Hematologic System Flashcards

(38 cards)

1
Q

A specialized connective tissue, has cells (erythrocytes, leukocytes) suspended in liquid matrix (plasma) and cells have certain functions = ?

Hematologic System

A

Blood:

  • Is a specialized connective tissue, has cells (erythrocytes, leukocytes) suspended in liquid matrix (plasma) and cells have certain functions.
  • About 5 liters of blood continuously circulates in human body.
  • 7-8% of the total body weight.
How well did you know this?
1
Not at all
2
3
4
5
Perfectly
2
Q

Blood Composition = ?

Hematologic System

A

Blood Composition:

(a) Plasma (55%)
Proteins (7%)

  • Albumin (54%) = Protein in the blood plasma that helps keep fluid from leaking out of blood vessels into other tissues.
  • Fibrinogen (7%) = Protein produced by the liver that helps stop bleeding by helping blood clots form.
  • Globulins (38%) = Group of proteins in the blood that are important for liver function, blood clotting, and fighting infection.
  • Others (1%)

(b) Water (91.5%)

(c) Other solutes (2%)

  • Electrolytes
  • Hormones, enzymes
  • Nutrients, carbohydrates, fats
  • Gases
  • Waste products

(d) Red blood cells: 4.8-5.4 billion /ul
(e) Platelets: 150,000-400,000 /ul
(f) White blood cells: 5,000-10,000 /ul

  • Neutrophils (60-70%)
  • Lymphocytes (20-25%)
  • Monocytes (3-8%)
  • Eosinophils (2-4%)
  • Basophils (0.5-1%)
How well did you know this?
1
Not at all
2
3
4
5
Perfectly
3
Q

Fuction of plasma = ?

Hematologic System

A

Plasma:

  • As a transport vehicles for nutrients, chemical messengers, metabolites.
  • Maintain electrolytes and acid/ base balance.
How well did you know this?
1
Not at all
2
3
4
5
Perfectly
4
Q

Function of plasma proteins:

  • Albumin= ?
  • Globulins = ?
  • Fibrinogen = ?

Hematologic System

A

Function of Plasma Proteins:

Albumin:

  • Maintains plasma oncotic pressure and maintain blood volume.
  • Serves as a carrier.

Globulins:

  • Alpha - transports bilirubin
  • Beta - transports iron
  • Gamma - antibodies of immune system

Fibrinogen:

  • Helps form fibrin for blood clotting.
  • Prothrombin (II) - Thrombin (IIa) - Fibrinogen - Fibrin

  • Albumin: A protein in the blood plasma that helps keep fluids from leaking out of blood vessels and into other tissues.

How well did you know this?
1
Not at all
2
3
4
5
Perfectly
5
Q

Serum = ?

Hematologic System

A

Serum = Plasma - Fibrinogen

How well did you know this?
1
Not at all
2
3
4
5
Perfectly
6
Q

Small, biconcave disk, diameter 6-8micro meter, high elasticity (easily deform into any shape = ?

Hematologic System

A

Red Blood Cells (RBCs):

  • Small, biconcave disk, diameter 6-8micro meter, high elasticity (easily deform into any shape.
How well did you know this?
1
Not at all
2
3
4
5
Perfectly
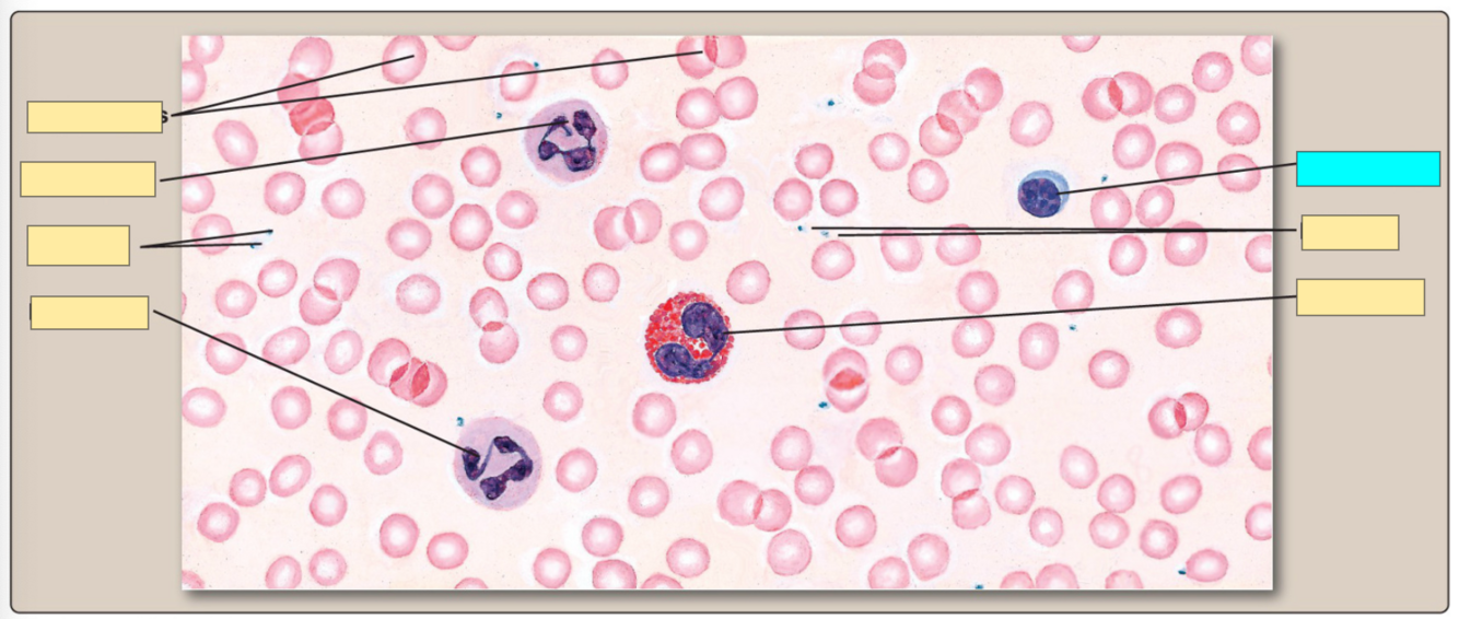
7
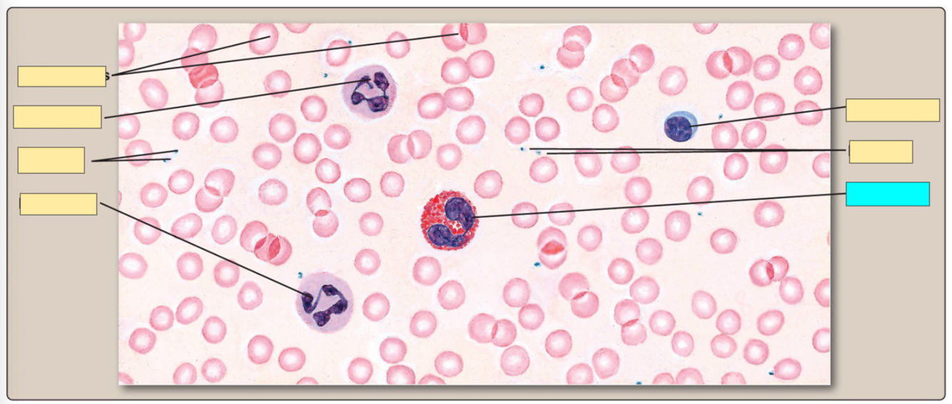
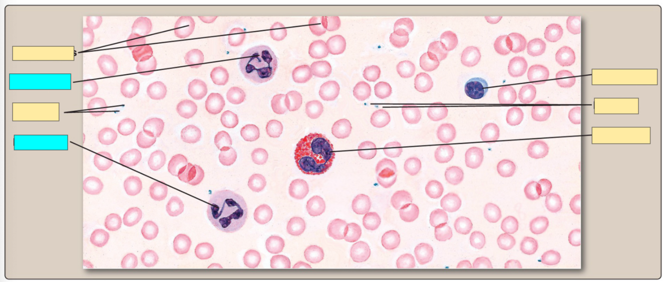
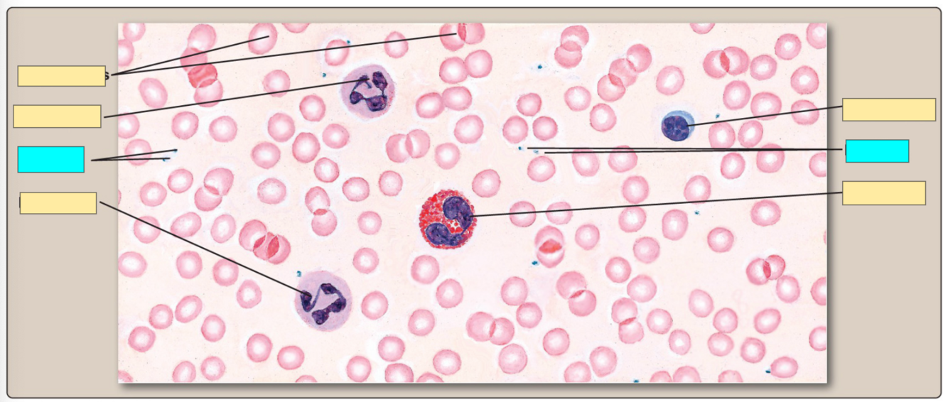
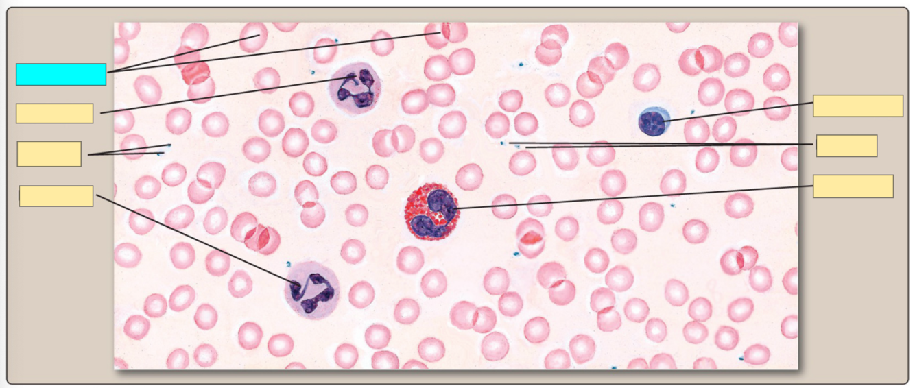
Q

Histology Identification

?

Hematologic System

A

Erythrocytes:

  • Red blood cells (RBCs), are one of the major types of blood cells found in vertebrates.
  • Primarily responsible for carrying oxygen from the lungs to the body’s tissues and transporting carbon dioxide from the tissues back to the lungs for exhalation.
How well did you know this?
1
Not at all
2
3
4
5
Perfectly
8
Q

Histology Identification

?

Hematologic System

A

Neutrophil:

  • The most abundant type of white blood cell in humans and are essential for defending the body against bacterial and fungal infections.
  • They are part of the innate immune system, which provides the first line of defense against pathogens.
  • Phagocytosis: Neutrophils are highly mobile and capable of migrating to sites of infection or inflammation.
How well did you know this?
1
Not at all
2
3
4
5
Perfectly
9
Q

Histology Identification

?

Hematologic System

A

Platelets:

  • Thrombocytes, are small, colorless cell fragments found in the blood.
  • They play a crucial role in blood clotting (hemostasis) to prevent excessive bleeding when a blood vessel is injured.
  • When a blood vessel is damaged, platelets become activated and adhere to the site of injury, forming a temporary plug to stop bleeding.
  • Platelets are produced in the bone marrow.
  • They also release chemical signals to attract more platelets and facilitate the formation of a stable blood clot.
How well did you know this?
1
Not at all
2
3
4
5
Perfectly
10
Q

Histology Identification

?

Hematologic System

A

Lymphocytes:

  • Lymphocytes are a type of white blood cell (leukocyte) that plays a key role in the body’s immune system.

(I) T lymphocytes (T cells):

  • These lymphocytes mature in the thymus gland and play a central role in cell-mediated immunity.
  • They are involved in recognizing and destroying infected or abnormal cells, regulating immune responses, and coordinating the immune system’s actions.

(II) B lymphocytes (B cells):

  • These lymphocytes mature in the bone marrow. They are responsible for producing antibodies (immunoglobulins), which are proteins that recognize and bind to specific antigens (foreign substances such as viruses or bacteria), marking them for destruction by other immune cells.
  • B cells also play a role in the immune memory, providing long-term protection against pathogens.

(III) Natural killer (NK) cells:

  • These lymphocytes are part of the innate immune system and are responsible for recognizing and destroying abnormal cells, such as infected or cancerous cells.
  • NK cells can directly target and kill these cells without prior sensitization or activation.
How well did you know this?
1
Not at all
2
3
4
5
Perfectly
11
Q

?

Hematologic System

A

Eosinophil:

  • Eosinophils are primarily involved in combating parasitic infections and modulating allergic responses.
  • Eosinophils are recruited to sites of inflammation or infection by various chemotactic factors, including cytokines, chemokines, and lipid mediators
How well did you know this?
1
Not at all
2
3
4
5
Perfectly
12
Q

5 Facts about RBCs = ?

Hematologic System

A

Red Blood Cells:

  • Most common type of blood cell, non nucleated biconcave disk.
  • Large surface area, thin membranes.
  • Primary function is to transport oxygen to the tissues and transport carbon dioxide out of the tissues for excretion.
  • Helps regulate acid / base balance.
  • Oxygen poorly soluble in plasma, 95% is carried bound to hemoglobin
  • Each molecule of hemoglobin carries 4 molecule of oxygen.
  • Production of red blood cells is called as erythropoiesis / hematopoiesis (bone marrow is the primary site).
  • Most iron is recycled in the body after release fromdying red blood cells, careful regulation of ironabsorption in small intestine.
  • Small amount of iron is lost and needs to be replaced
How well did you know this?
1
Not at all
2
3
4
5
Perfectly
13
Q

Mature RBCs have lifespan = ?

Hematologic System

A
  • Mature RBCs have lifespan of 120 days.
How well did you know this?
1
Not at all
2
3
4
5
Perfectly
14
Q

Hematocrit = ?

Hematologic System

A

(a) Hematocrit

  • The measure of the proportion of blood that is cellular, expressed as a percentage.
  • Polycythemia: High hematocrit
  • Height of erythrocyte column / height of whole blood column x 100
  • Women = 37-47
  • Men = 42-52
  • Volume of cells in 100 ml of blood.
  • Centrifuge a blood sample, represented as percentage.

(b) Hematopoiesis:

  • Production of blood cells.
  • Derived from hematopoietic stem cells

(c) Abnormalities:

  • Low hematocrit (anemia) may suggest conditions such as iron deficiency, vitamin B12 deficiency, or chronic diseases.
  • High hematocrit may be associated with conditions like dehydration, lung diseases, or polycythemia.
How well did you know this?
1
Not at all
2
3
4
5
Perfectly
15
Q

Abnormally low number of red blood cells or levels of hemoglobin= ?

Hematologic System

A

Anemia:

  • Abnormally low number of red blood cells or levels of hemoglobin
  • Impairs blood oxygen carrying capacity.
  • Can cause tissue hypoxia
  • Common acquired / inherited disorder of erythrocytes

In adults, anemia is diagnosed:
* Hematocrit <41% in males
* Hematocrit <37% in females

  • Hemoglobin: < 13.5 g/dl in males
  • Hemoglobin: <12 g/dl in females

Cause:

  • Reduction of hemoglobin content
  • Presence of abnormal hemoglobin
  • Decrease in the number of circulating erythrocytes
    • Blood loss (chronic GI blood loss- aspirin/ NSAIDS; GI ulcers, cancers)
    • Destruction of erythrocytes
    • Inadequate red blood cell production
    • Defective red blood cell production
How well did you know this?
1
Not at all
2
3
4
5
Perfectly
16
Q

Clinical features of anemia include = ?

Hematologic System

A

Anemia - Clinical Features:

  • Weakness
  • Fatigue
  • Dyspnea
  • Hypoxia of brain tissue - headache, faintness
  • Pallor (absence of underlying red tones)
  • Tachycardia and palpitations

Severe cases:

  • Ventricular hypertrophy and heart failure
  • Increase respirator rate
  • Diffuse bone pain
17
Q

Typesof anemia = ?

Hematologic System

A

Types of Anemia: Red cell characteristics seen in different types of anemia.

  • (a) Microcytic and hypochromic red cells, characteristic of iron deficiency anemia.
  • (b) Macrocytic and misshaped red blood cells, characteristic of megaloblastic anemia.
  • (c) Abnormally shaped red blood cells seen in sickle cell disease.
  • (d) Normocytic and normochromic red blood cells, as a comparison.
18
Q

Occurs when iron is not enough to meet the demands of hemoglobin production or loss of iron through bleeding= ?

Hematologic System

A

Iron Deficiency Anemia:

  • Occurs when iron is not enough to meet the demands of hemoglobin production or loss of iron through bleeding.

(a) Cause:

  • Decreased iron consumption.
  • Decreasediron absorption.
  • Increased bleeding (mensuration,certain cancers)
  • Increased iron demand (women ofchild bearingage and pregnant women).
  • Iron is stored in transport proteins like ferritin and transferrin.

(b) Notes:

  • Iron is needed for hemoglobin production andformation of erythrocytes.
  • Common worldwide cause of anemia affecting people of all ages.
19
Q

Groups at risk for iron deficiency anemia = ?

Hematologic System

A

Groups at risk:

  • Pregnant women
  • Women with heavy menstrual bleeding
  • Infants and younger children
  • Frequent blood donors
  • People with cancer, GI diseases/ surgery-who report of chronic blood loss
  • Vegetarian diet
  • Iron Deficiency Anemia
20
Q

RDA for iron = ?

Hematologic System

A

RDA for Iron:

21
Q

Clinical features - Iron Deficiency Anemia = ?

Hematologic System

A

Clinical features - Iron Deficiency Anemia:

(a) Mild anemia causes mild and vague symptoms like fatigue.

  • Brittle nails with koilonychias (spoon shaped).
  • Unusual food cravings (pica; ice, clay, soil, paper).
  • Headache
  • Irritability
  • Delayed healing
  • Tachycardia, palpitations
  • Decreased appetite

(b) Neurologic impairment:

  • Confusion and memory loss; mitochondrial damage
  • Neurologic damage (development delays in children).
22
Q

Diagnosis and treatment of iron deficiency anemia = ?

Hematologic System

A

Diagnosis and Treatment - Iron Deficiency Anemia:

(a) Diagnosis:

  • Low hemoglobin and hematocrit
  • CBC (erythrocyte count, hemoglobin levels)
  • RBCs microcytic and hypochromic
  • Serum ferritin (major iron storage protein in the body)
  • Serum iron

(b) Treatment:

  • Treating the cause of iron deficiency
  • Consuming iron rich foods like liver, red meat, fish, beans, raisins, green leafy vegetables
  • Iron supplements, use of iron fortified formulas and cereals for infants
  • Foods / supplements with high vitamin C = promotes the absorption of iron.
23
Q

Megaloblastic Anemia = ?

Hematologic System

A

Megaloblastic Anemia:

  • Caused by impaired DNA synthesis- large immature erythrocytes

(a) Causes:

  • B12 deficiency, vitamin B12 (cobalamine) is necessary for DNA synthesis = decreased cell division and cell maturation
  • Less B12 absorption (alcohol intake, Crohn’s disease)
  • Chronic gastritis, autoimmune destruction of gastric mucosa, gastrectomy
  • Folic acid deficiency(rare in US due to supplementation)
  • Grains and cereals are supplemented
  • Pregnancy increases the requirement- link seen between its deficiency and neural tube defects
  • Other causes - alcohol intake, poor diet
24
Q

Pernicious anemia = ?

Hematologic System

A

Pernicious anemia:

  • specific form of megaloblastic anemia.
  • Caused by atrophic gastritis and absence of intrinsic factors - absorption of vitamin B12.
25
Megaloblastic Anemia: * Clinical features= **?** ## Footnote *Hematologic System*
**Megaloblastic Anemia - Clinical Features**: * Bleeding gums * Diarrhea * Anorexia * Demyelination: breakdown of myelin - peripheral nerves / spinal column / cerebrum. * Paresthesia of hands and feet, imbalance esp in dark, loss of DTRs , loss of sensation, confusion, dementia * Impaired sense of smell * Personality / memory changes * Mild jaundice
26
Megaloblastic Anemia: * Diagnosis and treatment = **?** ## Footnote *Hematologic System*
**Diagnosis**: * Serum vitamin B12 * CBC * Intrinsic factor antibodies * RBCs larger in size (macrocytic) * Gastric analysis **Treatment**: * Vitamin B12 injections * Oral/ sublingual / nasal Vitamin B12
27
Result from excessive and/or premature destruction or hemolysis of erythrocytes; an increase in erythropoiesis = **?** ## Footnote *Hematologic System*
**Hemolytic Anemia**: **Causes**: * Idiopathic * Autoimmunity * Infections * Genetics * Blood transfusion reactions **Types**: * Sickle cell anemia * Thalassemia
28
Hemolytic Anemia: * Causes = **?** * Types = **?** ## Footnote *Hematologic System*
Hemolytic Anemia: **Causes**: * Idiopathic * Autoimmunity * Infections * Genetics * Blood transfusion reactions **Types**: * Sickle cell anemia * Thalassemia
29
Genetic type of hemolytic anemia, erythrocytes have crescent or sickle shape = **?** ## Footnote *Hematologic System*
**Sickle Cell Anemia**: * Genetic type of hemolytic anemia, erythrocytes have crescent or sickle shape  * Caused by abnormal type of hemoglobin called as S Hemoglobin  * Sickle shape cells are fragile, stiff and distorted, deliver less oxygen to body tissues, can clog small blood vessels, can break into pieces that disrupts blood flow  * RBCs lifespan is reduced to 16 days, further contributing to symptoms  * 1 in 600 African Americas have sickle cell disease, also seen in people from south and central America, the Caribbean and the middle east 
30
Sickle Cell Anemia: * Role of Hemoglobin S = **?** * Triggers = **?** ## Footnote *Hematologic System*
**Sickle Cell Anemia**: * Hemoglobin S distorts the shape of erythrocytes esp when the blood supply of oxygen is low; repeated episodes of deoxygenation - permanently sickled. * HbS also cause damage to endothelial cells that line blood vessels. **Triggers**: * Dehydration * Stress * High altitude * Fever * Cold * Physical excretion
31
Sickle Cell Anemia: * Clinical Manifestations = **?** | *NOT complications* ## Footnote *Hematologic System*
**Sickle Cell Anemia - Clinical Manifestations**: * Symptoms develop after 4-5 months of age, most patients live into their 50’s  * Symptoms because of vessel occlusion, difficulty of RBCs to passage through small blood vessels and hypoxia  * Swelling in hands and feet (sickle cells occlude the blood vessels) with fever is the first symptom * Painful episodes (blood clogging/ ischemia) lasting for hours / days, necrosis – can occur suddenly 
32
# Sickle Cell Anemia: Clinical Manifestations Sickle Cell Anemia: * Complications = **?** ## Footnote *Hematologic System*
**Sickle Cell Anemia - Clinical Manifestations**: Complication depends upon the area of occlusion * Bone: osteomyelitis, bone pain  * Eye: retinopathy, blindness  * Liver: jaundice (breakdown of RBCs), hepatomegaly * Anemia * Kidneys: hematuria   * Skin: ulcers  * Brain: stroke * Heart: angina, chest pain, coughing, difficulty breathing- life threatening * Spleen: more prone to damage by HbS * Spleen sequestration (spleen-low oxygen - sickle cell - ischemia-blood trapped in the spleen, life threatening, sudden weakness, pale, tachycardia, left quadrant abdominal. pain), hypospleenism (reduced spleen function), susceptibility to infections. * Lungs (acute chest syndrome- chest pain, dyspnea, cough)- sudden occlusion - death.
33
Cell Anemia: * Treatment ## Footnote *Hematologic System*
**Cell Anemia - Treatment**: No known cure, no single treatment. Treatment focused on prevention: * Avoidance of sickling triggers  * Other measures: * Oxygen therapy * Pain medications, relaxation techniques * Blood transfusion * Bone marrow transplantation  * Vaccination (should get all recommended vaccinations including flu) - risk of infections in children  **Drugs**: * Hydroxyurea - synthesis of more normal Hb * Stem cell transplantation
34
Thalassemia: * What is it = **?** * Results in = **?** * Clinical Features = **?** ## Footnote *Hematologic System*
**Thalassemia**: * Genetic, results in abnormal Hb, absence of alpha or beta globin * Occurs most commonly in Mediterranean descent, also in individuals of African, Indian and Asian descent **Results in**: * Hypercoagulability * Ineffective erythropoiesis * Hemolysis * Compensatory response- hyperplasia in bone marrow **Clinical Features**: * Delayed growth development, osteoporosis * Jaundice * Dark urine * Cardiomegaly * Heart failure * Hepatomegaly * Splenomegaly infections * Poor appetite
35
Diseases of platelets = **?** ## Footnote *Hematologic System*
Diseases of Platelets: * Vital component of coagulation process * Normal: 150,000 – 350,000 cells/ml (1) **Thrombocytosis**: * Increased platelets * Thrombosis and hemorrhage * Thrombotic events include- deep vein thrombosis and pulmonary embolism. * **Treatment**: Platelet lowering drugs, aspirin   (**2**) Thrombocytopenia: * Decreased platelets levels, increased risk of bleeding and infection. * History of bruising, purpura, petechiae, bleeding from gum, nose bleeds (epistaxis), melena, abnormal menstrual bleeding.
36
Inherited bleeding disorder that results in decreased coagulation = **?** ## Footnote *Hematologic System*
**Hemophilia**: * Inherited bleeding disorder that results in decreased coagulation  * X chromosome, males can have the disease and females can be carriers * 1 in every 5000 male births  * Severity of disorder depends upon the clotting factors present  **Main symptom**: Bleeding in soft tissues, GI tract, joints. * Circumcised * When infant starts crawling and walking 9in joints- swelling, inflammation, contractures, disabilities) * Surgery/ trauma * Internal bleeding, bleedings into joints (hemarthrosis)  * Petechiae (spots that appear on skin because of bleeding), bruising, GI bleed, hematuria 
37
Hemophilia: * Treatment ## Footnote *Hematologic System*
**Hemophilia - Treatment**: * Replace the clotting factor through transfusion * Bleeding precautions
38
Disorders of WBCs = **?** | *7* ## Footnote *Hematologic System*
**Disorders of WBCs**: * Leukocytosis: increased WBCs * Leukocytopenia: decreased WBCs * Neutropenia: decreased number of circulating neutrophils * Neutrophilia: increase in number of circulating neutrophils * Lymphocytosis: increased lymphocytes * Lymphocytopenia: decreased lymphocytes * Leukemia: cancer of leukocytes