Haematopoetics Flashcards

(205 cards)

1
Q

why is anaemia common in cats?

A

cats mask illness and disease so are diagnosed later
lifespan of cat RBC is shorter than that of a dog
total RBC mass lower in cats than dogs
feline haemoglobin has low affinity for O2

How well did you know this?
1
Not at all
2
3
4
5
Perfectly
2
Q

what is the effect of the shortened lifespan of feline RBC?

A

anaemia is a clinical issue more quickly as functional RBC are lost quicker

How well did you know this?
1
Not at all
2
3
4
5
Perfectly
3
Q

what does it mean if RBC have low affinity for oxygen?

A

O2 is given up to tissues easily

How well did you know this?
1
Not at all
2
3
4
5
Perfectly
4
Q

what is the effect of low feline haemoglobin affinity for oxygen?

A

anaemia better tolerated

How well did you know this?
1
Not at all
2
3
4
5
Perfectly
5
Q

what are the clinical signs of anaemia?

A

pale MM
less commonly: yellow MM
lethargic
weak
hyperdynamic pulses
tachycardia
heart murmur
tachypnoea
enlarged LN and spleen
pica

How well did you know this?
1
Not at all
2
3
4
5
Perfectly
6
Q

why is heart murmur seen with anaemia?

A

altered viscosity of blood changes the flow of blood through the heart

How well did you know this?
1
Not at all
2
3
4
5
Perfectly
7
Q

what is the murmur seen with anaemia known as?

A

haemic murmur

How well did you know this?
1
Not at all
2
3
4
5
Perfectly
8
Q

when is an enlarged spleen seen with anaemia?

A

when it is linked to RBC breakdown and removal

How well did you know this?
1
Not at all
2
3
4
5
Perfectly
9
Q

what is the first investigation used for anaemia?

A

haematology (PCV)
blood smear

How well did you know this?
1
Not at all
2
3
4
5
Perfectly
10
Q

what effect does acute haemorrhage have on blood and RBC volume?

A

PCV will appear normal as volume has been lost

How well did you know this?
1
Not at all
2
3
4
5
Perfectly
11
Q

are animals anaemic following acute haemorrhage?

A

yes - reduced O2 carrying capacity

How well did you know this?
1
Not at all
2
3
4
5
Perfectly
12
Q

what is seen on PCV with chronic anaemia?

A

reduced proportion of RBC to plasma
PCV low

How well did you know this?
1
Not at all
2
3
4
5
Perfectly
13
Q

what is seen on PCV with volume overload?

A

normal RBC volume but increased blood volume so PCV appears low

How well did you know this?
1
Not at all
2
3
4
5
Perfectly
14
Q

what is the fundamental issue seen with anaemia?

A

not enough RBC

How well did you know this?
1
Not at all
2
3
4
5
Perfectly
15
Q

what are the 2 types of anaemia?

A

regenerative
non regenerative

How well did you know this?
1
Not at all
2
3
4
5
Perfectly
16
Q

what are the signs seen on blood smear of regenerative anaemia?

A

reticulocytes >50x10^9/L
anisocytosis
polychromasia
MCV increased
MCHC increased

How well did you know this?
1
Not at all
2
3
4
5
Perfectly
17
Q

what are the signs of non-regenerative anaemia seen on blood smear?

A

reticulocytes <50x10^9/L
normocytic
normochromatic
MCV normal
MCHC normal

How well did you know this?
1
Not at all
2
3
4
5
Perfectly
18
Q

what number of reticulocytes are seen with regenerative anaemia?

A

> 50x10^9/L

How well did you know this?
1
Not at all
2
3
4
5
Perfectly
19
Q

what number of reticulocytes are seen with non-regenerative anaemia?

A

<50x10^9/L

How well did you know this?
1
Not at all
2
3
4
5
Perfectly
20
Q

what are reticulocytes?

A

immature RBC sent into circulation to make up for RBC deficit

How well did you know this?
1
Not at all
2
3
4
5
Perfectly
21
Q

what is anisocytosis?

A

variation in cell size

How well did you know this?
1
Not at all
2
3
4
5
Perfectly
22
Q

what is polychromasia?

A

variation in RBC color density

How well did you know this?
1
Not at all
2
3
4
5
Perfectly
23
Q

why is MCV increased with regenerative anaemia?

A

RBC are larger as immature and sent from the bone marrow before they have shrunk

How well did you know this?
1
Not at all
2
3
4
5
Perfectly
24
Q

why is MCHC decreased in regenerative anaemia?

A

cells are less concentrated when they are reticulocytes

How well did you know this?
1
Not at all
2
3
4
5
Perfectly
25
why are the signs of non-regenerative anaemia seen?
bone marrow is not responding to anaemia by producing immature cells so morphology is normal
26
define hypochromic
pale due to reduced haemoglobin
27
what are normocytic RBC?
normal size RBC
28
what are microcytic RBC?
small RBC
29
what are macrocytic RBC?
large RBC
30
what reticulocytes may be seen in normal cats?
punctate reticulocytes
31
what are punctate reticulocytes?
immature RBC that may be released slightly early from bone marrow in cats
32
why may punctate reticulocytes be seen in cats?
RBC take longer to mature in cats so may be released slightly early
33
what type of reticulocytes are seen in cats undergoing active regeneration?
aggregate
34
what stain must be used for reticulocytes to be viewed on blood smear?
new methylene blue stain only
35
what is the best way to establish whether anaemia is regenerative?
complete an absolute reticulocyte count
36
what is the formula used to calculate absolute reticulocyte count?
absolute reticulocyte count (x10^9/L) = observed % reticulocytes x automated RBC count (10^12/L)
37
where should the total RBC count be taken from?
haematology machine
38
what are the factors which make it harder to categorise anaemia?
duration concurrent disease
39
why does duration of anaemia make it hard to differentiate between regenerative and non-regenerative?
in the first few days reticulocytes may not be released from bone marrow and so anaemia may not appear regenerative even of it is
40
how can concurrent disease affect differentiation between regenerative and non-regenerative anaemia?
may suppress bone marrow response and make anaemia appear non-regenerative when it is not
41
what concurrent disease may suppress the immune system?
leukaemia infections inflammation
42
why may chronic anaemia become non-regenerative?
iron deficiency makes it impossible for the body to respond to anaemia and so becomes non-regenerative
43
what are the 2 reasons for regenerative anaemia?
haemorrhage haemolysis
44
what are some of the reasons that haemorrhage may cause regenerative anaemia?
trauma coagulopathies chronic blood loss from flea infestations chronic blood loss from infected tumors chronic GI losses
45
what are the main causes of regenerative anaemia due to haemolysis?
infectious immune mediated heinz body anaemia severe hypophosphataemia incompatible blood transfusions neonatal isoerythrolysis inherited defects
46
what are the main infectious causes of regenerative anaemia due to haemolysis?
FeLV FIA
47
what are the main immune mediated causes of regenerative anaemia due to haemolysis?
drugs neoplasias FeLV
48
what can cause Heinz body anaemia?
paracetamol or onion toxicity lymphoma
49
when is severe hypophosphataemia seen?
refeeding syndrome
50
what is feline infectious anaemia caused by?
mycoplasma haemofelis
51
how is mycoplasma haemofelis transmitted?
fleas
52
how is mycoplasma haemofelis diagnosed?
PCR
53
what can be the signs of mycoplasma haemofelis?
pyrexia jaundice
54
what is essential if animals are tableted doxycycline?
followed with syringed water or food
54
how is mycoplasma haemofelis treated?
doxycycline
55
what is the risk associated with doxycycline?
oesophagitis oesophageal stricture
56
what type of anaemia do most cats have?
non-regenerative
57
what can be used for diagnosis when anaemia is severe?
bone marrow sampling
58
what does non-regenerative anaemia often occur secondary to?
systemic disease e.g. FIP/FIV/bacterial infection
59
how does chronic inflammation lead to mild non-regenerative anaemia?
bone marrow suppression sequestrum of iron
60
how may anaemia be treated?
blood transfusions erythropoietin bone marrow stimulation
61
why may cats be critical on presentation of anaemia?
compensation due to low haemoglobin affinity for O2
62
what is blood transfusion a useful treatment for?
adjunct treatment for FIA non-regenerative anaemias
63
what may erythropoietin be used for?
treatment of anaemia in cats with CKD
64
what erythropoietin treatments are available?
recombinant human treatments have lower side effects
65
when may bone marrow stimulation be used to treat anaemia?
when underlying cause of bone marrow failure is unknown
66
how does bone marrow stimulation treat anaemia?
low evidence base thought to manage immune-mediated mechanism that has been proposed in some cases of BM failure
67
what is a bleeding disorder?
abnormal condition which allows blood to escape from injured blood vessels or interferes with haemostasis following injury
68
in what species are bleeding disorders more common?
dogs
69
what are the 2 mechanisms for haemostasis?
primary secondary
70
what is the aim of primary haemostasis?
constriction to reduce blood flow platelet plug forms
71
when do primary and secondary haemostasis occur?
simultaneously in reality
72
what occurs within a blood vessel when it is injured?
leakage of blood from the vessel resulting in bruising or visible bleeding endothelium of BV secretes activating factor vessel constricts
73
what is the role of the activating factor secreted by blood vessels following injury?
attracts platelets
74
how do platelets form the platelet plug within the vessel deficit?
swell and stick together
75
what is DIC?
disseminated intravascular coagulation
76
what causes DIC?
inappropriate activation of clotting factors clotting factors eventually exhausted so patient begins bleeding
77
what is the role of Von willebrands factor in haemostasis?
increases platelets stickyness maintains formed platelet plug helps stop the clot from breaking off
78
what is the role of the primary haemostatic platelet plug?
plug hole to allow body to repair the defect without continual bleeding
79
what is needed for vessels to fully repair?
secondary haemostasis
80
what occurs in Von Willebrands disease?
deficiency of vWF in endothelial layers of blood vessels either non produced or not enough
81
what is the commonest inherited haemostatic disorder in dogs?
von Willebrands disease
82
what breeds is vWF disease seen in?
dobermanns
83
what is the effect of vWF disease?
platelet adhesion and clumping impaired
84
what is the result of secondary haemostasis?
fibrin formation
85
what is fibrin?
protein scaffold which supports platelet plug
86
what is the role of fibrin?
stabilises primary haemostatic platelet plug in big wounds / vessels
87
what are the pathways involved in making fibrin?
intrinsic extrinsic common
88
what is the difference between the intrinsic and extrinsic pathways for secondary haemostasis?
different clotting factors involved in each process
89
what is the role of the intrinsic pathway of secondary haemostasis?
initiation of secondary haemostasis
90
what is the role of the extrinsic pathway in secondary haemostasis?
amplification of clotting/secondary haemostasis
91
what does fibrin result from?
activation of the clotting cascade
92
what happens during the activation of platelets in primary haemostasis?
receptors on the inside of the platelets are flipped onto the surface and make the platelets stickier
93
why is it important that primary haemostasis is local?
so that blood in the area still flows and doesn't all clot
94
why can Von Willebrand's disease cause inadequate or no vWF production?
gene has incomplete penetrance effect may be partially seen
95
what are clotting factors?
enzymes which catalyze a cascade of reactions that breakdown proteins to make fibrin from fibrinogen
96
what is the role of clotting factors produced by the clotting cascade?
conversion of prothrombin to thrombin
97
what is the role of thrombin?
catalyses conversion of fibrinogen to fibrin
98
what organ is heavily involved in clotting?
liver
99
what is the role of the liver in haemostasis?
all clotting factors made in the liver
100
what can be the impact of liver disease on haemostasis?
coagulopathies as clotting factors not produced properly
101
what vitamin is a key part of secondary haemostasis?
vitamin K
102
how is vitamin K involved in secondary haemostasis?
enzymes use vitamin k when working to create clotting factors and when regenerating
103
why does rodenticide toxicity lead to coagulopathy?
rodenticide causes reduction in vitamin K dependent factors as it is bound and removed by the poison meaning no new clotting factors can be created
104
how else may patients become vitamin K deficient and so develop clotting disorders?
if not eating issues with fat digestion
105
why does inappetance lead to vitamin K deficiency?
it is a fat soluble vitamin so if not eating clotting disorders will follow
106
why may patients have an issue with fat digestion?
blocked bile ducts (stones or pancreatitis)
107
what is affected by defects in primary haemostasis?
platelets vessels
108
how can platelets be affected in primary haemostasis defects?
reduced number (thrombocytopenia) reduced function
109
how can vessels be affected in primary haemostasis defects?
vasculitis
110
what is vasculitis?
vessels unable to vasoconstrict and leaky
111
what is affected in defects of secondary haemostasis?
clotting factors
112
what are the main secondary haemostasis defects?
quantitative disorders qualitative disorders
113
what are quantitative secondary haemostasis disorders caused by?
reduction in number of clotting factors
114
what are qualitative secondary haemostasis disorders caused by?
reduction in function of clotting factors
115
how is reduction in function of clotting factors caused?
genetic - issue with protein itself
116
what are the 3 areas of the clinical approach to a bleeding patient?
history clinical signs lab investigation
117
what arm of the clotting cascade is affected by vitamin K deficiency?
extrinsic arm
118
when do animals usually present with inherited bleeding disorders?
< 6 months of age
119
how may breed indicate what bleeding disorder is present?
e.g. dobermann and vW disease
120
why may gender help to identify bleeding disorder?
haemophilia is X linked and affects males only
121
what in a patients history can assist in identification of bleeding disorders?
response to previous trauma any toxin ingestion drug use previous bleeding any relatives with bleeding signs
122
what are primary haemostatic disorders typically characterised by?
multiple minor bleeds prolonged bleeding
123
why do primary haemostatic disorders lead to prolonged bleeding?
platelet plug weak so is regularly knocked off as blood flows past
124
what are secondary haemostatic disorders typically characterised by?
single large bleeds rebleeding from injury site
125
what are typical signs of primary haemostatic diseases?
petechiae ecchymosis multiple bleeding sites surface bleeding prolonged bleeding from venepuncture / cuts unexpected bruising
126
what are typical signs of secondary haemostatic diseases?
haematomas delayed bleeding or rebleeding from a cut deep and cavity bleeds venepuncture usually fine localised site of bleeding
127
when should samples be collected for blood disorder testing?
before any treatment starts
128
what tube may be used to check clotting?
sodium citrate
129
what is crucial when using sodium citrate tubes?
must be filled exactly otherwise reversal agent used in the lab won't work
130
what are sodium citrate tubes used for?
stopping clotting until at the lab where the process can be reversed and clotting restarted
131
how should samples be handled?
may need to go in the fridge check with lab if posting
132
what tube should be filled first?
biochem
133
why should biochem be filled before EDTA?
anticoagulant in EDTA can affect Ca2+ reading if syringe touches side
134
what tests can be used for primary haemostasis testing?
platelet count buccal mucosal bleeding time vWF testing
135
why is atraumatic venepunture vital for bleeding disorder patients?
avoid excessive activation of haemostasis and local consumption of platelets
136
what is BMBT a test for?
platelet defects (both platelet number and function) and vessel wall defects.
137
if thrombocytopenia is identified is BMBT needed?
no - as BMBT will be prolonged
138
what may increase BMBT?
thrombocytopenia vWF disease - impaired platelet function DIC
139
what is seen on BMBT of animals with coagulation defects?
normal but rebleeding seen
140
what is normal BMBT in dogs?
<3.5 mins
141
what is normal BMBT in cats?
<3.5 mins
142
what animals should BMBT be performed on?
conscious dogs sedated or GA cats
143
how is BMBT performed?
The patient is placed in lateral recumbency and the upper lip folded up and held in place with a gauze bandage A pair of small standardised incisions are made in the buccal mucosa with the cutting device in the kit Blood is blotted away using filter paper, without disturbing the incision sites. The time taken for cessation of bleeding is recorded.
144
how is platelet count estimated?
good quality blood smear
145
what are platelet counts used for?
identification of quantitative platelet disorders
146
what stain is needed for platelet counts?
diff-quick
147
how is a platelet count performed?
Under low power the smear is scanned for any platelet clumps which would influence the count obtained and, under oil immersion (x 100), the number of platelets per high power field are counted. This is repeated for around ten fields so that an average platelet count per high power field is obtained.
148
what does each platelet per high power field represent?
~20x10^9/L platelets in circulation
149
what is the normal platelet count?
200-500 x 10^9/L
150
what number of platelets on platelet count would suggest bleeding likely?
<50 x 10^9/L
151
how many platelets per HPF are considered normal?
11-25
152
what part of secondary haemostasis is tested via activated clotting time (ACT)?
intrinsic and common pathway
153
what is found in activated clotting time tubes?
diatomaceous earth which activates the intrinsic pathway
154
what must be done before blood is placed in tube to test ACT?
First few drops of blood sampled are discarded in case of endothelial activation factors interfering with the test results
155
why must the first few drops of blood be discarded before ACT testing is performed?
in case of endothelial activation factors interfering with the test results
156
how is activated clotting time tested?
2 mls blood is collected into the test tube. The test tube is gently inverted to mix and then left undisturbed for 40 seconds. The tube is then inverted every 10 seconds and the time taken for complete clot formation recorded.
157
what pathways are tested by activated partial thromboplastin time?
intrinsic common
158
what tube is needed to test activated partial thromboplastin time?
sodium citrate
159
what is the benefit of activated partial thromboplastin time over activated clotting time?
more sensitive
160
what part of secondary haemostasis is evaluated by prothrombin time?
extrinsic common
161
what is prothrombin time sensitive to?
vitamin K dependent factors and rodenticide toxicity
162
how are APPT and PT assessed?
blood to be sampled into sodium citrate tube and filled exactly to the marked line. (not under or over) and then evaluated straight away at the diagnostic lab
163
What should be done if APPT and PT samples are having delayed analysis?
if the samples need to be couriered to the lab overnight, they will need to be double spun down to recover the citrate plasma and frozen until transported.
164
what effect will rodenticide toxicity have on PT and APTT?
PT prolonged before APTT
165
what clotting factor has the shortest half life?
factor VII (7)
166
why is prothrombin time so sensitive to rodenticide toxicity?
extrinsic factor 7 has shortest half life and so lack of will be picked up by PT as it assessed extrinsic pathway
167
what clotting tests can be run in house?
APTT PT ACT
168
what is starting to be used in some veterinary hospitals to assess coagulopathies?
thromboelastography
169
what is thromboelastography?
shape generated on machine depends on coagulopathy seen
170
what tube does blood for clotting assessment need to go in?
citrate
171
what are the areas of specific nursing care for regenerative haemorrhagic anaemia?
Controlling haemorrhage e.g pressure bandaging. Fluid therapy/bolus. Oxygen supplementation. Blood transfusion- monitor for reactions tailor to specific cause
172
what must be monitored in patients receiving blood transfusions?
TPR BP MMs CRT
173
how often should monitoring be performed when patients are undergoing blood transfusion?
every 10 minutes for the first half an hour, then every 15-30 minutes until transfusion is complete
174
what are the nursing considerations for patients with regenerative haemolytic anaemia?
Fluid therapy Nutritional supplementation with iron, folic acid and B vitamins. Potentially feeding tube - monitor for aspiration pneumonia. Patients presenting with this are usually recumbent so padded bedding and regular turning is essential. Immunosuppressant drugs- barrier nurse.
175
what should patients with regenerative haemolytic anaemia have nutrition supplemented with?
iron, folic acid and B vitamins
176
what are the main nursing considerations for neon-regenerative anaemia?
Often secondary to systemic disease such as FeLV of CKD etc so tailor nursing to cause and symptoms. Potentially blood transfusion needed so monitoring for reactions is vital. Nutritional deficiency anaemia- feed a diet high in iron, folic acid and B vitamins. Potentially feeding tube in place so general nursing care for this- check negative pressure etc for patency. Monitor for aspiration pneumonia.
177
describe barrier nursing
Wear PPE when handling patient (gloves, apron etc) House patient in isolation kennel away from other patients Wash hands thoroughly before and after contact
178
what blood tube should samples for platelet count be collected in?
EDTA
179
how should a slide be prepared for manual platelet count?
Ensure sample fresh and no clots present Invert tube gently multiple times Use capillary tube to draw up a small amount of sample, place on to microscope slide Create a blood smear- ensure of diagnostic quality (feather edge, 50% of slide length) Stain smear with diff quick
180
describe how to identify platelets on prepared smear
Scan the feathered edge for platelet clumps at 10x magnification Identify monolayer using 40x magnification Increase magnification to 100x magnification with oil immersion to scan for platelets in the monolayer
181
what magnification is needed to see platelets in the monolayer?
100x magnification with oil immersion
182
how many fields should platelets be counted in?
at least 10
183
how many platelets should be seen per field to determine field is adequate for average count?
8-10
184
how are the number of platelets calculated?
Count the number of platelets in at least 10 fields Calculate average Multiple average by 20= estimated platelet count X109/l
185
what should the average platelet number be multiplied by?
20
186
what can affect manual platelet count?
falsely decreased if platelet clumps are present
187
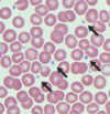
what is seen in this image?
platelet clumps
188
what is seen in this image?
platelets
189
what is normal platelet count?
200-500 x10^9/L
190
what is the purpose of a reticulocyte count?
detect presence of reticulocytes gives an impression of number of immature RBC in blood and so erythropoesis can be estimated from this
191
what equipment is needed for staining a slide for reticulocyte count?
New methylene blue solution OR brilliant cresyl blue solution 1x EDTA tube (1ml whole blood) thoroughly mixed 1x Eppendorf test tube 37℃ warm water bath 3x capillary tubes 3x glass microscope slides Pencil for labelling
192
how is a reticulocyte slide prepared?
1. Wearing gloves, add 3-4 drops of new methylene blue/brilliant cresyl blue solution to 3-4 drops of thoroughly mixed EDTA anticoagulated blood to an Eppendorf test tube 2. Mix the contents gently shaking and allow to incubate for a minimum of 10 minutes in a warm water bath at 37℃ 3. At the end of the ten minutes, gently mix the blood and stain solution 4. Using a capillary tube, drop mixture of the blood and stain solution onto each of the three slides, near the frosted edge (as you would when making a blood smear) 5. Using your desired technique, create a blood smear 6. Label the slides with patient name, patient ID and date 7. Allow to air dry. Do not blow to speed up the drying process. 8. Once dry, look at the slide under the microscope using oil immersion
193
what lens should a reticulocyte count be carried out under?
OI
194
what proportion of new methylene blue should be added to EDTA whole blood when preparing a reticulocyte slide?
3-4 of each (1:1)
195
how long should the new methylene blue/blood solution be incubated for?
10 mins @ 37 degrees
196
what PPE is needed when handling new methylene blue?
gloves goggles
197
how is a reticulocyte count performed?
1. Using x10 lens and then x40 look for reticulocytes (stained RBC with dark blue strands) ideally in the monolayer for ease. 2. Count a total of 500 cells and note the number of reticulocytes. 3. use formula to calculate percetage reticulocytes 4. apply correction factor to give corrected % 5. calculate absolute count
198
what is the formula for percentage reticulocytes?
number of retics x 100% divided by total cells counted
199
what is the purpose of the correction factor in reticulocyte counts?
accurately measure the responsiveness of the bone marrow by taking the patient PCV into account
200
how is the corrected reticulocyte count calculated?
retic count x patients PCV divided by normal PCV for species
201
how is absolute reticulocyte count calculated?
absolute (x10^9/L) = observed % retics x RBC count on machine (x10^12/L) x 10
202
what is normal reticulocyte count in dogs?
0-1.5%
203
what is the normal reticulocyte count in cats?
0-1% aggregate up to 10% punctate
204
identify the reticulocytes on the left and right
L = aggregate R = punctate