Haem Flashcards

(439 cards)

1
Q

Risk a child will be a carrier of beta-thalassaemia trait if both parents are carriers?

A

50%

How well did you know this?
1
Not at all
2
3
4
5
Perfectly
2
Q

Risk a child will have beta-thalassaemia trait if both parents are carriers?

A

25%

How well did you know this?
1
Not at all
2
3
4
5
Perfectly
3
Q

Risk a child will be unaffected if both parents are carriers beta-thalassaemia trait?

A

25%

How well did you know this?
1
Not at all
2
3
4
5
Perfectly
4
Q

Macrocytosis, anaemia, and hypersegmented polymorphonuclear cells on blood film, peripheral neuropathy and glossitis

A

Pernicious anaemia

How well did you know this?
1
Not at all
2
3
4
5
Perfectly
5
Q

Abnormally large and oval-shaped RBCs

A

Pernicious anaemia

How well did you know this?
1
Not at all
2
3
4
5
Perfectly
6
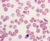
Q

Normochromic-normocytic haemolytic disorder

A

Sickle cell anaemia

How well did you know this?
1
Not at all
2
3
4
5
Perfectly
7
Q

Microcytic and hypochromic anaemia. High transferrin, ferritin and serum iron is low

A

Iron deficiency anaemia

How well did you know this?
1
Not at all
2
3
4
5
Perfectly
8
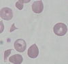
Q

Hypochromic, microcytic red cells
Additional pencil cells
Occasional target cells

A

Iron deficiency anaemia

How well did you know this?
1
Not at all
2
3
4
5
Perfectly
9
Q

Heinz bodies (denatured haemoglobin secondary to oxidative damage) and bite cells (erythrocytes with an irregular membrane caused by splenic macrophages attempting to remove Heinz bodies)

A

G6PD

How well did you know this?
1
Not at all
2
3
4
5
Perfectly
10
Q

Acute kidney injury, microangiopathic haemolytic anaemia and thrombocytopenia

A

Escherichia coli

How well did you know this?
1
Not at all
2
3
4
5
Perfectly
11
Q

A negative Coombs test indicates…

A

Non-immune cause of haemolytic anaemia

How well did you know this?
1
Not at all
2
3
4
5
Perfectly
12
Q

Macrocytosis and anaemia

A

Vitamin B12 or folate deficiency, or rarely, pernicious anaemia

How well did you know this?
1
Not at all
2
3
4
5
Perfectly
13
Q

Reticulocytosis and macrocytosis but haemoglobin levels are usually normal or increased

A

Haemolytic anaemia

How well did you know this?
1
Not at all
2
3
4
5
Perfectly
14
Q

Non-megaloblastic macrocytic anaemia

A

Hypothyroidism

How well did you know this?
1
Not at all
2
3
4
5
Perfectly
15
Q

High total iron binding capacity (TIBC) with low ferritin

A

Iron deficiency anaemia

How well did you know this?
1
Not at all
2
3
4
5
Perfectly
16
Q

Pancytopenia along with hypocellular bone marrow and absence of haematopoietic cells

A

Aplastic anaemia

How well did you know this?
1
Not at all
2
3
4
5
Perfectly
17
Q

Antiphospholipid syndrome triad

A

Venous and arterial thromboses, recurrent fetal loss and thrombocytopenia

How well did you know this?
1
Not at all
2
3
4
5
Perfectly
18
Q

Mx for APS in pregnancy

A

Aspirin once pregnancy confirms on urine test
LMWH once fetal heart seen on US until 34 weeks

How well did you know this?
1
Not at all
2
3
4
5
Perfectly
19
Q

Most common inherited bleeding disorder?

A

Von Willebrand’s disease

How well did you know this?
1
Not at all
2
3
4
5
Perfectly
20
Q

How is VWD inherited?

A

Autosomal dominant

How well did you know this?
1
Not at all
2
3
4
5
Perfectly
21
Q

VWD behaves like a..

A

Platelet disorder i.e. epistaxis and menorrhagia are common whilst haemoarthroses and muscle haematomas are rare

How well did you know this?
1
Not at all
2
3
4
5
Perfectly
22
Q

3 roles of VWF

A

Large glycoprotein which forms massive multimers up to 1,000,000 Da in size

Promotes platelet adhesion to damaged endothelium

Carrier molecule for factor VIII

How well did you know this?
1
Not at all
2
3
4
5
Perfectly
23
Q

3 types of VWF

A

1: partial reduction in vWF (80% of patients)
2: abnormal form of vWF
3: total lack of vWF (autosomal recessive)

How well did you know this?
1
Not at all
2
3
4
5
Perfectly
24
Q

Defective platelet aggregation with ristocetin

A

VWF

How well did you know this?
1
Not at all
2
3
4
5
Perfectly
25
Mx for VWF
Tranexamic acid for mild bleeding Desmopressin Factor VIII concentrate
26
Function of Desmopressin (DDAVP)
Raises levels of vWF by inducing release of vWF from Weibel-Palade bodies in endothelial cells
27
Fever, chills Red cell transfusion (1-2%) Platelet transfusion (10-30%)
Non-haemolytic febrile reaction
28
What is Non-haemolytic febrile reaction?
Antibodies reacting with white cell fragments in the blood product and cytokines that have leaked from the blood cell during storage - normally due to white blood cell HLA antibodies
29
Mx for Non-haemolytic febrile reaction
Slow or stop the transfusion Paracetamol Monitor
30
Pruritus, urticaria
Minor allergic reaction
31
What causes minor allergic reaction?
Thought to be caused by foreign plasma proteins
32
Mx for Minor allergic reaction
Temporarily stop the transfusion Antihistamine Monitor
33
Hypotension, dyspnoea, wheezing, angioedema
Anaphylaxis
34
What causes Anaphylaxis?
Patients with IgA deficiency who have anti-IgA antibodies
35
Mx for Anaphylaxis
Stop the transfusion IM adrenaline ABC support - Oxygen, fluids
36
What is acute haemolytic reaction?
ABO-incompatible blood e.g. secondary to human error - red blood cell destruction by IgM-type antibodies.
37
Fever, abdominal pain, hypotension
Acute haemolytic reaction
38
Mx for Acute haemolytic reaction
Stop transfusion Confirm diagnosis: check the identity of patient/name on blood product send blood for direct Coombs test, repeat typing and cross-matching Supportive - fluid
39
What is Transfusion-associated circulatory overload (TACO)?
Excessive rate of transfusion, pre-existing heart failure
40
Pulmonary oedema, hypertension
Transfusion-associated circulatory overload (TACO)
41
Mx for Transfusion-associated circulatory overload (TACO)
Slow or stop transfusion Consider intravenous loop diuretic (e.g. furosemide) and oxygen
42
Hypoxia, pulmonary infiltrates on chest x-ray, fever, hypotension
Transfusion-related acute lung injury (TRALI)
43
What is Transfusion-related acute lung injury (TRALI)?
Non-cardiogenic pulmonary oedema thought to be secondary to increased vascular permeability caused by host neutrophils that become activated by substances in donated blood
44
Mx for Transfusion-related acute lung injury (TRALI)
Stop the transfusion Oxygen and supportive care
45
Often the result of sensitization by previous pregnancies or transfusions
Non-haemolytic febrile reaction
46
Simple urticaria should be treated in allergic/anaphylaxis reaction by..
Discontinuing the transfusion and with an antihistamine Once the symptoms resolve, the transfusion may be continued with no need for further workup
47
Severe sx in allergic/anaphylaxis reactions should be treated by..
Transfusion should be permanently discontinued IM should be administered and supportive care Antihistamine, corticosteroids and bronchodilators should also be considered for these patients
48
Infective transfusion reactions is normally due to..
vCJD
49
Blood film anisopoikilocytosis, target cells, 'pencil' poikilocytes
IDA
50
Who should be considered for further gastrointestinal investigations with a further gastrointestinal investigations?
Post-menopausal women with a haemoglobin level <100 Men with a haemoglobin level <120
51
A high TIBC reflects..
Low iron stores
52
Isolated rise in GGT in the context of a macrocytic anaemia
Alcohol excess
53
Megaloblastic causes of macrocytic anaemia
Vit B12 deficiency Folate deficiency Secondary to methotrexate
54
Normoblastic causes of macrocytic anaemia
Alcohol Liver disease Hypothyroidism Pregnancy Reticulocytosis Myelodysplasia Drugs: cytotoxics
55
Precipitated by infection, dehydration, deoxygenation (e.g. high altitude) Infarcts occur in various organs including the bones (e.g. avascular necrosis of hip, hand-foot syndrome in children, lungs, spleen and brain)
Thrombotic crises Painful crises Vaso-occlusive crises
56
Vaso-occlusion within the pulmonary microvasculature → infarction in the lung parenchyma Dyspnoea, chest pain, pulmonary infiltrates on chest x-ray, low pO2
Acute chest syndrome
57
Mx of acute chest syndrome
Pain relief Respiratory support Antibiotics Transfusion
58
Sudden fall in Hb Reduced reticulocyte count
Aplastic crises
59
Aplastic crises is caused by infection with..
Parvovirus
60
Sickling within organs such as the spleen or lungs causes pooling of blood with worsening of the anaemia
Sequestration crises
61
Sequestration crises is associated with increased/decreased retic count
Increased
62
Admit all people with clinical features of a sickle cell crisis to hospital unless they are..
A well adult who only has mild or moderate pain and has a temperature of 38°C or less A well child who only has mild or moderate pain and does not have an increased temperature
63
When is Fresh frozen plasma used?
In patients undergoing invasive surgery where there is a risk of significant bleeding
64
The universal donor of FFP is..
AB blood
65
PT or aPTT ratio required for FFP
>1.5
66
What is Cryoprecipitate?
Made from FFP and is repeatedly thawed to produce concentrated factor VIII:C, von Willebrand factor, fibrinogen, Factor XIII and fibronectin
67
Cryoprecipitate is most commonly used to replace..
Fibrinogen
68
Examples of cases where cyro is used
DIC Liver failure Hypofibrinogenaemia secondary to massive transfusion Emergency situation for haemophiliacs and vWF
69
When is Prothrombin complex concentrate used?
Emergency reversal of anticoagulation in patients with either severe bleeding or a head injury with suspected intracerebral haemorrhage
70
Polycythaemia vera causes an increase in RBC volume, often accompanied by..
Overproduction of neutrophils and platelets
71
Polycythaemia vera has a peak incidence in the sixth decade, with typical features including..
Hyperviscosity, pruritus and splenomegaly
72
Mx for PV
Aspirin Venesection Hydroxyurea and phosphorus-32 therapy
73
Where is rivaroxaban metabolised?
Liver
74
Where is apixaban released?
A stands for Ass = Apixaban is fecal excretion
75
Where is Dabigatran excreted?
Kidney Dabigatran starts with D = Vit. D (most important organ related to Vit D is kidney)
76
Vit B12 is absorbed after binding to _______
Intrinsic factor (secreted from parietal cells in the stomach)
77
Vit B12 is actively absorbed in _________
Terminal ileum
78
Causes of Vit B12 deficiency
Pernicious anaemia Post gastrectomy Vegan diet Disorders/surgery of terminal ileum (site of absorption). Crohn's: either diease activity or following ileocaecal resection Metformin (rare)
79
Mx for Vit B12 deficiency
If no neurological involvement: 1mg IM hydroxocobalamin 3 times each week for 2 weeks, then once every 3 months if a patient is also deficient in folic acid then it is important to treat the B12 deficiency first to avoid precipitating subacute combined degeneration of the cord
80
What is B-thalassaemia major
Absence of beta globulin chains on chromosome 11
81
HbA2 & HbF raised HbA absent
Beta-thalassaemia major
82
Mx for Beta-thalassaemia major
Repeated transfusion Iron overload → organ failure so iron chelation therapy important (e.g. desferrioxamine)
83
Target cells Howell-Jolly bodies Pappenheimer bodies Siderotic granules Acanthocytes
Hyposplenism e.g. post-splenectomy, coeliac disease
84
Target cells 'Pencil' poikilocytes
Iron-deficiency anaemia
85
'Tear-drop' poikilocytes
Myelofibrosis
86
Schistocytes
Intravascular haemolysis
87
Hypersegmented neutrophils
Megaloblastic anaemia
88
↓ platelets ↓ fibrinogen ↑ PT & APTT ↑ fibrinogen degradation products
DIC
89
Schistocytes due to microangiopathic haemolytic anaemia is normally seen in..
DIC
90
Prolonged PT/aPTT Prolonged bleeding time Low platelet count
DIC
91
Prolonged prothrombin Normal aPTT Normal bleeding time Normal platelet count
Warfarin administration
92
Normal prothrombin Normal aPTT Prolonged bleeding time Normal platelet count
Aspirin administration
93
Often normal (may be prolonged) prothrombin Prolonged aPTT Normal bleeding time Normal platelet count
Heparin
94
Normocytic anaemia, leukopenia and thrombocytopenia
Aplastic anaemia
95
Aplastic anaemia causes
Idiopathic Fanconi anaemia, dyskeratosis congenita Cytotoxics, chloramphenicol, sulphonamides, phenytoin, gold Benzene Infections: parvovirus, hepatitis radiation
96
Disproportionate microcytic anaemia
Beta-thalassaemia trait
97
Which factors are prevented in Heparin?
2,9,10,11
98
Which factors are prevented in Warfarin?
2,7,9,10
99
Which factors are prevented in DIC?
1,2,5,8,11
100
Which factors are prevented in Liver disease?
1,2,5,7,9,10,11
101
aPTT increased PT normal Bleeding time normal
Haemophilia
102
aPTT increased PT normal Bleeding time increased
von Willebrand's disease
103
aPTT increased PT increased Bleeding time normal
Vitamin K deficiency
104
Tense, swollen joint without any history of trauma are consistent with a haemarthrosis (bleeding into a joint space)
Haemophilia
105
Transfusion threshold for patients without ACS
70 g/L
106
Transfusion threshold for patients with ACS
80 g/L
107
Target after transfusion for patients without ACS
70-90 g/L
108
Target after transfusion for patients with ACS
80-100 g/L
109
In a non-urgent scenario, a unit of RBC is usually transfused over..
90-120 minutes
110
Serum iron <8 TIBC high Transferrin low Ferritin low
Iron deficiency anaemia
111
Serum iron <15 TIBC low Transferrin low Ferritin high
Anaemia of chronic disease
112
History of a normal haemoglobin level associated with a microcytosis but not at risk of thalassaemia
Polycythaemia rubra vera
113
TTP = nasty fever ruined my tubes
N = neurological abnormalities F = fever R = renal failure M = microangiopathic haemolytic anaemia T = Thrombocytopaenia
114
Hydroxycarbamide makes red blood cells bigger, stay rounder and more flexible. This is achieved by increasing a special kind of haemoglobin called..
Haemoglobin F.
115
T or F: Hydroxycarbamide should not be used in pregnancy
True - increases risk of infections
116
HbAA
Normal haemoglobin
117
HbAS
Sickle cell trait
118
HbSS
Homozygous sickle cell disease
119
HbSC
Some patients inherit one HbS and another abnormal haemoglobin (HbC) resulting in a milder form of sickle cell disease
120
In SCA, polar amino acid ________ is substituted by non-polar ________ in each of the two beta chains (codon 6). This decreases the water solubility of deoxy-Hb
In SCA, polar amino acid glutamate is substituted by non-polar valine in each of the two beta chains (codon 6). This decreases the water solubility of deoxy-Hb
121
HbAS patients sickle at pO2 _____kPa
2.5 - 4
122
HbSS patients sickle at pO2 ___kPa
5 - 6
123
Definitive diagnosis of sickle cell disease is by..
Haemoglobin electrophoresis
124
Differentiate between G6PD deficiency and hereditary spherocytosis
125
Heinz bodies Bite/blister cells
G6PD deficiency
126
Common triggers for G6PD deficiency
Fava beans Soy Viral hep Pneumonia
127
Common drug triggers for G6PD deficiency
Primaquine Ciprofloxacin Sulph-group drugs
128
Mx for DIC
Clotting studies and a platelet count should be urgently requested and advice from a haematologist Up to 10 units of cryoprecipitate 4 units of FFP and may be given whilst awaiting the results of the coagulation studies
129
Autosomal dominant defect of red blood cell cytoskeleton
Hereditary spherocytosis
130
Acute mx for hereditary spherocytosis
Treatment is generally supportive Transfusion if necessary
131
Long term mx for hereditary spherocytosis
Folate replacement Splenectomy
132
Venous thromoboembolism - length of anticoagulation
Provoked (e.g. recent surgery): 3 months Unprovoked: 6 months
133
An important differential in a poorly patient with hereditary spherocytosis would be..
Splenic rupture
134
Abdominal pain, constipation, neuropsychiatric features, basophilic stippling
Lead poisoning
135
Microcytic anaemia. Blood film shows red cell abnormalities including basophilic stippling and clover-leaf morphology
Lead poisoning
136
Which drugs are used to reverse heparin?
Protamine
137
Which drugs are used to reverse warfarin?
Vitamin K and fresh frozen plasma
138
Which drugs are used to reverse dabigatran?
Idarucizumab
139
Which drugs are used to reverse Rivaroxaban?
Andexanet alfa (recombinant form of human factor Xa protein)
140
Which drugs are used to reverse Apixaban?
Andexanet alfa (recombinant form of human factor Xa protein)
141
Ix for Hereditary spherocytosis
EMA binding test and the cryohaemolysis test
142
Ix for Hereditary spherocytosis if an atypical presentation
Electrophoresis analysis of erythrocyte membranes
143
Patients with sickle cell disease and hyposplenism are at increased risk of severe infections from encapsulated organisms. Examples include..
Streptococcus pneumoniae, Pseudomonas aeruginosa and Haemophilus influenzae.
144
Pappenheimer bodies
Sideroblastic anaemia
145
Alcohol is not a cause of mixed upper and lower motor neuron signs. Instead it causes a..
Sensory polyneuropathy
146
Essential thrombocythemia risks
Low-risk = age ≤60 years, no thrombosis history, JAK2 mutation-positive Intermediate-risk = age >60 years, no thrombosis history, JAK2 mutation-negative High-risk = thrombosis history at any age OR age >60 years and JAK2 mutation-positive
147
Translocation between chromosomes 8 and 14
Burkitt's lymphoma
148
Translocation between chromosomes 11 and 14
Multiple myeloma
149
Translocation between chromosomes 9 and 22
CML
150
Translocation between chromosomes 14 and 18
Follicular lymphoma
151
Generalised lymphadenopathy. Biopsy reveals atypical lymphoid cells with an irregular nucleus and a high mitotic rate
Non-Hodgkin's lymphoma
152
BCR-ABL polymerase chain reaction positive
CML
153
Serum protein electrophoresis reveals IgG paraprotein spike
Multiple myeloma
154
'Dry tap' on attempt of bone marrow aspiration
Myelofibrosis
155
Bone marrow aspiration reveals 20% blasts and Auer rods
AML
156
Bone marrow aspiration reveals lymphoblastic infiltration and marrow hypercellularity
ALL
157
Most common paraprotein in multiple myeloma
IgG
158
2nd most common paraprotein in multiple myeloma
IgA
159
Plasma cell (post-germinal B cell) dyscrasia, arising from post-germinal B cells in the lymph nodes
Multiple myeloma
160
Leukaemic lymphoblastic cells
ALL
161
Mature myeloid cells
CML
162
Smudge cells
CLL
163
EBV
Hodgkin's and Burkitt's lymphoma, nasopharyngeal carcinoma
164
HTLV-1
Adult T-cell leukaemia/lymphoma
165
HIV-1
High-grade B-cell lymphoma
166
Warm AIHA is caused by which antibody?
IgG
167
Cold AIHA is caused by which antibody?
IgM
168
Causes of warm AIHA
Idiopathic Autoimmune - SLE Neoplasia Lymphoma Chronic lymphocytic leukaemia Methyldopa
169
Causes of cold AIHA
Neoplasia: e.g. lymphoma Infections: e.g. mycoplasma, EBV
170
Mx warm AIHA
Steroids (+/- rituximab)
171
Relative causes of Polycythaemia
Dehydration Stress: Gaisbock syndrome
172
Primary causes of Polycythaemia
Polycythaemia rubra vera
173
Secondary causes of Polycythaemia
COPD Altitude OSA Excessive erythropoietin: cerebellar haemangioma, hypernephroma, hepatoma, uterine fibroids
174
Hereditary causes: membrane
Hereditary spherocytosis/elliptocytosis
175
Hereditary causes: metabolism
G6PD deficiency
176
Hereditary causes: haemoglobinopathies
Sickle cell, thalassaemia
177
Drug causes of acquired haemolytic anaemia
Methyldopa, penicillin
178
Alloimmune causes of acquired haemolytic anaemia
Transfusion reaction, haemolytic disease newborn
179
Autoimmune causes of acquired haemolytic anaemia
Warm/cold antibody type
180
Composition of Cryoprecipitate
von Willebrand factor Fibrinogen Factor VIII Factor XIII
181
Types of cells seen in Hyposplenism
Target cells Howell-Jolly bodies Pappenheimer bodies Siderotic granules Acanthocytes
182
Types of cells seen in iron-deficiency anaemia
Target cells 'Pencil' poikilocytes If combined with B12/folate deficiency a 'dimorphic' film occurs with mixed microcytic and macrocytic cells
183
Agents used to reverse apixaban and rivaroxaban
Andexanet alfa
184
Agents used to reverse dabigatran
Idarucizumab
185
Agents used to reverse heparin
Protamine sulphate
186
Agents used to reverse warfarin
Prothrombin complex concentrate Vitamin K
187
Transfusion threshold for patients without ACS
70 g/L
188
Transfusion threshold for patients with ACS
80 g/L
189
Thrombocytosis occurs in CML/CLL
CML
190
Raised lymphocytes occurs in CML/CLL
CLL
191
Acute myeloid leukaemia - blood tests will reveal..
Immature blood cells (blasts).
192
High potassium and high phosphate level in the presence of a low calcium
Tumour Lysis Syndrome
193
Clinical tumor lysis syndrome
High potassium and high phosphate level in the presence of a low calcium PLUS ONE OR MORE OF: Increased serum creatinine (1.5 times upper limit of normal) Cardiac arrhythmia or sudden death Seizure
194
Tx for TLS
IV fluids Rasburicase if high risk Allopurinol if low risk
195
TLS has been graded using...
Cairo-Bishop scoring system
196
Megaloblastic causes of macrocytic anaemia
Vitamin B12 deficiency Folate deficiency e.g. secondary to methotrexate
197
Normoblastic causes of macrocytic anaemia
Alcohol Liver disease Hypothyroidism Pregnancy Reticulocytosis Myelodysplasia Drugs: cytotoxics
198
A sudden anemia and a low reticulocute count in SCA indicates..
Parvovirus
199
High reticulocyte count in SCA
Acute sequestration and haemolysis
200
Pseudo Pelger-Huet cells
CML
201
Mnemonic for transfusion reactions
**Got a bad unit** G raft vs. Host disease O verload T hrombocytopaenia A lloimmunization B lood pressure unstable A cute haemolytic reaction D elayed haemolytic reaction U rticaria N eutrophilia I nfection T ransfusion associated lung injury
202
Use of the contraceptive pill should be ceased ____ weeks before an operation to prevent a pulmonary embolism
4
203
Thrombocytopenia and leucopenia
Myelofibrosis
204
Biochemical pattern of multiple myeloma
High calcium, normal/high phosphate and normal alkaline phosphate
205
Hypochromic microcytic anaemia High ferritin iron & transferrin saturation
Sideroblastic anaemia
206
Basophilic stippling of red blood cells
Sideroblastic anaemia
207
Tx of sideroblastic anaemia
Supportive Treat any underlying cause Pyridoxine may help
208
Acquired causes of Sideroblastic anaemia
Myelodysplasia Alcohol Lead Anti-TB medications
209
Congenital causes of Sideroblastic anaemia
Delta-aminolevulinate synthase-y deficiency
210
Anaemia, glossitis, a macrocytosis and hyper-segmented neutrophils on the blood film
Folate deficiency anaemia
211
Megaloblasts and giant metamyelocytes within the bone marrow
Macrocytic anaemia
212
Which one tests for intrinsic and extrinsic factors out of PT and aPTT
PT = playing tennis = you play tennis outside = extrinsic APTT = playing table tennis = you play table tennis inside = intrinsi
213
Platelet disorders(which vwd basically is) present with spontaneous bleeds from small vessels and mucosal membranes, and also with bruising Coagulation disorders (such as haemophilia) present with bleeds after injury or surgery, and occasionally spontaneous bleeds into joints and muscles. The history suggests a coagulation disorder over a platelet disorder
For anyone who cares, I've finally found an explanation for why platelet disorders give mucocutaneous bleeding (ITP, TTP, vWD) and coagulation disorders (e.g. haemophilias) give you joint/muscle bleeding. Primary haemostasis is critical for plugging small injuries in microvessels. These have increased rates of fibrinolysis and depend more on primary than secondary haemostasis for frequent tiny injuries, as occurs in mucocutaneous tissues. Secondary haemostasis is more important in larger blood vessels and larger injury where platelet plug (primary) is insufficient without secondary haemostaisis. Intramuscular and articular have increased larger vessel trauma due to force loads and motion.
214
What is a leukemoid reaction?
Increased white blood cell count which is a physiological response to stress or infection.
215
Most common inherited thrombophilia: _______________ (activated protein C resistance) Most common inherited clotting disorder: _______________
Most common inherited thrombophilia: Factor Leiden V (activated protein C resistance) Most common inherited clotting disorder: vWD
216
Inherited Gain of function polymorphisms
Factor V Leiden (activated protein C resistance): most common cause of thrombophilia Prothrombin gene mutation: second most common cause
217
Acquired Thrombophilia causes
Antiphospholipid syndrome Drugs COCP
218
Warm autoimmune haemolytic is associated with which type of leukaemia?
Chronic lymphocytic leukaemia | IgM - Mittens in the cold IgG - sunGlasses in the heat
219
Cold autoimmune haemolytic is associated with..
Lymphoma Infections: Mycoplasma and Epstein-Barr virus | IgM - Mittens in the cold IgG - sunGlasses in the heat
220
Mx of acute intermittent porphyria
Avoid triggers If acute: IV haematin/haem arginate IV glucose should 1st not immediately available
221
What is acute intermittent porphyria?
Defect in porphobilinogen deaminase, which results in the accumulation of delta aminolaevulinic acid and porphobilinogen
222
Blood tests show anaemia, neutropaenia and thrombocytopaenia Blood film shows anisocytosis, macrocytosis and hyposegmentation of the neutrophils
Myelodysplasia > AML
223
Causes of massive splenomegaly
Myelofibrosis Chronic myeloid leukaemia Visceral leishmaniasis (kala-azar) Malaria Gaucher's syndrome
224
A normocytic anaemia with low serum iron, low TIBC but raised ferritin in a patient with a chronic illness is typical of..
Anaemia of chronic disease
225
Microcytic anaemia with raised serum iron levels
Sideroblastic anaemia
226
Microcytic anaemia, low ferritin and a raised TIBC but not clinical picture
Iron deficiency anaemia
227
Raised ferritin and low TIBC however iron levels are unlikely to be normal and ferritin would usually be much higher
Hereditary haemochromatosis
228
Chemotherapy used in NHL
CHOP Cyclophosphamide Doxorubicin Vincristine Prednisolone
229
Which medication is used in combination with CHOP with NHL?
Rituximab
230
Which vaccines are given in NHL?
Flu/pneumococcal vaccines
231
A common mode of presentation of sickle-cell disease in late infancy is..
Hand-foot syndrome
232
Cytomegalovirus (CMV)-seronegative red cells
Patient's blood results suggest a previous infection by CMV (IgG positive and IgM negative)
233
Composition of cryoprecipitate
13 Friends Visited Eight places Factor XIII Fibrinogen von Willebrand factor Factor VIII
234
Pancytopaenia 5 years post-chemotherapy/radiotherapy
Myelodysplastic syndrom
235
High uric acid + renal impairment following chemotherapy
Tumour lysis syndrome
236
Nephrotoxic drugs
DAMN Diuretics ACEi, ARBs, Aminoglycosides Metformin (stopped if eGFR falls below 30 ml/min as it can result in lactic acidosis) NSAIDs (except aspirin 75mg)
237
___ deficiency increases the risk of anaphylactic blood transfusion reactions
IgA
238
Parvovirus infection may trigger an aplastic crisis in patients with..
Hereditary spherocytosis
239
___________ therapy may result in a megaloblastic macrocytic anaemia secondary to folate deficiency
Methotrexate
240
Ix for tumour lysis
ECG, U&E, calcium, uric acid
241
Encapsulated organisms
**Some Killers Have Pretty Nice Capsules** Streptococcus pneumoniae Klebsiella pneumoniae Haemophilus influenzae Pseudomonas aeruginosa Neisseria meningitidis Cryptococcus neoformans
242
Hb SC
Milder form of sickle cell disease
243
Hb AS
Sickle cell trait
244
Hb SS
Homozygous/severe sickle cell disease
245
Hb AA
Normal/carrier
246
FAT RBC for Macrocytic Anaemia
Folate / Foetus Alcohol Thyroid (hypo) Reticulocytotic B12 Cirrhosis/Chronic Liver Disease
247
Postpartum thyroiditis can present for up to ____ year following delivery, but most frequently occurs ____ months post-partum
Postpartum thyroiditis can present for up to 1 year following delivery, but most frequently occurs 3-4 months post-partum
248
Raised transferrin saturation and ferritin, with low TIBC
Haemochromatosis
249
Which haemophilias are present in an autosomal recessive fashion?
A and C
250
Acanthocytes
Abetalipoproteinemia
251
Burr cells (echinocytes)
Uraemia Pyruvate kinase deficiency
252
Increased lactate dehydrogenase (LDH), decreased haptoglobin, and elevated unconjugated bilirubin
Haemolytic anaemia
253
Normocytic anaemia Low platelets, low WBC, eGFR High ESR, high urea, Ca Creatinine
Multiple myeloma
254
A raised gamma-GT is commonly seen in ________ patients
Alcoholic
255
Painless, asymmetric and rapidly enlarging lymphadenopathy in neck + normocytic anaemia and eosinophilia
Hodgkin's lymphoma
256
It is advised that pregnant women taking phenytoin are given __________ in the last month of pregnancy to prevent clotting disorders in the newborn
Vitamin K
257
Hyponatraemia drugs
Chlorpropramide Carbamazepine SSRI TCA Lithium MDMA/ecstasy Tramadol Haloperidol Vincristine Desmopressin Fluphenazine
258
Which anti-epileptic causes megaloblastic anaemia?
Phenytoin
259
Which anti-epileptic causes pancytopenia?
Carbamazepine
260
Prolonged bleeding + APTT
vWD (primary)
261
Prolonged APTT + normal bleeding
Haemophilia (secondary)
262
Ferritin can be raised during states of ___________; so a raised ferritin does not necessarily rule out iron deficiency anaemia
Ferritin can be raised during states of inflammation; so a raised ferritin does not necessarily rule out iron deficiency anaemia if the is co-occurring inflammation
263
Mx IDA
Oral ferrous sulfate for 3 months after the iron deficiency has been corrected in order to replenish iron stores. Iron-rich diet: this includes dark-green leafy vegetables, meat, iron-fortified bread
264
Common side effects of iron supplementation include...
Nausea, abdominal pain, constipation, diarrhoea
265
Causes of warm AIHA
Idiopathic Autoimmune disease: e.g. systemic lupus erythematosus Neoplasia Lymphoma Chronic lymphocytic leukaemia Drugs: e.g. methyldopa
266
Causes of cold AIHA
Neoplasia: e.g. lymphoma Infections: e.g. mycoplasma, EBV
267
In factor V leiden, activated factor V is inactivated 10 times more slowly by __________ than normal
Activated protein C
268
In X-linked recessive inheritance only males are affected. An exception to this seen in examinations are patients with ______________, who are affected due to only having one X chromosome - so female patients with ___________ can have haemophilia
Turner's syndrome
269
In children, bone marrow examinations is only required if there are atypical features such as...
Lymph node enlargement/splenomegaly High/low white cells Failure to resolve/respond to treatment
270
Three core signs of ALL
Neutropaenia (recurrent infections) Anaemia (pallor, fatigue) Thrombocytopaenia (purpuric rash)
271
_______________ is a rare autosomal recessive platelet disorder caused by a deficiency of the glycoprotein Ib/IX/V complex (the receptor for von Willebrand factor)
Bernard-Soulier disease
272
Autoimmune destruction of platelets is seen in...
Idiopathic thrombocytopenic purpura (ITP)
273
In TTP there is a deficiency of __________ which breakdowns ('cleaves') large multimers of von Willebrand's factor
ADAMTS13 (a metalloprotease enzyme)
274
CLL is associated with _______ autoimmune haemolytic anaemia
Warm
275
Drug-induced thrombocytopenia
Quinine Abciximab NSAIDs Heparin Diuretics: furosemide Antibiotics: penicillins, sulphonamides, rifampicin Anticonvulsants: carbamazepine, valproate
276
Isolated thrombocytopaenia in a relatively well person
ITP
277
Thrombocytopaenia in a very unwell person
TTP
278
Thrombocytopaenia, schistocytes, renal failure, post-dysentery
Haemolytic uraemic syndrome
279
Abdo pain, joint pain, haematuria, purpura, kids
Henoch Schonlein Purpura
280
Epistaxis, GI bleeds, telangiectasia
Haemorrhagic Haemolytic Telangiectasis (HHT)
281
As a first line investigation, all people with iron deficiency anaemia should be screened for..
Coeliac disease
282
Pernicious anaemia presents with _____ deficiency and is associated with other _____ conditions (e.g. _____)
Pernicious anaemia presents with B12 deficiency and is associated with other autoimmune conditions (e.g. vitiligo)
283
Co-presentation of iron deficiency anaemia and B12 deficiency anaemia may lead to a ___________ anaemia - differentiated from anaemia of chronic disease due to ___________ ferritin and ___________ distribution of red blood cell volume
Co-presentation of iron deficiency anaemia and B12 deficiency anaemia may lead to a normocytic anaemia - differentiated from anaemia of chronic disease due to low/normal ferritin and wide distribution of red blood cell volume
284
Function of white pulp of the spleen
Immune function
285
Function of red pulp of the spleen
Filters abnormal RBCs
286
The white pulp contains _______________ artery. The germinal centres are suppled by arterioles called _______________
The white pulp contains central trabecular artery. The germinal centres are suppled by arterioles called penicilliary radicles
287
Very difficult to distinguish _________ from parvovirus B19 clinically. It is therefore important to also check parvovirus B19 serology as there is a 30% risk of transplacental infection, with a 5-10% risk of fetal loss
Rubella
288
Started heparin a few days before an operation, evidence of new thrombosis despite being on coagulation, sudden drop in platelets after starting heparin
HIT
289
Ix in DVT
290
Who gets Irradiated blood?
Severe immunodeficiencies History of Hodgkin's lymphoma Exposed to certain drugs (e.g. bendamustine and fludarabine) Autologous stem cell transplant - 3 months, 6 months if total body Allogenic stem cell transplant - 6 months and until they are also off immunosuppression, lymphocyte count >1, and no evidence of chronic graft versus host disease
291
Who gets leukodepletion (preferred over CMV now)?
Intra-uterine/Granulocyte transfusions Neonates up to 28 days post expected date of delivery Pregnancy
292
Washed red cells can be requested for patients who have...
Recurrent febrile or allergic reactions to standard packed red cells
293
T or F: All blood products in the UK are leukodepleted (with very few exceptions eg granulocytes). This is therefore not a special requirement
True
294
CMV negative vs irradiated
295
High reticulocyte count + anaemia
SCA
296
VTE risk factors
COCP 3rd generation more than 2nd generation HRT combined Raloxifene and  tamoxifen Antipsychotics (especially olanzapine)
297
Too much clotting: CLOT
C - C/S deficiency L - Leiden (factor V) O - Odd (mutated) prO-thrombin T - anTi-thrombin III deficiency
298
Too much bleeding: I BLED
I - ITP, ATP, TTP B - B/A Haemophilias L - Low vitamin K, clotting factors E - Eponym: vWD D - DIC & Drugs
299
The elderly, pregnancy, malignancy and autoimmune conditions are associated with acquired __________. Prolonged APTT is key to the diagnosis. Management involves __________
The elderly, pregnancy, malignancy and autoimmune conditions are associated with acquired haemophilia. Prolonged APTT is key to the diagnosis. Management involves steroids
300
Complications of CLL
Anaemia Hypogammaglobulinaemia  leading to recurrent infections Warm autoimmune haemolytic anaemia Transformation to high-grade lymphoma (Richter's transformation)
301
Electrolytes affected in tumor lysis syndrome
PUKE calcium Phosphorus, Uric acid, and potassium (K+) are Elevated; Calcium is decreased
302
Viral causes of neutropenia
HIV EBV Hepatitis
303
Drug causes of neutropenia
Cytotoxics Carbimazole Clozapine
304
Malignant causes of neutropenia
Myelodysplastic Aplastic
305
Which intervention can cause neutropenia?
Haemodialysis
306
Which conditions can cause neutropenia?
Rheumatological conditions RA - hypersplenism as in Felty's syndrome SLE Severe sepsis
307
Hyperplastic megakaryocytes
Polycythaemia vera
308
Diagnostic criteria for multiple myeloma
One major and one minor criteria OR three minor criteria
309
Normocytic anaemia Eosinophilia Raised LDH
Hodgkin's lymphoma
310
What does exchange transfusion in sickle cell crises do?
Rapidly reduce the percentage of Hb S containing cells
311
When is an exchange transfusion indicated in sickle cell crises?
Rapidly reduce the percentage of Hb S containing cells
312
When is FFP used?
'Clinically significant' but without 'major haemorrhage' in patients with a PT ratio or APTT ratio > 1.5 | Typically 150-220 mL
313
Cryoprecipitate is most commonly used to replace..
Fibrinogen (cut off <1.5) | Typically 15-20mL
314
Laboratory findings in beta thalassaemia major
Raised HbA2 Raised HbF Absent HbA
315
Blood film findings in HELLP syndrome
Polychromasia and schistocytes
316
Dactylitis, cerebral infarction, mesenteric ischaemia, avascular necrosis of the femoral head or priapism
Vaso-occlusive crisis
317
Abdominal pain, signs of haemodynamic compromise and hepatomegaly/splenomegaly. Pooling of blood in the spleen occurs, leading to severe anaemia and haemodynamic collapse
Sequestration crisis
318
If 1 or 2 alpha globulin alleles are affected then the blood picture would be hypochromic and microcytic
Alpha-thalassaemia - Hb level would be typically normal
319
If are 3 alpha globulin alleles are affected results in a hypochromic microcytic anaemia with splenomegaly
Alpha-thalassaemia - Hb H disease
320
All 4 alpha globulin alleles are affected (i.e. homozygote)
Alpha-thalassaemia - death in utero (hydrops fetalis, Bart's hydrops)
321
Inhibits ADP receptors on platelets
Clopidogrel
322
Activates anti-thrombin III
Heparin
323
Inhibits glycoprotein IIb/IIIa
Eptifibatide
324
Inhibits uptake of adenosine into platelets
Dipyridamole
325
__________ is the most common adverse event in transfusing packed red cells
Pyrexia
326
__________ is the most common adverse event following infusion of FFP
Urticaria
327
Cell line of erythropoiesis
328
A _________________ is a common feature of graft versus host disease
Painful maculopapular rash
329
________________ is a multi-system complication of allogeneic bone marrow transplantation
Graft versus host disease T cells in the donor tissue (the graft) mount an immune response toward recipient (host) cells
330
Three conditions required for diagnosis of GVHD
The transplanted tissue contains immunologically functioning cells The recipient and donor are immunologically different The recipient is immunocompromised
331
Acute GVHD is classically within ______ days of transplantation
100
332
Acute GVHD usually affects the..
Skin (>80%), liver (50%), and gastrointestinal tract (50%)
333
Chronic GVHD may occur following..
Acute disease, or can arise de novo
334
Chronic GVHD classically occurs after _______ days following transplantation
100
335
Chronic/Acute GVHD has a more varied clinical picture, often lung and eye involvement in addition to skin and GI, although any organ system may be involved
Chronic GVHD
336
Painful maculopapular rash (often neck, palms and soles), which may progress to erythroderma or a toxic epidermal necrolysis-like syndrome Jaundice Watery or bloody diarrhoea Persistent nausea and vomiting Can also present as a culture-negative fever
Acute GVHD
337
Skin: Poikiloderma, scleroderma, vitiligo, lichen planus Eye: Keratoconjunctivitis sicca, also corneal ulcers, scleritis GI: Dysphagia, odynophagia, oral ulceration, ileus. Oral lichenous changes are a characteristic early sign Lung: my present as obstructive or restrictive pattern lung disease
Chronic GVHD
338
Ix for GVHD
LFTs Hepatitis screen/ultrasound Abdominal imaging Lung function testing Biopsy of affected tissue may aid in diagnosis if there is uncertainty
339
LFTs in GVHD may demonstrate...
Cholestatic jaundice
340
Abdominal imaging shows air-fluid levels and small bowel thickening ('ribbon sign')
GVHD
341
Tx of GVHD
Immunosuppression and supportive measures Topical steroids if mild with limited cutaneous involvement IV steroids if severe 2nd line is anti-TNF, mTOR inhibitors and extracorporeal photopheresis
342
CLL can convert to..
NHL
343
Myelodysplastic disorders can convert to..
AML
344
Thrombotic crises in SCA is precipitated by..
infection, dehydration, deoxygenation (e.g. high altitude)
345
Acquired: immune causes (Coombs-positive)
Autoimmune: warm/cold antibody type Alloimmune: transfusion reaction, haemolytic disease newborn Drug: methyldopa, penicillin
346
Acquired: non-immune causes (Coombs-negative)
Microangiopathic haemolytic anaemia (MAHA): TTP/HUS, DIC, malignancy, pre-eclampsia Prosthetic heart valves Paroxysmal nocturnal haemoglobinuria Infections: malaria Drug: dapsone Zieve syndrome - resolves with abstinence from alcohol
347
What is Waldenstrom's macroglobulinaemia?
Lymphoplasmacytoid malignancy characterised by the secretion of a monoclonal IgM paraprotein
348
Weight loss, lethargy Hyperviscosity syndrome e.g. visual disturbance Hepatosplenomegaly/lymphadenopathy Cryoglobulinaemia e.g. Raynaud's
Waldenstrom's macroglobulinaemia
349
Ix for Waldenstrom's macroglobulinaemia
Monoclonal IgM paraproteinaemia Bone marrow biopsy - diagnostic
350
Bone marrow biopsy shows infiltration of the bone marrow with lymphoplasmacytoid lymphoma cells
Rituximab-based combination chemotherapy
351
Paraproteinaemia and is often mistaken for myeloma
Monoclonal gammopathy of undetermined significance (MGUS, also known as benign paraproteinaemia and monoclonal gammopathy)
352
Usually asymptomatic No bone pain or increased risk of infections Around 10-30% of patients have a demyelinating neuropathy
MGUS
353
Differentiating features of MGUS from myeloma
Normal immune function/beta-2 microglobulin levels Lower level of paraproteinaemia than myeloma (e.g. < 30g/l IgG, or < 20g/l IgA) Stable level of paraproteinaemia No clinical features of myeloma (e.g. lytic lesions on x-rays or renal disease)
354
Haemoglobin oxidised from Fe2+ to Fe3+ due to absence of NADH methaemoglobin reductase
Methaemoglobinaemia
355
In Methaemoglobinaemia, there is tissue hypoxia so oxidation dissociation curve is moved to the left/right
Left
356
Congenital causes of Methaemoglobinaemia
Haemoglobin chain variants: HbM, HbH NADH methaemoglobin reductase deficiency
357
Acquired causes of Methaemoglobinaemia
Drugs: sulphonamides, nitrates (including recreational nitrates e.g. amyl nitrite 'poppers'), dapsone, sodium nitroprusside, primaquine Chemicals: aniline dyes
358
Chocolate' cyanosis Dyspnoea, anxiety, headache Severe: acidosis, arrhythmias, seizures, coma Normal pO2 but decreased oxygen saturation
Methaemoglobinaemia
359
Mx of Methaemoglobinaemia
NADH methaemoglobinaemia reductase deficiency: ascorbic acid IV methylthioninium chloride (methylene blue) if acquired
360
Normochromic, normocytic anaemia Leukopenia, with lymphocytes relatively spared thrombocytopenia
Aplastic anaemia
361
Aplastic anaemia may be the presenting feature in ___________ lymphoblastic or ___________ leukaemia
acute lymphoblastic or myeloid leukaemia
362
In aplastic anaemia, a minority of patients later develop...
Paroxysmal nocturnal haemoglobinuria or myelodysplasia
363
Causes of aplastic anaemia
Idiopathic Congenital: Fanconi anaemia, dyskeratosis congenita Drugs: cytotoxics, chloramphenicol, sulphonamides, phenytoin, gold Toxins: benzene Infections: parvovirus, hepatitis Radiation
364
Mode of inheritance in Fanconi anaemia
Autosomal recessive
365
Aplastic anaemia Short stature Thumb/radius abnormalities Cafe au lait spots
Fanconi anaemia
366
Fanconi anaemia has an increased risk of which type of leukaemia?
Acute myeloid leukaemia
367
Paroxysmal nocturnal haemoglobinuria causes intravascular/extravascular
Intravascular
368
Paroxysmal nocturnal haemoglobinuria patients are more prone to..
Venous thrombosis - lack of CD59 on platelet membranes predisposing to platelet aggregation
369
What causes Paroxysmal nocturnal haemoglobinuria?
Increased sensitivity of cell membranes to complement due to a lack of glycoprotein glycosyl-phosphatidylinositol (GPI)
370
Haemolytic anaemia Pancytopaenia Haemoglobinuria Thrombosis e.g. Budd-Chiari syndrome Aplastic anaemia
Paroxysmal nocturnal haemoglobinuria
371
Ix of Paroxysmal nocturnal haemoglobinuria
Gold standard: flow cytometry to detect low levels of CD59 and CD55
372
Mx of Paroxysmal nocturnal haemoglobinuria
Blood product replacement Anticoagulation Stem cell transplantation
373
Recurrent bacterial infections (e.g. Chest) Eczema Thrombocytopaenia Low IgM levels
Wiskott-Aldrich syndrome
374
Mode of inheritance in Wiskott-Aldrich syndrome
X-linked recessive
375
EBV can cause which haematological malignancy?
Hodgkin's and Burkitt's lymphoma Nasopharyngeal carcinoma
376
HTLV-1 can cause which haematological malignancy?
Adult T-cell leukaemia/lymphoma
377
HIV-1 can cause which haematological malignancy?
High-grade B-cell lymphoma
378
Gastric lymphoma (MALT) is caused by which bacteria?
H pylori
379
Which infection can cause Burkitt's?
Protozoa - malaria
380
Intravascular haemolysis causes
Mismatched blood transfusion G6PD deficiency Red cell fragmentation: heart valves, TTP, DIC, HUS Paroxysmal nocturnal haemoglobinuria Cold autoimmune haemolytic anaemia
381
Extravascular haemolysis causes
Haemoglobinopathies: sickle cell, thalassaemia Hereditary spherocytosis Haemolytic disease of newborn Warm autoimmune haemolytic anaemia
382
Thymoma can cause..
Red cell aplasia
383
Burning sensation in the hands Platelet count > 600 * 109/l
Essential thrombocytosis
384
Mx of Essential thrombocytosis
Hydroxyurea (hydroxycarbamide) Interferon-α in younger patients Low-dose aspirin may be used to reduce the thrombotic risk
385
Give examples of myeloproliferative disorders
Chronic myeloid leukaemia Polycythaemia rubra vera Myelofibrosis Essential thrombocytosis
386
Platelet transfusion: active bleeding
Offer transfusions to patients with a count of <30 x 10 9 with clinically significant bleeding e.g. haematemesis, melaena, prolonged epistaxis Offer transfusions to patients with a count of <100 x 10 9 with severe bleeding or bleeding at critical sites, such as the CNS
387
Platelet transfusion: no active bleeding
Threshold of 10 x 109
388
Do not perform platelet transfusion for any of the following conditions...
Chronic bone marrow failure Autoimmune thrombocytopenia Heparin-induced thrombocytopenia, or Thrombotic thrombocytopenic purpura
389
__________ transfusions have the highest risk of bacterial contamination compared to other types of blood product
Platelet
390
Management of suspected haematological malignancy in young people
Aged 0-24 years should prompt a very urgent full blood count (within 48 hours) to investigate for leukaemia: Pallor Persistent fatigue Unexplained fever Unexplained persistent infections Generalised lymphadenopathy Persistent or unexplained bone pain Unexplained bruising Unexplained bleeding
391
Target cells
Sickle-cell/thalassaemia Iron-deficiency anaemia Hyposplenism Liver disease
392
'Tear-drop' poikilocytes
Myelofibrosis
393
Spherocytes
Hereditary spherocytosis Autoimmune hemolytic anaemia
394
Basophilic stippling
Lead poisoning Thalassaemia Sideroblastic anaemia Myelodysplasia
395
Howell-Jolly bodies
Hyposplenism
396
Heinz bodies
G6PD deficiency Alpha-thalassaemia
397
Schistocytes ('helmet cells')
Intravascular haemolysis Mechanical heart valve Disseminated intravascular coagulation
398
'Pencil' poikilocytes
Iron deficency anaemia
399
Burr cells (echinocytes)
Uraemia Pyruvate kinase deficiency
399
Acanthocytes
Abetalipoproteinemia
400
Causes recurrent pneumonias and abscesses due to catalase-positive bacteria (Staphylococcus aureus and fungi (Aspergillus) Negative nitroblue-tetrazolium test Abnormal dihydrorhodamine flow cytometry test
Chronic granulomatous disease
401
Affected children have 'partial albinism' and peripheral neuropathy Recurrent bacterial infections Giant granules in neutrophils and platelets Microtubule polymerization defect
Chediak-Higashi syndrome
402
Recurrent bacterial infections. Delay in umbilical cord sloughing may be seen Absence of neutrophils/pus at sites of infection Defect of LFA-1 integrin (CD18) protein
Leukocyte adhesion deficiency
403
Examples of neutrophil disorders
Chronic granulomatous disease Chediak-Higashi syndrome Leukocyte adhesion deficiency
404
Low antibody levels - IgG, IgM and IgA Recurrent chest infections May also predispose to autoimmune disorders and lymphona
Common variable immunodeficiency
405
X-linked recessive Recurrent bacterial infections are seen Absence of B-cells with reduced immunoglogulins of all classes Defect in Bruton's tyrosine kinase (BTK) gene
Bruton's (x-linked) congenital agammaglobulinaemia
406
Most common primary antibody deficiency
Selective immunoglobulin A deficiency
407
Recurrent sinus and respiratory infections Associated with coeliac disease and may cause false negative coeliac antibody screen Severe reactions to blood transfusions may occur (anti-IgA antibodies → analphylaxis)
Selective immunoglobulin A deficiency
408
Examples of B-cell disorders
Common variable immunodeficiency Bruton's (x-linked) congenital agammaglobulinaemia Selective immunoglobulin A deficiency
409
Recurrent infections due to viruses, bacteria and fungi Reduced T-cell receptor excision circles Stem cell transplantation may be successful Adenosine deaminase deficiency/defect in the common gamma chain
Severe combined immunodeficiency
410
Autosomal recessive Cerebellar ataxia, telangiectasia (spider angiomas), recurrent chest infections 10% risk of developing malignancy, lymphoma or leukaemia Defect in DNA repair enzymes
Ataxic telangiectasia
411
X-linked recessive Recurrent bacterial infections, eczema, thrombocytopaenia. Low IgM levels Increased risk of autoimmune disorders and malignancy Defect in WASP gene
Wiskott-Aldrich syndrome
412
Infection/Pneumocystis pneumonia, hepatitis, diarrhoea Mutations in the CD40 gene
Hyper IgM Syndromes
413
Examples of combined B- and T-cell disorders
Severe combined immunodeficiency Wiskott-Aldrich syndrome Hyper IgM Syndromes
414
C-myc gene translocation
Burkitt's lymphoma
415
Cyclin D1-IGH gene translocation
Mantle cell lymphoma
416
TEL-JAK2 gene translocation
CML ALL
417
Bcl-2 gene translocation
Follicular lymphomas
418
BCR-Abl1 gene translocation
CML
419
Tx for NHL
Rituximab, cyclophosphamide, doxorubicin, vincristine, prednisolone (R-CHOP)
420
Tx for CLL
Fludarabine, cyclophosphamide and rituximab (FCR)
421
Tx for CML
Imatinib Hydroxyurea Interferon-alpha
422
The transfusion of packed red cells has been shown to increase serum ________ levels. The risk is higher with large volume transfusions and with old blood
Potassium
423
Bilobed nucleus and prominent eosinophilic inclusion-like nucleoli
Reed-Sternberg cells
424
Iatrogenic infection with gram negative organisms is more likely with ____________as these are stored at 4 degrees Iatrogenic infection with gram positive organisms is more likely with ___________ as these are stored at room temperature
Iatrogenic infection with gram negative organisms is more likely with packed red cells as these are stored at 4 degrees Iatrogenic infection with gram positive organisms is more likely with platelets as these are stored at room temperature
425
Pseudothrombocytopenia has been reported in association with the use of _______ as an anticoagulant
EDTA
426
Initial management of ITP is ordinarily high dose _____________ in the absence of contraindications Consideration is later given to _____________ and immunomodulatory drugs, such as _____________, if this fails
Initial management of ITP is ordinarily high dose corticosteroids in the absence of contraindications Consideration is later given to splenectomy and immunomodulatory drugs, such as mycophenolate, if this fails
427
Raised calcium Normal or high phosphate Normal alkaline phosphate
MM
428
Monoclonal IgM paraproteinaemia Bone marrow biopsy is diagnostic Infiltration of the bone marrow with lymphoplasmacytoid lymphoma cells
Waldenstrom's macroglobulinaemia
429
Mx of Waldenstrom's macroglobulinaemia
Rituximab-based combination chemotherapy
430
A true polycythaemia can be primary (e.g. myeloproliferative disorder) or secondary (reactive). Dehydration and diuretics can cause a relative polycythaemia (pseudopolycythaemia) where there is relatively low plasma volume to red cell mass ratio. Red cell mass and plasma volume studies are helpful to demonstrate a relative polycythaemia The patient in this example has a normal SpO2 and EPO which suggest that the polycythaemia is not secondary in nature
431
Pancytopaenia 5 years post-chemotherapy/radiotherapy → ?
Myelodysplastic syndrome
432
Tx for MDS
Supportive care (e.g., blood transfusions, growth factors) Disease-modifying therapy (e.g., hypomethylating agents, lenalidomide) Immunosuppressive therapy Hematopoietic stem cell transplantation.
433
Basophilic stippling and cabot rings are features of...
Lead poisoning
434
Toxic granulation and Döhle bodies are a __________ response to infection
Neutrophil
435
A biopsy specimen of the skin will show abundant necrotic keratinocytes. Bone marrow shows marked hypocellularity with macrophage infiltration 2-6 weeks after transfusion
TA-GvHD
436
Folate is predominantly absorbed in the...
Duodenum and proximal jejunum
437
Vitamin B12 is absorbed in the...
Terminal ileum
438
Anaemia, fever, purpura and cerebral dysfunction.
TTP