Glomerular Disease 6 Flashcards

(26 cards)

1
Q

A patient with abs against dsDNA and Sm antigen is diagnostic of what pathology?

A

SLE (systemic lupus erythematosus)

How well did you know this?
1
Not at all
2
3
4
5
Perfectly
2
Q

What type of GN is CLASS I of lupus nephritis?

A

minimal or no detectable abnormalities

How well did you know this?
1
Not at all
2
3
4
5
Perfectly
3
Q

What type of GN is Class II of lupus nephritis?

A

mesangial lupus glomerulonephritis

How well did you know this?
1
Not at all
2
3
4
5
Perfectly
4
Q

What type of GN is Class III of lupus nephritis?

A

focal proliferative glomerulonephritis

How well did you know this?
1
Not at all
2
3
4
5
Perfectly
5
Q

What type of GN is class IV of lupus nephritis?

A

diffuse proliferative glomerulonephritis

How well did you know this?
1
Not at all
2
3
4
5
Perfectly
6
Q

What type of GN is class V of lupus nephritis?

A

Membranous GN

How well did you know this?
1
Not at all
2
3
4
5
Perfectly
7
Q

What type of GN is Class VI of lupus nephritis?

A

Diffuse sclerosing

How well did you know this?
1
Not at all
2
3
4
5
Perfectly
8
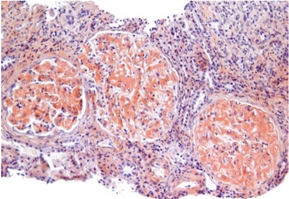
Q

Wire loop lesions extensive sub endothelial deposits are seen in what class of lupus nephritis?

A

Class III, IV & V lesions

How well did you know this?
1
Not at all
2
3
4
5
Perfectly
9
Q

What do wire loop lesions indicate?

A

active disease

How well did you know this?
1
Not at all
2
3
4
5
Perfectly
10
Q

Wire loop lesions are due to depositions of what?

A

Ig deposition

How well did you know this?
1
Not at all
2
3
4
5
Perfectly
11
Q

Upon LM what is the appearance of the nephron suggestive of SLE?

A

thickened capillary loops

How well did you know this?
1
Not at all
2
3
4
5
Perfectly
12
Q

Upon IF what can be seen in a person with SLE?

A

IF: IgG, IgA, IgM, C3 …. Full House

How well did you know this?
1
Not at all
2
3
4
5
Perfectly
13
Q

Upon EM where would you see immune complex depositions in those with SLE?

A

sub epithelial
sub endothelial
mesangial immune complex deposits

How well did you know this?
1
Not at all
2
3
4
5
Perfectly
14
Q

What is the key to avoid organ damage in diabetes?

A

control of blood sugar

How well did you know this?
1
Not at all
2
3
4
5
Perfectly
15
Q

Is there increased GFR in early stages of diabetic GN?

A

yes

How well did you know this?
1
Not at all
2
3
4
5
Perfectly
16
Q

What are some characteristic features on microscopy of one with Diabetic GN?

A
  1. capillary basement membrane thickening
  2. nodular glomerulosclerosis
  3. Kimmelstiel Wilson disease
  4. Fibrin Caps: prominent accumulation of hyaline material in capillary loops
  5. Capsular Drops: hyaline material adherent to Bowman’s capsule
17
Q

Describe the Pathogenesis of Diabetic Nephropathy.

A

Hyperglycemia is responsible for Diabetic nephropathy

  1. Mechanism for glomerular damage:
  • Hyperglycemia – Increased protein kinase c activity in the endothelial cells - Production of profibrogenic molecules like transforming growth factor B (TGF-B) - leading to increased synthesis of type 4 collagen by endothelial cells - Basement membrane thickening and luminal narrowing – Ischemic necrosis and scarring in the glomeruli - Diabetic glomerulopathy
  1. Mechanism for vascular changes – Hyaline arteriolosclerosis
    AGE (advanced glycation end products) products - bind to vessel wall and BM collagen - interfering with glomerular barrier function Hemodynamic effects - associated with glomerular hypertrophy - contributes to the development of glomerulosclerosis.
18
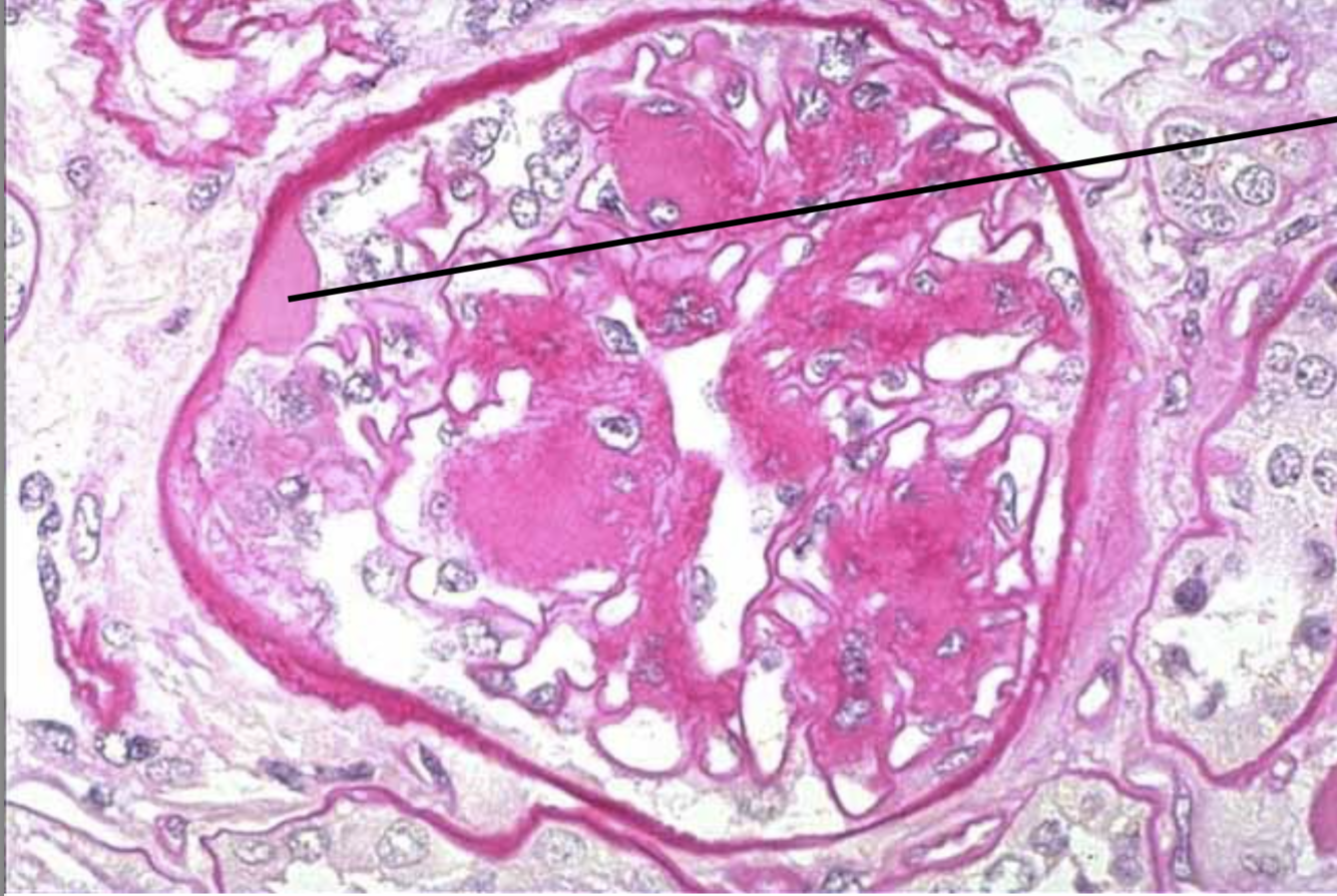
Q

What condition is this lesion characteristic of and what is it?

A

Capsular drop lesion

Represents leakage of plasma proteins from the damaged capillaries

19
Q

How does the gross image of the kidney appear in one with amyloidosis?

A

kidney generally enlarged: cortex is thickened by yellow-white deposits of amyloid white arrows and the blurry appearance of the medulla is also caused by amyloid infiltration (green arrows)

20
Q

Describe renal appearance under microscopy of renal amyloidosis.

A

homogenous amorphous pink deposits of amyloid found in glomerulus, filling the tubules. Often found in the arteries.

21
Q

Describe what is seen in this slide.

A

Congo red stain positivity (nephron)

Characteristic feature of renal amyloidosis

22
Q

Describe what is being seen in this slide.

A

Congo red stains and polarized microscopy - Apple green birefringence positivity

23
Q

Does senile systemic amyloidosis involve the kidney?

24
Q

Example of primary causes of renal amyloidosis.

A

multiple myeloma - AL (amyloid light chain amyloidosis)

25
Example of secondary causes of renal amyloidosis.
chronic inflammatory disease - AA (amyloid A amyloidosis) TB rheumatic disease
26
Associations of hereditary amyloidosis.
lysozyme, ApoAII