Label image


Label the mandible


What is the overall function of teeth and each individual function?
in order to reduce solid material into smaller particles that can be more readily swallowed
Explain the two sets of teeth humans have?
•Deciduous (milk / primary / baby) teeth are the first set. Deciduous teeth begin to erupt around 6 months and continue to appear at a rate of around one pair a month until the full set of 20 teeth have appeared. The deciduous teeth are replaced between the ages of 5 and 14 by the permanent (secondary) teeth
Explain the nasal cavity
Shape?
Where?
Made of?
Structure?
The Nasal Cavity
•Irregularly shaped cavity which lies above the mouth and below the anterior cranial fossa
•
•Composed of muscle & skin supported by a bone and hyaline cartilage framework
•
•Is divided into right and left halves by the nasal septum
The External Portion of the Nasal Cavity
•The two openings into the nasal cavity are called the external nares (nostrils)
•
•The anterior portion of the nasal septum is made of cartilage, therefore, when viewing the skeleton, there appears to be one opening into the nasal cavity rather than two
Label the nasal septum


Label this image


What’s another name for nasal cochae?
What are they?
What do they do?
The Nasal Conchae also called turbinates
These are thin scroll shaped bony plates that project into the nasal cavity. There are usually three the superior, middle and inferior nasal conchae (supreme may also be present).
•These conchae form passageways – the superior, middle and inferior meatae which are lined by mucous membrane
•
•This arrangement increases the surface area of the nasal cavities providing for rapid warming and humidification of air as it passes to the lungs.
Label this image


Label image


Explain the nasal conchae and meatae?
Function?
Olfactory region?
The Nasal Conchae and Meatae
Function of the Nasal Cavity
Warming, moistening and filtering inhaled air
Detecting olfactory stimuli (i.e. smell)
Modification of speech vibrations which pass through the resonant chambers of the nose
The olfactory region of the nose is situated in the region of the superior nasal conchae. The olfactory bulb sits on the superior surface of the cribriform plate and cilia (hair like fibres) project through the plate to be suspended in the olfactory epithelium which is a section of the mucous membrane in the roof of the nasal cavity.
Label this image


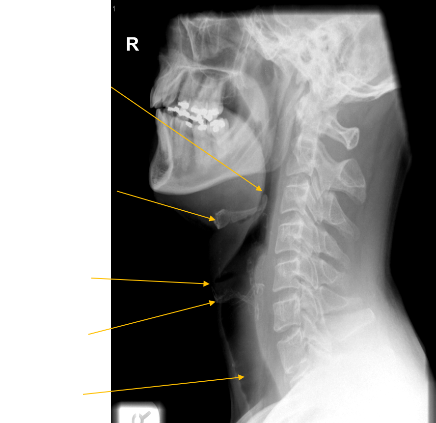
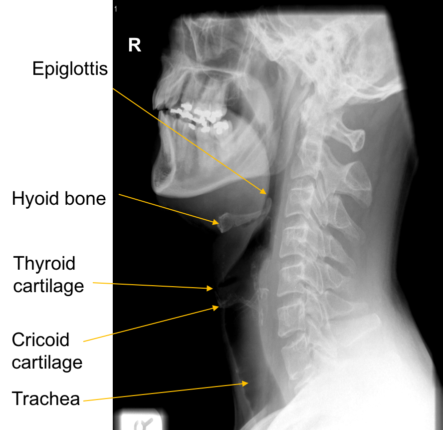
Soft tissue neck – check chicken bones etc.
Larynx – short passage connects laryngopharynx with trachea. Lies in the midline of neck anterior to fourth - sixth cervical vertebrae.
Wall of larynx composed of nine pieces of cartilage held together by membranes & muscle fibres. Three of the pieces of cartilage are single (thyroid, epiglottis, cricoid) three are paired (arytenoid , cuneiform, corniculate)
Arytenoid most important as influence positions and tensions of vocal cords.
Outline the pharynx?
Length?
Where?
The Pharynx (funnel shaped)
What 3 regions is the pharynx divided into?
Divided into three regions:
What are the 3 coats of the pharynx?
Function of the pharynx?
Structure of the Pharynx.
The outer muscular coat - arise from the base of the skull, mandible, hyoid bone and larynx and pass around the pharynx to attach to the posterior aspect of the fibrous coat
The middle fibrous coat - firmly attached to the base of the skull
The inner mucous layer - the nasopharynx is lined with ciliated epithelium, the oropharynx and laryngopharynx are lined with stratified epithelium
Functions of the Pharynx. Passage of food & air, Resonance chamber for voice sounds, & the tonsils act as a defence against foreign matter
Label image


Label this superior view of the larynx


Label this image


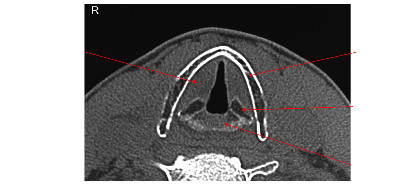
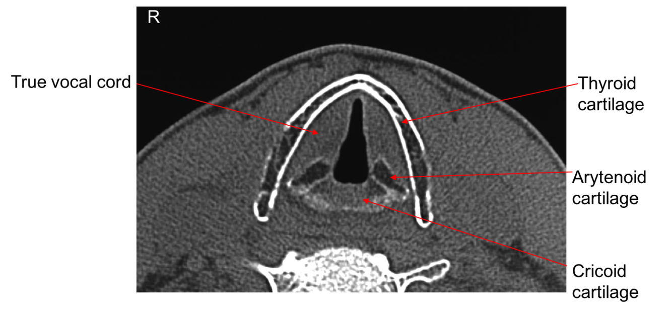
What is the laryngeal cavity?
The Laryngeal Cavity
Explain voice production?
Voice Production
•
Label image


Label image


Label image

