GO Flashcards

(46 cards)

1
Q

Manejo cisto ovariano hemorrágico

A
  • Se a paciente for assintomática e cisto < 3-5 cm: nada a se fazer.
  • Se o cisto for grande (> 5-7 cm) e a paciente assintomática, podemos repetir o USG para avaliar resolução em 6-12 semanas.
  • Se sinais de ruptura, instabilidade clínica, dor refratária ou suspeita de torção ovariana: abordagem cirúrgica.
How well did you know this?
1
Not at all
2
3
4
5
Perfectly
2
Q

Segundo as Diretrizes Brasileiras de Rastreamento de Câncer de Colo Uterino (2016), após a realização da exérese de zona de transformação, o seguimento da paciente vai depender do resultado das margens:

A

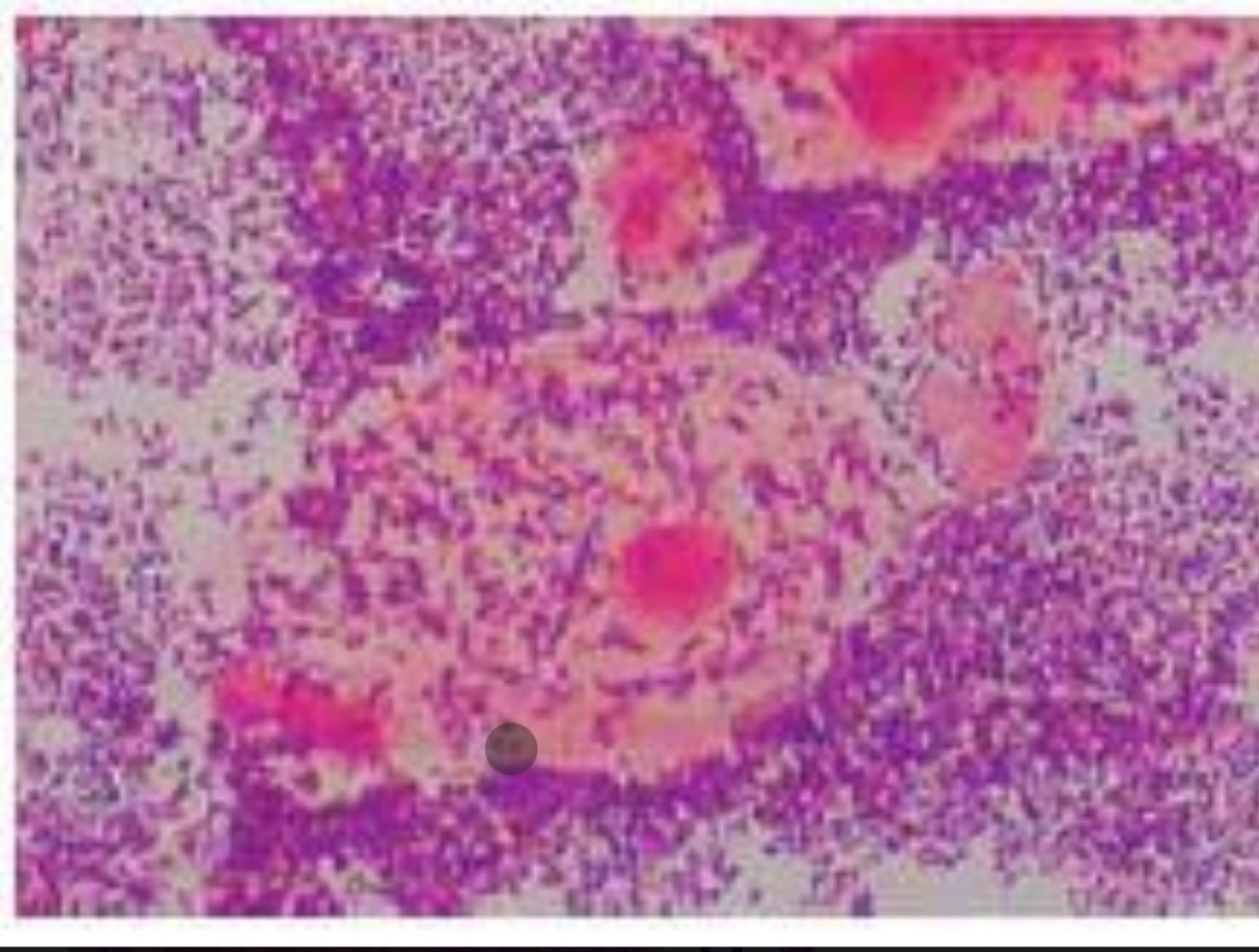
• No caso de margens livres ou comprometidas por NIC 1, deve ser feito citologia com 6 meses e 1 ano, a colposcopia fica à critério do serviço;
• Margens comprometidas com lesão de alto grau deve ser feito citologia + colposcopia de 6 em 6 meses por 2 anos e, após esse período, citologia anualmente até completar os 5 anos do procedimento.

How well did you know this?
1
Not at all
2
3
4
5
Perfectly
3
Q

Valor DM gestacional X overt diabetes

A

Glicemia de jejum 92-126 -> DMG
>126 overt

How well did you know this?
1
Not at all
2
3
4
5
Perfectly
4
Q

V ou F:
SUA em mulher pós-menopausa na maioria dos casos é maligno, por isso deve-se sempre ser investigada.

A

Falso
Na maioria das vezes é benigno, porém sempre deve ser feita investigação com USGT p determinar espessura do endométrio (se >4 mm ou 8mm se estiver em reposição hormonal é suspeito).

How well did you know this?
1
Not at all
2
3
4
5
Perfectly
5
Q

Exames inicias investigação de SUA

A

beta-HCG e hemograma (anemia e contagem de plaq)

How well did you know this?
1
Not at all
2
3
4
5
Perfectly
6
Q

V ou F:

Para o tratamento para sífilis ser considerado adequado para gestante é preciso iniciá-lo no mínimo 30 dias antes do parto.

A

V

How well did you know this?
1
Not at all
2
3
4
5
Perfectly
7
Q

HAS gestacional - rastrear lesões de órgão alvo, quais os exames?

A

segundo a Febrasgo:

Transaminases, função renal, potássio e relação proteinúria/creatininúria (mais fácil e rápida que a proteinúria de 24 horas).

Outros exames como fundo de olho, eletro e ecocardiograma, radiografia de tórax e ultrassonografia renal devem ser individualizados, considerando tempo e gravidade da doença.

How well did you know this?
1
Not at all
2
3
4
5
Perfectly
8
Q

Quando investigar neurossilis?

A
  • Manifestações neurológicas na esfera motora, sensitiva ou cognitiva
    • Sintomatologia sifilítica ou VDRL maior que 1:8 pós-tratamento, descartada reinfecção (Caso da paciente)
    • Pessoas com HIV na presença de CD4 menor que 351 células/mm3 e VDRL maior ou igual a 1:32;
  • e evidência de doença sifilítica terciária não neurológica em atividade (goma ou aortite).
How well did you know this?
1
Not at all
2
3
4
5
Perfectly
9
Q

Qual principal infecção puerperal e qual seu tratamento?

A

A endometrite é a principal infecção puerperal. Costuma aparecer nas provas com febre (patológica), lóquios fétidos e útero amolecido, doloroso e subinvoluído (os três últimos formam a tríade de Bumm). A infecção é polimicrobiana e pode complicar com salpingite, peritonite e choque septico.

Tratamento: clindamicina endovenosa (EV) + gentamicina EV, até 72 horas assintomática.

How well did you know this?
1
Not at all
2
3
4
5
Perfectly
10
Q

Interprete os pronto do POP-Q

A
  • Aa e Ba = parede anterior (a é de anterior). Na prova o que interessa é o Ba! Ignore o Aa!
  • Ap e Bp = parede posterior (p é de posterior). Na prova o que interessa é o Bp! Ignore o Ap!
  • C = Colo do útero, ou cúpula nas mulheres histerectomizadas.
  • D = fundo de saco de Douglas (pacientes histerectomizadas não tem ponto D! Pegadinha clássica).
  • CVT = comprimento vaginal total.

Tudo que é negativo fica dentro da vagina, o zero é o hímen, e os positivos é tudo que fica “para fora”.

How well did you know this?
1
Not at all
2
3
4
5
Perfectly
11
Q

Classificação POP-Q

A

De normal até -1 é classe 1; de -1 a +1 é classe 2; e o resto é classe 3 ou 4.

Pouquíssimas bancas cobram a diferença do 3 para 4. Se a sua banca cobra, preste atenção: tudo que vai de +1 até um valor x(CVT -2) é 3, e depois 4.

Vou dar um exemplo: se o CVT é de 8, de +1 até +6 (8-2) é 3, e de +6 para frente é classe 4.Então, vamos lá.

Primeiro você vai olhar 3 pontos:
Ba = + 4, logo, a parede anterior da vagina está 4 cm para fora (classificação 3), a chamada CISTOCELE.

C= -9, logo, o colo está 9 cm para dentro, ou seja, na posição correta.

How well did you know this?
1
Not at all
2
3
4
5
Perfectly
12
Q

tratamento no climatério sintomático + osteopenia é?

A

TH e carbonato de cálcio associado à vitamina D

How well did you know this?
1
Not at all
2
3
4
5
Perfectly
13
Q

Valores T-score da massa óssea

A

Valores do T score:

Normal: maior ou igual a -1
Osteopenia: -1,1 a -2,4
Osteoporose: menor ou igual a -2,5.

How well did you know this?
1
Not at all
2
3
4
5
Perfectly
14
Q

Valores de referência glicemia de jejum e pós- prandial (1 e 2h após) na obstetrícia

A
  • Valor de referência em jejum: < 95 mg/dL
  • Valor de referência 1 hora pós-prandial: < 140 mg/dL
  • Valor de referência 2 horas pós-prandial: < 120 mg/dL
How well did you know this?
1
Not at all
2
3
4
5
Perfectly
15
Q

Suspeitou de placenta previa, o que nao pode ser feito?

A

Toque vaginal
Deve ser solicitado USGT

How well did you know this?
1
Not at all
2
3
4
5
Perfectly
16
Q

Achado mamográfico mais comum do carcinoma ductal in situ da mama

A

Microcalcificações pleomórficas bem agrupadas

O carcinoma ductal in situ das mamas tem expressão á mamografia e, geralmente, se apresenta como lesão palpável e unifocal. Esse tipo histológico tem maior risco de invasão e geralmente ela é ipsilateral ao local do tumor primário.

How well did you know this?
1
Not at all
2
3
4
5
Perfectly
17
Q

Na gestante com infecção por HIV e carga viral indetectável, a via de parto deverá ser?

A

Por indicação obstétrica e manter TARV habitual

How well did you know this?
1
Not at all
2
3
4
5
Perfectly
18
Q

Sangramento 1 metade com EFG: útero maior do que o esperado para a idade gestacional, eliminação de vesículas com aspecto de cacho de uva. HD?

A

Doença trofoblástica gestacional

How well did you know this?
1
Not at all
2
3
4
5
Perfectly
19
Q

Sangramento 1 metade com EFG: dor à mobilização do colo ou de fundo de saco, palpação de massa anexial, avaliação de equimose periumbilical. HD?

A

Gravidez ectopica

20
Q

Sangramento 1 metade e EFG: colo uterino aberto ou fechado, saída de restos ovulares ou conteúdo purulento. HD?

21
Q

Diagnóstico dessa bacterioscopia vaginal

A

Vaginose bacteriana:

clue cells, que são as células vaginais (as rosinhas) recobertas de bactérias (os roxinhos).

22
Q

A partir de qual IG pode da o dx de placenta prévia?

A

Antes da 28ª semana, é normal que a placenta esteja inserida de forma mais baixa, devido ao tamanho do útero.

Logo, ainda não é considerada como um diagnóstico patológico, recebendo o nome de inserção baixa da placenta.

23
Q

Contraindicações a TH?

A
  • Absolutas: antecedentes de câncer de mama e endométrio recentes; tromboembolismo agudo; sangramento vaginal de origem indeterminada; doenças hepáticas ativas e graves; porfiria.
  • Relativas: tromboembolismo prévio; doença coronariana; hipertensão arterial; diabetes mellitus; mioma uterino e endometriose; doença da vesícula biliar; lúpus e melanoma.
24
Q

V ou F:

No partograma, apenas avaliamos a descida após a dilatação total

25
CIUR precoce cursa com resistência aumentada ou diminuída ao Doppler de artérias umbilicais?
Aumentada
26
CIUR: classificação de acordo com IG
Antes de **32 semanas**, consideramos que o CIUR é **precoce**. Já após as 32 semanas, classificamos o CIUR como **tardio**.
27
CIUR simétrica X assimétrica
- **CIUR simétrico ou tipo I**: quando ocorre no início da gestação, como em infecções congênitas ou anomalias cromossômicas, o efeito sobre o crescimento fetal afeta igualmente o desenvolvimento do sistema nervoso fetal e do restante do corpo, e por isso a circunferência abdominal e a circunferência cefálica estão reduzidas. - **CIUR assimétrico ou tipo II**: ocorre devido à insuficiência placentária na segunda metade da gestação. Como o desenvolvimento do SNC ocorreu previamente ao sofrimento fetal, apenas a circunferência abdominal está reduzida. Corresponde à maioria dos casos, e é causado pela insuficiência placentária.
28
Sífilis latente indeterminada X recente X tardia
Na sífilis latente com duração indeterminada, a paciente apresenta sorologia positiva e não se recorda de nenhuma lesão da doença Sífilis latente tardia é aquela que ocorreu há > 1 ano, enquanto a sífilis latente recente tem < 1 ano.
29
Objetivo da inibição TPP. O que usa?
O objetivo dessa inibição é permitir a **corticoterapia**, que previne complicações comuns à prematuridade, como a síndrome do desconforto respiratório e a enterocolite necrotizante. Para tal, faremos uso dos **agentes tocolíticos**, como os bloqueadores do canal de cálcio, as prostaglandinas e os betamiméticos, capazes de adiar o trabalho de parto por tempo suficiente para permitir a corticoterapia, que poderá ser feita com betametasona ou dexametasona.
30
Sempre é usado saulfato de magnésio para inibir TPP?
Não. O sulfato de magnésio, anteriormente utilizado como droga uterolítica, apareceu em alguns trabalhos como benéfico para prevenção da paralisia cerebral quando administrado entre 24 e 32 semanas de IG, na vigência de trabalho de parto prematuro.
31
V ou F: Medida da altura uterina abaixo do P10 fecha dx de ciur.
F. É usado para triagem, o que fechara o dx e USG com valores peso fetal P entre 10 e 90; liquido aminiotico e resistência dopplerfluxometria da artéria umbilical.
32
Tratamento padrão ouro da Adenomiose?
O padrão-ouro é a histerectomia. Como é uma doença que costuma atingir mulheres mais velhas, já com prole constituída e/ou sem desejo reprodutivo, há maior facilidade na sua realização.
33
Tratamento clinico da Adenomiose
Como é uma doença dependente de estrogênio, o tratamento clínico pode ser feito com ACO, AINE, análogos de GnRH... para aliviar os sintomas.
34
Dx definitivo de Adenomiose
Histopatologico
35
V ou F: Em pacientes hipertensas, a reposição hormonal não deve ser via oral
V Em pacientes hipertensas a reposição via oral pode ter um efeito de agravamento da hipertensão decorrente do metabolismo hepático de primeira passagem da droga, caso a droga seja feita via transdérmica esse efeito não ocorre.
36
Os principais marcadores sanguíneos para rastreamento de tumores de células germinativas são?
a-fetoproteína e ß-hCG e LDH
37
Nos casos de adenocarcionoma de endométrio tipo endometrioide com bom prognóstico, a conduta é
histerectomia total intrafascial com salpingooforectomia bilateral
38
Tipo de tumor ovariano na Síndrome de Meigs
Fibroma
39
Qual o tumor germinativo de ovário benigno mais comum?
Teratoma maduro
40
ACO só de progestageno (4)
Minipilula; injetável trimestral; implante subdérmico; DIU hormonal
41
paciente de 16 anos com amenorreia primária, com desenvolvimento de caracteres sexuais secundários e cariótipo 46 XX tem a hipótese diagnóstica?
agenesia mulleriana ou síndrome de Rokitansky
42
V ou F: Quando a colposcopia é considerada insatisfatória (JEC não completamente visível), a avaliação do canal endocervical é recomendada. O Ministério da Saúde preconiza o escovado endocervical como o procedimento de escolha para essa avaliação, embora a curetagem seja também uma opção.
V
43
Principais agentes da cervicite?
cervicite é causada principalmente por clamídia e gonococo e deve ser tratada para evitar DIP
44
Profilaxia e indicações do parto de gestantes com herpes genital
* Gestantes com episódios de herpes genital na gestação devem usar aciclovir a partir da 36ª semana como forma de profilaxia * Gestantes com lesão herpética genital ativa no momento do parto tem contraindicação ao parto vaginal * Gestantes com primeiro episódio herpético no terceiro trimestre ou seis semanas antes do parto tem contraindicação ao parto vaginal
45
Condilomas acuminados são lesões exofíticas brancacentas. Qual tratamento?
podem ser tratadas com ácido tricloroacético 90%
46
miomas submucosos tipo 1 de até 2 cm, qual tratamento de escolha?
Miomectomia histeroscópica