GO Flashcards

(51 cards)

1
Q

Você é médico em uma UBS e irá atender uma gestante de 25 anos, em sua primeira consulta de pré-natal
ATENDIMENTO: dia 22/05/2020.

Tarefa 01:
Realize o atendimento.

Tarefa 02:
Classifique o risco da gestação.

Tarefa 03:
Indique as condutas para a paciente.

A

Atendimento

  1. Baixo risco
  2. Rotina 1º trim: Hemograma, TS+Rh, Glicemia jejum, Toxo-Sifilis-HIV-HepB, Urina 1 e urocult)
    Morfologico de 1º Trim entre 11-13s+6d
    Uso de preservativos
    Interromper maconha
    Acido folico
    Questionar duvidas
    Seguimento e, UBS e retorno
    Chamar paciente pelo nome e usar linguagem acessivel
How well did you know this?
1
Not at all
2
3
4
5
Perfectly
2
Q

Você está de plantão no Pronto Atendimento de uma maternidade e irá atender uma paciente de 18 anos com queixa de sangramento vaginal.
ATENDIMENTO: dia 17/06/2020
* DUM: 25/03/2020

Tarefa 01:
Realize o atendimento.

  • Motivo do atendimento: “Doutor, há 1 hora mais ou menos eu percebi que estava sangrando bastante e desde então não parou.”

Tarefa 02:
Você gostaria de solicitar algum exame? Se sim, qual(is)?

Tarefa 03:
Dê a sua hipótese diagnóstica e as condutas para a paciente.

A

Quantidade de sangramento, sangramento previo
Dor abdominal
Febre
Corrimento
Tontura, desmaio
Sintomas urinarios
DUM e calcular IG
Cartao Pre-Natal

EF geral e SV (pedir permissao, lavar as maos)
Solicitar BCF
Exame especular
Toque vaginal

  1. Solicitar Hb/Ht
    Nao solicitar USG? Apresenta BCF!
  2. HD: Ameaca de abortamento
    Acalmar a gestante e informar que o bebe parece bem
    Tipagem sanguinea do parceiro
    Indicar Ig Anti-D
    Explicou que a paciente necessitava da medicacao
    Orientar cuidados para Toxo
    Sinais de Alarme (febre, dor, sangramento, corrimento, perda de liquido)
How well did you know this?
1
Not at all
2
3
4
5
Perfectly
3
Q

29a, G2PN1,
IG 27s, consulta rotina

  1. Realize o atendimento
  2. De as condutas

TOTG:
* Jejum: 92
* 60 minutos após: 180
* 120 minutos após: 155

A

Solicitar EF geral (pedir permissao, lavar as maos)
Nao realizar o TV!!

  1. Solicitar TOTG
    DM gestacional
    Dieta + exercicio fisico
    Perfil glicemico simples por 2 semanas (jejum, 1h apos cafe da manha, almoco e jantar)
    Cuidados para Toxo
    Nova sorologia para Toxo
    Ig Anti-D em 28s
    Vacina dTpa
    Retorno em 2 semanas
How well did you know this?
1
Not at all
2
3
4
5
Perfectly
4
Q

24a, G2P1, IG 33+6
PA 170/105 na farmacia

  1. Atendimento inicial

“Doutor, comecei a me sentir mal faz umas 2 horas, procurei a farmácia perto de casa para medir minha pressão e ela estava 170x75 mmHg, então o farmacêutico falou para eu procurar um médico, por isso vim aqui”

  1. Dx etiologico
  2. Condutas
A

Cefaleia, escotomas, epigastralgia
Vomitos, dispneia, alteracoes urinarias
Questionar PA na gestacao atual e previa

Solicitar EF geral (pedir permissao, lavar as maos) e SV
EF Gin-OB

  1. Pre-Eclampsia
  2. Indicar Internacao
    Proteinuria em fita
    Hemograma, Ur, Cr, TGO, BB e LDH
    MgSO4 (pritchard ou zuspan)
    Hidralazina EV agora
    Corticoterapia
    SVD para quantificar diurese
    Sinais de possivel intoxicacao por MgSO4 (FR, reflexos profundos, diurese)
    Estabiliza a paciente e avalia a mehor via de parto apos a estabilizacao
How well did you know this?
1
Not at all
2
3
4
5
Perfectly
5
Q

22a, G1P0, IG: 39+3, dor abdominal
DU presente

  1. Atendimento inicial
  • Doutor, estou sentindo muita dor na barriga. Ela está endurecendo de 5 em 5 minutos já fazem 2 horas.
  1. Preencher o partograma
A

Solicitar EF geral (pedir permissao, lavar as maos) e SV
EF Gin-OB
Avaliar DU
Avaliar BCF
Toque vaginal

  1. Dilatacao 4cm
    Altura da apresentacao -2 Delee
    Tracar linha de alerta e de acao
    Registro correto das contracoes (3 mod)
    BCF 145
    BI
How well did you know this?
1
Not at all
2
3
4
5
Perfectly
6
Q

22a, G1P0, IG: 39+3, dor abdominal
DU presente
Após 2h, paciente evoluiu com dor abdominal

  1. Continuar atendimento
A
  1. Padrao da dor e contracao
    Sangramento ou perda liquida
    Acalmar a paciente
    Solicitar CTG e identificar Categoria 2
    Nao indicar cesariana
    Ofertar O2
    Decubito lateral
    Hidratacao
How well did you know this?
1
Not at all
2
3
4
5
Perfectly
7
Q

36a, HAS
Deseja iniciar Contraceptivo

  1. Atendimento inicial
  2. Condutas
  3. Apos orientacoes, pensa em usar DIU, mas deseja injetavel Trim. Fazer a prescricao
A

HMP de Trombose
Historia familiar

  1. Oferecer metodos seguros e eficazes (Progest Trim Inj, DIU cobre ou hormonal)
    Explicar as desvantages de cada em liguagem acessivel
    Reforcar preservativo para IST
    Disponibilidade de preserv masc e fem na UBS
    Marcar consulta de retorno
  2. Medroxiprogesterona 150mg/ml - 1 ampa cada 12s (gluteo ou deltoide)
How well did you know this?
1
Not at all
2
3
4
5
Perfectly
8
Q

40a, nodulo mama E

  1. Atendimento inicial
  2. Descrever etapas do EF
  3. Condutas necessarias
A

Outros nodulos, trauma local, alteracoes de pele, descarga papilar
Hist Familiar de Ca Mama e Ovario
Antecedentes menstruais
Antecedentes obstetricos
Vicios: tabag, etil, aliment, drogas

  1. Solicitar EF geral (pedir permissao, lavar as maos) e SV
    Inspecao estatica e dinamica
    Palpacao de mamas com caracteristicas a serem observadas no nodulo e fluxo papilar
    Ln axilares, infra e supraclaviculares
  2. Solicitar MMG
    Nao solicitar USG ou RNM!!
    Nao realizar Bx!!
    Orientar sobre resultado de MMG (provavelmente benigno)
    Conduta de BI-RADS 3 (nova MMG em 6m)
    Orientou necessidade de novo CCO
    Marcar consulta de retorno
How well did you know this?
1
Not at all
2
3
4
5
Perfectly
9
Q

32a, tenta engravidar ha 3 anos sem sucesso

  1. Atendimento
  2. Diagnostico
  3. Avaliacao basica incial
  4. Exame em anexo. Qual o diagnostico e conduta?
A

Relacionamento atual e nro de relacoes sexuais por sem
Corrimento, sangramento, dismenorreia
Infeccoes genitais previas
Ciclo menstrual
DUM
Por que o marido nao veio a consulta?
Marido tem outros filhos?
Hist Fam de infertilidade

  1. Infertilidade primaria
  2. Espermograma
    FSH, TSH, prolact, progest
    USG-TV e Histerossalpingografia
  3. Prova Cotte negativa bilat ou trompas impervias na HSG
    Indicar VDL
How well did you know this?
1
Not at all
2
3
4
5
Perfectly
10
Q

Você é médico em uma Unidade Básica de Saúde e irá atender a paciente Patrícia, 20 anos, com queixa de corrimento vaginal há 1 semana.

Tarefa 01:
Realize o atendimento desta paciente.

Tarefa 02:
Realize o exame físico direcionado.

Tarefa 03:
Explique a paciente o diagnóstico citando o agente causador, e oriente tratamento.

A

Cor, odor, volume
Prurido, dispareunia
Febre e sintomas urinarios
DUM e paridade
Menarca e sexarca
Sexualidade e nro de parceiros
Metodo contraceptivo e uso de preservativo
ISTs previas
HMP (comorb, medic, cx, alergias)
Vicios: tabag, etil, drogas ilicitas

  1. Solicitar EF geral (pedir permissao, lavar as maos) e SV
    EF ginecologico e especular
    Descrever caracteristicas do corrimento (branco aderido a parede vaginal)
    pH vaginal
    exame a fresco
    Toque vaginal
  2. Candidiase
    Candida sp
    Dizer que nao e’ IST
    Parceiro nao precisa tx
    Miconazol creme vaginal 7 noites ou nistatina 14d
    Preservativo para prevenir IST
    Ofertar anticoncepcao
How well did you know this?
1
Not at all
2
3
4
5
Perfectly
11
Q

62a, consulta rotina

  1. Atendimento inicial
  2. Como fazer a colpocitologia oncotica

Retorna em 1 mes com resultado:
“Atipia escamosa-colunar de significado indeterminado.”

  1. Qual conduta e orientacoes?
A

Apresentar-se (nome e funcao)

  1. Nome, procedencia, religiao, estado civil, profissao
    QP, OPQRST
    Sangramento uterino pos-menopausa
    Corrimento, purrido, lesoes em regiao genital
    Queixas mamarias
    Incontinencia urinaria
    DUM
    Sintomas de climaterio
    Uso de TRH
    Menarca e historico sexual
    Paridade
    HMP: comorb, medic, cx, alerg
    Vicios: tabag, etilismo, drogas
  2. Lavar as maos, pedir consentimento
    Necessidade de acompanhante na sala paro exame
    Materiais necessarios (lâmina, espéculo,
    brush, espátula de Ayres, fixador, frasco coletor e foco de luz)
    Lavar as maos, colocar a paciente em posicao ginecologica, calcar as luvas
    Passar o especulo com cuidado, protegendo a uretra
    Coleta correta de material (ectocervice e depois endocervice)
    Fixar material na lamina corretamente
    Retirar especulo com cuidado e orientar paciente
  3. Exame alterado
    Repetir em 6 meses
    Orientou quanto a benignidade do quadro e que nao ha com o que se preocupar no mometno
    retorno em 6m
How well did you know this?
1
Not at all
2
3
4
5
Perfectly
12
Q

30a, G1P0, 2ª consulta PN

  1. Atendimento
  2. Diagnosticos e exames necessarios
  3. exames para investigacao complementar e tx (foto)
  4. Retorna com 18s, PCR LA positivo para Toxo. Qual conduta?
A

Apresentar-se (nome e funcao)

  1. Nome, procedencia, religiao, estado civil, profissao
    QP, OPQRST
    DUM
    USG e calcular IG (14s)
    GxPxAx
    Sintomas atuais
    Contato com gatos

Solicitar EF geral (pedir permissao, lavar as maos) e SV
EF ginecologico e obstetrico
Solicitar exames lab realizdos

  1. Primigesta
    IG 14s
    Toxo Aguda ou Cronica
    Solicitar teste de avidez de IgG (21%)
    Diagnostico de Toxo Aguda
    Dx de ITU
  2. Solicitar USG mensal
    PCR do LA por amniocentese quando > 16s
    Espiramicina 1g 8/8h
    Antibioticoterapia para ITU
    Urocultura de controle apos 7d
    Acido folico
    Questionar se duvidas
    Seguimento em UBS e retorno com exames
  3. Sulfadiazina 1500mg de 12/12hrs + Pirimetamina 25mg de 12/12hrs + Ácido Folínico 10mg/dia
How well did you know this?
1
Not at all
2
3
4
5
Perfectly
13
Q

25a, G1P0, IG 18s
Em uso de Ac Folico e FeSO4
3ª consulta PN, rotina, exames em anexo

  1. Realizar exame obstetrico abdominal (nao fazer TV)
  2. coletar Colpocitologia oncotica
A

Apresentar-se (nome e funcao)

  1. Medida do FU (16-18cm)
    Manobras de Leopold
    Auscultar BCF
  2. Pedir autorizacao
    Solicitar acompanhante
    materiais necessários (lâmina, espéculo,
    cytobrush, espátula de Ayres, fixador, frasco coletor e foco de luz)
    Identificar a lamina
    Luvas de procedimento
    Introduzir especulo com cuidado, protegendo uretra
    Coletar material (ectocervice, dps endocervice)
    Fixar material na lamina corretamentoe
    Retirar especulo com cuidado
    Orientou retorno para chegar resultado e nova data de PN
How well did you know this?
1
Not at all
2
3
4
5
Perfectly
14
Q

24a, acne

  1. Atendimento
  2. Exames complementares (6)
  3. HD
  4. Conduta
A

Apresentar-se (nome e funcao)

  1. Nome, procedencia, religiao, estado civil, profissao
    QP, OPQRST
    Outros sintomas de hiperandrogenismo
    Corrimento, sangramentos, dismenorreia, dispareunia
    Ciclo menstrual
    Metodo contraceptivo anterior e uso de preservativo
    GxPxAx
    DUM
    HMP (comorb, medic, cx, alergias)
    Medicacoes em uso: antidopaminergicos, antipsicoticos
    Vicios: tabag, etil, drogas ilic
    Antecedentes familiares
  2. Solicitar EF geral (pedir permissao, lavar as maos) e SV
    Beta-HCG
    TSH
    prolactina
    testosterona
    RNM de sela turcica
  3. Microprolactinoma
  4. Cabergolina
How well did you know this?
1
Not at all
2
3
4
5
Perfectly
15
Q

36a, G1P0, IG 36s
Duvidas sobre anticoncepcao pos-parto

  1. Entrevistar paciente e retirar duvidas
  • Doutor, eu não quero mais engravidar, quais são os métodos anticoncepcionais que posso usar logo após a minha gestação?
  • Em que momento eu posso colocar o DIU?
  • Mesmo se for parto normal ou cesárea ou posso colocar o DIU?
  • Eu li na internet que tem muita chance de expulsão do DIU. O que o senhor acha disso?
  • Doutor, quais as complicações que pode ter após a colocação do DIU?
  • Doutor, caso no futuro eu queira engravidar novamente, eu corro risco de não conseguir engravidar por ter usado o DIU alguma vez?
  • Eu vou poder amamentar normalmente mesmo com o DIU?
  • Última dúvida, doutor, com certeza eu vou poder colocar o DIU após o parto então, né? To meio preocupada com isso.
A

Apresentar-se (nome e funcao)
Usar linguagem acessivel e boa relacao medico-paciente

Orientou possibilidade de colocar DIU no puerperio?
Orientou sobre o momento da colocação do DIU
no puerpério?
Orientou que pode ser colocado independente da via de parto?
Orientou sobre a possibilidade de expulsão e chances?
Orientou corretamente sobre risco de infecção após colocação do DIU?
Explicou sobre ausência de interferência na infertilidade futura?
Orientou sobre não influenciar na amamentação?

Explicou quais as situações que impediriam a sua colocação no puerpério imediato (citar pelo menos 2)?
* Bolsa rota há mais de 18 horas (maior risco de infecção);
* Corioamnionite;
* Sangramento puerperal imediato não controlado;
* Laceração vaginal extensa;
* Sepse puerperal.

Perguntou se a paciente tinha mais alguma dúvida?
Checou se a paciente entendeu as orientações?

How well did you know this?
1
Not at all
2
3
4
5
Perfectly
16
Q

36a, G3Pc2, realiza cesariana
Evolui com hipotensao, taquicardia, sangramento abundante

  1. Conduza atendimento
  2. Pp HD
  3. Apontar 3FR na historia
  4. citar 3 ddx
A

Apresentar-se (nome e funcao)

  1. Massagem uterina (realizar)
    Ocitocina 10-20UI EV
    Acido tranexamigo 1g EV
    Metilergometrina 1amp ou 0.2mg IM
    Misoprostol 800mg VR
    Tamponamento uterino com balao de Bakri
    Cirurgia com sutura B-Lynch
  2. Atonia uterina
  3. Idade materna avancada
    Multiparidade
    Cesarea previa
  4. Retencao de restos placentarios
    Coagulopatia
    Inversao uterina
    NAO INDICAR: laceracao de canal de parto
How well did you know this?
1
Not at all
2
3
4
5
Perfectly
17
Q

20a, descarga mamilar

  1. EF das mamas
  2. sequencia de investigacao
A

Apresentar-se (nome e funcao)

  1. Pedir permissao para o exame mamario, lavar as maos
    Inspeção estática (observando tamanho, forma,
    textura, simetria, mamilos, abaulamentos, retrações, lesões e discromia)
    Inspeção dinâmica (1º mãos na cintura, 2º braços a 90º, 3º braços a 180º) - observando abaulamento, retrações ou espessamento de ligamentos
    Palpação de linfonodos (supraclavicular,
    infraclavicular e axilar)
    Deitou a paciente e posicionou as mãos dela
    atrás da cabeça
    Palpacao de cada uma das mamas (velpeuax ou Bloodgood)
    Presenca de descarga papilar
  2. Explicar benignidade
    Nao solicitar exame complementar
    Acompanhamento ambulatorial
How well did you know this?
1
Not at all
2
3
4
5
Perfectly
18
Q

21a, irregularidade menstrual

  1. Atendimento
  2. Exames complementares necessarios (10)
  3. HD
  4. conduta
A

Apresentar-se (nome e funcao)

  1. Nome, procedencia, religiao, estado civil, profissao
    QP, OPQRST
    DUM
    Ciclos menstruais
    Metodos anticoncepcionais
    Atividade sexual
    Acne, hirsutismo, alopecia, acantose nigricans, ganho de peso
    Corrimento, sangramentos, dismenorreia, dispareunia
    Medicacoes (antidopaminergicos, antipsicoticos)
    HMP: comorb, cx, alergias
    Vicios: tabagismo, etilismo, drogas ilicitas
    HF ou pessoal de infertilidade

Solicitar EF geral (pedir permissao, lavar as maos)
SV e dados antropometricos
Indice de Ferriman-Gallwey

  1. b-HCG
    TSH, FSH, LH
    prolactina, testosterona, 17-OH progest
    USG TV
  2. SOP
  3. atividades fisicas, dieta, perda de peso
    ACO combinado
    Retorno precoce para reavaliacao e seguimento
How well did you know this?
1
Not at all
2
3
4
5
Perfectly
19
Q

26a, IG 36+3d, liquido estranho na roupa intima

  1. Atendimento
  2. HD
  3. Condutas
A

Apresentar-se (nome e funcao)

  1. Nome, procedencia, religiao, estado civil, profissao
    QP, OPQRST
    Cartao PN
    DUM e USG para avaliar IG
    GxPxAx
    Tempo de perda de liquido
    Quantidade, coloracao e odor
    Dor abd, sgto previo
    Febre, corrimento, sinais de infeccao
    Sintomas urinarios
    HMP (comorb, medic, cx, alergias)

Solicitar EF geral (pedir permissao, lavar as maos) e SV
Medir FU e manobras de Leopold
Auscultou BCF
Exame especular (introduziu o espéculo obliquamente, observou o líquido, retirou o espéculo adequadamente - o candidato deverá fechar o espéculo, rotacionar e remover)
Solicitar TV

  1. RPMO e explicar a paciente
  2. Internacao hospitalar
    Hemograma, PCR, Urina-1
    Preparo do colo com misoprostol e inducao
    CTG basal
    ATB para EGB (ataque e manut)
    Retirar duvidas
How well did you know this?
1
Not at all
2
3
4
5
Perfectly
20
Q

19a, agitada e chorosa.
“Doutor, fui vítima de violência sexual essa noite.”

  1. Atendimento completo
  2. condutas
A

Apresentar-se (nome e funcao)

  1. Nome, procedencia, religiao, estado civil, profissao
    QP, OPQRST
    mostrar empatia
    tipo de penetracao, uso de preservativo
    Outras queixas
    GxPxAx
    DUM
    Usa metodo contraceptivo
    DST previa
    Antecedentes patologicos
    Cartao de vacinacao

Solicitar EF geral (pedir permissao, lavar as maos) e SV

  1. teste HIV, VDRL, Hep-B, Hep-C
    Contraceptaoc de emergencia
    PEP: Tenof + lamiv + dolutegravir 28d
    Pen G ben 2.4mi (metade em cada nadega)
    Ceftriax 500mg IM DU
    Azitrom 1g VO DU
    Vacinacao Hep B
    Vacina tetano

Encaminhamento para apoio social
Se gestacao, possivel interrupcao em ate 20s
Oferecer BO, mas nao e’ obrigatorio
Notificacao compulsoria imediata
Orientou sigilo medico

How well did you know this?
1
Not at all
2
3
4
5
Perfectly
21
Q

24a, G1P0, IG 37s+3d
Dor forte abdominal e diminuicao da movimentacao fetal

  1. Atendimento
  2. Exames solicitados
  3. Diagnosticos
  4. Principal Ddx e 3 caracteristicas que o diferenciam
  5. Fatores de risco para a HD (5)
A

Apresentar-se (nome e funcao)

  1. Nome, procedencia, religiao, estado civil, profissao
    QP, OPQRST
    Sangramento e caracteristicas
    Perda de liquido, movimentacao fetal, tonus uterino
    HMP (comorb, medic, cx, alergias)
    Vicios: tabag, alcool, drogas ilic

Solicitar EF geral (pedir permissao, lavar as maos) e SV
OB: AU, BCF, tonus ou DU
EF ginecologico e especular
Toque vaginal

  1. hemograma, TS + Rh, Coagulograma
    CTG
  2. dx DPP
    Sofrimento fetal Agudo na CTG
    Monitorar paciente
    Interrupcao imediata por parto cesareo
    Explicar a conduta a paciente
  3. Placenta previa
    Sangramento vermelho vivo, útero não endurecido, abdome indolor, sangramento de repetição, volume de sangue progressivamente maior
  4. HAS, trauma, cocaina, tabagismo, DPP previo
22
Q

22a, dor abd, colica, ha 1 semana, progressiva
febre baixa

  1. Atendimento inciial
  2. Exames solicitados
  3. Diagnosticos Sindromico e Etiologico
  4. Conduta
A

Apresentar-se (nome e funcao)

  1. Nome, procedencia, religiao, estado civil, profissao
    QP, OPQRST
    Corrimento, dispareunia
    Febre, sintomas urinarios
    ISTs previas
    DUM e paridade
    Menarca e sexarca
    Sexualidade e nro de parceiros
    Uso de contracepcao e preservativo
    HMP (comorb, medic, cx, alergias)
    Vicios: tabag, alcool, drogas ili

Solicitar EF geral (pedir permissao, lavar as maos) e SV
EF ginecologico e especular
Toque vaginal

  1. Hemograma, PCR, VHS
    b-HCG e urinar 1
    USGTV
  2. Doenca Inflamatoria Pelvica Aguda
    DIPA estagio 3 de Monif
    Neisseria gonorrhoeae +- Chlamydia trachomatis
  3. Tratamento hospitalar com drenagem cx
    Ceftriaxone IV + Metronidazol IV + doxi VO por 14 dias
    Rastreio de outras DST
    Convocacao de parceiro para consulta

Classificacao de Monif:
* Estágio 1: DIPA não complicada;
* Estágio 2: DIPA com peritonite;
* Estágio 3: oclusão de trompa ou abscesso;
* Estágio 4: abscesso maior que 10cm ou roto.

23
Q

19a, 1ª consulta PN

  1. Atendimento
  2. Exames solicitados
  3. Condutas se VDRL positivo
A

Apresentar-se (nome e funcao)

  1. Nome, procedencia, religiao, estado civil, profissao
    QP, OPQRST
    DUM
    Calcular IG e DPP
    Cartao PN e Vacinacao
    GxPxAx
    Anticoncepcao e uso de preservativos
    Sintomas atuais, sangramento, corrimento, dor e lesoes vulvares
    HMP (comorb, medic, cx, alerg)
    Vicios: tabag, alcool, drogas

Solicitar EF geral (pedir permissao, lavar as maos) e SV
EF ginecologico e especular

  1. Hemog, TS + Rh
    Glicemia jejum
    Toxo, Sifilis, HIV, HepB
    Urina 1 e urocultura
    Morfologico 1º trim entre 11s-13+6
  2. Questionar tratametno previo para sifilis e outras ISTs
    Penic Benz 1.2mi em cada nadega, 3 doses, a cada 1 semana
    Explicar que e’ DST
    Entrar em contato com parceiros para convocar tx
    Seguimento mensal para controle de cura
    Notificar sifilis gestacional
    Orientou interromper tabagismo e etilismo
    Acido folico
    Vacina Influenza e Hep-B

Abrir para duvidas
Seguimento em UBS e retorno

24
Q

IG 39s, G1, em periodo expulsivo do TP

  1. Realizar os 3 primeiros tempos da Manobar de Leopold e indicar a sua relacao com a estatica fetal
  2. De acordo com a imagem, qual a variedade de posicao e da apresentacao ao TV
  3. qual o ponto de referencia do feto ao TV
  4. Quais os forcipe demonstrados?
A

Apresentar-se (nome e funcao)

  1. Lavar as maos
    Primeiro tempo e relacao com situacao
    Segundo tempo e relacao com posicao
    Terceiro tempo e relacao com apresentacao
  2. OEA
  3. Lambda
  4. Kielland
    Piper
    Simpsion
25
G2, em TP com 10h de evolucao. Partograma 1. Dar o diagnostico conforme Partograma 2. Pp causa da distocia 3. Condutas 4. Criterios de aplicabilidade do forceps
Apresentar-se (nome e funcao) 1. Parada secundaria da Descida 2. Distocia funcional 3. Amniotomia Se falha: Ocitocina 4. Dilatacao total BR Insinuacao fetal ou acima do +1 DeLee Medico deve conhecer a variedade de posicao Desproporcao Cefalo-Pelvica deve ser excluida
26
20a, G1P0, IG 40s Reducao da movimentacao fetal ha 3 dias 1. Atendimento 2. Exames solicitados 3. HD 4. Condutas
Apresentar-se (nome e funcao) 1. Nome, procedencia, religiao, estado civil, profissao QP, OPQRST Calcular IG cfme USG Sangramento, perda de liquido, DU, MF Cartao PN Antecedentes ginecologicos HMP (comorb, medic, cx, alerg) Vicios: tabag, etil, drogas 2. Solicitar EF geral (pedir permissao, lavar as maos) e SV EF obstetrico Amnioscopia CTG e interpretar (feto hipoativo) Realizar estimulo sonoro e nova CTG Solicitar Perfil Biof Fetal (ILA, Mov Resp, Mov Corporeo, Tonus) 3. SFA 4. internacao e cesariana Manteve postura diante dos sentimentos da paciente e explicou a necessidade de realizar a cesariana
27
1. Atendimento 2. Exames solicitados 3. Condutas
Apresentar-se (nome e funcao) 1. Nome, procedencia, religiao, estado civil, profissao QP, OPQRST 2. Solicitar EF geral (pedir permissao, lavar as maos) e SV EF ginecologico e especular
28
45a, G3PC2A1 Fluxo menstrual aumentado ha 3 anos Dismenorreia moderada 1. Atendimento 2. Exames solicitados 3. HD 4. Condutas
Apresentar-se (nome e funcao) 1. Nome, procedencia, religiao, estado civil, profissao QP, OPQRST Dor ciclica x nao-ciclica Caracteristicas do fluxo menstrual atual e previo Dismenorreia, dispareunia, sinusorragia Sintomas anemicos DUM e paridade Menarca e sexarca Contracepcao atual e uso de preservativo HMP (medic, comorb, cx, alerg) Vicios: tabag, alcool, drogas 2. Solicitar EF geral (pedir permissao, lavar as maos) e SV EF ginecologico e especular USG 3. Adenomiose (miometrio heterogeneo) 4. Hemograma, RNM para confirmacao Prescrever ACO Piroxicam nas crises, max 5 dias Retorno para seguimento Linguagem acessivel
29
28a, G2PN2 Deseja utilizar DIU DUM ha 1 semana e usa ACO regular 1. Atendimento 2. Orientar quanto a eficacia, validade e seguimetno do DIU 3. Condutas e insercao do DIU
Apresentar-se (nome e funcao) 1. Nome, procedencia, religiao, estado civil, profissao QP, OPQRST Corrimento? Dismenorreia e dor abdominal Caracteristicas do Fluxo menstrual atual 2. DIU nao e' 100% eficaz, mas e' um dos mais eficazes e superior ao ACO Validade de 10a do DIU-Cu USG apos insercao para avaliar posicionamento Aumento do fluxo menst e colica pre-menst nos primeiros 3 meses apos insercao Possibilidade de retirada do DIU caso dor ou desconforto excessivo Questionar se duvidas 3. Higienizar as maos e pedir consentimento Separar materiais Realizar exame fisico antes da insercao Colocar especulo com cuidado, protegendo uretra Procurar sinais de cervicite antes da insercao do DIU Limpesa do colo e canal vaginal com gaze e clorexidina Puncou labio anterior do colo com a pozzi Realizou a histerometria Ajustou o anel de medical (ou haste movel azul do DIU) a histerometria e colocou as hastes laterais do diu dentro do aplicados Inseriu o sistema de colocacao ate que o anel de medicacao toque o colo Segugurando o embolo, recolheu o aplicador ate liberar o DIU, obedecendo a tecnica de recolhimento Retirou o embolo e o aplicador Cortou o fio do DIU com cerca de 2cm Retirou o especulo com cuidado Descartou os materiais adequadamente
30
28a, nauseas e vomitos ha 5 dias 1. Atendimento 2. Exames solicitados 3. HD 4. Condutas
Apresentar-se (nome e funcao) 1. Nome, procedencia, religiao, estado civil, profissao QP, OPQRST DUM Sangramento e caract, Sgto previo Tontura, desmaio, sintomas anemicos Dor abdom GxPxAx HMP (comorb, med, cx, aleg) Cartao PN 2. Solicitar EF geral (pedir permissao, lavar as maos) e SV EF ginecologico e especular, TV BCF USG Hemograma, Ur, Cr, Eletrolitos 3. DTG ou Gestacao molar ou Mola hidatiforme 4. Internacao hospitalar para AMIU Realizar Bx do material Hidratacao EV e antiemetico TS da paciente e parceiro Ig Anti-D Explicar a necessidade de medicacao (complicacoes futuras) Controle de cura da doenca com realizacao do beta-HCG semanal
31
27a, HIV+ CCO: LSIL (lesao intra epitelial escamosa de baixo grau) 1. Qual a conduta frente a essa paciente? 2. De acordo com a imagem, qual o teste realizado, qual o achado e qual a conduta?
1. Convocar paciente para nova consulta o mais rapido possivel Solicitar Colposcopia 2. Teste de Shiller Teste de Shiller positivo ou lugol negativo Indicar biopsia da lesao
32
27a, HIV+ CCO: LSIL (lesao intra epitelial escamosa de baixo grau) 3. Biopsia NIC III. Qual proxima conduta 4. O resultado do exame solicitado na tarefa anterior foi: carcinoma in situ, margens livres de lesão. Qual a conduta frente ao diagnóstico levando em consideração que a paciente deseja ter filhos? 3. HD 5. A paciente possui uma filha de 10 anos, também HIV positiva. Qual a recomendação você daria em relação a prevenção primária da doença materna para a criança?
3. CONE ou CAF (cx alta frequencia) 4. Nao indicar histerectomia Nao indicar Radio/Qt Seguimento clinico 5. Vacinacao para crianca 3 doses de quadrivalente contra HPV (0, 2 e 6m)
33
65a, menopausa ha 15, sem TRH Urgencia miccional ha 12a 1. Atendimento 2. Exames solicitados 3. HD 4. Orientacoes 5. Retorna anos depois com piora dos sintomas, com incontinencia ao tossir e levantar. Qual dx conforme POP-Q 6. em que situacoes realizar o estudo urodinamico (4)
Apresentar-se (nome e funcao) 1. Nome, procedencia, religiao, estado civil, profissao QP, OPQRST Nro miccoes de dia e noite Perda urinaria aos esforcos? Disuria e outros sintomas urinarios Queixas ginecologicas GxPxAx HMP (comorb, cx, medic, alerg) Vicios: tabag, etil, drogas Habitos: Ingesta de cafe, Exerc Fis 2. Solicitar EF geral (pedir permissao, lavar as maos) e SV Dados antropometricos EF ginecologico e especular Teste de esforco para perda urinaria Urina-1 e urocultura Nao solicitar estudo urodinamico 3. Bexiga hiperativa 4. Orientar perda de peso, atividade fisica, reduzir cafe, parar de fumar Encaminhar para Fisioterapia Nao prescrever anticol ou beta3-ago Agendar consulta de retorno 5. Prolapso genital (cistocele e prolapso uterino) 6. Dúvida diagnóstica, incontinência urinária refratária ao tratamento clínico, pré-cirúrgico ou incontinência mista
34
48a, calor intenso, sudorese intermitente, dispareunia ha 3 meses 1. Atendimento 2. Exames solicitados 3. HD 4. Condutas
Apresentar-se (nome e funcao) 1. Nome, procedencia, religiao, estado civil, profissao QP, OPQRST Caracteristicas dos ciclos menstruais atual e previos DUM Alteracao da libido Disturbios do humor e do sono, ansiedade, irritabilidade Uso de contraceptivo e preservativo HMP (comorb, cx, alergias, medic) Cx ginec e fratura previa Evento tromboembolico previo Vicios: tabagismo, etilismo HF: Ca ginecologico Ultimo CCO e MMG 2. Solicitar EF geral (pedir permissao, lavar as maos) e SV EF das mamas EF ginecologico Dosagem de FSH HDL, LDL, trig, colesterol tot USG pelvica e interpretou sem alteracoes 3. Climaterio 4. Verificar contraindicacao para TH (ca mama ou endometrio, Tromboemb agudo, Sang vaignal indeterm, Doenca hepatica descomp, Porfiria) Roupas arejadas, evitar tabagismo, diminuicao de peso, exerc leves. Indicar TRH Abrir para duvidas
35
23a, 2ª consulta PN, assintomatica 1. Interpretar exames e orientacoes 2. Qual sindrome exclusiva desta gestacao e complicacao mais temida?
Apresentar-se (nome e funcao) 1. Calcular IG pela DUM Calcular IG pela USG de 1º Trim Determinar se as IGs sao compativeis Identificar Rh (-) e CI (-) Orientar Ig-Anti-D em 28s Suscetivel a Toxo Medidas de prevencao a toxo Imune a Hep-B e nao vacinar Sinal do T no USG e identificar gestacao gemelar monocorionica 2. Sind Transfusao Feto-Fetal
36
27a, dor vulvar ha 2 dias, caroco doloroso Sem febre G0 Ao EF, a imagem 1. Atendimento 2. Exames solicitados 3. HD 4. Passo a passo para a drenagem
Apresentar-se (nome e funcao) 1. Bartholinite ou abscesso da glandula de Bartholin 2. Drenagem local Analgesia com AINE Antibiotico 3. lavar as maos, paramentacao Antissepsia Anestesia com lidocaina Incisao na pele Expressao e divulsao da lesao irrigacao com SF0.9% Nao indicar sutura
37
1. Atendimento 2. Exames solicitados 3. HD 4. Condutas
Apresentar-se (nome e funcao) 1. Nome, procedencia, religiao, estado civil, profissao QP, OPQRST 2. Solicitar EF geral (pedir permissao, lavar as maos) e SV EF ginecologico e especular
38
G3Pn2, DUM e IG desconhecida Contracoes ha 2h, sem Pre-Natal TR (+) para HIV 1. Informe para a paciente o diagnostico 2. De as condutas adequadas 3. Sobre transmissao vertical, existe alguma profilaxia?
Apresentar-se (nome e funcao) 1. Informar TR positivo HIV informar necessidade de teste confirmatorio Teste novo demora alguns dias e e' preciso tomar medidas para impedir a transmissao vertical Linguagem acessivel e lidou com a situacao de forma profissional 2. AZT IV profilatico Parto apos 3h da profilax AZT administrado ate clampeamento do CU Conducao do TP, sendo evitada amniotomia, amnioscopia e episio Indicar clampeamento imediato do CU Notificacao compulsoria 3. AZT nas primeiras 4 semanas de vida do RN Indicar niverapina
39
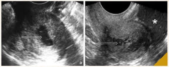
70a, constipacao intestinal, aumento do volume abdominal ha 1 mes, perda de peso 5kg em 3m Traz USG 1. Atendimento e HD 2. Exames solicitados (5+) 3. Fatores de risco (5) e fatores de protecao (3) 4. Explique como deve ser feito o diagnóstico, solicitando exames laboratoriais que julgar necessários e qual é o tratamento mais preconizado.
Apresentar-se (nome e funcao) 1. Nome, procedencia, religiao, estado civil, profissao QP, OPQRST Sintomas sistemicos (perda de peso, febre, sudorese) Sintomas Gin Menarca, menopausa Paridade Ativ sexual, contracepcao HMP (comorb, medic, cx, alerg) Vicios: tabag, etil, drogas Antecedentes familiares (CA gin) Solicitar EF geral (pedir permissao, lavar as maos) e SV EF ginecologico, especular, TV HD: Ca / Carcinoma de ovario maligno 2. TC ou RM / marcadores tumorais / CA-125 / CEA / USG de abdome / endoscopia digestiva alta / gama-GT / TGO / TGP / colonoscopia / bilirrubinas / radiografia de tórax 3. FR: idade avançada / obesidade / mama densa / antecedente familiar / síndrome de Lynch II / menopausa tardia / baixa paridade / ingesta excessiva de gordura animal / população judaica Ashkenazi / infertilidade / drogas indutoras da ovulação / mutações genéticas / baixos níveis de alfa L-fucosidase. FP: : amamentação / uso de anovulatórios / laqueadura tubária bilateral / multiparidade / ooforectomia / histerectomia. 4. Diagnostico por Laparot Exp e anatomopatologico do material retirado da cx Cx e Qt sao opcoes Provavel tipo do tu: carcinoma epitelial / seroso
40
22a, nauseas, barriga inchada, Polaciuria sem disuria. DUM ha 8 sem, sexarca 15a. 1. Nomear achados possiveis ao EF 2. Exames solicitados 3. HD 4. Condutas
Apresentar-se (nome e funcao) 1. Nome, procedencia, religiao, estado civil, profissao QP, OPQRST 2. Solicitar EF geral (pedir permissao, lavar as maos) e SV EF ginecologico e especular
41
1. Atendimento 2. Exames solicitados 3. HD 4. Condutas
Apresentar-se (nome e funcao) 1. Nome, procedencia, religiao, estado civil, profissao QP, OPQRST 2. Solicitar EF geral (pedir permissao, lavar as maos) e SV EF ginecologico e especular
42
1. Atendimento 2. Exames solicitados 3. HD 4. Condutas
Apresentar-se (nome e funcao) 1. Nome, procedencia, religiao, estado civil, profissao QP, OPQRST 2. Solicitar EF geral (pedir permissao, lavar as maos) e SV EF ginecologico e especular
43
1. Atendimento 2. Exames solicitados 3. HD 4. Condutas
Apresentar-se (nome e funcao) 1. Nome, procedencia, religiao, estado civil, profissao QP, OPQRST 2. Solicitar EF geral (pedir permissao, lavar as maos) e SV EF ginecologico e especular
44
1. Atendimento 2. Exames solicitados 3. HD 4. Condutas
Apresentar-se (nome e funcao) 1. Nome, procedencia, religiao, estado civil, profissao QP, OPQRST 2. Solicitar EF geral (pedir permissao, lavar as maos) e SV EF ginecologico e especular
45
1. Atendimento 2. Exames solicitados 3. HD 4. Condutas
Apresentar-se (nome e funcao) 1. Nome, procedencia, religiao, estado civil, profissao QP, OPQRST 2. Solicitar EF geral (pedir permissao, lavar as maos) e SV EF ginecologico e especular
46
1. Atendimento 2. Exames solicitados 3. HD 4. Condutas
Apresentar-se (nome e funcao) 1. Nome, procedencia, religiao, estado civil, profissao QP, OPQRST 2. Solicitar EF geral (pedir permissao, lavar as maos) e SV EF ginecologico e especular
47
1. Atendimento 2. Exames solicitados 3. HD 4. Condutas
Apresentar-se (nome e funcao) 1. Nome, procedencia, religiao, estado civil, profissao QP, OPQRST 2. Solicitar EF geral (pedir permissao, lavar as maos) e SV EF ginecologico e especular
48
1. Atendimento 2. Exames solicitados 3. HD 4. Condutas
Apresentar-se (nome e funcao) 1. Nome, procedencia, religiao, estado civil, profissao QP, OPQRST 2. Solicitar EF geral (pedir permissao, lavar as maos) e SV EF ginecologico e especular
49
1. Atendimento 2. Exames solicitados 3. HD 4. Condutas
Apresentar-se (nome e funcao) 1. Nome, procedencia, religiao, estado civil, profissao QP, OPQRST 2. Solicitar EF geral (pedir permissao, lavar as maos) e SV EF ginecologico e especular
50
1. Atendimento 2. Exames solicitados 3. HD 4. Condutas
Apresentar-se (nome e funcao) 1. Nome, procedencia, religiao, estado civil, profissao QP, OPQRST 2. Solicitar EF geral (pedir permissao, lavar as maos) e SV EF ginecologico e especular
51
1. Atendimento 2. Exames solicitados 3. HD 4. Condutas