Gynae: PCOS Flashcards

(25 cards)

1
Q

what is polycystic ovarian syndrome?

A

common endocrine disorder, characterised by excess androgen production and the presence of multiple immature follicles (“cysts”) within the ovaries.

How well did you know this?
1
Not at all
2
3
4
5
Perfectly
2
Q

what are the clinical features of PCOS?

A
  • Hyperandrogenism
    • acne, hirsutism, obesity
  • anovulation
    • oligomenorrhoea or amenorrhoea
  • infertility
  • hair loss in male pattern
How well did you know this?
1
Not at all
2
3
4
5
Perfectly
3
Q

what are the Rotterdam criteria

A

used for making a diagnosis of of PCOS. need 2 for a dx

  1. oligoovulation or anovulation presenting with irregular or absent menstrual periods
  2. hyperandrogenism characterised by hirsutism and acne
  3. polycystic ovaries on ultrasound
    1. 12 or more in 1 or both ovaries (string of pearls)
    2. ovarian volume over >10cm3
How well did you know this?
1
Not at all
2
3
4
5
Perfectly
4
Q

what are some problems women may suffer from if they have PCOS?

A
  • insulin resistance and diabetes
  • acanthosis nigricans
  • cardiovascular disease
  • hypercholesterolaemia
  • endometrial hyperplasia and cancer
  • OSA
  • depression and anxiety
  • sexual problems
How well did you know this?
1
Not at all
2
3
4
5
Perfectly
5
Q

what are some differential diagnosis for PCOS

A
  • simple obesity
  • premature ovarian failure
  • thyroid disease
  • hyperprolactinaemia
  • CAH
  • androgen secreting tumours
  • cushings syndrome
How well did you know this?
1
Not at all
2
3
4
5
Perfectly
6
Q

describe the effect of insulin resistance in PCOS

A

when someone is resistant to insulin the pancreas has to make more insulin to get a response from the cells. insulin promotes the release of androgens from the ovaries and adrenal glands, therefore higher levels of insulin result in higher levels of androgens. insulin also suppresses sex hormone-binding globulin production in the liver. SHBG normally binds to androgens and suppresses their function. reduced SHBG further promotes hyperandrogenism in women with pcos

high insulin contributes to halting development of follicles in the ovaries leading to anovulation and multiple partially developed follicles

How well did you know this?
1
Not at all
2
3
4
5
Perfectly
7
Q

what 3 things can help reduce insulin resistance?

A

diet

weight loss

exercise

How well did you know this?
1
Not at all
2
3
4
5
Perfectly
8
Q

what blood tests are required to diagnose PCOS?

A
  • Sex hormone binding globulin (SHBG)
  • total testosterone
  • free androgen index (FAI) - raised in PCOS
  • FSH, LH, TFT, Prolactin - differentials

all tests done in the early follicular phase of the menstrual cycle - day 2-5 - know what FSH and LH levels are at this point

How well did you know this?
1
Not at all
2
3
4
5
Perfectly
9
Q

what is free androgen index calculated from? will it be raised, low or normal in PCOS?

A

sex hormone binding globulin (SHBG) & total testosterone

raised in PCOS

How well did you know this?
1
Not at all
2
3
4
5
Perfectly
10
Q

what do the hormone tests for PCOS typically show?

LH, FHS, testosterone, insulin, oestrogen, and FAI

A

raised LH

raised LH:FSH ratio

raised testosterone

raised insulin

normal or raised oestrogen

raised FAI

How well did you know this?
1
Not at all
2
3
4
5
Perfectly
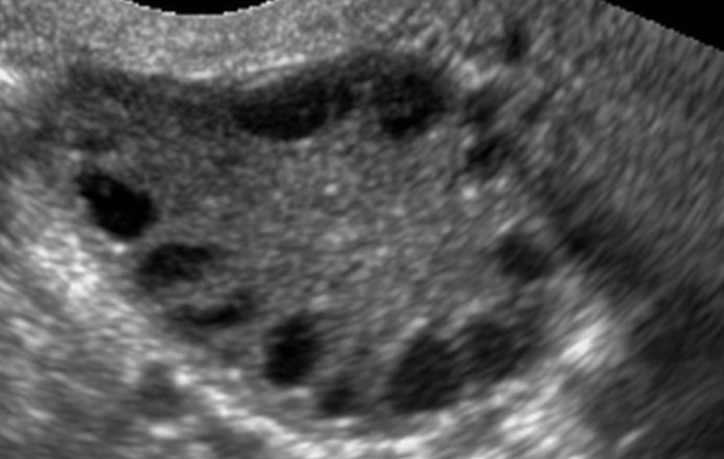
11
Q

what investigations other than bloods are needed when investigation PCOS

A

pelvic ultrasound scan

transvaginal ultrasound is gold standard for visualising the ovaries - string of pearls as follicles arranged around the periphery of the ovary or ovarian volume of 10cm3 or more

not reliable in adolescents at diagnosing PCOS

How well did you know this?
1
Not at all
2
3
4
5
Perfectly
12
Q

how is diabetes screen for in PCOS and what are the results?

A

2 hour 75g oral glucose tolerance test (OGTT)

(taking baseline fasting plasma glucos, give 75g glucose drink and measure glucose after 2 hours)

impaired fasting glucose = fasting glucose of 6.1-6.9 mmol/l

impaired glucose tolerance = plasma glucose 7.8-11.1 mmol/l at 2 hours

diabetes = plasma glucose 11.1mmol/l at 2 hours

How well did you know this?
1
Not at all
2
3
4
5
Perfectly
13
Q

name 4 causes of hirsutism other than PCOS

A
  1. Medications such as phenytoin, ciclosporin, corticosteroids, testosterone and anabolic steroids
  2. Ovarian and adrenal tumours that secrete androgens
  3. Cushings syndrome
  4. Congenital adrenal hyperplasia
How well did you know this?
1
Not at all
2
3
4
5
Perfectly
14
Q

why is weight loss so important in PCOS?

A

weight loss alone can result in ovulation and restore fertility and regular menstruation, improve insulin resistance, reduce hirsutism and reduce risk of associated conditions

How well did you know this?
1
Not at all
2
3
4
5
Perfectly
15
Q

what medication can be given and how does it help weight loss in PCOS?

A

Orlistat

lipase inhibitor which stope absorption of fat in the intestine

given to women with BMI over 30

How well did you know this?
1
Not at all
2
3
4
5
Perfectly
16
Q

how is PCOS managed?

A
  • WEIGHT LOSS
  • general management - reduce CVS risk
  • manage risk of endometrial cancer
  • manage infertility, hirsutism & acne
  • monitor for OSA, A&D
17
Q

In PCOS, risks associated with obesity, T2DM, hypercholesterolaemia and CVD need to be reduced. how can this be done?

A
  • weight loss
  • low glycaemic index, calorie-controlled diet
  • exercise
  • smoking cessation
  • manage HTN
  • statins where QRISK>10%
18
Q

what risk factors for endometrial cancer do women with PCOS have?

A

obesity, diabetes, insulin resistance, amenorrhoea

19
Q

explain how women with PCOS suffer a situation similar to being given unopposed oestrogen?

A

normally, corpus luteum releases progesterone after ovulation but as women with PCOS don’t ovulate they do not produce sufficient progesterone. they produce oestrogen but do not ovulate which causes the endometrial lining to continue proliferating but doesn’t ever shed

20
Q

pcos and endometrial cancer cont.

A

Women with extended gaps between periods (more than three months) or abnormal bleeding need to be investigated with a pelvic ultrasound to assess the endometrial thickness. Cyclical progestogens should be used to induce a period prior to the ultrasound scan. If the endometrial thickness is more than 10mm, they need to be referred for a biopsy to exclude endometrial hyperplasia or cancer.

21
Q

what are 2 options for reducing the risk of endometrial hyperplasia and endometrial cancer in PCOS?

A
  1. Mirena coils for cont. protection
  2. inducing withdrawal bleed every 3-4 months with:
    1. cyclical progestogens
    2. COCP
22
Q

how is infertility managed in PCOS?

A
  • weight loss
  • clomifene - ovulatory stimulant
  • laparoscopic ovarian drilling
    • use diathermy to puncture multiple holes in ovary which can improve hormone profile and therefore improve regularity of periods
  • IVF
  • metformin and letrozole can be used to help restore ovulation - specialist
23
Q

how can hirsutism be managed in PCOS?

A
  • weight loss
  • COCP - Dianette (for 3 months only due to VTE risk)
  • topical eflornithine on facial hirsutism
  • electrolysis, laser hair removal, spironolatone, finasteride, flutamide, cyproterone acetate
24
Q

how is acne managed in PCOS?

A
  • COCP - first line (Dianette)
  • standard acne treatments
25
important things to remember in PCOS (not covered elsewhere)
* mental health problems - as strong associations partially due to self esteem * need to look at what the patient wants - ie cocp not going to be appropriate for someone trying to get pregnant, but may be for someone wanting regular periods but not to conceive * BMI needs to be less than 30 to be referred to fertility services * associated with recurrent miscarriages and pregnancy complications like pre eclampsia & gestational diabetes