A 28 year old lady presents with a headache for the last 4 weeks. She said it is worst in the morning and worse when she sneezes or coughs. What examination should you do?
Opthalmoscopy to look for papilloedema
A 28 year old lady presents with a headache for the last 4 weeks. She said it is worst in the morning and worse when she sneezes or coughs. What do you expect to see on opthalmoscopy?
Papilloedema. Blurred disc
A 28 year old lady presents with a headache for the last 4 weeks. She said it is worst in the morning and worse when she sneezes or coughs. She also says twice she has vomitted over the last week. On opthalmoscopy the disc looks slightly blurred - what is the most likely diagnosis?
Raised intracranial pressure
A 28 year old lady presents with a headache for the last 4 weeks. She said it is worst in the morning and worse when she sneezes or coughs. She also says twice she has vomitted over the last week. On opthalmoscopy the disc looks slightly blurred. What test do you need to do?
Brain CT or MRI
Where is the blood gathering in a sub dural haematoma?
Between the dura and the brain
Where is the blood in an epidural haematoma?
Betwen the dura and the skull?
What artery has most likely ruptured in an epidural haemmorhage?
Middle meningeal
What vessels are most often damaged in a subdural bleed?
Bridging veins
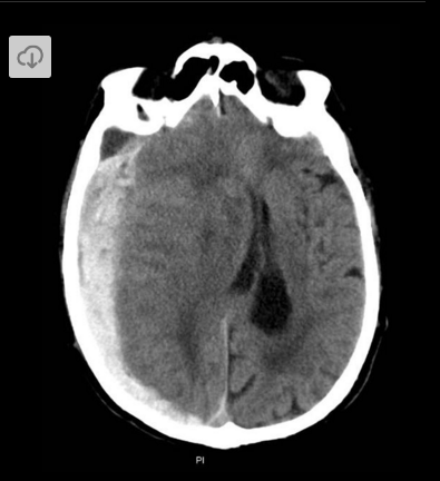
A man presents to hospital after falling off his bike. This is his CT scan, what is the diagnosis?

Acute subdural haemmorhage (Distinctive crescent shape)
A 45 year old lady presenst to her GP with a headache. She says this has been going on for 6 weeks and is worse is the morning though she is particularly worried becauae she is now experiencing some visual loss. On further questioning she admits to being in a small car accident 7 weeks ago. This is her CT scan.

Subdural haematoma
What drug treatments are used to tread idiopathic intracranial hypertension?
Acetazolamide
What non drug treatments are available for the treatment of idiopathic intracranial hypertension?
Lumbar Puncture (may be repeated)
An overweight women with drug controlled idiopathic intracranial hypertension comes to you complaing on tingling in her hands. What drug is most likely causing this symptom and why?
acetazolamide. It is known to cause hypokaleamia which can present as tingling in the fingers and muscle weakness.
An overweight women with drug controlled idiopathic intracranial hypertension comes to you complaing on tingling in her hands. What electrolyte imbalance are you worried about?
Hypokalaemia. Can be caused by acetazolamide which is the firts line drug treatment in idiopathic intracranial hypertension.
An overweight women has just been diagnosed with idiopathic intracranial hypertension. She is currently trying for a baby.
Acetazolamide is contraindicated in pregnancy. Lumbar punture would be best.
An overweight women with drug controlled idiopathic intracranial hypertension comes to you complaing on tingling in her hands. You want to change her medication; what are your options?
Change acetazolamide to a thiazide diuretic.
An overweight women has severe idiopathic intracranial hypertension which has not been significantly reduced by medicationo or repeat LPs. What is the next treatment option?
ventriculoperitoneal shunt.
What is the most common form on non communicating hydrocephalus?
Cerebral aqueductual stenosis
What is meant by non communicating hydrocephalus?
The CSF in the ventricles can not reach the subarachnoid space. This results from obstruction of interventricular foramina, cerebral aqueduct, or the outflow foramens of the fourth ventricle (median and lateral apertures).
What is meant by communicating hydrocephalus?
The obstruction of CSF flow is in the subarachnoid space from prior bleeding or meningitis. This causes thickening of the arachnoid leading to blockage of the return-flow channels
What is the first line treatment for acute migraine?
Oral triptan + NSAID or Paracetamol. Young people should consider a nasal triptan. Also consider an anti emetic such as metclopramide
A patient who has suffered from migraines for many years comes in. She has been on prophylactic treatment which has worked but she says that recently she has started to get bad headaches frequently. What might be causing these?
Overuse of triptans
A 28 year old women has been suffering with migraine. for 2 years now. She says they happen around twice a month. What prophylaxis shoudl you offer her? She is trying for a baby.
Propanolol
A 28 year old man has been suffering with migraine. for 2 years now. She says they happen around twice a month. What prophylaxis shoudl you offer him?
Propanolol
Topiramate