Head- foramen Flashcards

ECVDI (30 cards)

1
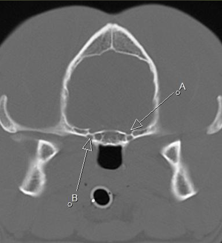
Q
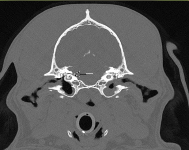
A

A orbital fissure
B rostral alar foramen leading to alar canal, round foramen inside the skull

How well did you know this?
1
Not at all
2
3
4
5
Perfectly
2
Q

What goes through the rostral alar canal?

A

Maxillary branch of trigeminal (V)

How well did you know this?
1
Not at all
2
3
4
5
Perfectly
3
Q

what nerves go through the orbital fissure?

A

III, IV, opht V, VI, sympathetic innervation to the eye

How well did you know this?
1
Not at all
2
3
4
5
Perfectly
4
Q

what goes through the round foramen?

A

Maxillary branch of trigeminal (V)

How well did you know this?
1
Not at all
2
3
4
5
Perfectly
5
Q

What goes through the oval foramen?

A

Mandibular branch of CN V

How well did you know this?
1
Not at all
2
3
4
5
Perfectly
6
Q

How does the facial nerve exit the skull?

A

through the internal acoustic meatus, in to the facial canal and out the stylomastoid foramen

How well did you know this?
1
Not at all
2
3
4
5
Perfectly
7
Q

what nerves pass through the facial canal?

A

Facial and vestibulocochlear (VII, VIII)

How well did you know this?
1
Not at all
2
3
4
5
Perfectly
8
Q

What structures pass through the jugular foramen?

A

Jugular vein, CN IX, X, XI, sympathetic innervation to the eye in tympano- occipital fissure

How well did you know this?
1
Not at all
2
3
4
5
Perfectly
9
Q

Where does the hypoglossal nerve (CN XII) exit the skull?

A

Hypoglossal canal, occipital bone

How well did you know this?
1
Not at all
2
3
4
5
Perfectly
10
Q
A

hypoglossal canal

How well did you know this?
1
Not at all
2
3
4
5
Perfectly
11
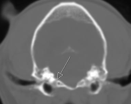
Q
A

A dorsum sella B oval foramen

How well did you know this?
1
Not at all
2
3
4
5
Perfectly
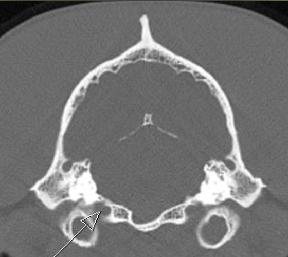
12
Q
A

alar canal

How well did you know this?
1
Not at all
2
3
4
5
Perfectly
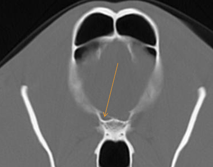
13
Q
A

orbital fissure

How well did you know this?
1
Not at all
2
3
4
5
Perfectly
14
Q
A

jugular foramen

How well did you know this?
1
Not at all
2
3
4
5
Perfectly
15
Q
A

trigeminal canal

How well did you know this?
1
Not at all
2
3
4
5
Perfectly
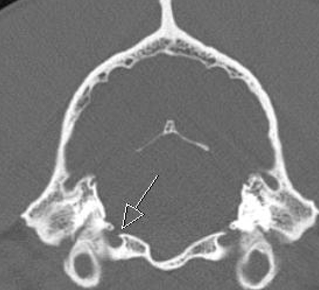
16
Q
A

A round foramen, alar canal

17
Q
18
Q
A

Trigeminal canal in the petrous temporal bone

19
Q
A

Oval foramen; mandibular nerve, middle meningeal artery

20
Q
A

Internal acoustic meatus, facial canal

21
Q

What is the name of the hole? Where does it exit the skull?

A

Jugular foramen, Tympano-occipital fissure

22
Q
A

osseous tentorium cerebella, hypoglossal canal

23
Q
A

jugular foramen- Tympano-occipital fissure; CN IX, X, XI (internal & external branches), internal carotid artery, sympathetic fibers to the head

24
Q
A

Malleus, incus, stapes. Tensor tympani m. attaches to the malleus (inn. mandibular n.). Also, the stapedius m. (the smallest skeletal muscle in the body!) attaches to the stapes (the smallest bone in the body), inn. VII.

25
what is the order, from rostral to caudal, of the foramen of the head?
cribriform plate, optic canal, orbital fissure, round foramen, oval foramen, stylomastoid foramen and jugular foramen similar, hypoglossal canal, foramen, magnum
26
which bone is the orbital fissure in?
In the suture between the wings of the presphenoid and basisphenoid
27
which bone is the optic canal in?
presphenoid
28
which bone is the round foramen and rostral alar canal in?
basisphenoid
29
which bone is the oval foramen in?
basisphenoid
30
which bone is the stylomastoid foramen in?
temporal