H: CVS Flashcards

(31 cards)

1
Q

Layers of blood vessels

A
  • Tunica intima (inner)
  • Tunica media (middle): made of elastic tissue + smooth muscle. Elastic tissue allows for stretch + recoil, smooth muscle allows for vasodilation + vasoconstriction.
  • Tunica adventitia (outer): has collagen for strenght + protection.
How well did you know this?
1
Not at all
2
3
4
5
Perfectly
2
Q

Heart wall layers

A
  • Epicardium (tunica adventitia): visceral serous pericardium
  • Myocardium (tunica media): cardiac muscle.
  • Endocardium (tunica intima): inner lining
How well did you know this?
1
Not at all
2
3
4
5
Perfectly
3
Q

Cardiac cell structure?

A

Cells of cardiac muscle are tubular and branching.

How well did you know this?
1
Not at all
2
3
4
5
Perfectly
4
Q

Role of elastic laminae in connective tissue of tunica media:

A
  • Allows wall of blood vessel to expand + bulge and accommodate blood
  • Elastic recoil helps propel blood
  • Reduces pressure fluctuations
How well did you know this?
1
Not at all
2
3
4
5
Perfectly
5
Q

Tunica media

A
  • Mainly smooth muscle –> highly contractile
  • Elastic fibres are confined to inner and outer sides of tunica media (Internal + external elastic lamina)
How well did you know this?
1
Not at all
2
3
4
5
Perfectly
6
Q

Metarterioles

A

large diameter capillaries with some muscle in wall

How well did you know this?
1
Not at all
2
3
4
5
Perfectly
7
Q

Precapillary sphincter

A

at origin of capillary

How well did you know this?
1
Not at all
2
3
4
5
Perfectly
8
Q

Arterio-venous shunts

A

pathways go through arteriole to venule.

How well did you know this?
1
Not at all
2
3
4
5
Perfectly
9
Q

Pericytes

A

around capillaries and are used for contraction.

How well did you know this?
1
Not at all
2
3
4
5
Perfectly
10
Q

Types of capillaries

A
  • Continuous endothelium
  • Fenestrated endothelium (has pore)
  • Discontinuous endothelium (have large holes)
How well did you know this?
1
Not at all
2
3
4
5
Perfectly
11
Q

Fenestrated capillaries location

A

found in SI mucosa, endocrine glands, renal glomeruli.

How well did you know this?
1
Not at all
2
3
4
5
Perfectly
12
Q

Discontinuous capillaries location

A

found in liver, spleen, bone marrow.
Have discontinuous basement membrane.

How well did you know this?
1
Not at all
2
3
4
5
Perfectly
13
Q

Veins structure

A
  • Thinner walls: larger lumens than arteries - Tunica adventitia is the thickest layer
  • Tunica intima has valves
How well did you know this?
1
Not at all
2
3
4
5
Perfectly
14
Q

Cause of varicose veins

A

Backflow from veins can cause varicose veins.

How well did you know this?
1
Not at all
2
3
4
5
Perfectly
15
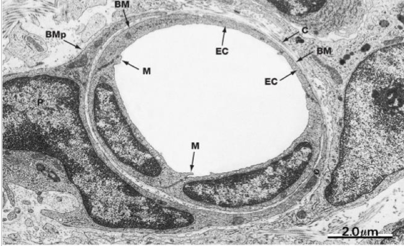
Q

Identify
type of tissue + letters

A

Continuous epithelium (capillary)
E = complete lining of endothelial cells
EC = endothelial cytoplasm
BM = basement membrane
C = collagen fibrils
P = pericyte
BMp = BM of pericyte

How well did you know this?
1
Not at all
2
3
4
5
Perfectly
16
Q

Identify type of tissue + letters

A

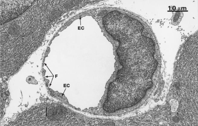
Fenestrated epithelium (capillary)
EC = endothelial cytoplasm
F = pores

17
Q

Identify (LM of LV wall)

A

P = Epicardium
M = Myocardium
E = Endocardium
PM = Papillary muscle

18
Q

Identify (elastic artery in aorta)

A

I = tunica intima
M = tunica media
A = tunica adventitia

19
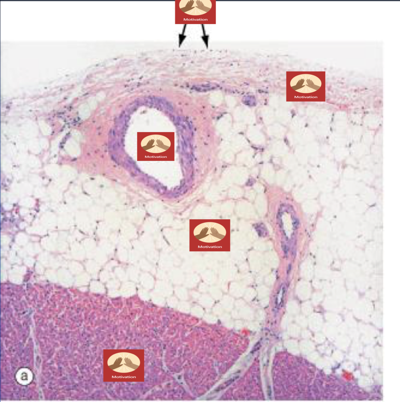
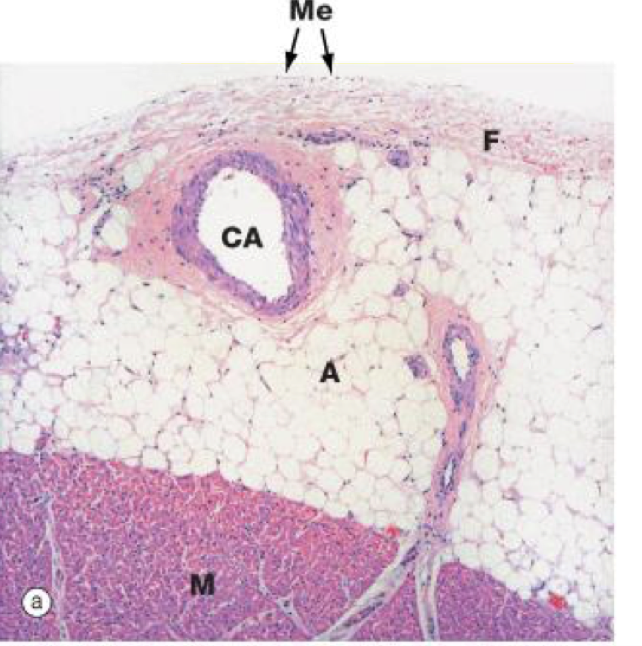
Q

Identify (LM of epicardium)

A

Me = flat monolayer of mesothelial cells
F = sheet of fibrocollagenous tissue with elastic fibres
CA = large branch of coronary artery
A = adipose tissue in areas with arteries
M = myocardium with small artery

20
Q

Identify (LM of myocardium)

21
Q

Identify (LM of endocardium)

22
Q

Identify (muscular artery)

23
Q

Identify (musclar artery)

A

IEL = internal elastic lamina
M = tunica media
EEL = external elastic lamina
A = adventitia

24
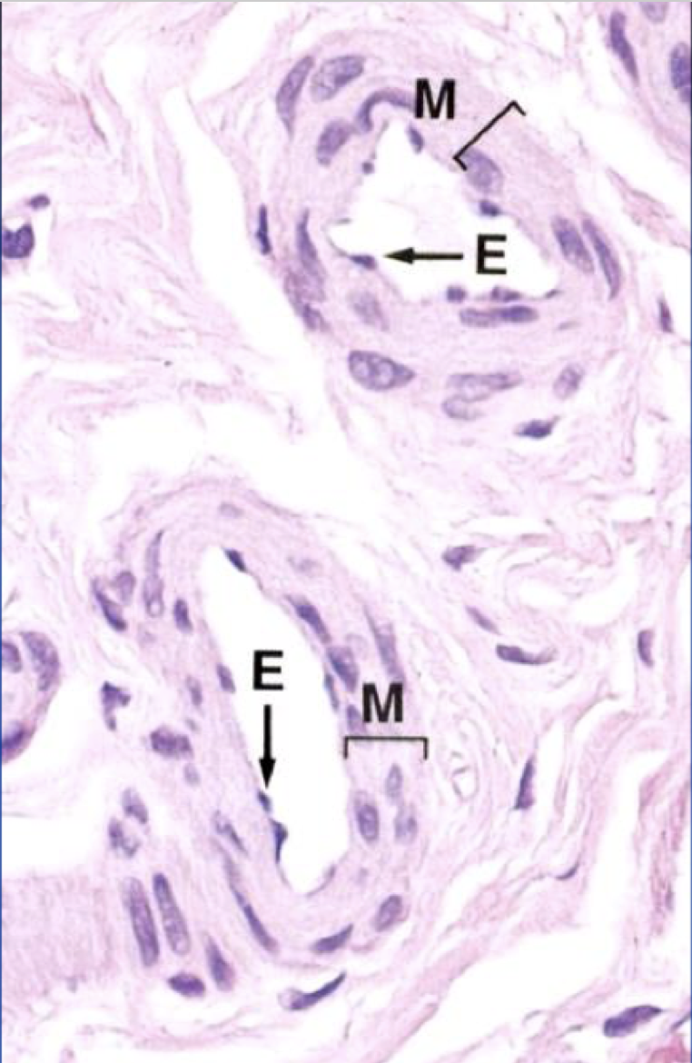
Q

Identify (2 arterioles)

A

M = tunica media
E = endothelial cells

25
Identify (microcirculation)
V = venule C = capillary network Ma = metarterioles S = Arterio-venous shunts At = arteriole
26
Identify (capillary)
E = single layer of flattened endothelial cells P = pericytes
27
Identify (large vein)
28
Identify
29
Identify (medium sized vein)
M = tunica media A = tunica adventitia
30
Identify (vein with valve)
L = leaflet
31
Identify (large muscular vein)
M = tunica media A = tunica adventitia