Hematology Flashcards

(138 cards)

1
Q

What is a complication of chronic anemia?

A

High cardiac output failure

How well did you know this?
1
Not at all
2
3
4
5
Perfectly
2
Q

After diagnosing anemia either with a low hematocrit or low hemoglobin what is the next step in managment to determine the kind of anemia?

A

MCV

How well did you know this?
1
Not at all
2
3
4
5
Perfectly
3
Q

Normal MCV

A

80-100

How well did you know this?
1
Not at all
2
3
4
5
Perfectly
4
Q

What is the heme component of hemoglobin ?

A

portyprhrin and Fe

How well did you know this?
1
Not at all
2
3
4
5
Perfectly
5
Q

What is the globin component of hemoglobin?

A

Alpha and Beta proteins

How well did you know this?
1
Not at all
2
3
4
5
Perfectly
6
Q

What laboratory value should be checked in a patient with anemia (low hematocrit or hemoglobin), but a normal MCV?

A

Reticulocyte

How well did you know this?
1
Not at all
2
3
4
5
Perfectly
7
Q

Patient with anemia with a normal MCV either are anemic because increased _______ or reduced ______ of RBC’s

A

Destruction or production

How well did you know this?
1
Not at all
2
3
4
5
Perfectly
8
Q

What labs would we reference in order to differentiate, between intravascular and extravascular hemolysis?

A

Haptoglobin, LDH, Bilirubin, Hemoglobin in the Urine.

How well did you know this?
1
Not at all
2
3
4
5
Perfectly
9
Q

What would haptoglobin, LDH, bilirubin, hemoglobin in the urine look like in a patient with intravascular hemolysis in comparison with extravascular hemolysis.

A

Haptoglobin: low
LDH: high
Bilirubin: high
Hemglobinuria: present
splenomegaly: absent

How well did you know this?
1
Not at all
2
3
4
5
Perfectly
10
Q

What would haptoglobin, LDH, bilirubin, hemoglobin in the urine look like in a patient with extravascular hemolysis.

A

Haptglobin: normal to low
LDH: normal to high
Bilirubin: high
Hemoglobinuria: absent
splenomegaly: present

How well did you know this?
1
Not at all
2
3
4
5
Perfectly
11
Q

What are the causes of cold autoimmune hemolytic anemia

A

Mycoplasma pneumonia, EBV, WM, and lymphomas

How well did you know this?
1
Not at all
2
3
4
5
Perfectly
12
Q

What are the causes of warm hemolytic anemia?

A

SLE, drugs that cause SLE like symptoms, hemolytic anemia of a newborn.

How well did you know this?
1
Not at all
2
3
4
5
Perfectly
13
Q

A coomb’s test would be positive in autoimmune hemolytic anemias, what are the differences in the coomb’s test between warm and cold?

A

Cold: c3b and warm: Anti-G

How well did you know this?
1
Not at all
2
3
4
5
Perfectly
14
Q

What is the best screening test for spherocytosis?

A

eosin- 5 malemide, osmotic fragility test, acidified glycerol lysis, cryohemolysis

How well did you know this?
1
Not at all
2
3
4
5
Perfectly
15
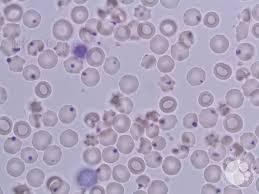
Q

What does the blood smear show?

A

RBC’s w/o central pallor, which can be spherocytes, or autoimmune hemolytic anemia

How well did you know this?
1
Not at all
2
3
4
5
Perfectly
16
Q

What is the difference between autoimmune hemolytic anemia and spherocytosis?

A

Spherocytosis will be negative for Coomb’s. Although they correlate with most everything else. with IgG antibodies and being extravasular hemolysis

How well did you know this?
1
Not at all
2
3
4
5
Perfectly
17
Q

What are risk factors for G6PD

A

Drugs like sulfamethazole, primaquine, quinine, dapsone, isoniazid, and rifampin and fava beans

How well did you know this?
1
Not at all
2
3
4
5
Perfectly
18
Q

How do we diagnose G6PD

A

G6PD enzyme assay

How well did you know this?
1
Not at all
2
3
4
5
Perfectly
19
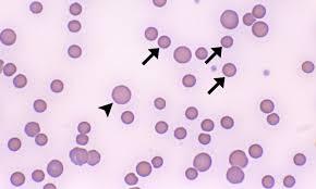
Q

What does this blood smear show?

A

Heinz bodies

How well did you know this?
1
Not at all
2
3
4
5
Perfectly
20
Q

What kind of anemias hemolyze intravascularly?

A

PNH, Cold agglutinins, G6PD, (also TTP, HUS, DIC)

How well did you know this?
1
Not at all
2
3
4
5
Perfectly
21
Q

What kind of anemias hemolyze extravascullarly?

A

Spherocytes, warm agglutinins,

How well did you know this?
1
Not at all
2
3
4
5
Perfectly
22
Q

What laboratory value should be checked in a patient with a MCV >100?

A

Folate or B12

How well did you know this?
1
Not at all
2
3
4
5
Perfectly
23
Q

A patient presents with to your office with complaints fatigue and of dark urine upon waking in the morning. What is the pathology behind this patients dark urine?

A

The patient has a genetic defect that makes his RBC membrane (PIG-A), which stands for decay acceelerating factor (CD55 and 59). In acidic environments are RBC’s become more susceptible (night time).

How well did you know this?
1
Not at all
2
3
4
5
Perfectly
24
Q

What is the most common cause of death in a patient with paroxysmal nocturnal hemoglobinuria?

A

Thrombosis

How well did you know this?
1
Not at all
2
3
4
5
Perfectly
25
How does one diagnose paroxysmal nocturnal hemoglobinuria?
flow cytometry looking for CD55/59, also ham's test and a sugar water test
26
What is the treatment for a patient with paroxysmal nocturnal hemoglobinuria?
Blood transfusion, in cases of persistent hemolysis consider prednisone, and if the presentation is severe consider ecluzimab
27
What is the amino acid change in sickle cell?
Glutamic acid --> valine
28
What are events that precipitate sickling>
ACTED -->RIGHT, Acidosis, high CO2, increased Temp, Elevated 23DPG,. And also of course low O2 environments like high altitude
29
Although a blood smear can be used to visulaize sickle cell what is the definitive diagnosis
hemoglobin assay would show >40% HbS if a patient has sickle cell if it's less than 40 % then the patient has the sickle cell trait.
30
What are some of the complications of vaso-oclusive sickling crisis?
Acute chest syndrome, Splenomegaly, priapism, dactylitis, stroke, renal infartcion
31
What is the most common cause of osteomyelitis in a patient with SCD?
Staph Areus, although salmonella is more prevalent in patient with SCD Staph. A is more common.
32
True/False patient with SCD should get prophylatic antibiotics?
True & Falsee starting at the age of three months penicillin should be intiated for at least a year or until the age of 5. Adults do not require antibiotic prophylaxis
33
Vaccines should cover what type of organisms in a patient with SCD?
Encapsulated organisms
34
This drug increase HbF so that the patients RBC's, hold on to oxygen and thus don't sickle?
Hydroxyurea
35
All patients with chronic hemolysis should be started on what vitamin?
Folate
36
A patient f/u after labs identify that the patient has anemia. On examination of the labs the reticulocyte count is low what is the next step in management?
Get a bone biopsy, the fact that the reticulocyte count is low is suggestive that there is low bone production.
37
How do we differentiate normocytic anemias?
Normocytic is divided in to production and destruction. The next thing we need to ask ourselves is about the reticulocyte count? The destruction side will have elevated reticulocyte count. The production side will have a low reticulocyte count.
38
Name pathologies of the bone marrow that result in reduced production of hematologic precursors?
Red cell aplasia, Aplastic crisis, and myeloproliferative disorders ***
39
what are some of the causes of aplastic crisis?
Drugs: carbmazapine, anti-thyroid rx Infections: Parvo, EBV, and HIV
40
When should we transfuse a patient?
when Hb is < 7-8, or 8 to 10 in a patient that is symptomatic
41
Iron deficeny? - MCV -Ferritin -TIBC -transferrin saturation
MCV: Low <80 Ferritin: Low TIBC: High Transferrin: high Transferrin saturation: low
42
Anemia of chronic disease -MCV -Ferritin -TIBC -transferrin saturation
MCV: Low <80 Ferritin: High TIBC: low Transferrin: low Transferrin saturation: low
43
Thalasemia -MCV -Ferritin -TIBC -transferrin saturation
MCV: low Ferritin: normal TIBC: normal transferrin saturation: normal RDW= normal
44
Sideroblastic anemia -MCV -Ferritin -TIBC -transferrin saturation
MCV: low Ferritin: high or normal TIBC: low Transferrin: low
45
What is the treatment for a patient with iron deficiency anemia?
Iron (ferrous sulfate)
46
What is the most common cause of iron deficency in a patient less that 50 years
menorrhagia
47
What is the most common cause of iron deficiency anemia in a patient > 50 year of age.
colon cancer
48
_____ is a feedback that shuts down transferrin, when Fe stores are high?
Ferritin, which is why TIBC and ferritin are inversely related.
49
What are the causes of sideroblastic anemia?
alcohol, B6 deficency, cooper or lead posioning
50
How many genes must a patient lose in a alpha thalassemia for the patient to become significantly symptomatic?
3 genes = alpha thalassemia 4 genes= Hb Bart's, this child will probably not make the first few days of life
51
How many genes must a patient with beta thalassemia lose in order to be symptomatic
1= Beta thalassemia minor 2= Cooleys anemia (Thalassemia major)
52
Target cells are associated with what heme disorders?
hemoglobin C, sickle cell, and thalassemia
53
When does adult hemoglobin start replacing fetal hemoglobin?
At 6 months
54
What is HbA hemoglobin?
It contains two alpha globins and two beta globins. Its is the hemoglobin primarily found in adults
55
A patient with anemia has normal iron studies and normal RDW, what is the next step in managment ?
Suspect thalassemia and get a hemoglobin assay
56
What is HbA2 hemoglobin
It's two alpha chains and two delta chains comprises of only 2% of adult hemoglobin.
57
What is HbF hemoglobin?
It's two alpha and two gamma chains and this is most prevalent in infants
58
What is a complication of regular blood transfusions?
Hemochromatosis
59
_____ is an autoimmune disease that attack parietal cells. Patients may complain of loss of neuropathy, dorsal column nerve deficits.
Pernicious anemia
60
How could pancreatitis cause a megaloblastic anemia?
exocrine pancreatic deficency results in reduced binding of B12
61
What drugs can precipitate a megaloblastic anemia?
methotrexate. TMPSMX, 6 mercaptopurine, phenytoin
62
Where is INF and B12 reabsorbed?
in the illeum
63
What are the etiologies of B12 deficiency?
Food ingestion, Food digestion (stomach, ileum, pancreas), malabsorption
64
How does B12 deficiency cause toxicity to the nervous system?
Methylmalonic acid accumulation
65
What is the MCC of folate deficency?
Alcoholism
66
What does LAP stand for?
Stands for leukocyte alkaline phosphatase
67
Basophilic stipling can present in what other blood pathologies?
Thalasemia, alcohol use disorder, vitamin deficiencies and lead poisoning.
68
A 31 yo F patient is scheduled for an emergency surgery for appendectomy. Prior to the surgery her platelet count was normal, but her PT and PTT are elevated. A 1:1 inhibitor mixing study is done (pts plasma is mixed with normal plasma), but her PT and PTT haven't corrected what could be the possible cause?
lupus anti-coagulant a form of anti-phospholipid antibody. It's the most common form of coagulant inhibition.
69
A 5yo child presents with acute onset of fatigue. The patient has a previous history of sickle cell. The patients hemoglobin is 6. The patient is slightly dyspenic, but responsive to simple commands. The patients spleen is palpable. Reticulocyte count is elevated, what is the cause of her reduced hemoglobin levels?
The patient has splenic sequestration which is a complication of an occlusion of an exit route from the spleen thus causing RBC's to become trapped in the spleen. The next step would be to give this patient a transfusion.
70
Shiny tongue and palmar creases may be incognito to suggest?
A vitamin B12 deficiency
71
What's the treatment for a patient with TTP?
Plasma transfusion
72
Would this lab suggest ITP or Von Willebrand's dz
Remember that while Von Willebrand will increase PTT and BT, it usually doesn't affect the platelet levels. So this lab suggests more ITP.
73
A patient of good stature, erratic behavior present with these labs. Would this lab be more suggestive of EPO abuse or steroid abuse?
This lab would be more suggestive of steroid abuse, steroids can cause erythocytosis. In addition, if the stem suggests increased aggression and gynecomastia consider steroids.
74
A pt. with a hx of Sjogren's autoimmune, shiny tongue, and IBS
Megaloblastic anemia due to pernicious anemia.
75
If a patient is in an emergent situation and you don' t have the time to crossmatch blood, what blood should you give?
Blood group O, Rh (-)
76
A pt. after blood transfusion is has a b/p 80/50, HR 120, the patient has labored breathing on physical examination. What kind of transfusion reaction is she having?
Anaphylatic
77
A pt after blood transfusion is short of breath, CXR show pulmoary infiltrates and edema, JVD is absent, PCWP <18 what transfusion reaction is she having?
TRALI (transfusion related acute lung injury)
78
Patient that experiences fever and chills 20 mins after a blood transfusion, what is the cause of fever?
Febrile non-hemolytic; cytokine release during blood storage. Test my quiz you on doing ABO compatibility to make sure that this isn't ABO incompatibility.
79
What is an allergic/urticarial reaction
Although it can present with similar symptoms to anaphylaxis there is no shock presentation. The patients IgE antibodies cross react and cause mass cell degranulation.
80
A blood transfusion that causes anaphylaxis is due to lack of exposure to what anti-body?
IgA
81
A patient hours after a blood transfusion has dark urine, is what type of transfusion reaction?
Acute hemolytic reaction
82
A patient after blood transfusion has dyspnea, CXR reveals opacities, JVD, elevated BNP.
TACO (transfusion associated cardiac overload)
83
A patient after blood trasfusion has dyspnea and CXR show opacities, with a PCWP< 18?
TRALI
84
How can we prevent a febrile hemolytic reaction from occurring?
Leukoreduced blood
85
What kind of reaction is graft versus host disease
This is a cytotoxic (CD8) reaction that typically develops by day 100. Donor CD8 cells respond to recipient antigens. Typical patient presentation is GI symptoms like diarrhea or maculopapular rash. The diagnosis is made by biopsy and treatment is usually steroids.
86
What's the management for splenic sequestration.
The first goal is packed RBC transfusion. If the patient were to have greater than one incidence of splenic sequestration than we might consider splenectomy.
87
What are some signs of splenic sequestration?
Hypotension, splenomegaly, hepatomegaly, low hemoglobin, thrombocytopenia, reticulocytosis
88
What's the difference between WM and MM?
89
A patient that is 40 yo with chronic bilateral MCP joint pain and stiffness presents to your office in search of possible treatment. Patient has had X-rays in the past showing calcifications within the joint space. Patient had recent lab work that showed AST 100 and ALT 105? What is a possible diagnosis?
Hereditary hemochromatosis
90
What's the treatment for hereditary hemochromatosis?
NSAIDS, but also sometimes phlebotomy
91
What are myeloproliferative disorders?
They are overproductions of the bone marrow
92
This disease presentation is the proliferation of all myeloid lineage mainly granulocytes?
CML
93
_____ is the proliferation of RBC's
Polycythemia vera
94
All myeloproliferative disorders have a _____ mutation?
JAK-2
95
What is the definitive diagnosis for myeloproliferative disorders
Bone marrow biopsy
96
C-abl, t9:22, tyrosine kinase activity increases generation of myeloid cells
CML
97
What is the treatment for a patient with CML
Tyrosine kinase inhibitors; imatinib, - -inib
98
What is the major complication of CML?
it can progress to a blastic crisis and transform into AML/PML
99
What are common lab findings for acute leukemia?
elevated blasts (>20%), low platelets, low WBC's, low RBCs
100
How do we categorize leukemias?
Leukemias are first divided into acute and chronic. Then leukemias are classified as myeloid or a lymphoid
101
What is the demographic of patients AML
middle age
102
What is the demographic for patients with ALL
Children
103
What are three unique features of PML?
DIC, Auer rods,
104
What is the treatment for PML
Vitamin A
105
What is the genetic translocation for PML?
15;17 with an abnormal retinoic acid receptor
106
What is the first step in diagnosis if you suspect a patient has leukemia?
Blood smear will give us an indication if the leukemia is acute or chronic bast on the presence or absence of blast cells
107
What are some of the complications of tumor lysis syndrome
hypocalcemia (remember that Ca binds PO3) hyperuricemia causing gouty arthritis.
108
How does chronic lymphoid leukemia present like?
chronic leukocytosis
109
How do we diagnose CLL?
flow cytometry
110
Flow cytometry + CD11/22 , TRAP, and dry TAP
Hairy cell leukemia
111
protein electrophoresis with polyclonal spikes indicate?
chronic inflammation
112
Protein electrophoresis with monoclonal spike indicated what kind of pathologies?
WM, MM, Monoclonal gammopathy of undetermined significance (MGUS)
113
What is the difference between MGUS and MM?
in MGUS the M3 <3% and the plasma cells are <10%
114
All plasma cell disorders make monoclonal proteins causing this RBC formation on the slide.
Rouleaux
115
What are the complications of plasma cell disorders?
Hypercalcemia (IL-1 activates osteoclasts) nephrotoxicity (light chain deposition), anemia (with many blood disorders overcrowding of the bone marrow leads to decreased production of normal cells), infection
116
What is the MCC of death in MM?
Infection
117
Why is it important for patients with plasma cell disorders to get vaccinated?
Remember they are not producing normal B cells and the dysplastic B cells are overcrowding normal B cell s
118
Lymphomas are organized into?
Hodgkins and Non-Hodgkins
119
What are B symptoms?
fever, drenching night sweats, and weight loss
120
Patient with fatigue and 12lb weight loss in 6 months has flow cytometry + CD15/33 and binucleated cells.
Hodgkin lymphomas
121
What are risk factors for Non-Hodgkin Lymphomas
EBV
122
How do we diganose someone we suspect has a lymphoma?
Lymph node biopsy
123
What findings are concerning for a malignant lymph node?
fixed, >2cm, and immobile
124
Increased bleeding time, normal platelet production, ristocetin =0, very large platelets?
Bernard soluier
125
Increased bleeding time normal platelet production, ristocetin varaible and PTT increased?
VWF
126
When is platelet transfusion indicated in a patient with ITP (immune thrombocytopenia).
platelets are <10,000
127
Renal failure in a child, hematuria, and low platelets?
HUS
128
Low platelets, low adams t13
TTP
129
Patient presents with low platelets elevate PT and PTT and has oozing of blood from a catheter site.
DIC
130
A patient with elevated PTT undergoes a mixing study which normalizes his/her coagulation studies what is the next step in determining what factor was deficent?
specific factor assay
131
A patient comes to the office with abnormal coagulation studies. The patient has a history of pancreatitis, what vitamin dedicency
Vitamin K
132
vitamin K is a cofactor for what clotting factors?
2,7,9,10
133
What is the MOA of heparin
It activates anti-thrombin 3 which is an inhibitor of Xa
134
After four days on heparin therapy a patient presents with thrombocytopenia and elevated PTT what is the MOA?
IgG binds to heparin/platelet complex 4
135
What is the treatment for a patient with HIT 2?
Stop drug and anticoagulation with agotroban
136
Patients with gout have hyperuricemia which can cause
thrombocytosis
137
What is the treatment for enterobiasis (pin worms of the ass)
In pregnant women Pyrantel pamoate, in non- pregnant patients -bendazoles
138
What is the most common inherited thrombophilia?
Factor 5 leiden, Factor 5 essentially inhibits Protein C which is an anti-coagulant. Look for a young male patient with venous thromboembolism with no risk factors .