What are podocytes?
Podocytes are cells in the Bowman’s capsule in the kidneys that wrap around capillaries of the glomerulus

What proteins are filtered from the glomerulus?
All that are smaller than albumin
Immunoglobulins do not get filtered - they stay in the plasma
What structural feature do podocytes contain?
They have interdigitating ‘fingers’ or foot processes
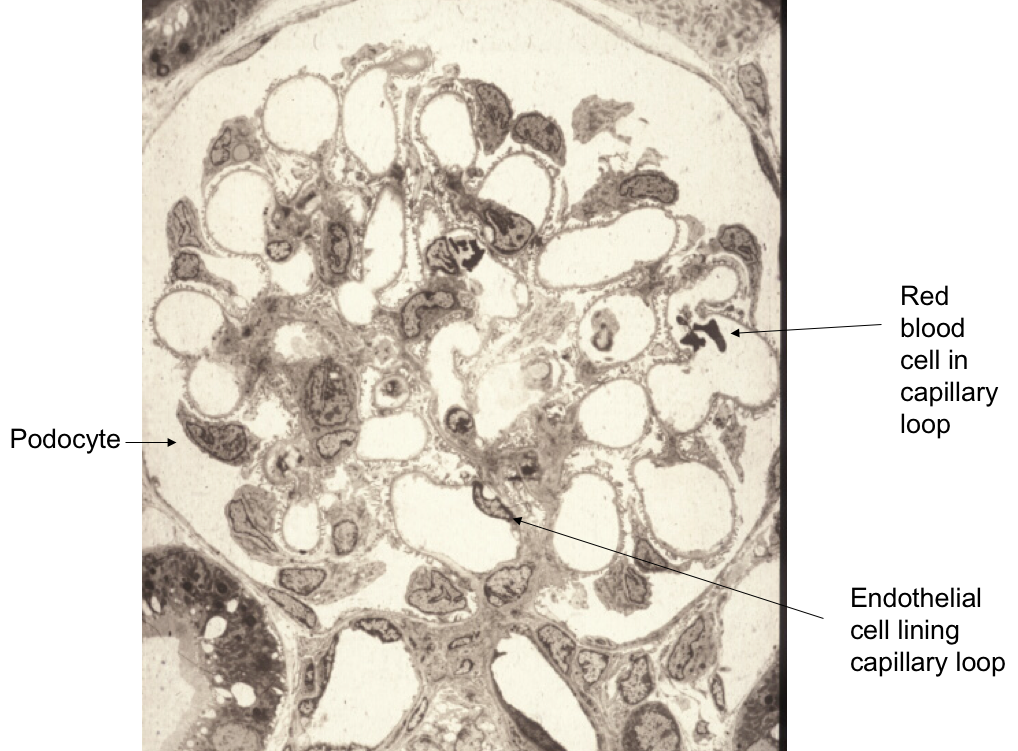
What are the three layers of the filter barrier?
Endothelial cell
Basal lamina
Podocyte
What are mesangial cells?
Tree like group of cells which support capilalries
Where does filtrate travel after the glomerulus?
Goes into bowmans space and then into the proximal tubule
What substances leave the efferent arteriole?
Blood cells someme fluid
abumin and larger proteins
Antibodies
What is glomerulonephritis?
It is disease of the glomerulus
Either inflammatory or non-inflammatory
Primary - only affects the glomerulus or secondary other body parts are affected - SLE or Wegners
What are the 4 comon presentations of glomerulonephritis?
What are the main causes of haematuria?
Urinary tract infection
Urinary tract stone
Urinary tract tumour
Glomerulonephritis
What is the necessary test before taking a renal biopsy?
Clotting screen - risk of bleeding to death
What is the pathogenesis of IgA nephropathy?
Excess IgA sometimes present in the serum (but this is true in some people who do not have glomerulonephritis)
IgA deposits are stuck in the mesangium and are not filtered in the urine - IgA – ‘irritates’ mesangial cells and causes them to proliferate and produce more matrix
Unknown why this causes RBC’s to escape
What is the prognosis of IgA nephropathy?
Usually self-limiting - ie returns to normal
SMall % go onto chronic renal failure (via continued deposition of matrix)
How is the clinical diagnosis of nephrotic syndrome made?
Must be abnormality of the glomerular filter - renal biopsy
What is the hallmark feature of membranous glomerulonephritis?
Thickened glomerular basement membrane
Spikes of new basement membrane matrix material underneath podocytes - spikes try to surround and remove deposits of IgG
Deposits of IgG in the subendothelial site - between basal lamina and podocyte - cannot go further and is not filtered in the urine
What is the issue associated with IgG in the subendothelial layer?
IgG is too big to be filtered into the urine, but IgG activates compliment (C3) which punches holes in the filter
What is the consequence of complement punching holes in the filter?
Leaky filter allows albumin to be filtered into urine - nephrotic syndrome
What is the prognosis of glomerulonephritis?
•1/4 in chronic renal failure within 10 years
This is not associated with inflamamtion– on wrong side of the basal lamina – inflammatory cells cannot reach
What is the underlying cause of IgG production and accumulation in membranous glomerulonephritis?
Unknown but can have underlying malignancy
IN many patients antigen is phospholipase A2 receptor
Phospholipase A2 is present on podocytes – IgG is against this receptor
Where does matrix deposition occur in diabetic nephropathy?
Matrix deposition in basal lamina underlying endothelium and in mesangial matrix
Kimmelsteil Wilson lesio - gross excess of mesangial matrix forming nodules
Describe the basement membrane in diabetic nephropathy
Thickened and leaky
Describe the messangial matrix in diabetic nephropathy
Compresses capillaries
What are the histological features of diabetic nephropathy?
Small compressed capillary lumen (by messangial matrix)
Thickened capillary wall - leaks albumin
Thickened and narrowed arterioles reduce blood flow to glomerulus
Adhesions to bowmans capsule (glomerulus’s attempt to stop massive leakage of albumin into urine)
What is the prognosis of diabetic nephropathy?
Inevitable decline if 1. established diabetic nephropathy and if 2. continued poor diabetic control