Heme malignancy Flashcards

(28 cards)

1
Q

Define the following terms:

Lymphoma

Leukemia

Multiple myeloma

A

Lymphoma: mass lesion of lymphocytes (comes from lymphoid tissue and NOT bone marrow)

Leukemia: excess leukocytes in the blood (lymphoid/myeloid derived; blood AND bone marrow disorder)

Multiple myeloma: plasma cell mass lesion

How well did you know this?
1
Not at all
2
3
4
5
Perfectly
2
Q

What are some etiologies of WBC neoplasms?

A

Chromosomal translocations and oncogenes

Inherited genetic factors: Down’s, NF-type I

Viruses: HTLV-1, EBV, HHV8

Environmental agents

Iatrogenic factors

How well did you know this?
1
Not at all
2
3
4
5
Perfectly
3
Q

Viruses that can causes WBC neoplasms include:

A

HTLV-1

EBV

HHV-8

How well did you know this?
1
Not at all
2
3
4
5
Perfectly
4
Q

Acute myeloid leukemia tends to involve the ___ or ___ (which cell types?)

A

Acute myeloid leukemia tends to involve the hematopoietic stem cell or common myeloid progenitor

How well did you know this?
1
Not at all
2
3
4
5
Perfectly
5
Q

___ is an antigen expressed by most leukocytes (aka leukocyte common antigen)

A

CD45

How well did you know this?
1
Not at all
2
3
4
5
Perfectly
6
Q

CD19 and CD20 are __ (early/late/both) antigens expressed by B cells

A

CD19 and CD20 are early + late antigens expressed by B cells

How well did you know this?
1
Not at all
2
3
4
5
Perfectly
7
Q

What antigen is a late B cell antigen? Which antigen is expressed by plasma cells?

A

CD38 - late B cell antigen

CD138 - plasma cell antigen

How well did you know this?
1
Not at all
2
3
4
5
Perfectly
8
Q

CD2, CD5, CD7 are all __ T cell markers

A

CD2, CD5, CD7 are all early + late T cell markers

How well did you know this?
1
Not at all
2
3
4
5
Perfectly
9
Q

CD3, CD4 and CD8 are expressed by which cells?

A

CD3, CD4 and CD8 are late T cell antigens

How well did you know this?
1
Not at all
2
3
4
5
Perfectly
10
Q

___ is expressed on hematopoietic stem cells and persists through the common myeloid and lymphoid stages before disappearing

___ is expressed on the common lymphoid progenitor then disappears when the cells differentiate

A

CD34 is expressed on hematopoietic stem cells and persists through the common myeloid and lymphoid stages before disappearing

TdT is a expressed on the common lymphoid progenitor then disappears when the cells differentiate

**note that CD10 is B cell specific and CD1a is T cell specific**

How well did you know this?
1
Not at all
2
3
4
5
Perfectly
11
Q

What is the criteria for AML diagnosis?

A

At least 20% blasts in marrow or blood

**

Acute myeloid leukemia affects the blast and promyelocyte stages

*need to do iliac crest bone marrow biopsy if AML suspected but not sure*

How well did you know this?
1
Not at all
2
3
4
5
Perfectly
12
Q

How would a pt with AML present?

A

AML presentation is typically non specific:

Fatigue, weakness, shortness of breath (low red blood cells)

Fever and/or Infections (low neutrophils)

Bleeding/bruising (low platelets)

(aml can also be discovered incidentally)

**symptoms progress pretty quickly - weeks to months**

How well did you know this?
1
Not at all
2
3
4
5
Perfectly
13
Q

There are 2 broad categories of AML, namely ___

A

There are 2 broad categories of AML, namely de novo AML and secondary AML (which occurs secondary to a pre-existing condition e.g. aplastic anemia)

How well did you know this?
1
Not at all
2
3
4
5
Perfectly
14
Q

De novo AML can further be split into 2 categories. Name them.

A

AML with genetic aberrations and just AML or AML not otherwise specified

How well did you know this?
1
Not at all
2
3
4
5
Perfectly
15
Q

Secondary AML can be split into ___ related or ___ related

A

Secondary AML can be split into myelodysplasia-related or therapy-related

How well did you know this?
1
Not at all
2
3
4
5
Perfectly
16
Q

Fill in the blanks

A

AML with t(8; 21) + inv(16) (ass’d w/ eosinophilia in bone marrow or blood) : core binding factor leukemia

T(15;17) is pathognomonic for acute pro-myelocytic leukemia; treated differently from all the other AML types

T(11q23): typically arises following dna damage from topoisomerase inhibitors (e.g. anthracyclines)

NPM: nucleoplasmin, can be mutated and may or may not be a more favorable risk disease

17
Q

What are the treatment options for AML?

A

Rx for AML is typically chemotherapy +/- stem cell transplant

18
Q

The 2 types of drugs given to pts in induction chemotherapy for AML are ___ and ___

A

The 2 types of drugs given to pts in induction chemotherapy for AML are cytarabine and idarubicin/daunorubicin (anthracyclines)

**note that this regimen is very toxic and can cause tumor lysis syndrome, alopecia etc (all the bad side effects of chemo you can think of)**

(the goal of Rx is to have <5% blasts in the bone marrow + good blood counts)

19
Q

Pts who experience relapse/primary AML can undergo stem cell transplantation. Explain briefly how a stem cell transplant is done

A

Injection of GCSF into donor >> cells processed >> given to recipient (along with chemotherapy)

20
Q

There 4 main complications of transplantation. Name them.

A

Graft vs host disease

Hepatic Sinusoidal Obstruction/Veno-occlusive disease

Mucositis

Infections

21
Q

What treatment options are available to older/more frail pts that can’t tolerate induction chemo for AML?

A

These pts receive hypomethylating agents (5-Azacitidine) + (Decitabine)

(can also receive gemtuzumab - selectively targets CD33 on myeloid cells, or low dose cytarabine)

22
Q

Describe the mechanism of action of hypomethylating agents

A

In the normal setting, promoter regions that sit upstream of genes can be hypermethylated by DNMT3a (methyltransferase), which leads to gene silencing

Hypomethylating agents work by inhibiting DNMT3a, thereby blocking the methylation and subsequent silencing of genes

23
Q

Which form of AML results from the translocation of chromosomes 15 and 17?

A

t(15:17) >> Acute promyelocytic leukemia

**

The t(15:17) translocation leads to the fusion of retinoic acid receptor (RARa) and the PML tumor suppressor protein. The resulting fusion protein RARa/PML leads to acute pro-myelocytic leukemia

24
Q

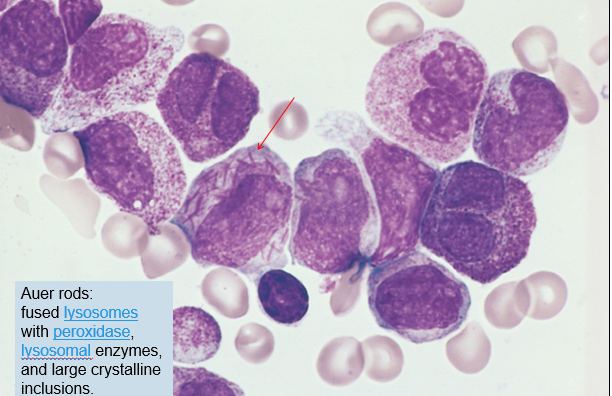
Acute promyelocytic leukemia is characterized by what changes in the cells?

A

Large, often bilobed nuclei, azurophilic cytoplasmic granules and Auer rods (which are basically fused lysosomes)

25
Pts with APL will typically present with ___ (low everything) and \_\_\_
Pts with APL will typically present with **panycytopenia** (all your blood cells are low) and DIC (which is what usually kills pts) \*\*need to initiate Rx early; labs look as follows: PT increased PTT increased Fibrinogen decreased Fibrin split products and D-dimers increased\*\*
26
At the first suspicion of APL, pts should be given ___ because it can quickly mitigate the DIC. The treatment of APL includes ___ and \_\_\_
At the first suspicion of APL, pts should be given **all trans retinoic acid** because it can quickly mitigate the DIC. The treatment of APL includes **ATRA** and **arsenic trioxide**
27
A **73 year old woman** with a **history of hypertension** presents to her primary care physician for **slowly worsening fatigue** over the last **several months**. CBC shows: WBC of **1100/μL** (normal, 4,500 - 11,000), Hemoglobin **7.8 g/dL** (normal 12.6-16) Hematocrit **24%** (normal, 37% - 50%) MCV **110 fL** (normal 80-100) Platelets **32,000/μL** (normal, 153,000-367,000). Peripheral smear shows the following: (see image) \*\*discuss the concerning findings\*\*
So the pts WBC, and platelet counts are all low so she's pancytopenic; has worsening fatigue over several months, MCV is elevated The neutrophils aren't quite bands. Its like the bands have split or something
28
A 73 year old woman with a history of hypertension presents to her primary care physician for slowly worsening fatigue over the last several months. CBC shows: WBC of 1100/μL (normal, 4,500 - 11,000), Hemoglobin 7.8 g/dL (normal 12.6-16) Hematocrit 24% (normal, 37% - 50%) MCV 110 fL (normal 80-100) Platelets 32,000/μL (normal, 153,000-367,000). Peripheral smear shows the following: (see image) \*\* **What is the next best step in management?** A.Watchful waiting B.Prescribe iron for anemia C.Prescribe Vitamin B12/folate for anemia D.Perform bone marrow biopsy E.Treat with hypomethylating agent
Perform bone marrow biopsy