Head and Spinal Injuries Flashcards

(64 cards)

1
Q

Present (correct formatting) the GCS score of someone who Obeys commands, is oriented in space/time/person when asked but only opens their eyes to pain?

A

GCS: 2/4, 5/5, 6/6

How well did you know this?
1
Not at all
2
3
4
5
Perfectly
2
Q

Present (correct formatting) the GCS score of someone who flexes their arm to pain, is cussing at you, and opens eyes spontaneously

A

4/4, 3/5, 3/6

How well did you know this?
1
Not at all
2
3
4
5
Perfectly
3
Q

Present (correct formatting) the GCS score of someone who extends their arm to pain, is confused, and opens eyes only to your voice

A

3/4, 4/5, 2/6

How well did you know this?
1
Not at all
2
3
4
5
Perfectly
4
Q

Present (correct formatting) the GCS score of someone who elicits no response to pain and is only mumbling

A

1/4, 2/5, 1/6

How well did you know this?
1
Not at all
2
3
4
5
Perfectly
5
Q

Present (correct formatting) the GCS score of someone who localizes to pain, is not making any sounds and eyes closed unless their is pain.

A

2/4, 1/5, 5/6

How well did you know this?
1
Not at all
2
3
4
5
Perfectly
6
Q

Present (correct formatting) the GCS score of someone who withdraws their arms to pain, is rambling about their sad days.

A

4/4, 4/5, 4/6

How well did you know this?
1
Not at all
2
3
4
5
Perfectly
7
Q

In an emergency situation, when is intubation indicated?

A

GCS 8 or lower

How well did you know this?
1
Not at all
2
3
4
5
Perfectly
8
Q

How would you grade the severity of a TBI?

A

GCS scoring.
Mild 13-15
Moderate 9-12
Severe <9

How well did you know this?
1
Not at all
2
3
4
5
Perfectly
9
Q

What is the normal range of ICP and at what ICP would you treat it in a TBI?

A

Normal = 7-15mmHg
Treat if >22mmHg

How well did you know this?
1
Not at all
2
3
4
5
Perfectly
10
Q

What is normal MAP?

A

70-100 mmHg

How well did you know this?
1
Not at all
2
3
4
5
Perfectly
11
Q

What is Cerebral perfusion pressure?
What is the normal amount?
In terms of head injury, what would happen if it is reduced?

A

CPP = MAP (ABG) - ICP (Probe)
Normal = 60-70 mmHg
Reduced = secondary ischemia

How well did you know this?
1
Not at all
2
3
4
5
Perfectly
12
Q

How is ICP monitored in TBI?
What are the indications to monitor ICP in TBI?
What is the cutoff to begin treatment?
What are all the lines of management?

A

Monitored via a probe most commonly inserted intraventricularly. Others include intraparenchymal, subarachnoid, and epidural
Indications for monitoring: Either
1) GCS <8 + CT evidence of Mass effect (midline shift)
2) Normal CT and 2 of: age>40, systolic <90, Motor posturing

Treatment for increased ICP in TBI is indicated when ICP >22mmHg
1) Drainage of CSF
2) Sedation (lowers metabolic demands)
3) Hyperosmolar therapy (mannitol - osmotic diuretic, hypertonic saline)
4) Surgical: Decompressive craniectomy, Ventricular drain (VP shunt), Burr holes, craniotomy

How well did you know this?
1
Not at all
2
3
4
5
Perfectly
13
Q

How would you determine bleeding risk and coagulopathy? What are the normal values. What would be considered a risk?

A

Coagulopathy screen/INR
aPTT (normal 30-40/heparin 60-80)/ Normal <1.2
High above those values or INR >1.5

How well did you know this?
1
Not at all
2
3
4
5
Perfectly
14
Q

Trauma associated with the highest mortality is trauma to the head. What is meant by primary and secondary head injury? Give examples of each

A

Primary injuries are those that occur at time of injury and are irreversible. These include
1) Cerebral Concussion
2) Cerebral Contusions and laceration
3) Diffuse Axonal Injuries

Secondary injuries are those that occur subsequently. Management focuses on reducing these to prevent neurological deficits, cognitive decline, chronic disability, and death. They include
Intracranial causes: Intracranial hematoma (epi and subdural), raised ICP, Cerebral swelling, post-traumatic seizure, intracranial infection
Systemic causes: Hypoxia, Hypercapnia, Hypotension, Hyperthermia, Hyper/hypoglycemia

How well did you know this?
1
Not at all
2
3
4
5
Perfectly
15
Q

What is a cerebral concussion?
What symptoms are associated with it?

A

Cerebral concussion, a primary head injury, is the transient dysfunction most severe immediately after injury and resolves in a variable amount of time

Symptoms: Amnesia, irritability, lethargy, and LOC (sometimes)

How well did you know this?
1
Not at all
2
3
4
5
Perfectly
16
Q

Cerebral contusions and lacerations are primary head injuries. What do they lead to? Give examples.
What would be your immediate investigation?

A

These lead to focal brain injuries => epidural, subdural hemorrhages….

Non-contrast CT

How well did you know this?
1
Not at all
2
3
4
5
Perfectly
17
Q

Diffuse axonal injury occurs via what mechanism of injury?
What finding on non-contrast CT would support this?

A

Typically from mechanical shearing after deceleration e.g. RTA

a/w intraparenchymal/intracerebral hemorrhage/hematoma. Other findings would include midline shift
Note: This means that intraparenchymal hemorrhage can be caused by both contusions and diffuse axonal injuries. There are also physioplogical causes (SAH lecture) including AV malformations…

How well did you know this?
1
Not at all
2
3
4
5
Perfectly
18
Q

How do you treat a depression skull fracture?

A

Elevation

How well did you know this?
1
Not at all
2
3
4
5
Perfectly
19
Q

ATLS guidelines indicates conducting primary, secondary, and tertiary assessment on patients with a traumatic head or spine injury. What do these mean?

A

Primary assessment: Typical ABCDE, with full GCS and C-spine immobilization
Secondary: Full head to toe assessment + further investigations
Tertiary assessment: After stabilization of the patient. Everything after that including management

How well did you know this?
1
Not at all
2
3
4
5
Perfectly
20
Q

Without going into detail, what is your management plan for a patient presenting with a head injury?

A

All patients must have a non-contrast CT brain and, ideally, admitted into hospital for 24 hours for observation.

Primary assessment: Typical ABCDE, with full GCS and C-spine immobilization
Secondary: Full head to toe assessment + Non-contrast CT brain + bloods etc…
Tertiary assessment:
a) Conservative: ICP monitoring (7-15 normal, aim <22), CPP (60-70), Mannitol, Sedation (lowers metabolic demand), Steroids (methyprednislone)
b) Surgical: Ventricular drain (VP shunt), Burr holes, Craniotomy, Elevation (depression skull fracture)

How well did you know this?
1
Not at all
2
3
4
5
Perfectly
21
Q

Describe the anatomy of the spine in terms of vertebra and curvature

A

7 cervical (8 nerves) Lordosis
12 thoracic kyphosis
5 Lumbar Lordosis
5 Sacral (fused) kyphosis
5 coccyx (fused)

How well did you know this?
1
Not at all
2
3
4
5
Perfectly
22
Q

What part(s) of the vertebral column, in general, is most associated with pathologies?

A

Transitional parts e.g. between C7 and T1 (SNS) and between T12 and L1 (osteoporosis)

How well did you know this?
1
Not at all
2
3
4
5
Perfectly
23
Q

What vertebra have the highest propensity for injury?

A

Cervical vertebral
C4-C7

How well did you know this?
1
Not at all
2
3
4
5
Perfectly
24
Q

What type of injury is most associated with the cervical vertebra?

A

Translational-type injury

How well did you know this?
1
Not at all
2
3
4
5
Perfectly
25
Which vertebra are most associated with pathological compression fractures?
Pathological fractures as in from diseases such as osteoporosis Thoracolumbar region T12-L2
26
Which vertebra are most associated with high kinetic injury such as RTA or falling from a height?
Thoracic
27
What type of fracture is most associated with the thoracic vertebra?
Burst fractures
28
A patient presents to the ED via ambulence after suffering a RTA. He was wearing his seatbelt and has ecchymosis all over his abdomen. What is the most likely fracture sustained?
Restrained RTA is an example of very high kinetic force Abdominal pathology likely Most likely fracture is Distraction (Seatbelt fracture)
29
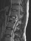
On MRI of the spine you see a segment of the vertebra displaced posteriorly. What is this called? What type of spinal fracture is associated with it?
Retropulsed segments a/w burst fractures of the thoracic spine
30
The stability of a joint (facet joint in spine) is dependent on the three compartments of the vertebrae as seen in the image. Based on this image, what would need to occur for it to be considered unstable? What are the 4 different types of spinal fractures along with their management? List them in order of instability.
Instability ensues when 2 or more compartments (or 3 points) are involved in the fracture dont worry about the extra info you just need to answer the question 1) Compression fracture: Usually minor trauma (fall from standing height) in an elderly patient or one with osteoporosis. Typically stable. T12-L2 Tx: TLSO brace for most. If needed -> Vertebroplasty 2) Burst: High kinetic energy, mostly thoracic, retropulsed segments cause wedge compression leading to neurological deficit. Tx: Surgical instrumentation 3) Translational/Rotational: Very high kinetic energy, mostly cervical (C4-C7), severe neurological deficit Tx: Urgent C-spine Stabilization + Surgical instrumentation 4) Distraction: Highest energy fracture (e.g. restrained RTA), a/w abdominal pathology Tx: Urgent C-spine stabilization + surgical instrumentaion
31
List the major 3 spinal segments in order of most to least likely to be fractured
Cervical (50-60%) >> Lumbar (20-25%) > Thoracic (15-20%)
32
How would you stabilize the C-spine?
Collar or blocks
33
A patient presents to the ED after suffering spinal trauma. You immediately begin management with stabilizing the C-spine. How would you examine the body for any additional trauma?
Log rolling to prevent further injury. Looking for more head, neck and back trauma
34
Spinal trauma at C3
C3 or above: Respiratory arrest
35
Spinal trauma at C5
C5 or above: Paradoxical diaphragmatic breathing
36
What are the causes of paradoxical breathing?
Normal in children <2 Abnormally: Chest trauma (just happens or injury to phrenic nerve), neuromuscular disorders (myasthenia gravis, ALS, Guillian Barre), COPD, Asthma
37
What type of shock is associated with spinal trauma? What category of shock does that fall into? What are the signs of neurogenic shock? How would you treat it?
Neurogenic shock, a type of distributive shock. Spinal trauma may cause SNS outflow to be disrupted => inability to vasoconstrict => vasodilation and bradycardia (unopposed vagal nerve PNS) Signs: 1) Hypotension (from vasodilation) + bradycardia 2) Skin warm and flushed (from vasodilation) 3) Priapism (from vasodilation) 4) Respiratory arrest (injury C3) 5) Paradoxical diaphragmatic breathing (C5) Tx: Fluids, Vasopressors, Atropine
38
What are some vasopressors Bonus points if you put moa
Vasopressors are also cardiac inotropes. alpha adrenergic receptors vasoconstrict and beta adrenergic deal with cardiac excitability => increase HR Norepinephrine (mostly alpha agonist) - Fast acting Epinephrine (both alpha and beta) - Fast acting Vasopressin (mimics ADH => causes vasoconstriction) - medium acting Terlipressin (vasoconstricts splanchnic flow, not used here)
39
What is the mechanism of action of Atropine as a tx for neurogenic shock
It is used to treat bradycardia here (note at low doses it can cause bradycardia). It inhibits acetylcholine, in charge of PNS, => increase SNS => increase heart rate
40
A patient presents to the ED after suffering an RTA with suspicion of a fracture to the spine. What is to be included in your initial assessment (primary and secondary assessment). Dont go into detail of ABCD, just the major aspects of each assessment that is relevant to a patient presenting with spinal trauma)
Primary Assessment: ABCDE + 1) C-spine stabilization 2) Examine for head, neck, back trauma via LOG ROLLING 3) Identify and treat neurogenic shock 4) Aggressive IV fluid Resus at 20ml/kg (2x large bore) Secondary Assessment: 1) Head to toe exam 2) Neurological assessment: ASIA impairment score and check for Spinal shock 3) CT/MRI 4) Other investigations: Bloods, ABG...
41
As part of the Neurological assessment of spinal trauma, you will be going through your upper and lower limb, motor and sensory examinations. How would you assess their level of impairment?
ASIA Impairment Scale: A: Complete motor and sensory deficit below level B: Incomplete: Sensory in tact, complete motor deficit C: Incomplete: Sensory in tact, Motor <50% power <3/5 D: Incomplete: Sensory in tact, Motor >50% power >3/5 E: Normal function of both motor and sensory
42
As part of the Neurological assessment of spinal trauma, you will be going through your upper and lower limb, motor and sensory examinations. You assess their level of impairment using the ASIA impairment scale. You need to assess the power of the individual across different joints. How would you assess power?
0: No contraction 1: Flickers/trace of contraction 2: Movement without gravity 3: Movement against gravity 4: Movement against gravity + moderate resistance 5: Normal
43
As part of the Neurological assessment of spinal trauma, you will be going through your upper and lower limb, motor and sensory examinations. You would like to assess their reflexes. What is the significance of testing for reflexes in the setting of spinal trauma? What are you expecting to find in a patient on secondary assessment as part of your initial evaluation on presentation? How will that change over time (be specific)?
Its accepted if you first thought upper motor vs lower motor. A spinal cord injury is an upper motor neuron injury so there you go! We are checking for Spinal shock. This is the transient loss of sensation + motor paralysis with gradual recovery of reflexes. This occurs in 4 phases: Phase 1: Areflexia (expected in this case) 0-1days Phase 2: Initial return (of bulbocavernosus reflex) 1-3 days Phase 3: Hyperreflexia 1-4 weeks Phase 4: Hyperreflexia with spasticity 1-12 months Then starts getting back to normal
44
What is the bulbocavernosus reflex? What is its significance in spinal trauma?
It is the first reflex to return after spinal trauma (especially sacral for obvious reasons). It is the reflex contraction of the anal sphincter elicited by squeezing the glans penis or touching the clitoris
45
What pattern of spinal cord injury is associated with cervical injuries?
Tetraplegia
46
Paraplegia is associated with trauma to which segment of the vertebrae?
Thoraco-lumbar
47
The spinothalamic tract is an ascending pathway responsible for ____ + ____ sensation. It decussates in the ____ => damage to this would cause symptoms _____
Pain and temperature, decussates in the spinal cord => contralateral
48
The Dorsal column(s) is an ascending pathway responsible for ____ + ____ sensation. It decussates in the ____ => damage to this would cause symptoms _____
Vibration and proprioception (and deep tendon reflexes), decussates in medulla => ipsilateral
49
What tract is responsible for the motor pathway. Is it ascending or descending
Descending corticospinal tract
50
List the different patterns of spinal cord injury
1) Complete: Tetraplegia (Cervical), Paraplegia (thoracolumbar) 2) Incomplete: Anterior, Central and Posterior Cord Syndrome, Brown Sequard Syndrome, Conus Medullaris 3) Cauda Equina is lower motor neuron but it is a spinal cord injury
51
What is paraplegia? What is paraparesis?
Paraplegia = paralysis of lower limbs Paraparesis = weakness of lower limbs
52
What is tetraplegia?
paralysis of all 4 limbs
53
Anterior Cord Syndrome: Causes? Symptoms?
Causes: Hyperflexion injury (RTA, contact sports) or Disruption of anterior spinal artery Anterior cord => spinothalamic and corticospinal tracts affected bilaterally Symptoms: Bilateral loss in motor, pain and temp !below level of injury!
54
Central Cord Syndrome: Causes? Symptoms?
Causes: Hyperextension injury (fall down stairs) or classically in elderly patients with underlying cervical disease (cervical spondylosis, disc herniation, spinal stenosis) Affects the central areas of all tracts Symptoms: Bilateral loss of motor and sensory (upper limb > lower limb) below level! why? Homunculus has upper limb more centrally and lower limb laterally
55
Posterior Cord Syndrome: Symptoms?
Affects Dorsal Columns Ipsilateral loss of vibration and proprioception (and deep tendon reflexes) below level! => !!Ataxic gait, hypotonia, reduced/absent reflexes!!
56
Brown Sequard Syndrome: Causes? Symptoms?
Causes: Penetrating trauma or lateral compression Affects one side completely (all tracts) => Ipsilateral loss of Vibration, proprioception, and deep tendon reflexes below level! => Contralateral loss of pain and touch below level!
57
What is Priapism? In the presence of spinal trauma, what is its relevance? Damage to which level of the spinal cord will cause priapism?
Prolonged erection of penis It is a symptom of neurogenic shock. Although SNS outflow to the penis is through the Conus, damage to any area above it will cause this symptom to occur. Thats why it is a great indicator or neurogenic shock. Thats how the spinal cord works... everything below the level of the insult
58
What is the Conus Medullaris. How is it different from the Cauda Equina? In the realm of spinal trauma, what are the symptoms of Conus Medullaris and Cauda Equina and what differentiates them?
The Conus Medullaris is the most distal part of the spinal cord (UMN), right before the hair-like structures coming out which are the Cauda Equina (LMN). Both have: Perianal anesthesia, LL weakness, bowel and bladder incontinence, and sexual dysfunction Conus is UMN => Symmetrical, Hyper reflexic, and associated with impotence Cauda is LMN => asymmetrical Hypo reflexic and not associated with impotence
59
What type of drug is Clexane?
LMW, DVT/PE/VTE prophylaxis
60
A patient with spinal cord trauma presents to the clinic 2 weeks post-op complaining of lightheadedness when getting up from bed in the morning. How would you treat it?
Midodrine (Alpha adrenergic agonist) makes sense because vasoconstriction
61
A patient with spinal cord trauma presents to the clinic 2 weeks post-op complaining of pain. How would you treat pain that is somatic?
Paracetamol --> NSAIDs --> Opiates (morphine/oxycontin)
62
A patient with spinal cord trauma presents to the clinic 2 weeks post-op complaining of pain. How would you treat pain that is neuropathic?
Pregabalin, Gabapentin, TCAs, (amitriptyline, venlafaxine)
63
A patient with spinal cord trauma presents to the clinic 11 months post-op complaining of pain. How would you treat pain that is neuropathic in this case?
Spinal cord stimulation. It is an implanted device that prevents ascending signals from reaching the brain
64
A patient with spinal cord trauma presents to the clinic 2 weeks post-op complaining of spasms. How would you treat it?
Baclofen