Define Hemoglobinopathy
Pathophysiology, Hemoglobinopathies
(4 generals)
Sickling and Crystallization
(2 responsible hemogobins and their genetic mutations)
Both single amino acid substitutions!
•Hemoglobin S - substitution of valine for glutamic acid
•Hemoglobin C - substitution of lysine for glutamic acid
Laboratory Tools for Hemoglobinopathy Dx (4)
•CBC
•Peripheral blood smear
•Hemoglobin separation
–Electrophoresis
–HPLC (High Performance Liquid Chromatography)
–Isoelectric focusing
•Sickle cell screening
Hemoglobin Electrophoresis
(function, general MOA)
•Used to isolate, identify, and quanititate hemoglobin bands (reported in % of each Hgb type)
•When placed in an electrical field, hemoglobins will migrate according to their
–pH
–Media used
A2 comigrates c Hgb C. This picture was not completely acurate

Sickle Cell Screening
(2 tests)
Sickle Solubility Test
(definition, explaination, interpretation)
Definition - Sickling hemoglobin in a deoxygenated state will precipitate in a concentrated phosphate buffer solution
Explaination - Abnormal band in S position. Since there are multiple sickled cells that migrate c hgb S, this separates it out
Interpretation - If you can see the lines its negative

Sickle Solubility Test Procedure Notes
(4)
•Not specific for Hgb S
•Cannot resolve trait vs disease
•False pos with increased proteins, hyperlipidemia, high WBC, cold reagents
•Sensitivity approx 20-25%
–Infants
–Transfusions
Hemoglobin S and Sickle Cell Disease Epidemiology and Genetics
(2 different groups)
•Incidence in African populations is 40%
•Incidence in African-Americans is 8%
-Established itself as a protective mechanism against malaria
Pathophysiology, Hemoglobin S and Sickle Cell Disease
(4)
Clinical Findings, Sickle Cell Disease
•Vaso-occlusion
–dactylitis - swollen and painful feet
–auto-splenectomy
–renal necrosis
–infarctive crisis
–leg ulcers
–infection
•Chronic hemolysis
–anemia
–jaundice
–cholelithiasis
–aplastic crisis
–hemolytic crisis (classic situation where cells sickle and BM reacts by making more RBCs that then sickle. This is bad)
Laboratory Findings, Sickle Cell Disease
(5)
–Severe normocytic, normochromic anemia
–Blood smear - target cells, sickle cells, nRBC, schistocytes, siderotic granules, Howell-Jolly bodies
–Reticulocytes increased, except in aplastic crisis
–Hemoglobin electrophoresis - Hgb S = 80-90%, Hgb F = 1-20%, Hgb A2 = 2-3%
–Sickle test - positive
Laboratory Findings, Sickle Cell Trait
(4)
–normal CBC
–normal blood smear
–Hemoglobin electrophoresis - Hgb A = 55-65%, Hgb S = 35-45%, Hgb A2 = 2-3%
–Sickle test - positive
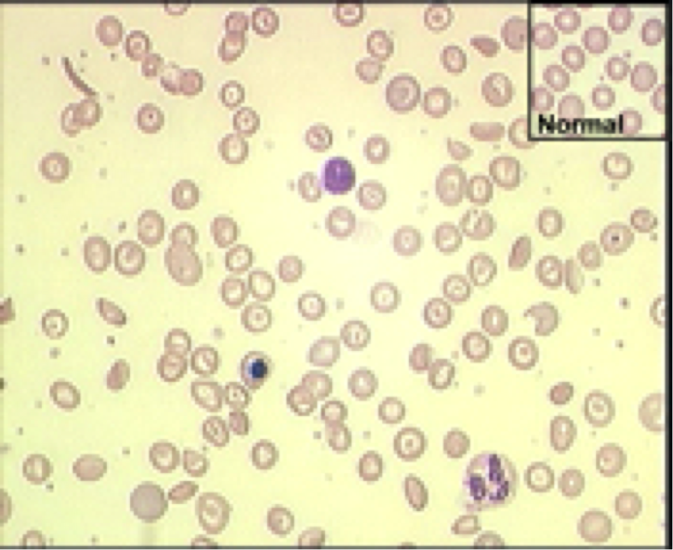
Identify Pathology

Sickle Cell (probably disease)
Note the pointed corners

Identify Pathology

Nucleated RBCs, BM’s response to sickle cell anemia crisis
Thalassemia
(define, classification system)
Globin Chain Synthesis Evolution c Age
See attached. Note, this is a normal representation

Genetic Ctrl of Hb Synthesis
(List 2 chromosomes and which globin chains are coded there)
Categories of Thalassemia
•Beta-thalassemia
–Beta0 - no beta chains produced
–Beta+ - decreased beta chains produced
•10 - 50% normal beta chain synthesis
•Alpha-thalassemia
Geographical Distribution, Beta Thalassemias
The highest frequencies of beta thalassemia occur in the Mediterranean countries (Greece and Italy), the Arabian Peninsula, Turkey, Iran, Africa, India, Southeast Asia, and southern China.
Geographic Distribution, Alpha Thalassemias
Pathophysiology, Thalassemias
•Imbalance of globin chain synthesis
•Ineffective erythropoiesis
•Cells destroyed in marrow or spleen

Genetic Defects
(name 4, their MOAs)
Clinical Syndromes of the Thalassemias
(3)