Hematoma Subdural. Flashcards

(5 cards)

1
Q

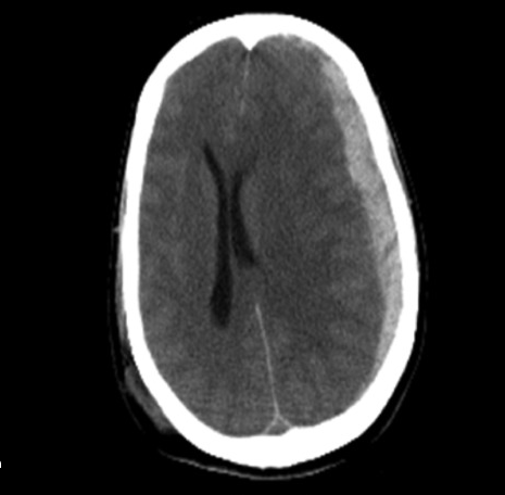
Que forma presenta el hematoma subdural en el estudio imagenologico ?

A

Hoz o Media Luna (Siguen el contorno del cerebro).

How well did you know this?
1
Not at all
2
3
4
5
Perfectly
2
Q

De que estructura vascular se origina el hematoma subdural ?

A

Venas de la Corteza Cerebral (Consecuencia de su desgarro).

How well did you know this?
1
Not at all
2
3
4
5
Perfectly
3
Q

Que porcentaje de los TCE severos se acompañan de hematoma subdural ?

A

30%.

How well did you know this?
1
Not at all
2
3
4
5
Perfectly
4
Q

Verdadero o Falso el hematoma subdural produce más daño que el hematoma epidural ?

A

Verdadero.

How well did you know this?
1
Not at all
2
3
4
5
Perfectly
5
Q

A que manifestación clínica se suele asociar la presencia de un hematoma subdural ?

A

Convulsiones (Debido al efecto irritativo de la sangre sobre el parenquima cerebral).

How well did you know this?
1
Not at all
2
3
4
5
Perfectly