In order to maintain fluid homeostasis what 3 things must be in check?
Blood is maintained as a _______ state until injury requires_______
List 2 failures of this
Blood is maintained as a liquid state until injury requires clot formation
*hypercoagulability state due to mutation in Factor V gene results in blood clotting when it shoudln’t
*hypocoagulability state due to platelet defect results in blood not clotting when it should
What is edema and where does it occur?
accumulation of interstitial fluid in tissues
occurs in subcutaneous tissues and body cavities (pleural cavity, peritoneal cavity, pericardial cavity)
What is Anasarca?
very severe generalized edema
Describe th normal fluid balance/distribution in the body
2/3 intracellular
1/3 extracellular (mostly interstitial) with 5% of extracellular fluid in blood plasma
what are 3 factors tha affect fluid balance
When does edemea result?
when increased hydrostatic pressure or decreased osmotic pressure leads to net accumulation of fluid (in interstitium)
WHat 2 things cause increased hydrostatic pressure and what are some examples?

Why does CHF cause edema?
It leads to increased capillary pressure
increased hydrostatic pressure in alveolar capillaries due to left ventricular failure pulmonary edema and eventually peripheral edema
How does reduced plasma osmotic pressure occur and how does it lead to edema?

Lymphatic obstruction can lead to edema. How does lympathic obstruction occur?
Sodium (and water) retention can lead to edema. How does this occur?
sodium and water retention increasd hydrostatic pressure (expanded intravascular volume) and decreased colloid osmotic pressure
causes: excessive salt intake w/ renal insufficiency
acute reduction of renal function (ex: glomerulonephritis)
Describe the morphology of edema:
When do we normally see:
edema is more easily recognized grossly. microscopically subtle cell swelling and separation of extracellular matrix elements
subcutaneous edema: CHF and Renal failure
Pulmonary edema: left ventricle failure
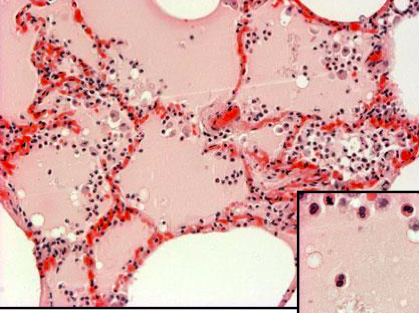
What is this image showing?

Pulmonary edema
WHat is hyperemia and what makes it occur?
hyperemia is increase in blood colume within a tissue
WHat is congetsion and why does it happen?
congestion: increase in blood volume within a tissue (passive)

due to decreased/impaired outflow of venous blood (Passive)
may occur systemically (liver and lung congestion due to heart failure) or locally (obstruction of superior sagittal sinus of dura)
WHat is the mechanism of the change in the liver and lungs during heart failure?
What is involved in primary hemostasis and what dominates it
what is involved in secondary hemostasis and what dominates it
Primary (dominated by the platelet)
Secondary (clotting factors build upon the platelet plug)
What are the 5 steps of primary hemostasis?
WHat are the steps involved in secondary hemostasis?
**fibrin strengthens the plug. generating thrombin is the goal which will turn fibrin into fibrinogen which forms the mesh network
What are the laboratory screenings for primary hemostasis?
What are the laboartaory screenings for secondary hemostasis?
Prothrombin time (PT) (extrinsic and common pathway)
activated partial thromboplastin time (aPTT) (intrinsic and common pathway)
fibrinogen activity
Bleeding disorders are defects in:
What is a hemorrhage and what are some common causes of hemorrhages?