas apertadas e lise tardia - evitar hipotonia e hemorragia supracoroidal
Implantes de drenagem
Falência da TREC ou GNV
Trabeculoplastia a laser não é eficaz e não está indicada
Quais as características do tratamento clinico dos glaucomas pós-trabeculares?
Tratamento clínico
Priorizar fármacos que ↓produção do HA (Beta-bloq, IAC, Brimonidina)
Pilocarpina e análogos de prostaglandina não são 1ª linha
Quais as características do tratamento cirúrgico dos glaucomas pós-trabeculares?
Cirúrgico - Trabeculectomia + MMC
Evitar áreas de vasos dilatados e evitar bloqueios se anormalidades orbitárias
Realizar suturas apertadas e lise tardia - evitar hipotonia e hemorragia supracoroidal
Implantes de drenagem
Falência da TREC ou GNV