Hematology Flashcards

(32 cards)

1
Q

[Heme/Basic]

Hb nadir at __ months around 9-11 g/dL
Reticulocyte counts normalized <2% ≥ __ months
MCV nadir at __ months around 77fL

A

Hb nadir at 2-3 months around 9-11 g/dL
Reticulocyte counts normalized <2% ≥ 4 months
MCV nadir at 6-12 months around 77fL

How well did you know this?
1
Not at all
2
3
4
5
Perfectly
2
Q

[Heme/Anemia]

Cause of microcytic anemia? (4)

A
  1. Iron deficiency anemia
  2. Anemia of chronic disease (can be normocytic)
  3. Thalassemias
  4. Sideroblastic anemia
How well did you know this?
1
Not at all
2
3
4
5
Perfectly
3
Q

[Heme/Anemia]

Cause of normocytic anemia? (3)

A
  1. Hemolytic anemia
  2. Aplastic anemia
  3. Chronic renal disease
How well did you know this?
1
Not at all
2
3
4
5
Perfectly
4
Q

[Heme/Anemia]

Cause of macrocytic anemia? (4)

A
  1. Folate deficiency
  2. B12 deficiency
  3. Certain drugs: valproic acid
  4. Inherited bone marrow failure syndromes
How well did you know this?
1
Not at all
2
3
4
5
Perfectly
5
Q

[Heme/Anemia/β-thal]

β-thalassemia subtype?

Mild anemia, HbA2 > 3,5%: ___
Increased HbA2, HbF: __
Profound anemia by 6-12 months, pallor, frontal bossing, HSM, transfusion dependent: __

A

Mild anemia, HbA2 > 3,5%: minor
Increased HbA2, HbF: intermedia
HbF only, Profound anemia by 6-12 months, pallor, frontal bossing, HSM, transfusion dependent: major

How well did you know this?
1
Not at all
2
3
4
5
Perfectly
6
Q

[Heme/Anemia/ α-thal]

α-thalassemia subtype?

1) 1 locus, asymptomatic, no hematologic abnormalities (normal HbEP) (silent carrier): __
2) 2 loci, asymptomatic, MCV low, mild anemia (normal HbEP): __
3) 3 loci, moderate-to- severe hemolysis (HbH): __
4) 4 loci, death in utero (HbH, HbBart): __

A

1) 1 locus, asymptomatic, no hematologic abnormalities (silent carrier): trait
2) 2 loci, asymptomatic, MCV low, mild anemia: minor
3) 3 loci, moderate-to- severe hemolysis: HbH
4) 4 loci, death in utero: Hydrops fetalis

How well did you know this?
1
Not at all
2
3
4
5
Perfectly
7
Q

[Heme/Anemia]

Signs of which anemia?

Koilonychia

A

Iron deficiency anemia
(Sign of chronic iron deficiency)

How well did you know this?
1
Not at all
2
3
4
5
Perfectly
8
Q

[Heme/Anemia]

Which anemia?

Mentzer index (MCV/RBC) ≥ 13: __
Mentzer index (MCV/RBC) < 13: __

A

Mentzer index (MCV/RBC) ≥ 13: IDA
Mentzer index (MCV/RBC) < 13: thalassemia

How well did you know this?
1
Not at all
2
3
4
5
Perfectly
9
Q

[Heme/Anemia]

Which anemia?

Iron: low
TIBC: high
Transferrin saturation: low
Ferritin: low
Hepcidin: low

A

Iron deficiency anemia

How well did you know this?
1
Not at all
2
3
4
5
Perfectly
10
Q

[Heme/Anemia]

Which anemia?

Iron: low
TIBC: low
Transferrin saturation: low to normal
Ferritin: normal to high
Hepcidin: high

A

Anemia of chronic disease

How well did you know this?
1
Not at all
2
3
4
5
Perfectly
11
Q

[Heme/Anemia/Sickle]

Most common complications for sickle cell trait?

A

Hyposthenuria (inability to concentrate urine)
Renal papillary necrosis

How well did you know this?
1
Not at all
2
3
4
5
Perfectly
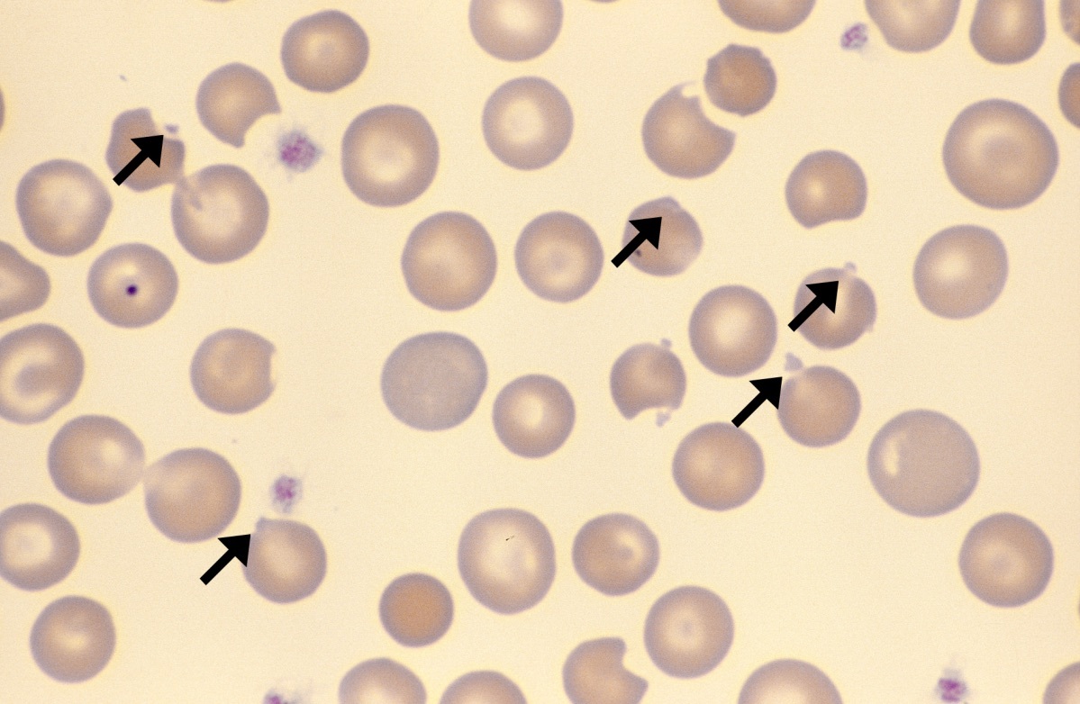
12
Q

[Heme/Hemoglobinopathies]

Diagnosis?

A

G6PD deficiency
(Heinz body and bite cells)

How well did you know this?
1
Not at all
2
3
4
5
Perfectly
13
Q

[Heme/HA]

What type of hemolytic anemia?
Treatment?

Acute pallor, jaundice, dark urine
After new medication, recent illness
PE: splenomegaly
Lab: direct Coombs positive,

A

(Warm) Autoimmune hemolytic anemia

  • Treatment:
    Corticosteroids
How well did you know this?
1
Not at all
2
3
4
5
Perfectly
14
Q

[Heme/HA]

What type of hemolytic anemia?

Older children, adolescent
Hemolytic anemia symptoms (dark urine, pallor)
After mycoplasma or EBV infection
Lab: direct Coombs test positive C3, negative IgG

A

Cold agglutinin disease

How well did you know this?
1
Not at all
2
3
4
5
Perfectly
15
Q

[Heme/HA]

What type of hemolytic anemia?

Children 4-10 years old
Acute abdominal, leg or back pain
Hemolytic anemia symptoms (dark urine, pallor)
After viral illness
Lab: direct Coombs test positive C3, negative IgG
Positive for cold-reacting IgG (Donath-Landsteiner antibodies)

A

Paroxysmal cold hemoglobinuria

How well did you know this?
1
Not at all
2
3
4
5
Perfectly
16
Q

[Heme/Stem cell disorders]

Which cell line affected?

Aplastic anemia: __
Aplastic crisis: __

A

Aplastic anemia: all cell line (pancytopenia)
Aplastic crisis: only red cells (true anemia)

17
Q

[Heme/Red Cell Aplasia]

Diagnosis?
Management?

Children between 1 and 3 years old
Pallor, decreased activity
PE: no organomegaly, no petechiae
Lab: normocytic anemia, reticulocytopenia, (no other cytopenia)

A

Transient Erythroblastopenia of Childhood (TEC)

  • Management:
    Transfusion for symptomatic
    Supportive care
    (spontaneous resolution in 1-2 months)
18
Q

[Heme/Transfusion]

Choice of transfusion and what prevented?

Selective IgA deficiency: __
Severe Combined ImmunoDeficiency: __
Aplastic anemia: __

A

Selective IgA deficiency: Washed, allergic reaction
Severe Combined ImmunoDeficiency: Irradiated, GVHD
Aplastic anemia: Leukoreduced (febrile non-hemolytic reaction) & Irradiated

19
Q

[Heme/Neutropenia/Cong]

Which immune disorder
Its mechanism?

Age: in a few months of life
Sx:Recurrent severe bacterial infections, especially deep seated liver abscesses or osteomyelitis
Lab: Profound neutropenia

A

Severe congenital neutropenia (Kostmann syndrome)

Mechanism:
ELANE gene (m/c) or other gene defect

20
Q

[Heme/Neutropenia/Cong]

Which syndrome?

Short stature, skeletal abnormalities
Imm: High fetal hemoglobin, neutropenia, myeloproliferateive malignancies
GI: Pancreatic dysfunction

A

Shwachman Diamond Syndrome
(Acinar cell hypoplasia)

21
Q

[Heme/Neutropenia/Cong]

Diagnosis?
Mechanism?
Common organism for sepsis?

Neutropenia (ANC<200), interval of every 21 +/- 3 days
Fever, aphthous stomatitis, pharyngitis, cervical lymphadenitis, rectal/vaginal ulcers

A

Cyclic Neutropenia

  • Mechanism:
    ELA2 gene (defective maturation of uncommitted stem cells)
  • Common organism for sepsis:
    Clostridium septicum
22
Q

[Heme/Neutropenia/Acq]

Diagnosis?

Neutropenia in otherwise healthy newborn
Spontaneous resolution by 6-12 weeks
Mother with antineutrophil antibodies

A

Neonatal Isoimmune Neutropenia

23
Q

[Heme/Neutropenia/Acq]

Diagnosis?

Persistently low ANC (0-500)
In otherwise healthy children (1-2 years)

A

Chronic Benign Neutropenia
(Autoimmune neutropenia)

24
Q

[Heme/hemostasis]

Factors/medicaiton/lab for coagulation pathway?

Extrinsic: __
Intrinsic: __

A

Extrinsic: tissue factor, 7, warfarin, PT
(Waffle 먹고 밖에서 PT)
Intrinsic: 8, 9, 11, 12, heparin, PTT

25
# [Heme/Plt/Congenital Thrombocytopenia] Which syndrome? Autosomal dominant Macrothrombocytes Dohle bodies in WBC Bleeding tendency Nephritis Sensorineural hearing loss Cataracts
MYH9-related disorders
26
# [Heme/Plt/Acquired Thrombocytopenia] Diagnosis? Treatment? Between 2-5 years old After viral infection or immunization Acute bruising, petechiae, bleeding
Immune thrombocytopenia - Treatment: Plt >10-20K:No treatment Plt <10-20K, active bleeding: 1st steroid, 2nd IVIG, anti-Rh(D)
27
# [Heme/Plt/Inherited plt fx] Diagnosis? Treatment? Autosomal dominant, variable expression Bleeding with dental surgery, menorrhagia Normal PT, mostly normal PTT (severe form is delayed), prolonged BT
von Willebrand Disease - Treatment: Desmopression (for some subtypes) If menorrhagia: OCP, ε-aminocaproic acid, tranexamic acid
28
# [Heme/Plt/Inherited plt fx] Diagnosis? Autosomal Recessive Severe mucocutaneous bleeding in infancy Giant platelets Prolonged rapid platelet function assay, prolonged BT
Bernard-Soulier syndrome
29
# [Heme/Hemostasis disorder] Diagnosis? Treatment? Male Excessive bleeding after circumcision, hematoma after vaccination, prolonged bleeding from heel stick Normal PT, prolonged PTT
Hemophilia A (f8) or B (f9) - Treatment: Desmopressin for mild Factor concentrate for moderate to severe
30
# [Heme/Hemostasis disorder] Diagnosis? Young children after viral infection Normal PT, prolonged PT, not corrected by mixing study
Lupus Anticoagulants
31
# [Heme/Hemostasis] Which coagulation factors synthesize outside of the liver (3)?
1. Factor 8 2. Tissue factor 3. vWF
32
# [Heme/Plt] Diagnosis? Mechanism? Treatment? Adolescent, young adult Hemolytic jaundice, neurologic symptoms (AMS), bruising/petechiae Thrombocytopenia, hemolytic anemia (high LDH), schistocytes
Thrombotic Thrombocytopenic Purpura - Mechanism: autoantibodies against ADAMTS13 - Treatment: Steroid Plasma exchange