HC 14.4 Nefritisch syndroom Flashcards

(27 cards)

1
Q

Wat is een nefritisch syndroom?

A

Ontsteking van de glomerulaire capillairen en daarom noem je het soms wel vasculitis van de nier.

How well did you know this?
1
Not at all
2
3
4
5
Perfectly
2
Q

Waar kan nefritisch syndroom tot leiden?

A

Nefritisch syndroom leidt tot een “rapidly progressive” glomerulonefritis.

How well did you know this?
1
Not at all
2
3
4
5
Perfectly
3
Q

Wat zijn de kenmerken van Nefritisch syndroom?

A
  • Oligurie (minder plassen) en nierinsufficiëntie
  • Hematurie
  • Proteïnurie meestal < 3 gram/dag (het hoeft niet minder dan 3 gram te zijn)
  • Oedeem (doordat de nieren niet goed werken, er wordt minder geplast)
  • Hypertensie
How well did you know this?
1
Not at all
2
3
4
5
Perfectly
4
Q

Hebben mensen met oedeem altijd hypertensie?

A

Mensen met Minimal Change Nephropathie hebben oedeem (soms wel 10-15 liter) maar geen hypertensie, dus het hoeft niet altijd samen te gaan. Bij Nefritisch syndroom is dat wel zo.

How well did you know this?
1
Not at all
2
3
4
5
Perfectly
5
Q

Hoe kun je op basis van urine, bedenken of rode en witte bloedcellen uit de blaas of uit de nier komen?

A
  • Rode (Hb) en witte bloedcellen (myeloperoxidase) kun je aantonen met een stikje. Maar meestal komen deze rode en witte bloedcellen uit de blaas (blaasontsteking).
  • Maar als je een cylinder ziet, met erytrocyten, dan kan de blaas niet de oorzaak zijn van de hematurie, maar de oorzaak zit dan verderop, hematurie van glomerulaire aard.
How well did you know this?
1
Not at all
2
3
4
5
Perfectly
6
Q

Wat is het verschil tussen nefritisch en nefrotisch syndroom als je kijkt via de microscoop?

A

Je ziet bij mensen met een nefritisch syndroom veel meer echte schade aan de nier dan bij een nefrotisch syndroom.

How well did you know this?
1
Not at all
2
3
4
5
Perfectly
7
Q

Hoe ontstaat proteïnurie bij een nefritisch syndroom?

A

Er zijn hele stukken waarbij de podocyten kapot zijn en je een rechtstreekse verbinding hebt van de bloedbaan naar het tubulus lumen. Het feit dat je niet meer proteïnurie hebt is niet zo zeer omdat de schade aan de filtratiebarrière subtieler is, maar meer dat je minder werkende glomeruli hebt, omdat je nierinsufficiëntie hebt.

How well did you know this?
1
Not at all
2
3
4
5
Perfectly
8
Q

Uit welke twee delen bestaat het immuunsysteem?

A

Het immuunsysteem bestaat uit twee delen: het gerichte immuunsysteem en het innate (aangeboren) immuunsysteem.

How well did you know this?
1
Not at all
2
3
4
5
Perfectly
9
Q

Wat zijn immunoglobulines?

A

Ook de immunoglobulines spelen een grote rol: immunoglobulines zijn eiwitten die een specificiteit hebben, die binden aan een epitoop van bijv. een bacterie en activeert dan het complementensysteem en zorgt voor influx van andere hulptroepen zoals de cellulaire immuniteit.

How well did you know this?
1
Not at all
2
3
4
5
Perfectly
10
Q

Wat is de cellulaire immuniteit?

A

De cellulaire immuniteit heb je in een aantal groeperingen: T-cellen (kunnen zelf op jacht gaan), B-cellen (maken immunoglobulines), granulocyten en macrofagen (die kunnen ook zelf op jacht gaan).

How well did you know this?
1
Not at all
2
3
4
5
Perfectly
11
Q

Welke cellulaire immuniteit komt meer voor bij nefritisch-, nefrotisch syndroom of bij IgA nefropathie?

A
  • Aandoeningen van het nefrotisch syndroom worden meer veroorzaakt door de T-cellen (cytokines). Als we de patiënten behandelen met een geneesmiddel tegen T-cellen dan genezen ze. Wat daartegen pleit is dat als je ze behandeld met een middel tegen B-cellen ze ook genezen.
  • Bij het nefritisch syndroom spelen vooral de complementenactivatie en de cellulaire reactie een rol.
  • IgA nefropathie zit hier een beetje tussenin.
How well did you know this?
1
Not at all
2
3
4
5
Perfectly
12
Q

Hoe wordt het complementensysteem geactiveerd? En wat is daarvan het gevolg?

A

IgG’s binden aan het antigeen en twee gebonden IgG’s binden aan C1q waarop C1q wordt geactiveerd. C1q’s zijn eiwitten die in het bloed circuleren. C1q zet een cascade in werking, een complement systeem met als resultaat meer eindproduct. Onder in het complementsysteem staat het membrane attack complex, een boormachine die gaten maakt in de membraan van bacteriën (maar ook van gewone cellen zoals podocyten). Pas als er een complex is gevormd, wordt de cascade in werking gezet.

How well did you know this?
1
Not at all
2
3
4
5
Perfectly
13
Q

Hoe kun je een idee krijgen van hoe actief een deel van het immuuncomplexsysteem is en hoe actief de nefritis is?

A

Heel veel van de complementen zijn meetbaar en daardoor kun je een idee krijgen hoe actief dit deel van het immuuncomplexsysteem is en hoe actief de nefritis is.

How well did you know this?
1
Not at all
2
3
4
5
Perfectly
14
Q

Vanaf wanneer ontstaat er immuuncomplexen? En wat is daarvan het gevolg voor het Nefritisch syndroom?

A

De eerste cel herkent het antigeen, gaat naar de lymfeklier en presenteert het daar middels een antigeen presenterende cel (APC) aan geheugencellen. Deze cellen gaan extra IgG maken. Na een week of twee is de IgG productie goed op stoom en is er een optimale verhouding tussen IgG en antigeen en treden de immuuncomplexen op. Een paar dagen later zijn er meer vrije IgGs aanwezig ten opzichte van de antigenen. Als het aantal immuuncomplexen erg hoog is, kan er een nefritisch syndroom ontstaan (dus na een infectie pas na twee weken).

How well did you know this?
1
Not at all
2
3
4
5
Perfectly
15
Q

Wat is het gevolg van de lokalisatie van immuuncomplexen in de nier?

A

Waar de immuuncomplexen terecht komen bepaald een beetje wat het probleem is:
- Bij membraneuze glomerulopathie gaan de immuuncomplexen onder de podocyten zitten, dan komen de afweercellen daar niet bij. Er is wel langzame achteruitgang door depositie van de complementen, maar verder niet heel veel bijzonders.
- Als de immuuncomplexen meer aan de kant van het bloed neerslaan, dan worden ze wel herkend door de afweercellen (ontstekingscellen). Er ontstaat een ontsteking.
- Kleine immuuncomplexen bevinden zich meer bij de podocyten en grote immuuncomplexen bevinden zich meer bij de endotheelcel.

How well did you know this?
1
Not at all
2
3
4
5
Perfectly
16
Q

Hoe worden crescents gevormd?

A

Komt door een lokale doorbraak van de filtratie barrière. Waarbij je stollingsmateriaal krijgt in de Kapsel van Bouwman en uittreding van witte bloedcellen (ontstekingscellen) uit de capillairen naar de Kapsel van Bouwman. Dit leidt tot een enorme prikkeling van de epitheelcellen. De prikkeling van de epitheelcellen vormt een halve maan door de proliferatie, en die halve maan kan of beter worden of verbindweefselen.

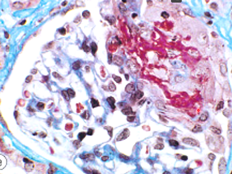
17
Q

Wat zien we hier op het plaatje?

A

Extracapillaire proliferatie.

18
Q

Wat is Anti-GBM nefritis?

A

Als je een antistof maakt tegen de glomerulaire basaalmembraan dan kan je anti-GBM nefritis ontwikkelen. Onder bepaalde omstandigheden maken mensen daar antistoffen tegen, we denken dat het komt door de ontrolling van bepaalde eiwitcomplexen. De antistoffen die ontstaan zijn vaak gericht tegen collageen type 4A. En dit leidt tot een immuuncomplexvorming in de basaalmembraan zelf en die leidt uiteindelijk tot een nefritis syndroom, omdat die dicht genoeg bij het bloedvat zit om tot influx van ontstekingscellen te leiden.

19
Q

Hoe zie je anti-GBM nefritis terug op immunofluorescentie?

A

Anti IgG als marker voor de IgG die zich bevindt in het basaalmembraan. Er is sprake van lineaire immunofluorescentie: over de gehele lijn van het glomerulaire basaalmembraan zie je IgG neerslagen. Aan de andere kant van de glomerulus zie je geen aankleuring omdat daar de extracapillaire proliferatie zit.

20
Q

Hoe kun je anti-GBM nefritis behandelen?

A

Je kunt deze patiënten behandelen met afweerremmende medicatie. Je kunt de anti-GBM antistoffen ook uit de patiënt verwijderen, dit doe je met behulp van plasmaferese dialyse (lichaamseiwitten haal je uit de patiënten en dan geef je plasma van een donor ervoor terug).

21
Q

Wat is poststreptococcen glomerulonefritis?

A

Het zijn antistoffen die streptokokken antigenen hebben, die slaan neer onder de endotheelcel. En die geeft een nefritisch syndroom.

22
Q

Wat zijn de symptomen van poststeptococcen glomerulonefritis en in welke doelgroep komt het met name voor?

A

Het is een aandoening die je vaak bij kinderen ziet. Keelontsteking en vervolgens 14 dagen erna minder plassen, bruine urine, dikke voeten, slechte nierfunctie, maar dit gaat vanzelf over.

23
Q

Waarom geef je mensen met poststreptococcen glomerulonefritis geen afweerremmende middelen?

A
  • Het gaat vanzelf over: op een gegeven moment heeft de normale immuunreactie de keelinfectie verholpen en worden de immuuncomplexen opgeruimd, vervolgens hersteld de nierfunctie zich weer. Soms niet helemaal.
  • Afweerremmende middelen zijn hierbij niet de oplossing, je wilt dat niet geven aan iemand die net een keelontsteking heeft gehad.
24
Q

Wat is granulomatose met polyangiitis (GPA)?

A

Dit zijn antistoffen die gericht zijn tegen het cytoplasma van de neutrofiele granulocyt. Je kan dit terugzien door de granulocyten te kleuren. Die antistoffen zitten dus niet in de nier. Die antistoffen leiden in de neutrofiele granulocyt, tot een gedragsverandering van de neutrofiele granulocyt. De granulocyten duiken door de wand van de capillair en gaan daar de glomerulaire basaalmembraan kapot maken door een ontsteking te veroorzaken.

25
Waar in het lichaam kan vasculitis bij GPA nog meer voorkomen?
De vasculitis bij GPA speelt zich niet alleen af in de nier, het kan zich ook afspelen in de huid.
26
Hoe kun je GPA zien op de immunofluorescentie?
Bij een patiënt met GPA zie je op de immunofluorescentie niks. De antistoffen zitten namelijk niet in de nier maar in de witte bloedcel. Daarom noem je het ook wel pauci-immuun nefritis, een nefritis met weinig antistoffen in de nier. [Je kan dit terugzien door de granulocyten aan te kleuren.]
27
Wat bepaalt waar de immuuncomplexen neerslaan?
Hangt er voor een deel af waar tegen ze gericht zijn. En lading en grootte speelt een rol.