H&E Troubleshooting Flashcards

(33 cards)

1
Q
A

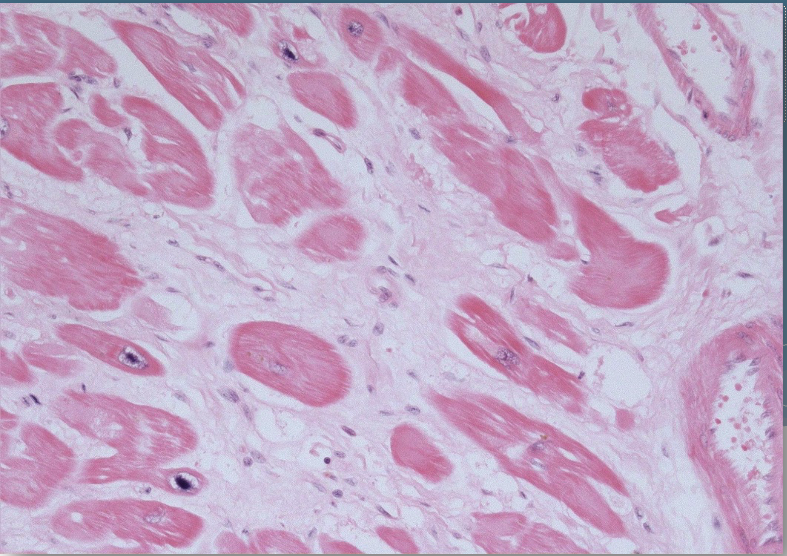
Well-stained sections

How well did you know this?
1
Not at all
2
3
4
5
Perfectly
2
Q
A

Well-stained tissue

How well did you know this?
1
Not at all
2
3
4
5
Perfectly
3
Q
A

Blueing was done but not cytoplasmic staining

How well did you know this?
1
Not at all
2
3
4
5
Perfectly
4
Q
A

pale or weak nuclear staining

How well did you know this?
1
Not at all
2
3
4
5
Perfectly
5
Q
A

Muddy stain

Hematoxylin was not differentiated

Blueing agent was not rinsed off adequately; eosin was contaminated with blueing agent

How well did you know this?
1
Not at all
2
3
4
5
Perfectly
6
Q
A

No nuclear staining – Hematoxylin was omitted

How well did you know this?
1
Not at all
2
3
4
5
Perfectly
7
Q
A

Very pale cytoplasmic staining – too short in eosin

How well did you know this?
1
Not at all
2
3
4
5
Perfectly
8
Q
A

No cytoplasmic staining – eosin was omitted

How well did you know this?
1
Not at all
2
3
4
5
Perfectly
9
Q
A

Water droplets under the coverslip is due to contaminated 100% alcohol or contaminated xylene.

How well did you know this?
1
Not at all
2
3
4
5
Perfectly
10
Q
A

White spots seen in the tissue section. Spotty or irregular staining

Patchy staining due to presence of wax in the tissue prior to application of stains. Incomplete dewaxation.

How well did you know this?
1
Not at all
2
3
4
5
Perfectly
11
Q
A

Nuclear staining is not crisp due to
–Incomplete fixation
–Incomplete dehydration, incomplete clearing;
–Heat was introduced in other reagents during tissue processing.
–Prolonged wax infiltration

How well did you know this?
1
Not at all
2
3
4
5
Perfectly
12
Q
A

Pale nuclear staining due to:
–Too short in hematoxylin
–Hematoxylin was over-oxidized or depleted
–Over-differentiation
–Use of acidic fixative
–Tissue was over-decalcified or over-fixed

How well did you know this?
1
Not at all
2
3
4
5
Perfectly
13
Q
A

Dark nuclear staining due to:
–Too long in hematoxylin
–Short differentiation step
–Thick section

How well did you know this?
1
Not at all
2
3
4
5
Perfectly
14
Q
A

Red or brown nuclear staining
–Hematoxylin is breaking down
–Blueing step not properly done

How well did you know this?
1
Not at all
2
3
4
5
Perfectly
15
Q
A

Pale cytoplasmic staining due to:
–pH of eosin >5
–Eosin contaminated with blueing agent
–Too long in low grade alcohol
–Thin sections

How well did you know this?
1
Not at all
2
3
4
5
Perfectly
16
Q
A

Dark cytoplasmic staining due to:
–Eosin - highly concentrated
–Too long in eosin
–Too short a time in low grade alcohols during DCM
–Section is thick

17
Q
A

Blue-black precipitation on top of the tissue is due to stain precipitation.

Metallic sheen will be picked up on the slide.

18
Q
A

Eosin was not properly differentiated due to:
–Incorrect fixation
–Incorrect dehydration and clearing during tissue processing
–Inadequate time in low grade alcohols during DCM
–Incorrect pH of the eosin solution

19
Q
A

Uneven H&E staining due to:
–Water of fixative contaminated the infiltrating paraffin
–Alcohols are contaminated with water
–Reagent levels are insufficient

20
Q
A

Poor contrast between nucleus and cytoplasm due to:
—Poor nuclear stain (pale or too dark)
—Poor cytoplasmic stain (pale or too dark)

21
Q

MICROTOMY PROBLEM

A

Moth-eaten effect

22
Q

MICROTOMY PROBLEM

23
Q

MICROTOMY PROBLEM

24
Q

MICROTOMY PROBLEM

A

Patched Earth

25
MICROTOMY PROBLEM
Folding
26
MICROTOMY PROBLEM
Contamination- technologist's skin debris
27
MICROTOMY PROBLEM
Water bath not on proper temperature tissue not flat on slide during pickup
28
MICROTOMY PROBLEM
Bubble on the section or Nick on the tissue due to a calcified part
29
MICROTOMY PROBLEM
debris that has been picked up
30
MOUNTED SECTIONS TROUBLESHOOTING
Water bubbles Causes: Incomplete dehydration Contaminated 100% alcohol. Contaminated xylene.
31
MOUNTED SECTIONS TROUBLESHOOTING
Mountant on slide Causes: Incorrect handling of coverglass. Too much mounting medium applied. Mounting medium on gloves.
32
MOUNTED SECTIONS TROUBLESHOOTING
Corn-flaking or Trapped air Causes: Too slow in applying the coverslip. Xylene has evaporated prior to coverslipping.
33
MOUNTED SECTIONS TROUBLESHOOTING
Retreaction causes: Mounting medium was too thin (too much xylene was added to thin it out). Tissue can dry out