What is glomerulonephritis?
Is glomerulonephritis nephritic or nephrotic?
What 4 cell types may be affected in glomerulonephritis?
T/F: Anti-GBM disease leads to a nephrotic disease process
What are the two most common causes of glomerulonephritis with a renal etiology?
Most common renal etiology of glomerulonephritis
Note: there are many other etiologies but these were in red as the most common
What are the two most common systemic etiologies of glomerulonephritis?
Most common systemic etiologies of glomerulonephritis
Note: there are many other etiologies but these were in red as the most common
What are the clinical findings c/w (consistent with) nephritic syndrome
Nephritic Syndrome Clinical Findings
What 3 diseases can cause pulmonary renal syndrome?
pulmonary-renal syndrome requires aggressive therapy like cytotoxic drugs and plasma exchange
What are the criteria for calling a glomerulonephritis “rapidly progressive?”
What 3 diseases are usually associated with Rapidly Progressive Glomerular Nephritis?
Note: these are the same 3 diseases that are associated with pulmomary renal syndrome
What is pulmomnary renal syndrome?
Pulmomonary renal syndrome: Glomerulonephritis w/ pulmonary capillaritis
For the following labs name what diseases they test for:
Alex’s Made Up Vignette: 56 y/o female presents to the ED coughing up blood snd complaining of dark colored urine. A urine analysis reveals proteinuria and hematuria with RBC casts.
Question:
T/F: You do not need a kidney biopsy to definitively diagnose glomerulonephritis.
What are the 8 main drugs used to treat glomerulonephritis?
What is the most common cause of glomerulonephritis world wide?
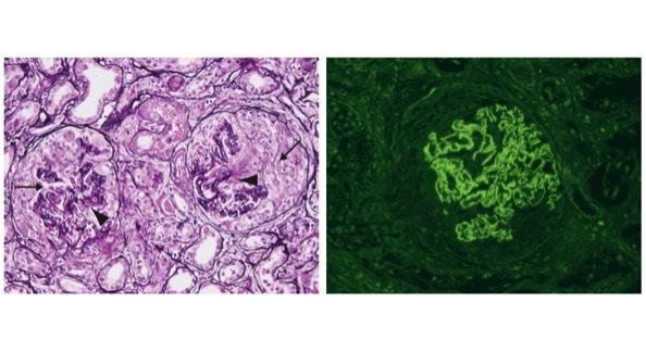
What disease is c/w this IF slide?

What are treatments availablefor IgA nephropathy?
Lupis nephritis can cause hematuria, nephritic disease, or nephrotic disease depending on where the immune complexes end up getting deposited.
Question: Immune complex depositions in what cell layers cause
What disease is this based only on these IHC (immunohistochemistry) slides

ANCA associated vasculitis is actually a group of diseases.
Question: What 4 vasculitis diseases make up ANCA associated vasculitis?