hand and lower extremity Flashcards

(55 cards)

1
Q

A 19-year-old woman is evaluated 2 hours after jamming her finger while playing basketball. She has pain with resisted extension and a 20-degree extensor lag at the proximal interphalangeal (PIP) joint, but she is able to actively flex and extend the joint. On physical examination, she demonstrates active extension at the distal interphalangeal joint with the PIP joint held in 90 degrees of flexion. Which of the following structures is most likely injured in this patient?
A) Central slip
B) Lateral bands
C) PIP collateral ligaments
D) Terminal tendon
E) Volar plate

A

A. Central slip
A central slip avulsion will often lead to attenuation of the triangular ligament and volar migration of the lateral bands, which become proximal interphalangeal (PIP) joint flexors. This leads to a boutonnière deformity. However, this may take days to weeks to occur, and acutely, the lateral bands may remain able to weakly extend the PIP joint. The Elson test is useful to determine the integrity of the central slip in this acute stage.
This examination shows a positive Elson test, by which the patient is able to actively extend the distal interphalangeal (DIP) joint as a result of disruption of the central slip. An uninjured finger will not actively extend at the DIP joint with the PIP joint held in flexion, but with injury to the central slip, the lateral bands dissociate and extend the DIP with the PIP joint in flexion

How well did you know this?
1
Not at all
2
3
4
5
Perfectly
2
Q

An 18-month-old male infant is brought to the office for evaluation of a Blauth Type II hypoplastic thumb deformity. Physical examination of the right hand shows a narrow first web space and weak opposition. Valgus stress testing shows instability of the metacarpophalangeal (MCP) joint of the thumb. Which of the following is the most appropriate treatment to address the MCP joint instability in this patient?
A) Arthrodesis
B) Extensor indicis proprius tendon transfer
C) Pollicization of the index finger
D) Serial splinting
E) Ulnar collateral ligament reconstruction

A

E. ulnar collateral ligament reconstruction

A Blauth Type II hypoplastic thumb deformity includes a narrow first web space, thenar muscle insufficiency, and metacarpophalangeal (MCP) joint instability. Surgical management should attempt to address all of the deficiencies at the same time. The flexor digitorum superficialis tendon of the ring finger can be used to perform an opponensplasty and a ulnar collateral ligament (UCL) reconstruction since the tendon length is typically long enough to perform both simultaneously. The narrow first web space can be addressed by various web space deepening procedures, such as a four-flap Z-plasty.
In the case of multi-directional MCP joint instability or degenerative changes, arthrodesis is a reasonable option. With this patient’s unidirectional valgus instability, however, ligament reconstruction is the preferable option. Index finger pollicization is an option for Blauth Type IIIB through V thumbs, which demonstrate carpometacarpal joint instability. Therapy and serial splinting are components of postoperative management and rehabilitation, but they cannot solve the inherent UCL deficiency. Patients with Blauth Type II thumbs can sometimes also present with a clasped thumb deformity from an absent extensor pollicis brevis tendon. This can be addressed with an extensor indicis proprius tendon transfer

How well did you know this?
1
Not at all
2
3
4
5
Perfectly
3
Q

Which of the following best describes the primary functions of the tibialis anterior muscle?
A) Ankle dorsiflexion and eversion
B) Ankle dorsiflexion and inversion
C) Ankle plantarflexion and eversion
D) Ankle plantarflexion and inversion

A

D. ankle dorsiflexion and inversion

innervated by branches of the deep peroneal nerve. It inserts into the medial cuneiform bone in the foot, and as such is primarily responsible for dorsiflexion and inversion of the foot. Loss of function of the tibialis anterior muscle may result in a foot drop, although other muscles involved in dorsiflexion (such as the extensor hallucis longus or toe extensors) can compensate for loss of tibialis anterior function. The tibialis anterior muscle is not responsible for eversion (which is controlled by the peroneus longus and brevis muscles).

How well did you know this?
1
Not at all
2
3
4
5
Perfectly
4
Q

A 50-year-old, right-hand–dominant woman presents because of insidious onset, ulnar-sided wrist pain that has been present for the past 10 years. Ulnar impaction syndrome is suspected. Which of the following x-ray images shown is most appropriate for measurement of ulnar variance in this patient?
A) Carpal tunnel view
B) Clenched fist view
C) Lateral view
D) Oblique view
E) Ulnar deviated view

A

C. Lateral view

On lateral films, ulnar variance is measured between the most proximal point of the lunate fossa and the most distal articulation of the ulnar head, and studies have shown that this is the most accurate x-ray method of estimating ulnar variance.
Ulnar variance, or the relative difference in length of the ulna compared with the radius, has been implicated in a number of pathologic processes. Positive ulnar variance has been associated with tears of the triangular fibrocartilage complex and ulnar impaction syndrome. Negative ulnar variance has been associated with Kienböck disease and carpal instability.

How well did you know this?
1
Not at all
2
3
4
5
Perfectly
5
Q

An 81-year-old woman comes to the office because of pain and dysfunction in the left hand. She reports that after washing her hands, she shook off excess water and felt sharp pain in the metacarpophalangeal joint region of the middle finger of the left hand. On examination, the patient has no difficulty making a fist with her left hand, but on extending her fingers, the middle finger does not have full active extension. The middle finger can be easily extended passively, and she is then able to hold it in a fully extended position without difficulty. Which of the following structures is most likely injured in this patient?
A) Extensor digitorum communis tendon
B) Juncturae tendinum
C) Lateral band
D) Sagittal band
E) Terminal tendon

A

D. sagittal band

Sagittal band injury, especially involving the middle finger, may present in older patients after seemingly insignificant trauma. Classically, these patients present with painful snapping of the extensor tendon as it dislocates/relocates from its position atop the metacarpophalangeal (MCP) joint. They can also present with difficulty with finger extension because of the extensor tendon displacement into the intermetacarpal space.
Disruption of the lateral band may affect extension of the interphalangeal joints but not the MCP joint. Likewise, injury of the terminal tendon could lead to a mallet finger, with loss of distal interphalangeal extension, but would not affect the MCP joint.

How well did you know this?
1
Not at all
2
3
4
5
Perfectly
6
Q

A 27-year-old man comes to the office because of pain that developed in the left hand while rock climbing, during which he experienced a loud pop in the hand. He also reports loss of flexion strength. Physical examination shows bruising and swelling over the palmar aspect of the ring finger. The patient is able to bend the proximal interphalangeal (PIP) and distal interphalangeal joints of the ring finger, and he is able to flex the digit with the remaining fingers held in extension. The PIP and metacarpophalangeal joints are stable and pain-free to stress. X-ray studies do not show fracture or dislocation. Which of the following is the most likely diagnosis?
A) Avulsion of the flexor digitorum profundus
B) Lumbrical muscle tear
C) Midsubstance tear of the flexor digitorum superficialis
D) Pulley rupture
E) Volar plate injury

A

D. Pulley rupture

common in rock climbers. These injuries typically present with an acute onset of pain and sometimes with a loud popping noise, along with swelling and possibly hematoma. Bowstringing may occur in cases of multiple pulley ruptures, when flexing against resistance.

How well did you know this?
1
Not at all
2
3
4
5
Perfectly
7
Q

A 70-year-old man is evaluated because of progressively worsening leg pain with ambulation and a nonhealing wound of the lower leg. Physical examination shows a 2-cm dry, necrotic ulcer on the anterior aspect of the leg. In addition to referral to a vascular surgeon, which of the following is the most appropriate next step in management?
A) Ankle-brachial index test
B) Arteriography
C) Biopsy
D) Culture
E) Debridement

A

A. ABI

How well did you know this?
1
Not at all
2
3
4
5
Perfectly
8
Q

An 82-year-old man who is a retired welder comes to the office with an 18-month history of intermittent pain in the right hand. Physical examination shows warm and well-perfused fingers with tiny discolorations in the nail beds. Photographs are shown. Vascular studies disclose a thrombosed ulnar artery and an aneurysm with digital brachial indices in the 0.9 to 1.0 range. Which of the following treatments is most likely to alleviate the symptoms in this patient?
A) Activity modification
B) Aneurysm excision
C) Daily full-dose aspirin therapy
D) Guyon canal decompression
E) Thrombectomy

A

B. Aneurysm excision
This patient presents with symptoms and signs (ie, splinter hemorrhages) related to intermittent vascular compromise, likely because of microemboli from the thrombosed ulnar artery, as well as possible intermittent vasospastic episodes.

How well did you know this?
1
Not at all
2
3
4
5
Perfectly
9
Q

A 24-year-old man sustains a degloving injury to the dorsal foot. The surgeon uses a free temporoparietal fascia flap and split-thickness skin graft to provide thin coverage with a gliding surface. Which of the following complications is most likely to occur at the flap donor site in this patient?
A) Injury to the temporal branch of the facial nerve
B) Injury to the trigeminal nerve
C) Loss of ability to actively move the ears
D) Temporal alopecia
E) Temporal hollowing

A

D. temporal alopecia

superficial temporal vessels

How well did you know this?
1
Not at all
2
3
4
5
Perfectly
10
Q

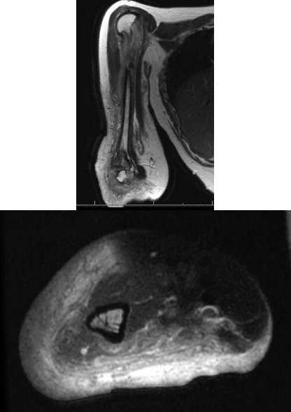
A 55-year-old woman is referred to the office because of a slow-growing, painless soft-tissue mass on the volar aspect of the right forearm. She does not report any history of trauma. Physical examination shows a 3-cm firm mass at the volar midline of the distal forearm that is mobile in the transverse direction. The mass does not transilluminate. Percussion of the mass elicits a Tinel sign in the median nerve distribution. MRI demonstrates an eccentric mass of the median nerve that is homogeneously hypointense centrally with peripheral hyperintensity. Which of the following is the most likely diagnosis?
A) Dermatofibrosarcoma protuberans
B) Epidermal inclusion cyst
C) Schwannoma
D) Tenosynovial giant cell tumor
E) Volar ganglion cyst

A

C. Schwannoma

usually solitary and typically present as a slow-growing, painless soft-tissue mass on the flexor surface of the forearm or hand. Schwannomas are often mobile in the transverse direction but not longitudinally, where they may be tethered in line with a peripheral nerve
Ganglion cysts contain mucin and transilluminate
Dermatofibrosarcoma protuberans (DFSP) is an uncommon low-grade malignant skin tumor that arises in the dermis and may be located in the forearm, but rarely in the hand. It usually presents as a painless plaque or nodule with a red-brown or violet color
Tenosynovial giant cell tumors, which include giant cell tumors of the tendon sheath and pigmented villonodular synovitis, are benign soft-tissue tumors. They are the second most common tumor in the hand. These tumors generally occur on the volar surface of the fingers and hand. They present as a firm, nodular, nontender mass commonly located on the three radial fingers.
epidermal inclusion- firm painless mass at tip

How well did you know this?
1
Not at all
2
3
4
5
Perfectly
11
Q

A 40-year-old man comes to the clinic because of difficulty with the use of his right hand. Six weeks ago, he was treated at the emergency department after sustaining multiple stab wounds to the right upper extremity. At that time, the wounds were irrigated and closed. Physical examination shows clawing of the small and ring fingers and hyperextension of the metacarpophalangeal joint of the thumb. Sensation is decreased over the palm but normal over the dorsum of the hand. Injury to which of the following nerves is the most likely explanation for these findings?
A) High median
B) High ulnar
C) Low median
D) Low ulnar
E) Radial

A

D. low ulnar

n low ulnar nerve injuries, the nerve is damaged distal to the motor branch of the flexor carpi ulnaris and motor branch to the flexor digitorum profundus (FDP) of the ring and little fingers. In low injuries, sensation over the palmar ulnar aspect of hand is lost and paralysis occurs, usually to all interosseous muscles, the two ulnar lumbrical muscles, the three hypothenar muscles, the adductor pollicis muscle, and the deep head of the flexor pollicis brevis muscle. Sensation over the dorsum of the hand may be intact if the lesion has occurred distal to the takeoff of the dorsal ulnar sensory nerve, which takes off approximately 5 to 6 cm proximal to the ulnar styloid. The loss of intrinsic muscle function results in an inability to flex at the metacarpophalangeal (MCP) joints and extend the interphalangeal (IP) joints. This results in the development of the intrinsic-minus or claw posture of the ring and little fingers, where there is hyperextension at the MCP joints and flexion at the IP joints (Duchenne sign). The development of clawing does require the presence of intact extrinsic extensor and flexor tendon function; therefore, a high ulnar nerve injury results in less claw hand deformity because of the loss of FDP function.

How well did you know this?
1
Not at all
2
3
4
5
Perfectly
12
Q

median nerve injury

A

In low median nerve injuries, patients present with thenar wasting, weak thumb abduction and opposition, and decreased sensation of the volar thumb, index, and middle fingers. Patients with a high median nerve injury will have these same findings, as well as loss of FDP and flexor digitorum superficialis function to the index and middle fingers and loss of flexor pollicis longus function. They will also have weakness of the flexor carpi radialis muscle.

How well did you know this?
1
Not at all
2
3
4
5
Perfectly
13
Q

radial nerve injury

A

The deep branch supplies motor function to the extensor carpi radialis brevis and supinator muscles. The deep motor branch continues as the posterior interosseous nerve, which supplies motor function to the abductor pollicis longus, extensor carpi ulnaris, extensor digiti minimi, extensor digitorum communis, extensor indicis proprius, extensor pollicis brevis, and extensor pollicis longus muscles. The superficial branch of the radial nerve supplies sensation to the dorsal radial hand, as well as dorsal sensation to the thumb, index finger, middle finger, and the radial side of the ring finger. Depending on the location and specific branches involved, radial nerve injury can result in loss of wrist, thumb, and finger extension, as well as dorsal radial hand and finger sensation.

How well did you know this?
1
Not at all
2
3
4
5
Perfectly
14
Q

A 25-year-old man presents with the hook nail deformity shown in the photograph. Which of the following techniques will best address the deformity in this patient?
A) Ablation of the germinal matrix
B) Amputation at the distal phalanx level
C) Placement of an allograft under the nail bed
D) Reconstruction of the eponychium with a local island flap
E) Revision of the distal sterile matrix

A

E. Revision of the distal sterile matrix

A hook nail develops when an amputation to the fingertip occurs and the nail bed is not supported by bone because part of the distal phalanx is removed proximal to the distal end of the sterile matrix. As a result, the nail grows volarly over the tip. Trimming the distal aspect of the sterile matrix to match the length of the distal phalanx would stop the growth of the nail in the volar direction to repair the deformity.

How well did you know this?
1
Not at all
2
3
4
5
Perfectly
15
Q

A 40-year-old woman presents with a pigmented streak in the nail of the thumb. Which of the following is the strongest indication for biopsy of the lesion?
A) History of trauma to the thumb
B) Hypertrophic nail growth
C) Petechial hyperpigmentation
D) Presence of pigmentation for 2 weeks
E) Streak crosses the eponychial fold

A

E. streak crosses the eponychial fold

bunch or excision biopsy.Worrying signs include irregular borders, ulceration, increasing size, lifting of the nail plate, and extension beyond the nail plate. The finding of pigmentation including the surrounding skin (such as crossing the eponychial fold, ie, Hutchinson sign) is highly suggestive of subungual melanoma.
Hypertrophic nail growth with splitting of the nail is more suggestive of onychomycosis. Petechiae-like hyperpigmented lesions in multiple nail beds are suggestive of Peutz-Jeghers syndrome.

How well did you know this?
1
Not at all
2
3
4
5
Perfectly
16
Q

A 28-year-old man who is a carpenter is evaluated after sustaining a complete amputation of the thumb of the nondominant left hand when using a table saw. The injury resulted in destruction of the carpometacarpal joint. Replantation was attempted but not successful. Pollicization of the uninjured index finger is planned for reconstruction. Which of the following joints of the index finger will best function as the carpometacarpal joint of the reconstructed thumb after pollicization?
A) Carpometacarpal
B) Distal interphalangeal
C) Metacarpophalangeal
D) Proximal interphalangeal

A

C. MCP

How well did you know this?
1
Not at all
2
3
4
5
Perfectly
17
Q

A 25-year-old man comes to the office because of pain in the right hand sustained after striking a wall. Physical examination shows swelling, tenderness, and a bony deformity at the dorsal ulnar aspect of the hand. X-ray studies show dorsal fracture-dislocations of the fourth and fifth carpometacarpal joints. In addition to an axially directed load, which of the following forced movements is the most likely mechanism of injury in this patient?
A) Extension of the wrist
B) Flexion of the wrist
C) Metacarpophalangeal joint extension
D) Pronation of the wrist
E) Radial deviation of the wrist

A

B. Flexion of the wrist

clenched fist punching a firm surface or a fall. This axially directed load across a flexed CMC joint causes the metacarpal base to be directed dorsally, resulting in a dislocation or fracture-dislocation. There is dorsal and proximal displacement of the metacarpal with disruption of the dorsal CMC ligaments and sometimes a hamate fracture. These are unstable injuries and often require reduction and fixation.

How well did you know this?
1
Not at all
2
3
4
5
Perfectly
18
Q

A 25-year-old woman comes to the office because of a slow-growing upper extremity mass. Physical examination also shows numerous smaller lesions and masses scattered over the patient’s body. She reports that her mother has similar lesions. MRI images are shown. Which of the following is the most likely diagnosis?
A) Glomus tumor
B) Hemangioma
C) Lymphatic malformation
D) Plexiform neurofibroma
E) Venous malformation

A

D. plexiform neurofibroma

neurofibromatosis

Glomus tumors are small masses that can be extremely painful with temperature change and typically affect the distal nail bed or palm

How well did you know this?
1
Not at all
2
3
4
5
Perfectly
19
Q

A 54-year-old man is evaluated after sustaining a traumatic ulnar nerve laceration with no intrinsic muscle function. On examination, a Froment sign is noted. Which of the following muscles most likely compensates for the thumb adduction that caused the deformity?
A) Abductor pollicis brevis
B) Abductor pollicis longus
C) Extensor pollicis longus
D) Flexor pollicis brevis
E) Flexor pollicis longus

A

E. Flexor pollicis longus

When injuries occur proximal to the elbow, the expected motor deficits are in the following muscles: flexor carpi ulnaris, flexor digitorum profundus to the ring and small fingers, hypothenar (opponens digiti minimi, abductor digiti minimi, flexor digiti minimi brevis), third and fourth lumbrical, dorsal and palmar interosseous, adductor pollicis, and deep head of the flexor pollicis brevis.
A Froment sign is observed when the patient attempts to pinch between the thumb and index finger but is unable to activate the adductor pollicis muscle (ulnar innervated) and compensates by activating the flexor pollicis longus muscle by flexing the interphalangeal joint (median nerve innervated).

How well did you know this?
1
Not at all
2
3
4
5
Perfectly
20
Q

A 72-year-old woman with advanced rheumatoid arthritis comes to the office because of a sudden inability to extend the small and ring fingers. On physical examination, she is able to extend the wrist, thumb, and index finger independently. Passive wrist flexion with tenodesis shows no passive extension of the small and ring fingers. Her fingers can be passively placed in extension without difficulty, but she cannot maintain them in that position. Which of the following is the most likely cause of these findings?
A) Radial nerve palsy
B) Sagittal band rupture
C) Subluxation of the metacarpophalangeal joints
D) Trigger finger
E) Vaughan-Jackson syndrome with caput ulnae

A

E. Vaughan-Jackson Syndrome with caput ulnae

developed rupture of the extensor tendons to the ring and small fingers. An inability to extend the fingers at the metacarpophalangeal (MCP) joint can be caused by radial nerve dysfunction, subluxation of the extensor tendons at the MCP joint with sagittal band incompetence, a trigger finger, or extensor tendon rupture. This patient is able to extend the wrist, thumb, and index finger; therefore, the radial nerve is functioning. If the finger can be positioned in extension and maintained by the patient, then the sagittal band is likely ruptured. If the patient had a trigger finger severe enough to prevent active extension of the fingers, it would not be easy to passively reposition them in extension. If tenodesis with wrist flexion does not result in finger extension, the extensor tendons are likely not in continuity. In patients with rheumatoid arthritis, prominence of the distal aspect of the ulna (ie, caput ulnae) is the most common cause of tendon rupture

How well did you know this?
1
Not at all
2
3
4
5
Perfectly
21
Q

A 5-year-old boy is evaluated because of the deformity of the left hand shown in the photograph. Three months ago, the boy fell from a chair, and his parents report that he has been unable to extend his thumb. X-ray studies obtained by his pediatrician showed no fracture or dislocation. Physical examination today discloses a palpable mass at the volar aspect of the metacarpophalangeal joint flexion crease. Which of the following is the most appropriate treatment for this patient?
A) Corticosteroid injections
B) Extensor tendon repair
C) Manipulation with anesthesia
D) Percutaneous transection
E) Surgical incision

A

E. Surgical incision

trigger finger

How well did you know this?
1
Not at all
2
3
4
5
Perfectly
22
Q

A 13-year-old boy is evaluated after undergoing debridement of calcaneal osteomyelitis by the orthopedic team. A photograph is shown. Reconstruction with a sensate anterolateral thigh flap is planned. Which of the following best describes the path of the nerve that should be harvested with this flap?
A) It arises from the common peroneal nerve
B) It branches from the tibial nerve
C) It descends through the fibers of the psoas muscle
D) It passes under the lateral aspect of the inguinal ligament
E) It pierces the gastrocnemius muscle

A

D. it passes under the lateral aspect of the inguinal ligament

lateral femoral cutaneous nerve- passes under inguinal ligament and can be a site of compression. coapted to sural nerve

gracilis–(motor) obturator nerve

sural nerve pierces gastroc (arises from tibial and common Peroneal n)

The medial plantar artery flap can be harvested as a sensate flap, innervated by cutaneous branches of the tibial nerve. This flap is useful for small defects and would not be suitable for such a large wound.

How well did you know this?
1
Not at all
2
3
4
5
Perfectly
23
Q

Which of the following reconstructive techniques best improves the aesthetics of toe syndactyly repair by decreasing the visibility of the interdigital skin grafts on the dorsal aspect of the foot?
A) Harvesting skin grafts from the antecubital fossa
B) Harvesting skin grafts from the groin
C) Resurfacing the web space with a large dorsal flap
D) Resurfacing the web space with a plantar flap
E) Using larger Z-plasty flaps on the dorsal toes

A

D. resurfacing the web space with a plantar flap

24
Q

A 36-year-old woman comes to the office because of a painless soft-tissue mass on the ulnar aspect of the palm that has grown rapidly during the past 6 weeks. MRI shows a 2-cm heterogenous soft-tissue tumor that is bright on T1 sequences and does not suppress on fat suppression sequences. Thickened irregular septations are seen within the mass, which abuts the metacarpal bones. Examination of a specimen obtained on biopsy shows liposarcoma. Which of the following is the most appropriate next step for this patient?
A) Amputation below the elbow
B) Chemotherapy
C) Double ray resection
D) Marginal excision
E) Radiation

A

C. double ray resection

some signs indicative of malignancy are the history of rapid growth, heterogeneous nature of the tumor, and the lack of suppression on fat suppression sequences.

Wide surgical excision with clear margins is the most important primary goal in the treatment of soft-tissue sarcomas. In this case, double ray resection would allow removal of the tumor while preserving some hand function.
Chemotherapy may be used as an adjunctive technique for soft-tissue sarcomas but does not take the place of surgical excision. When used in an adjuvant setting, it may have some overall benefit, but this is typically recommended for high-grade and large (greater than 5 cm) sarcomas.
radiation can be used post op to decrease local recurrence rates but no change in survival- used in larger high grade

25
A 2-year-old boy with Type IV hypoplasia of the thumb undergoes index finger pollicization. The extensor digitorum communis and extensor indicis proprius tendons of the index finger will most likely be used to reconstruct which of the following two tendons in the thumb of this patient? A) Abductor pollicis longus and extensor pollicis longus B) Abductor pollicis longus and flexor pollicis longus C) Extensor pollicis brevis and abductor pollicis longus D) Extensor pollicis brevis and flexor pollicis longus E) Flexor pollicis longus and extensor pollicis longus
A. abductor pollicis longs and extensor policies longs During pollicization, the extensor tendons of the index finger are used to reconstruct the extensor tendons of the reconstructed thumb. The extensor digitorum communis is shortened and attached to the proximal phalanx to act as the abductor pollicis longus. The extensor indicis proprius is shortened and repaired and acts as the extensor pollicis longus. There is no need to reconstruct both the extensor pollicis brevis and the abductor pollicis longus since they both will act as abductors of the thumb. The flexor pollicis longus is reconstructed with a flexor tendon from the index finger, specifically the flexor digitorum profundus.
26
A 42-year-old man who sustained an amputation immediately distal to the elbow is scheduled to undergo a targeted muscle reinnervation procedure for improved prosthetic control and function. Which of the following nerve transfers is most likely to provide a "hand-close" signal in this patient? A) Medial antebrachial cutaneous nerve to the brachioradialis muscle B) Median nerve to the short head of the biceps C) Musculocutaneous nerve to the pectoralis major muscle D) Radial nerve to the lateral head of the triceps E) Ulnar nerve to the brachialis muscle
B. median nerve to short head of biceps
27
A 42-year-old man undergoes open reduction and internal fixation of an olecranon fracture complicated by wound dehiscence. Coverage of the soft-tissue defect of the posterior aspect of the elbow with a pedicled lateral arm flap is planned. When used to cover the defect in this patient, this pedicled flap is most likely to be supplied by which of the following arteries? A) Circumflex humeral B) Interosseous C) Lateral thoracic D) Radial recurrent E) Ulnar
D. radial recurrent The distally based pedicled lateral arm flap is used for coverage of elbow defects following traumatic injuries. When used as a pedicled, distally based flap, the dominant arterial inflow is from the radial recurrent artery, which has communication with the posterior radial collateral artery. The primary pedicle to the anterograde lateral arm flap is the posterior radial collateral artery, which is most commonly used as a free flap.
28
A 45-year-old man is evaluated because of an enlarging fluctuant mass over the posterior hip. Four months ago, he sustained injuries in a snowmobile accident. At that time, he received treatment for sacral and pubic rami fractures, but no skin injury was noted. The initial CT image is shown. Which of the following is the most likely cause of the deformity in this patient? A) Fat necrosis B) Hemorrhage C) Lymphatic disruption D) Postoperative seroma E) Sarcoma
C. lymphatic disruption morel lesion-the fascia is sheared away from the superficial subcutaneous tissues. This creates a prefascial plane which allows for a potential space to be filled from the leaking disrupted lymphatic vessels and capillaries.
29
A 24-year-old woman presents with a severe first web space contracture due to scarring from a complex injury sustained 12 months ago. During management of the initial injury, the patient's superficial palmar arch was noted to be incomplete. The scar tissue involves 50% of the dorsal aspect of the hand. After contracture release, the pedicle between which of the following structures will provide the best blood supply for reconstruction? A) Brachioradialis and abductor pollicis longus muscles B) Extensor carpi ulnaris and extensor digiti minimi muscles C) Extensor pollicis longus and extensor indicis proprius muscles D) First and second metacarpal bones E) Vastus lateralis and vastus intermedius muscles
B) Extensor carpi ulnaris and extensor digiti minimi muscles posterior interosseus artery flap, which has a pedicle between the extensor carpi ulnaris and the extensor digiti minimi muscles. A reverse radial forearm would be a suitable option, but the pedicle is located between the brachioradialis and the flexor carpi radialis muscles. The first and second dorsal metacarpal artery flaps are not good options in this patient because of the location and extent of contracture. A free flap using the anterolateral thigh would also be an option, but its pedicle is between the vastus lateralis and the rectus femoris muscles.
30
Which of the following types of graft is most appropriate for reconstruction of a bony defect in the forearm when using the induced membrane (Masquelet) technique? A) Cancellous allograft B) Cancellous autograft C) Cortical allograft D) Cortical autograft E) Membranous autograft
B. cancellous autograft
31
A 64-year-old man recently underwent total knee arthroplasty in the setting of infection, and the plastic surgeon is consulted regarding coverage. After debridement, there is a 4 × 5-cm soft-tissue defect over the tibial tuberosity with exposed hardware. Which of the following is the most appropriate reconstructive option? A) Medial gastrocnemius flap B) Negative pressure wound therapy C) Rectus femoris flap D ) Skin graft E) Soleus flap
A. medial gastrocnemius flap The gastrocnemius flap is an excellent reconstructive option for defects of the proximal third of the leg. The medial head is longer and the muscle extends more distally, and it provides more reliable coverage around the knee than the lateral gastrocnemius flap. The soleus flap is the preferred option for middle third defects. A soleus flap is useful for coverage over the middle third of the lower leg but cannot reach the knee. A rectus femoris flap may be used for inguinal reconstruction but is not typically used for knee coverage.
32
A 45-year-old man comes to the emergency department 3 days after sustaining a puncture wound to the palmar skin overlying the index ray of the right hand. He has type 1 diabetes that is poorly controlled. On examination, the right index finger has fusiform swelling, a semi-flexed posture, and pain over the flexor sheath. There is also substantial dorsal and palmar hand swelling, and the thumb appears widely abducted. Passive adduction of the thumb causes significant pain. In addition to irrigation of the index finger flexor sheath, which of the following spaces requires exploration and drainage? A) Dorsal subaponeurotic B) Hypothenar C) Midpalmar D) Parona E) Thenar
E. Thenar This patient has a thenar space infection that resulted from the proximal spread of index finger flexor tenosynovitis. The thenar space is bordered dorsally by the adductor pollicis muscle and the index and long metacarpals, palmarly by the index finger flexor tendon and palmar fascia, ulnarly by the midpalmar oblique septum, and radially by the adductor insertion and thenar muscle fascia.
33
The superolateral border of the popliteal fossa is formed by which of the following muscles? A) Biceps femoris B) Lateral head of the gastrocnemius C) Medial head of the gastrocnemius D ) Plantaris E) Semimembranosus
A. bicep femoris The medial head of the gastrocnemius muscle forms the inferomedial border and the semimembranosus muscle forms the superomedial border. The inferolateral border is formed by the lateral head of the gastrocnemius muscle and the plantaris muscle. The biceps femoris forms the superolateral border.
34
A 30-year-old man comes to the office after sustaining an injury to the tip of the middle finger of the right hand when it got caught in a car door. On examination, the finger is well-perfused and sensation is intact. There is an approximately 90% subungual hematoma with poor adherence of the nail margins and laceration of the nail plate. Flexion and extension at the distal interphalangeal joint are intact. X-ray studies show a transverse, displaced tuft fracture of the distal phalanx. Which of the following is the most appropriate management for this patient's injury? A) Amputation of the fingertip with total nail bed excision B) Full-thickness nail bed grafting C) Primary repair of the nail bed D) Trephination of the nail plate E) Observation
C. primary repair of the nail bed
35
A 25-year-old man presents with pain over the dorsal aspect of the forearm 4.5 cm proximal to the Lister tubercle. The pain worsens when he rows for exercise. Physical examination shows focal swelling and tenderness over the affected area, as well as crepitus with wrist and thumb extension. Which of the following is the most likely diagnosis? A) de Quervain disease B) Extensor carpi ulnaris tenosynovitis C) Intersection syndrome D) Radial tunnel syndrome E) Wartenberg disease
C. intersection syndrome Intersection syndrome (IS) occurs at the intersection of the extensor carpi radialis longus (ECRL) and extensor carpi radialis brevis (ECRB) muscles in the second extensor compartment (SEC) as they pass under the abductor pollicis longus (APL) and extensor pollicis brevis (EPB) muscle bellies De Quervain disease is inflammation of the first extensor compartment (FEC) tendons (APL and EPB).
36
radial tunnel syndrome
Radial tunnel syndrome is a compression neuropathy of the posterior interosseus nerve, a branch of the radial nerve. It innervates the supinator and all extensors of the forearm except the ECRL muscle and variably the ECRB muscle. Patients typically have pain and aching at the dorsoradial forearm proximally, often starting at the lateral epicondyle and radiating distally. Maximal pain is often palpated at the radial tunnel 3 to 5 cm distal to the lateral epicondyle. Pain frequently worsens with repetitive forearm pronation and wrist and elbow extension.
37
extensor carpi ulnaris tenosynovitis
Extensor carpi ulnaris (ECU) tenosynovitis is a common tendinopathy and cause of ulnar wrist pain. The ECU tendon pain occurs at the dorsoulnar wrist. Patients frequently have intermittent or constant ulnar wrist pain that worsens with wrist and forearm motion. The tendon is present at the sixth extensor compartment, and the sheath floor forms part of the triangular fibrocartilage complex, helping stabilize the distal radioulnar joint. ECU tenosynovitis can occur secondary to overuse injuries, such as repetitive motions in golfing and weightlifting. Injury secondary to abrupt twisting of the wrist can lead to an avulsion or tear of the tendon’s ulnar sheath, with subsequent instability of the ECU especially with forearm motion.
38
wartenberg disease
Wartenberg disease is a nerve compression of the superficial branch of the radial nerve (SBRN). Patients present with pain and paresthesias of the radial aspect of the dorsal hand, with no motor deficits because this is a sensory nerve branch. The SBRN travels under the brachioradialis (BR) muscle, proximally passing between the BR and ECRL muscles into a subcutaneous position about 9 cm proximal to the radial styloid.
39
A 24-year-old man presents with an injury to the thumb of his dominant hand that he sustained while skiing. In which of the following positions should the metacarpophalangeal joint be tested to assess for integrity of the proper ulnar collateral ligament?
D. 30 flexion, radial
40
A 6-month-old female infant is brought to the office because of cleft-type symbrachydactyly affecting the left hand. X-ray studies are shown. Which of the following is the most appropriate recommendation regarding a prosthesis for this patient? A) The child currently has no functional need for a prosthesis B) Fit the child with an activity-specific prosthesis immediately C) Fit the child with an articulating finger prosthesis immediately D) Schedule the child for skeletal augmentation prior to fitting for a prosthesis E) Schedule the child for targeted muscle reinnervation prior to fitting for a prosthesis
A. the child currently has no functional need for a prothesis
41
A 24-year-old man comes to the office after sustaining a flail upper extremity injury in a motorcycle collision 4 weeks ago. A severe brachial plexus injury is suspected. Which of the following evaluations will provide the most information to plan the best reconstruction for this patient? A) CT myelography B) Electromyography C) MRI D) Nerve conduction studies E) Ultrasonography
C. MRI
42
Ossification of the femur begins during which of the following weeks of gestation? A) 4 B) 8 C) 12 D) 16 E) 20
B. 8
43
A 7-year-old boy who is a soccer goalie is brought to the emergency department because of right hand pain after being struck in the hand by the ball at practice. An x-ray study is shown. Attempts at reduction are unsuccessful. If this patient undergoes surgical intervention using a volar approach, which of the following structures has the greatest iatrogenic risk for injury? A) Collateral ligament B) Digital nerve C) Flexor digitorum profundus tendon D) Lumbrical muscle E) Volar plate
B. digital nerve
44
An 18-year-old man who is a high school football player is brought to the emergency department immediately after sustaining an injury to the small finger of his dominant right hand when tackling an opponent. Physical examination shows no lacerations. There is an area of tenderness and swelling in the distal aspect of the palm. Active flexion at the proximal interphalangeal joint of the small finger is intact. The patient demonstrates no active flexion of the distal interphalangeal joint. X-ray studies of the small finger and hand show no abnormalities. Which of the following is the most appropriate next step in management? A) Hand therapy for the distal interphalangeal joint B) Reconstruction of the A4 pulley C) Repair of the flexor digitorum profundus tendon D) Splint immobilization of the distal interphalangeal joint E) Two-stage flexor tendon reconstruction
C. repair of the flexor digitorum profundus tendon
45
A 22-year-old man comes to the emergency department with a sharp injury to the lateral cord of the brachial plexus sustained during an altercation. Which of the following examination findings is most likely present in this patient? A) Intrinsic atrophy B) Limited wrist extension C) Loss of shoulder abduction D) Numbness of the ulnar digits E) Weak elbow flexion
E. Weak elbow flexion The lateral cord of the brachial plexus contributes to the musculocutaneous nerve with its continuation of the lateral antebrachial cutaneous nerve, and it provides the sensory portion of the median nerve. Therefore, injury would affect elbow flexion as well as lateral forearm and median sensory innervation. Loss of shoulder abduction (upper trunk, posterior cord), limited wrist extension (extended upper trunk, posterior cord), and ulnar numbness and intrinsic atrophy (lower trunk, medial cord) would be seen in other patterns of brachial plexus injury.
46
A 24-year-old man presents with a nonulcerated pustule on the pulp of the index finger of the dominant hand after sustaining a minor cut 6 months ago. Results of culture show Mycobacterium marinum. Which of the following was most likely used for incubation? A ) Blood agar B) Chocolate agar C) Löwenstein-Jensen medium D) Lysogeny broth E) MacConkey agar
C) Löwenstein-Jensen medium MacConkey agar is used for growth of gram-negative bacteria. Chocolate agar is useful for growing fastidious respiratory bacteria. Blood agar is an enriched medium for fastidious organisms such as Streptococci. Lysogeny broth is an enriched liquid medium for bacterial growth often used in molecular biology.
47
When harvesting the fibula osseous flap, the pedicle is located between which of the following two muscles? A) Extensor hallucis longus and flexor hallucis longus B) Flexor hallucis longus and tibialis posterior C) Peroneus brevis and extensor digitorum longus D) Peroneus longus and flexor hallucis longus E) Tibialis posterior and extensor digitorum longus
B. flexor hallucis longs and tibias posterior
48
A 48-year-old man presents with an isolated nerve injury 4 weeks after sustaining a stab wound to the axillary region. On physical examination, he is unable to cross the index and middle fingers over one another. Surgical exploration with nerve repair is planned. Which of the following nerve transfers is most appropriate for this patient? A) Anterior interosseous to ulnar B) Median to the posterior interosseous C) Musculocutaneous to anterior interosseous D) Radial to axillary E) Spinal accessory to suprascapular
A. AIN to ulnar This patient has sustained a high ulnar nerve injury proximal to the elbow. The primary deficits for this patient include ulnar hand sensation, as well as intrinsic hand dysfunction.
49
An 18-year-old man presents with severe weakness and sensory loss from his right shoulder to his hand. He was involved in a motorcycle collision 3 months ago. Physical examination shows scapular winging. X-ray study of the chest shows that the hemidiaphragm is raised. Electrodiagnostic study demonstrates preservation of sensory nerve action potentials. On the basis of the image shown, which of the following (A–E) is the most likely site of injury in this patient?
E.
50
A 40-year-old man is brought to the emergency department after being found unconscious on the floor at home. The patient is currently alert, oriented, and answering questions appropriately. He reports using heroin the previous evening. He also reports pain in his right arm. On examination, the right forearm is tense and swollen with decreased sensation in the median innervated digits. Passive extension of the fingers causes pain. Which of the following is the most appropriate next step in management? A) Admit the patient to the intensive care unit for serial examination B) Obtain a CT scan to assess for gas formation C) Obtain an electromyogram to rule out median nerve compression D) Obtain an MRI to assess for muscle atrophy E) Perform operative release of forearm compartments
E. perform operative release of forearm compartments
51
A 56-year-old man presents for tendon grafting 3 months after undergoing silicone rod placement for flexor tendon reconstruction of multiple fingers. It is determined that at least 20 cm of tendon will be needed for grafting. Which of the following single autologous tendon donors in this patient is most likely to provide sufficient length? A) Extensor digiti minimi B) Extensor indicis proprius C) Flexor digitorum longus D) Palmaris longus E) Plantaris
E. plantaris
52
Amelia develops primarily from an abnormality in which of the following? A) Apical ectodermal ridge B) Dorsal ectoderm C) Sonic hedgehog protein D) Ventral ectoderm E) Zone of polarizing activity
A. apical ectodermal ridge amelia is a transverse deficiency type of proximodistal entire-limb malformation. The proximodistal axis develops through the apical ectodermal ridge. Signaling in this pathway occurs primarily via fibroblast growth factor and WNT proteins. The zone of polarizing activity is responsible for anteroposterior development, and sonic hedgehog protein is secreted from the zone of polarizing activity. Dorsal and ventral ectoderms are involved in dorsal-ventral differentiation.
53
A 6-year-old boy is brought to the office by his parents because of Blauth Type IIIB hypoplasia of the thumb of the right hand. Which of the following procedures is the most appropriate recommendation to give this patient optimal function of the hand? A) Ablation of the thumb and pollicization of the index finger B) Free great toe transfer C) Web space deepening and opponensplasty D) Z-plasty of the web space and arthrodesis of the metacarpophalangeal joint E) No procedure is indicated
A. ablation of the thumb and pollicization of the index Type I – minor generalized hypoplasia * Type II – intrinsic thenar muscles hypoplasia, first web space narrowing, and ulnar collateral ligament (UCL) insufficiency * Type IIIa – similar to Type II, plus extrinsic muscle and tendon abnormalities with bone deficiency and stable trapeziometacarpal (TMC) joint * Type IIIb – same as Type IIIa, except the TMC joint is unstable or missing * Type IV – "pouce flottant" or floating thumb * Type V – absent thumb Reconstruction is planned according to the missing components. No treatment is generally needed for Type I. Type II usually requires opponensplasty with web space deepening and UCL stabilization. Type IIIa would necessitate extrinsic tendon transfer in addition to the procedures for Type II. Types IIIb, IV, and V are best treated with pollicization of the index finger after ablation of the residual thumb, if present.
54
Which of the following percentages best represents the likelihood that a patient will have an extensor indicis proprius tendon present for use in a tendon transfer? A) 30% B) 50% C) 75% D) 95%
D. 95%
55
A 72-year-old man presents with a traumatic injury to the right lower extremity sustained in a fall from standing. Physical examination shows an open fracture of the tibia with exposed bone and a 5-cm wound with no gross contamination. Initially, the lower leg is moderately cool to touch. After fracture reduction, distal pulses are palpable and angiography shows normal blood flow. Which of the following is the most appropriate Gustilo classification of this patient's injury? A ) Type I B ) Type II C ) Type IIIA D ) Type IIIB E) Type IIIC
B. type II Type I open fractures involve soft-tissue lacerations smaller than 1 cm. Type II fractures include lacerations of 1 to 10 cm, with moderate soft-tissue damage. Type III fractures are greater than 10 cm and involve extensive soft-tissue damage. Type III fractures create difficulties with coverage of bone or hardware used in fixation. Gustilo Type III fractures can be further subdivided into A, B, and C subtypes. In Type IIIA fractures, there is still sufficient soft tissue to provide for bony coverage. Type IIIB fractures involve periosteal stripping and extensive tissue damage, where local soft-tissue coverage is not possible. Type IIIC fractures include vascular injuries that require repair. The presence of a vascular injury significantly increases the probability of amputation.