Treatment for Stage I SLAC wrist?
AIN/PIN neurectomy. Characterized by scaphoid-radial styloid arthritis.
Treatment for stage II SLAC wrist?
PRC or scaphoid excision with four corner fusion. Characterized by arthritis of the entire scaphoid facet.
Treatment for stage III SLAC wrist?
Scaphoidectomy with four corner fusion or wrist arthrodesis. Characterized by capitolunate arthritis with proximal migration of the capitate into the scapholunate interval.
Which ligaments are important in preventing dorsal intercalated segment instability?
dorsal intercarpal ligaments are important for preventing DISI.
What is the best imaging test to stage Keinbock’s disease?
CT scan.
What are the advantages of wide-awake tendon repairs?
How do you know if you have a true AP view of the forearm?
The bicipital tuberosity and radial stylid should be 180 degrees apart on the AP view.
Lateral view should have ulnar styloid and coronoid 180 degrees apart.
Which forearm compartment is most commonly affected with compartment syndrome?
Volar
Mobile wad is rarely involved. (Brachioradialis, ECRL, and ECRB.)
What are the compartments of the hand?
10 in total
Thenar, hypothenar, adductor pollicis, dorsal interosseous (4), and volar interosseous (3).
Another way of describing an intrinsic minus hand?
Claw hand.
What is the treatment for Volkamn’s Ischemic contracture of the hand that affects both wrist and finger flexors?
This is Moderate per Tsuge classification
Tx is excision of necrotic tissue, median and ulnar neurolysis, BR to FPL and EXRL to FDP tendon transfers, distal slide of viable flexors.
What is thought to lead to neonatal compartment syndrome?
Both extrinsic (mechanical compression) and intrinsic (hypercoagulable state such as polycythemia).
Idiopathic most common cause
All patients present with some sort of skin lesion at birth (bullae, erythema, ulcerative, eschar, or fingertip gangrene.)
Lack of spontaneous limb movement.
Often missed. Compartment pressures should not be measured, not reliable.
Differential for neonatal compartment syndrome?
Very late complication?
Cellulitis
Vascular injuries associated with brachial plexus lesions
Necrotiing fasciitis
Physeal distortion requiring limb lengthening and angular correction.
What disease can be treated with periarterial sympathectomy after medical management has failed.
Raynauds, may add arterial reconstruction.
Controversial use in thromboangiitis ovliterans (Buerger’s Disease)
What is the most common site of compression of the PIN nerve?
arcade of Frohse.
Thick tendinous edge of the supinator.
What can the lacertus fibrosis casue compression of?
median nerve.
Broad aponeurosis of the biceps brachii.lab
First line chemoprophylaxtic treatment in patients undergoing leech therapy?
Ciprofloxacin (A fluoroquinolone).
What is injured if an individual is unable to actively extend their MCP joint but is able to maintian it extened after passive extension?
sagittal band injury.
What is retracted laterally and what is retracted medially in volar henry approach?
radial nerve is deep to brachioradialis and is retracted Laterally
Supinator, FCR, radial artery and PIN is retracted medially
Tendon transfer for wrist drop?
pronator teres to ECRB
Tendon transfer for loss of finger extension seen after obstetric brachial plexopathies?
FCR or FCU to EDC 2-5
Tendon transfer for thumb abduction after obstetric brachial plexopathy?
EIP to abductor pollicis brevis.

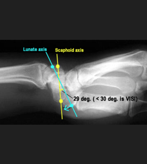
When the Lunotriquetral ligament is disrupted the scaphoid’s influence on lunate position is unchecked and the lunate gradually flexes with the scaphoid.
This leads to volar intercalated semental instability (VISI)
Normal is on average 47 degrees.
Visi is the < 30 degrees
Volar aspect of lunotriquetral ligment stronger. Dorsal side of SL ligament stronger.
What is the most likely cause for persistent DRUJ incongruity after anatomic reduction and fixation of a Gaeleazzi fracture?
Interposed extensor carpi ulnaris tendon.