What are the common examination findings?
LHF:
RHF:
CCF
All the above
What are the investigations?
To finish the exam i would like to - Fundoscopy, respiratory exam, and Peripheral arterial exam,urinalysis and BP
By the bed - History and obs.
Bloods - FBC, U/E, TFTs, cardiac enzymes (ANP/BNP), ABG
Other - ECG, echo, CXR
What are the key investigation findings?
ECG shows LVH
Raised cardiac enzymes
May have any murmurs
LVH on echo
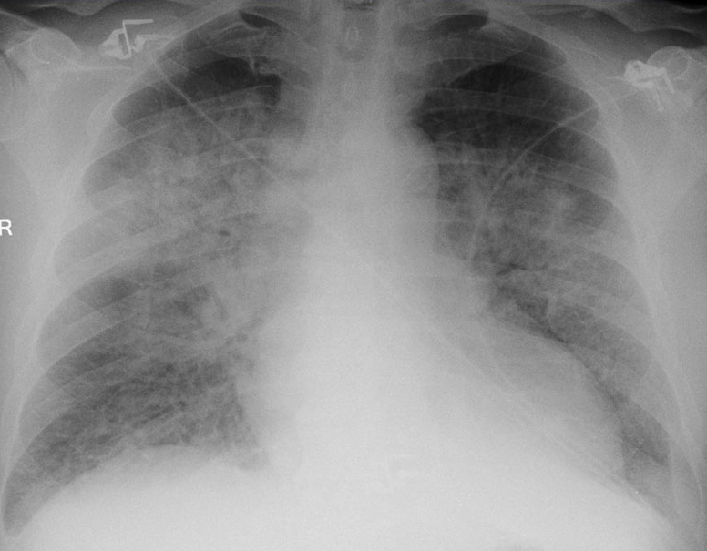
HEART FAILURE CXR

What is the treatment?
Conservative - Lifestyle
Medical - B blocker and ACEI for disease
Dixogin and ferusomide for symptoms
Acute pulmonary oedema
O2
Morphine
GTN
Ferusomide
What are the risk factors?
What are the sequelae
LHF:
RHF: