
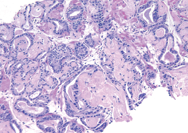
The stroma surrounding the neoplastic glands may show a combination of hypercellularity and deposition of a basophilic ground substance (‘mucinous fibroplasia’ or ‘collagenous micronodules’)
3 optios for ureter margins on FS
Assessing ureter margins on frozen
Make sure to look all around the soft tissue around urter epithelium too as signet ring CAs can be there