Hemato Flashcards

(15 cards)

1
Q

Macroangiopathic hemolytic anemia

A

caused by mechanical destruction of erythrocytes in the systemic circulation. Prosthetic heart valves are a known cause of macroangiopathic hemolysis

How well did you know this?
1
Not at all
2
3
4
5
Perfectly
2
Q

What does the smear show?

A

Fragmented erythrocytes, which are convex on one side (examples indicated by blue lines) and concave on the other (examples indicated by yellow lines), are visible among the normal erythrocytes. These fragmented erythrocytes are referred to as schistocytes.

How well did you know this?
1
Not at all
2
3
4
5
Perfectly
3
Q

Haptoglobin interpretation

A
  • Decreased: Intravascular hemolysis
  • Normal: Extravascular hemolysis
How well did you know this?
1
Not at all
2
3
4
5
Perfectly
4
Q

XXXXXX is the most common cause of community-acquired pneumonia and sepsis in patients with SCD.

A

Streptococcus pneumoniae is the most common cause of community-acquired pneumonia and sepsis in patients with SCD.

How well did you know this?
1
Not at all
2
3
4
5
Perfectly
5
Q

Reciprocal translocation 15, 17

A

Acute promyelocytic leukemia
M3 variant

Tx: Vit A (All-trans retinoic acid, ATRA)

How well did you know this?
1
Not at all
2
3
4
5
Perfectly
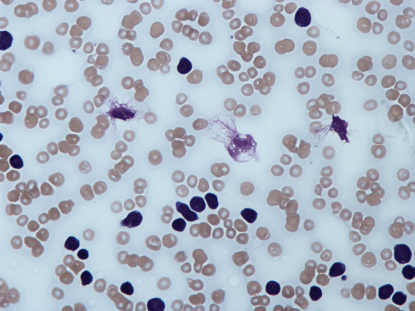
6
Q
A

Smudge cells

remnants of abnormally fragile lymphocytes that have ruptured. This finding is not exclusive to chronic lymphocytic leukemia but is often present and considered pathognomonic for this condition

How well did you know this?
1
Not at all
2
3
4
5
Perfectly
7
Q

The most common cause of generalized lymphadenopathy in > 65 year olds

A

Chronic lymphocytic leukemia

How well did you know this?
1
Not at all
2
3
4
5
Perfectly
8
Q

Low leukocyte alkaline phosphatase (LAP) is a distinct feature of

A

Chronic myelocytic leukemia

Also t(9;22) translocation (Philadelphia chromosome)
Tx: imatinib

How well did you know this?
1
Not at all
2
3
4
5
Perfectly
9
Q

Dx?

Myeloperoxidase-positive granules

A

Myeloperoxidase-positive granules are a typical finding in the blast cells of AML and differentiate AML from acute lymphoblastic leukemia, which is characterized by blast cells that are myeloperoxidase negative

How well did you know this?
1
Not at all
2
3
4
5
Perfectly
10
Q

CD15/30 positive cells

A

Hodgkin lymphoma

How well did you know this?
1
Not at all
2
3
4
5
Perfectly
11
Q

Finding associated with poor prognosis in Hodgkin lymphoma, non-Hodgkin lymphoma, testicular cancer, Acute myelogenous leukemia

A

High LDH

How well did you know this?
1
Not at all
2
3
4
5
Perfectly
12
Q

B symptoms, painless lymphadenopathy, anemia, and an increased serum lactate dehydrogenase (LDH). In conjunction with CD20 on malignant lymphocytes

A

Diffuse large B-cell lymphoma

How well did you know this?
1
Not at all
2
3
4
5
Perfectly
13
Q

most common non-Hodgkin lymphoma in adults

A

Diffuse large B-cell lymphoma

How well did you know this?
1
Not at all
2
3
4
5
Perfectly
14
Q

Most common cause of hyperCa++ in Hodgkin Lymphoma

A

Ectopic vitamin D production as a result of increased 1α-hydroxylase activity in proliferating lymphoid tissue is the most common cause of hypercalcemia in patients with Hodgkin lymphoma

How well did you know this?
1
Not at all
2
3
4
5
Perfectly
15
Q
A
How well did you know this?
1
Not at all
2
3
4
5
Perfectly