Hands & Fingers Flashcards

(77 cards)

1
Q

Name the position of this hand in the image:
-4 points patient positioning
-4 points SID, CR, CP, Collimation

A

>

How well did you know this?
1
Not at all
2
3
4
5
Perfectly
2
Q

Name the position of this hand in the image:
-4 points patient positioning
-4 points SID, CR, CP, Collimation

A

>

How well did you know this?
1
Not at all
2
3
4
5
Perfectly
3
Q

Name the position of this hand in the image:
-4 points patient positioning
-4 points SID, CR, CP, Collimation

A

>

How well did you know this?
1
Not at all
2
3
4
5
Perfectly
4
Q

Name the position of this hand in the image:
-4 points patient positioning
-4 points SID, CR, CP, Collimation

A

> Part missing from bottom is “all of the fingers and thumb including distal skin margin”

How well did you know this?
1
Not at all
2
3
4
5
Perfectly
5
Q

Name the position of this hand in the image:
-4 points patient positioning
-4 points SID, CR, CP, Collimation

A

>

How well did you know this?
1
Not at all
2
3
4
5
Perfectly
6
Q

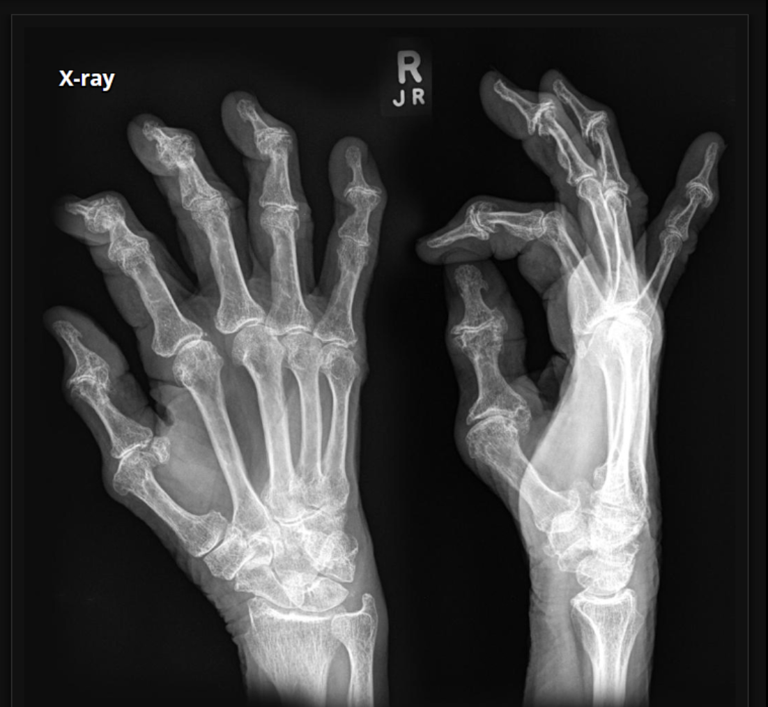
What pathological disease does this X-Ray show?

A

Osteoarthritis (most noticeable in Distal interphalangeal joints 2,3,4 in the DP view (left image))

How well did you know this?
1
Not at all
2
3
4
5
Perfectly
7
Q

What pathological disease does this X-Ray show?

A

Rheumatoid Arthritis

How well did you know this?
1
Not at all
2
3
4
5
Perfectly
8
Q

What pathological disease does this X-Ray show?

A

Gout

How well did you know this?
1
Not at all
2
3
4
5
Perfectly
9
Q

Name the position of this hand in the image:
-4 points patient positioning
-4 points SID, CR, CP, Collimation

A

>

How well did you know this?
1
Not at all
2
3
4
5
Perfectly
10
Q

Name the position of this hand in the image:
-4 points patient positioning
-4 points SID, CR, CP, Collimation

A

>

How well did you know this?
1
Not at all
2
3
4
5
Perfectly
11
Q

Name the position of this hand in the image:
-4 points patient positioning
-4 points SID, CR, CP, Collimation

A

>

How well did you know this?
1
Not at all
2
3
4
5
Perfectly
12
Q

How many bones are in the hand and what 3 groups are they characterised into?

A

-27 bones
groups:
-Phalanges (finger)
-Metacarpals (palm)
-Carpals (wrist bones)

How well did you know this?
1
Not at all
2
3
4
5
Perfectly
13
Q

What is the nomenclature of the phalanges of the hand? (numbers 1-5 is…)

A

1- thumb
2- index
3- middle
4- ring
5- pinky

How well did you know this?
1
Not at all
2
3
4
5
Perfectly
14
Q

Label the joints and regions of the hand in this image:

A

>

How well did you know this?
1
Not at all
2
3
4
5
Perfectly
15
Q

What pathological diseases would you do hand scans for?

A

-Osteoarthritis (deterioration of joints)
-Rheumatoid Arthritis (autoimmune inflammatory soft tissue swelling and joint space narrowing)
-Gout (uric acid crystal build up in joints)

How well did you know this?
1
Not at all
2
3
4
5
Perfectly
16
Q

What traumatic injuries would you do hand scans for?

A

-FOOSH (Fall on outstretched hands)
-Impact injury (punch, crush etc)
-Dislocation
-Amputation
-Mallet finger (forced bend of fingertip)
-Foreign bodies (glass, nails, etc)

How well did you know this?
1
Not at all
2
3
4
5
Perfectly
17
Q

What congenital conditions would you do hand scans for?

A

-Polydactyly (extra digits)
-Bone age (eg: 7yo with bone age of 5yo, scan done on not dominant hand)

How well did you know this?
1
Not at all
2
3
4
5
Perfectly
18
Q

What position of hand scans would you typically do for patients presenting with pathological reasons?

A

-Bilateral DP
-Ball catcher
-Bilateral lateral hand (some sites)

How well did you know this?
1
Not at all
2
3
4
5
Perfectly
19
Q

What position of hand scans would you typically do for patients presenting with traumatic reasons?

A

Only affected hand is scanned
-DP (Dorsi-palmar)
-Lateral
-Oblique

How well did you know this?
1
Not at all
2
3
4
5
Perfectly
20
Q

What position of hand scans would you typically do for patients presenting with congenital reasons?

A

Only affected hand is scanned
-DP
-Lateral

How well did you know this?
1
Not at all
2
3
4
5
Perfectly
21
Q

What part of the body is a broad Focal spot better suited for?

A

More denser tissue eg: leg, chest

How well did you know this?
1
Not at all
2
3
4
5
Perfectly
22
Q

What part of the body is a finer Focal spot better suited for?

A

Less denser tissue eg: hands, feet

How well did you know this?
1
Not at all
2
3
4
5
Perfectly
23
Q

What is the criteria for all hand x-rays regardless of position (regarding the ulna and radius)

A

That entire hand, wrist and 2.5cm of distal radius and ulna are demonstrated

How well did you know this?
1
Not at all
2
3
4
5
Perfectly
24
Q

What are two main criteria for DP finger X-rays?

A

-No rotation (check for symmetrical concavities on shafts of phalanges)
-Should have other digits on either side to determine which digit is affected

How well did you know this?
1
Not at all
2
3
4
5
Perfectly
25
What is an avulsion fracture?
It is when a small piece of bone is pulled away from the main part of the bone connected by an irregular tendon or ligament movement (IMPACT INJURY)
26
For hand/finger scans what is the general protocol (what positions) for Traumatic indication? (specify what ones FB does)
[Only affected hand is scanned] -Dorsi palamar -Lateral -Oblique (sometimes) FB only does first two
27
For hand/finger scans what is the general protocol (what positions) for Congenital indication?
Bone age: scan non-dominant hand, DP Polydactyl: scan affected hand, DP
28
What is the adult exposure amount (in kV and mAs) and focal spot (broad/fine) for a hand scan?
50-60kV 1.2-2mAs fine focal spot
29
What does # mean in request form?
Fracture
30
What does FB mean in request form?
Foreign Body
31
What does ? mean in request form?
Query
32
What does f/u mean in request form?
Follow up
33
What does H/x mean in request form?
History of
34
Give an example of when you would do an oblique scan for the hands:
If there is an avulsion fracture or if the Metacarpophalangeal joints is affected
35
Give guidelines for DP hand image criteria
36
Give guidelines for Oblique hand image criteria
37
Give guidelines for Lateral hand image criteria
38
Give guidelines for Bilateral DP hand image criteria
39
Give guidelines for Ball catchers hand image criteria
40
Give guidelines for DP finger image criteria
41
Give guidelines for Lateral finger image criteria
42
Give guidelines for AP thumb image criteria
43
Give guidelines for Lateral thumb image criteria
44
What type of disease is Osteoarthritis (OA)?
A degenerative joint disease caused by cartilage breakdown.
45
What joints are most commonly affected in hand OA?
DIP and PIP joints.
46
Is OA symmetrical or asymmetrical?
Asymmetrical.
47
What are the key radiographic features of OA?
Joint space narrowing, osteophytes (bony spurs), subchondral sclerosis (thickening of bone beneath cartilage).
48
What causes bony spurs in OA?
The body forms extra bone at joint margins in response to cartilage loss.
49
What are Heberden’s and Bouchard’s nodes?
Bony enlargements at DIP (Heberden’s) and PIP (Bouchard’s) joints in OA.
50
What type of disease is Rheumatoid Arthritis (RA)?
A chronic autoimmune inflammatory disease.
51
What joints are commonly affected in RA?
MCP joints, wrists, and PIP joints (but not DIP).
52
Is RA symmetrical or asymmetrical?
Symmetrical (same joints on both sides of the body).
53
What are the radiographic signs of RA?
Joint space narrowing, marginal erosions, soft tissue swelling, deformities.
54
What causes the joint damage in RA?
Autoimmune inflammation of the synovial membrane.
55
What is a hallmark feature of RA on X-ray?
Marginal erosions and joint deformities
56
What is gout indicative of?
Uric acid crystal buildup in the joints due to hyperuricemia.
57
What factors can trigger gout?
Rich diet (purines), alcohol, dehydration, crash dieting, kidney disease, certain meds.
58
Is gout symmetrical or asymmetrical?
Asymmetrical.
59
What are radiographic signs of chronic gout?
Punched-out erosions with overhanging edges (rat-bite lesions), tophi.
60
What is the most commonly affected joint in gout (early)?
The big toe (1st Metatarsal Phalange), but fingers and wrists can be involved later.
61
What traumatic clinical indications would someone present for a finger scan?
-Hyperextension (eg: skier/gamekeeper thumb) -Hyperflexion (mallet finger) -Dislocation -Foreign body -Crush -Bennett's fracture (fracture at base of thumb's metacarpal bone)
62
What is the photoelectric effect?
Absorption of X-ray photon when interacting with an atom, causing an electron to move from its shell. The energy from the X-ray is transferred to the electron. ## Footnote Occurs at lower kVp.
63
What is Compton scatter?
Scatter of the X-ray photon when interacting with an atom. The direction of the X-ray is changed as it passes by the atom, making it lose energy and change its direction. ## Footnote Higher energy of X-ray results in a more 'forward' direction of scattered X-ray. Occurs at higher kVp.
64
What does too high mAs (overexposure) look like on an X-ray?
Image appears 'burnt' — overly dark with loss of detail.
65
What does too low mAs (underexposure) look like on an X-ray?
Image shows 'quantum mottle' — grainy or noisy appearance with poor detail. ## Footnote More noticeable in dense areas.
66
What is the relationship between kVp and contrast?
High kVp results in a long gray scale (low contrast), while low kVp results in a short gray scale (high contrast).
67
What are indicators of adequate mAs in X-ray imaging?
- 'Spongy' pattern on bones - Good detail of soft tissue (high res) ## Footnote Important to focus on ROI (Region of interest) to determine adequate exposure.
68
What does increasing the mAs do?
Increases the number of X-ray photons in the X-ray beam, thus more are received by the imaging plate.
69
What is characteristic of a good contrast (adequate kVp) on an X-ray image?
No superimposition of bony structures.
70
What rule is essentially 'doubling' mAs?
15% kVp rule: increasing the kVp by 15% means more photons travel through the body without interaction, keeping the patient dose low.
71
How do you find Exposure time (mAs)?
mA (tube current) multiplied by time (seconds).
72
What is the 4cm thickness rule?
Reduce the beam intensity by half or if the body is 4cm thicker than expected, the mAs will need to be doubled (or 15% kVp rule) maintaining beam intensity.
73
What is AEC?
Automatic Exposure Control affects time (mAs) and terminates exposure when dose has been received by ionisation chamber in image plate. ## Footnote Calibrates exposure to tissue thickness and density; therefore, accurate centering is crucial.
74
What does a filter do to alter the X-ray beam?
Removes low-energy (soft) photons, reducing patient dose and 'hardening' the beam (increasing average photon energy).
75
What does a grid do to alter the X-ray beam?
Absorbs scattered photons before they reach the image receptor, improving image contrast but increasing patient dose.
76
What does kVp determine?
The energy of the X-ray photons; increasing kVp increases beam 'penetrability' and the value of greys.
77
When does the penumbra increase?
When OID increases or SID decreases.