Hemolymphatic Flashcards

(85 cards)

1
Q

Polycythemia vera (primary erythrocytosis) - treatment options?

A

Rpx phlebotomy (target PCV high end RI 58-65%)
Chemo agents (e.g. hydroxyurea) - inhibits thymidine incorporation into DNA and may directly damage DNA; G1-S phase inhibitor. SE myelosuppression, losing toenails/fur, GI, pulmonary fibrosis.
Hirudotherapy (medicinal use of leeches)
Onion powder (induce hemolysis) - case report in a cat

How well did you know this?
1
Not at all
2
3
4
5
Perfectly
2
Q

Polycythemia vera (primary erythrocytosis) - CSx and pathogenesis?

Expected BM changes?

A

Cats: CSx common - congested MM, neuro signs. +/- GI signs.
Patho - as in humans, gain-of-function mutation in exon 12 of the JAK2 gene leading to erythrocytosis only. But true underlying cause unknown.

BM - erythroid hyperplasia with normal pattern of RBC maturation

How well did you know this?
1
Not at all
2
3
4
5
Perfectly
3
Q

Which hormones have a stimulatory effect on erythropoiesis?

A

Growth hormone
Thyroxine
Glucocorticoids/cortisol

How well did you know this?
1
Not at all
2
3
4
5
Perfectly
4
Q

Define leukoreduction.

A

Methods of preserving blood to optimize its characteristics and limit degradation during storage are required. In particular, the metabolites of leukocytes such as cytokines, histamine, elastase, and acid phosphatase
seem fundamental to the development of storage lesions and post-transfusion reactions.
In humans, the leukoreduction of the human blood units reduces number of WBCs (about 1-5 x 10^6 per blood unit). The prestorage filtration, soon after the blood donation, reduces the lesions of RBCs during the storage period by removing the leukocytes before their fragmentation and avoiding the accumulation of cytokines of leukocyte origin in stored blood and blood components.

How well did you know this?
1
Not at all
2
3
4
5
Perfectly
5
Q

1) Why are RBCs susceptible to oxidative injury? Esp cats?
2) What mechanisms do RBCs have to prevent oxidative injury?
3) Clin path findings with RBC oxidative injury?

A

1) Risk factors for oxidative injury: ubiquity, proximity to oxygen, lack of nuclear material, high iron content.
Cats - feline Hb contains 8 instead of 2 oxidizable sulfhydryl groups. Also feline spleen is inefficient at removing HB. So low numbers (<10%) single, small Heinz bodies may be seen on RBCs in healthy cats.

2) Most impt mechanism = glutathione pathway. Glutathione is a tripeptide produced from cysteine, glycine & glutamate, and is primarily formed and stored by the liver, but RBCs have intracellular glutathione as a major antioxidant defense. Glutathione exerts its antioxidant effect through neutralizing ROS. Glutathione, in the presence of ROS is oxidized and the interaction of free radicals and enzymes like glutathione peroxidase form oxidized glutathione (GSSG). Oxidized glutathione can be recycled through the function of enzymes (eg, glutathione reductase) and cofactors (eg, vitamin C, vitamin E, and selenium), to be reduced to its original form (reduced glutathione, GSH).

3) Heinz bodies, eccentrocytes

How well did you know this?
1
Not at all
2
3
4
5
Perfectly
6
Q

Heinz bodies
a) Formation process?
b) DDx in cats?
c) DDx in dogs?
d) Which stain to differentiate?

A

a) HBs are produced when the sulfhydryl groups in the globin part of the Hb molecule undergoes oxidation, causing the molecule to become unstable –> damaged Hb molecules coalesce. Usually removed from RBCs by the spleen.

b) DKA > DM, hepatic lipidosis, drugs (acetaminophen), hyperT (with/without anemia), lymphoma, renal failure, propylene glycol (semi-moist food - can see up to 50% HBl; usually not anemic but reduced RBC lifespan), salmon based diets.

c) Onions/garlic, Zn, paracetamol (< cats)

d) New methylene blue (HB stain dark blue, RBC pale aqua)

How well did you know this?
1
Not at all
2
3
4
5
Perfectly
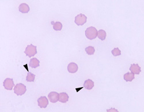
7
Q

Cat RBCs. Abnormality?

A

Heinz bodies

How well did you know this?
1
Not at all
2
3
4
5
Perfectly
8
Q

Lifespan of RBCs in dogs vs cats?

A

D: 110-120 days
C: 65-76 days

How well did you know this?
1
Not at all
2
3
4
5
Perfectly
9
Q

Name 2 congenital platelet disorders in dogs.

A

1) Platelet storage pool disease (impaired adenosine diphosphate (ADP) storage in the dense granules of platelets)

2) Glanzmann’s thrombasthenia (impaired expression of platelet integrin αIIbβ3)- Otterhounds & Great Pyrenees (reported in a cat). ITGA2B gene mutation (Premature termination of integrin protein translation)

How well did you know this?
1
Not at all
2
3
4
5
Perfectly
10
Q

What is the pathogenesis of Glanzmann’s thrombasthenia?

A

Autosomal recessive congenital platelet disorder caused by qualitative or quantitative defects of platelet GPIIb–IIIa complex (aka fibrinogen receptor), due to mutations within the gene encoding GPIIb.
Leads to impaired platelet aggregation, platelets cannot bind fibrinogen and mediate clot retraction.

How well did you know this?
1
Not at all
2
3
4
5
Perfectly
11
Q

Clinical manifestations of Glanzmann’s thrombasthenia & findings on platelet function testing?

A

Bleeding diathesis; intermittent hematoma formation and/or petechiae hemorrhage, onset of signs from young.
Whole blood platelet aggregometry - significant impairment in platelet aggregation in response to ADP and AA.

How well did you know this?
1
Not at all
2
3
4
5
Perfectly
12
Q

Dog & cat breeds affected by Glanzmann’s thrombasthenia?

A

All cases reported involve mutations in gene encoding GPIIb.

Dogs:
- Otterhounds - single nucleotide change in exon 12 –> substitution of a histidine for aspartic acid within the 3rd calcium-binding domain of GPIIb.
- Great Pyrenees (Type 1 GT - severe quantitative decrease in GPIIb–IIIa). 14-base-pair repeat in exon 13 –> frameshift –> premature stop codon
- Mixed breed dogs (case report Haysom JVIM 2016) - SNP in exon 13 –> premature stop codon at codon for arginine.

Cat: case report (non-pedigree) Li JVIM 2020.
ITGA2B gene –> frameshift –> impaired expression of platelet integrin αIIbβ3.

How well did you know this?
1
Not at all
2
3
4
5
Perfectly
13
Q

Incidence of transfusion reactions in dogs?
Most common type of transfusion reaction?
What is the predominant immunoglobulin involved in this type of TR?

A

3-28%.
Febrile non-hemolytic transfusion reaction (FHNTR) = temp increase >1degC associated with transfusion without any other explanation.
Leukocyte-derived cytokine and/or circulating anti-leukocyte antibodies in the recipient.

How well did you know this?
1
Not at all
2
3
4
5
Perfectly
14
Q

Describe major vs minor cross-matching.

A

Major CM – detects recipient antibodies against donor RBC antigens.
Minor CM test – detects antibodies in the donor serum against recipient RBC antigens.
Presence of agglutination or haemolysis indicates incompatibility.

How well did you know this?
1
Not at all
2
3
4
5
Perfectly
15
Q

Role of protein C?

Consequences of protein C deficiency?

A

Circulating, vitamin K-dependent protease produced by the liver. Activated form has a role in regulating coagulation - acts as an anticoagulant by inactivating factors Va & VIIIa –> regulates subsequent thrombin generation.

Venous thrombosis (case report in dog)

How well did you know this?
1
Not at all
2
3
4
5
Perfectly
16
Q

Which other novel erythrocyte antigens have been identified in cats outside of the AB system? What is the prevalence of these antigens (if known)?

What is the clinical significance of knowing antigen status in cats receiving blood transfusions?

A

Binvel JVIM 2020

Mik
FEA 1 - 84%
FEA 5 - 96%
And 3 other FEAs (2-4)

FEA 1-negative status was associated with a higher risk of having naturally occurring alloantibodies (NOAb) - present in 16.7% cats (vs 5.1% of FEA 1-positive cats).

FEA 1 may correspond to the Mik antigen. Some FEA 1 or Mik-negative cats may present anti-Mik or anti-FEA 1 NOAb - may mediate a clinically relevant transfusion reaction despite blood donor and recipient being AB-matched.

How well did you know this?
1
Not at all
2
3
4
5
Perfectly
17
Q

Platelet P2Y12 receptor:
- Roles?
- Which drugs target this?

A

Crucial role in ADP-mediated generation of thromboxane A2 (another impt platelet activator). Inititates signaling events that potentiate agonist-induced dense granule release and procoagulant activity.

Drugs - clopidogrel, prasugrel, cangrelor, ticagrelor

How well did you know this?
1
Not at all
2
3
4
5
Perfectly
18
Q

Platelet 𝛼IIb𝛽3 receptor
- Roles?
- Which drugs target this?

A

Integrin receptor. Binds soluble fibrinogen, vWF, fibronectin, and vitronectin»_space; essential for platelet aggregation.

Drugs - abciximab, tirofiban, eptifibatide

How well did you know this?
1
Not at all
2
3
4
5
Perfectly
19
Q

Aspirin
- MOA?
- Duration of effects?

A

Irreversibly inhibits COX-1 activity in platelets»_space; prevents production of thromboxane (TXA) A2 & PG

~7-10 days (lifespan of platelets)

How well did you know this?
1
Not at all
2
3
4
5
Perfectly
20
Q

Where is vWF produced & stored?
Differences in amts between dogs & cats?
Physiologic/pathologic factors influencing vWF fluctuations/

A

VWF - produced by endothelial cells & megakaryocytes, stored in platelet alpha granules & endothelial cells (Weibel-Palade bodies)
(NB FVIII produced by hepatocytes)

Dogs have much less vWF in platelets (3%) cf cats (20%)

Fluctuations - day-to-day fluctuations in healthy dogs. Exaggerated with pregnancy, heat (bitches), systemic illness (esp liver disease, inflammatory disorders). Measure ideally during physiologically ‘quiet’ times.

How well did you know this?
1
Not at all
2
3
4
5
Perfectly
21
Q

Types of vWD, pathogenesis & predisposed breeds?

A

Type I vWD: normal vWD but low concentration. Many breeds - Airedale, Akita, Bernese Mountain Dog, Dachshund, Dobermans, GSDs, GRs, Greyhound, Irish Wolfhound, Manchester Terrier, Schnauzer, Pembroke Welsh Corgi, Poodle, Shetland Sheepdog etc.
Clinical severity variable depending on vWF: Ag & breed. Airedales rarely bleed, Dobers tend to bleed.

Type II vWD: low vWF concentration + abnormal structure. Severe clinical presentation. German Shorthaired Pointer, German Wirehaired Pointer.

Type III vWD: vWF markedly reduced to absent. Severe clinical presentation.
Familial: Chesapeake Bay Retriever, Dutch Kooiker, Scottish Terrier, Shetland Sheepdog.
Sporadic: Blue Heeler, Border Collie, Bull Terrier, Cocker Spaniel, Labrador Retriever, mixed breeds, Pomeranian etc.

How well did you know this?
1
Not at all
2
3
4
5
Perfectly
22
Q

Describe what information can be obtained from the labelled parameters on the TEG tracing in the diagram. What associations do these parameters have to standard coagulation assays?

A

R (reaction time) = time to initial fibrin formation
- Primarily affected by coagulation factor activity (direct correlation with PT +/- aPTT)

K (clotting time) = time needed to reach a predetermined clot strength
- K dependent on coagulation factor activity + [fibrinogen] + platelets.

Angle (α) = rate of clot formation

Maximum clot strength (MA) = maximum amplitude of tracing (in mm).
- MA can be converted to G = clot strength in units of force (dynes/cm2).
- MA determined primarily by platelet number/function + [fibrinogen].

How well did you know this?
1
Not at all
2
3
4
5
Perfectly
23
Q

What is the function of P-selectin wrt platelets?

A

P-selectin = cell adhesion molecule/protein produced by activated platelets & endothelial cells. Mediates rolling of platelets & WBCs on activated endothelial cells. After platelet activation, P-selectin is translocated from intracellular granules to the external membrane. Fibrinogen then aggregates platelets by bridging glycoprotein (GP) IIb/IIIa between adjacent platelets.

How well did you know this?
1
Not at all
2
3
4
5
Perfectly
24
Q

What is the function of P-selectin wrt platelets?

A

P-selectin = cell adhesion molecule/protein produced by activated platelets & endothelial cells. Mediates rolling of platelets & WBCs on activated endothelial cells. After platelet activation, P-selectin is translocated from intracellular granules to the external membrane. Fibrinogen then aggregates platelets by bridging glycoprotein (GP) IIb/IIIa between adjacent platelets.

How well did you know this?
1
Not at all
2
3
4
5
Perfectly
25
What is ADAMTS13? Deficiency results in what condition?
Zinc-containing metalloprotease enzyme that cleaves vWf anchored on the endothelial surface, in circulation & at sites of vascular injury. Deficiency (either autoantibody-mediated destruction or gene mutation) leads to thrombotic thrombocytopenic purpura (TTP).
26
Which coagulation factors are stable vs labile in transfusion products?
Stable: II, VII, IX, X Labile: V, VIII
27
Which dot plot(s) is/are normal vs abnormal? Explain why.
**(A) is a normal dot plot** with distinct separation of cell clusters of all five cell types. Identification of each cell (dot) is indicated by the color code at the bottom (neutrophils, lymphocytes, monocytes, eosinophils, and basophils, respectively). URBC is un-lysed RBC. **Distinct lines drawn through the middle of a cell cluster is an indication the instrument classified cells incorrectly. A cell cluster should have one cell type and one color. Dividing a cell cluster into two or more colors indicates that cluster of one cell type was classified as more than one type. ** **(B) is an abnormal ProCyte dot plot**. There is a long oval cluster of cells extending up from the normal neutrophil area, to the right of the true, small cluster of blue lymphocytes and continuing up into the area to the lower right of the true red monocytes. This long oval cluster of neutrophils was classified as neutrophils (violet: lowest part) lymphocytes (blue: middle part) and monocytes (red: upper part). The blood smear had toxic immature neutrophils which appeared to have increased fluorescence. ** (C) is an abnormal ProCyte dot plot **in which the oval cluster of cells to the far right was **actually all eosinophils but about half (lower part with light blue dots) were incorrectly classified as basophils by ProCyte.** The sharp line bisecting the distinct cell cluster predicts the instrument error. There was satisfactory separation of neutrophil, lymphocyte, and monocytes clusters.
28
Role of vitamin K in hemostasis?
Co-factor for enzyme γ-glutamyl carboxylase, which modifies FII, VII, IX & X >> allows binding to Ca2+, then to phospholipid membranes on platelets. Also needed for activation of anti-clotting factors proteins C, S & Z. - Protein C inhibits FVIIIa & Va, inhibiting thrombin generationl; protein S = cofactor - Protein Z inhibits FXa
29
Inherited disorders in Vitamin K-dependent enzymes has been reported in what cat breed? Pathogenesis? Clinical manifestations?
Devon Rex. Pathogenesis: abnormal **gamma-glutamyl carboxylase (carboxylase-epoxidase)** enzyme, required for activation of vitamin K-dependent factors with vitamin K hydroquinone as a cofactor. Enzyme has abnormally decreased affinity for both vit K hydroquinone & inactive CFs >> decreased affinity can be overcome with vitamin K supplementation. CSx: hematomas, conjunctival hemorrhage, hemarthrosis, massive bleeding into body cavities. Prolonged PT & aPTT; normal fibrinogen & platelet counts. Reduced activities of CFs (II, IX, X <20% activity, VII <50% activity)
30
What BM & hemogram changes can be observed with estrogen toxicity?
Early - myeloid hyperplasia (increased M:E ratio) + peripheral neutrophilia Also increased BM plasma cells (3%+), aplastic anemia
31
What cut-off % of non-lymphoid blast populations in BM or blood is used to diagnose acute myeloid leukemia?
>20% blasts (Chronic ML - marked peripoheral left shift)
32
What populations of cats are most commonly diagnosed with MDS?
FeLV and/or FIV+
33
What are the normal values in cat/dog BM for the following: - Plasma cells - Lymphocytes - Mononuclear phagocytes - Granulocytes - M: E ratio?
- Plasma cells
34
What hemostatic abnormalities are common in cats with liver disease (cholangitis, HL or neoplasia)? What is the % of bleeding complications in cats undergoing liver bx? Which cats are most at risk?
- Vit K def (prolonged PT, decr FII, VII, X activities, increased PIVKA) - FXIII deficiency (impt in final stabilization of fibrin clot) - Decr anti-coagulants (AT, PC) - Fibrinogen variable (incr with inflammatory dz, decr with lipidosis) Minor bleeding 22% (Hct drop <10%), 13% needed major tx. Cats with obstructive jaundice most at risk for transfusion dependency (though uncommonly have prolonged PT/APTT)
35
What are systemic complications of hyperviscosity syndrome?
Common - hemostatic disorders (coating of platelets with Ig etc.) --> petechiae, epistaxis & mucosal hemorrhage Ocular changes - visual abnormalities Neuro signs (e.g. seizures), renal failure, CHF
36
What immunohistochemical stain is useful to diagnose lymphangiosarcoma in dogs?
Prospero-related homeobox gene 1 (PROX-1). Marker specific to lymphatic endothelial cells.
37
Increased levels of what amino acid may lead to thrombosis? What does this reflect?
Homocysteine. HyperHCY reflects B12 or folate deficiency (observed in 100% healthy Greyhounds, 75% Greyhounds with thrombosis in 1 paper)
38
Which clotting factors does heparin inactivate? What does it activate?
At low + high doses - inhibits Xa At high doses - inhibits FIIa, IXa, XIa, XIIa, XIIIa (fibrin-stabilising), FVa, FVIIIa Activates tPA (fibrinolytic) & release of tissue factor inhibitors
39
DDx for reticulocytosis without anaemia?
- Drive for erythropoiesis - pulmonary disease most common, CVS disease, renal hypoxia (renal/extra-renal causes) - Inappropriate EPO release (renal or hepatic tumors) - Ni convincing evidence of iron deficiency associated with blood loss - Compensated haemolytic anaemia
40
Where is EPO formed? What is the main stimulus for its production? What about other factors?
Interstitial fibroblasts surrounding the tubules in the cortex & outer medulla, epithelial cells/ Renal hypoxia (changes in blood flow) --> increased hypoxia inducible factor 1 (HIF-1) [ ] Also NE, EPI & several PGs
41
After an episode of hemolysis or blood loss, reticulocytes that appear in circulation within 48hrs reflect ........ rather than ...... so is an ureliable estimate. A CBC (Hct, Rc count) should be reassessed ...... later.
Premature release from BM Increased production 1-3 days
42
After an episode of hemolysis or blood loss, reticulocytes that appear in circulation within 48hrs reflect ........ rather than ...... so is an ureliable estimate. A CBC (Hct, Rc count) should be reassessed ...... later.
Premature release from BM Increased production 1-3 days
43
...... and ...... are required for .... for DNA synthesis and therefore RBC maturation & replication. Deficiency in these results in structural and functional changes in RBCs, resulting in …… with a ….. half-life.
Folic acid, vitamin B12, thymidine triphosphate Macrocytes (flimsy membrane and are irregular, large and oval instead of biconcave)/megaloblasts Shorter T 1/2 (1/3 to 1/2 normal) - increased fragility
44
65% of body iron is in the hemoglobin form, 15-30% ......, 4% ... and 1% ..... What are the functions of the following in iron metabolism? 1. Transferrin (plasma transport) 2. Ferritin (soluble storage) 3. Haemosiderin (insoluble storage) RBCs are maintained in the ferrous (Fe2+)/ferric (Fe3+) form. (select one)
Hemoglobin RES & hepatocytes (as ferritin) Myoglobin Heme compounds 1. Transferrin (plasma transport) 2. Ferritin (soluble storage) 3. Haemosiderin (insoluble storage) Ferrous
45
Which breed does hereditary spherocytosis affect? Mode of inheritance and pathogenesis?
Dutch GRs. Autosomal recessive. Spectrin deficiency (spectrin = main component of RBC skeleton). Increased osmotic red blood cell fragility (OF) = hallmark.
46
Hereditary stomatocytosis - which 4 dog breeds? Pathogenesis?
Alaskan malamute, Drentse partijshond, Schnauzer, Pom. Increased osmotic fragility, shortened RBC lifepsan. Alaskan Malamutes - associated with **chondrodysplasia (dwarfs).** Patho - similar to people. RBC membrane defect (aka hydrocytosis) due to **lack of stomatin (cytoskeletal protein)** > increased I/C monovalent cations Na & K > increased water content of RBCs. Schnauzers, Poms - autosomal recessive. Patho - **RBCs don't lack stomatin** but also increased I/C monovalent cations Na & K > increased water content of RBCs. Drense partijshond - HSt is associated with concurrent **hypertrophic gastritis, PCKD, regenerative macrocytic hypochromic HA.** Patho - **abnormal fatty acid composition in plasma phospholipids** of RBC membranes & correlated stomatocyte formation.
47
What are the 2 main platelet agonists? Where are they secreted & what is the final common pathway in primary haemostasis?
TXA2 & ADP - released by activated platelets (granules) Activation of the platelet integrin αIIbβ3 receptor > exposing binding domains for fibrinogen > binding results in interplatelet cohesion and aggregation
48
What is the most common type of transfusion reaction in cats & cats? What are its characteristics? Which blood products are most often associated with this reaction type?
JVECC TRACS consensus **Febrile non-hemolytic transfusion reactions (FNHTR).** (Multiple studies - incidence dogs 1.3-24%, cats 3.7-22%) - Defined as acute non-immunologic or immunologic reaction characterized by a temperature >39degC + increased temperature of >1degC from pre-transfusion temp, during or within 4 hours of the end of a transfusion. - First r/o external warming, underlying patient infection (blood cultures, PCR), AHTR, TRALI, TTI as causes. - Rxn occurs 2' to donor WBC, platelet Ag-Ab reactions, or due to transfer of pro-inflammatory mediators in stored blood products. Platelet products & non leukoreduced RBCs (in people), unknown if similar in vet med
49
What is a potential complication following massive transfusions in dogs & cats? What metabolic derangements & clinical signs are observed? What incidence has been reported in cats vs dogs? What are treatment recommendations for this complication?
JVECCS TRACS consensus HypoCa secondary to citrate toxicity. - Citrate = anti-coagulant that binds calcium. - Patients with impaired hepatic function. **Most common with FFP **(highest citrate). - Def: decreased iCa to < 0.7 mmol/L cf pre-transfusion levels. Also causes hypoMg, +/- metabolic alkalosis, hyperNa (if Na citrate used) - CSx: seizures, tremors, ptosis, vomiting (nausea), **hypotension, QT prolongation, T-wave inversion, decreased CO, tachycardia,** salivation, facial swelling. - Occurs within hrs of starting transfusion, usually stops within 1hr of stopping transfusion & resolved within 2hrs. - 6% cats, 4.7% dogs Treatment - Ca supplementation when iCa 0.9mmol/L depending on patient’s clinical status, CSx, severity of comorbidities) - IV Ca gluconate or CaCl2, 2nd IV line, don't co-admin same line as blood product
50
Define the 2 types of hemolytic transfusion reactions in cats & dogs. State 1 example of each.
JVECC TRACS consensus **Acute Hemolytic Transfusion Reaction (AHTR)** - Acute, non-infectious, immunologic/non-immunologic reaction that occurs 2' to accelerated destruction of transfused or recipient RBCs; characterized by acute hemolysis. - Occurs within 24hrs of transfusion. - E.g. naturally occurring alloantibodies in cats (type AB). **Delayed Hemolytic Transfusion Reaction (DHTR)** - Rxn 2' to lysis or accelerated clearance of transfused RBCs. - Occurs >24hrs but within 28 days of transfusion + min 2 indicators of RBC destruction + evidence of RBC alloantibodies (latter challenging to prove in vet med) - Immunologic vs non-immunologic (thermal, osmotic, mechanical, or chemical factors that damage transfused blood cells, causing delayed hemolysis.) - E.g. cats with xenotransfusion - 64% DHTR
51
Which organisms are transmissible by blood transfusion? What diagnostic tests are recommended to screen blood donors to prevent/reduce risk of transfusion-transmitted infections (TTIs)?
Dogs - Mycoplasma (hematoparvum), Haemobartonella canis, Anaplasma phagocytophilum, Rickettsia conorii, Babesia gibsoni & canis, Leishmania infantum Cats - Mycoplasma hemofelis & hemominutum, Cyatuxzoon, FeLV, FIV, Bartonella henselae PCR + serology
52
Name 3 changes/lesions that may occur with blood storage, and the potential clinical implications.
1. **Ammonia** increases esp over 1st 2 weeks of blood storage > HE signs. TRACS guidelines - in patients at risk of hyperammonemia, recommend fresh whole blood (<24hrs) or blood <7d old. 2. **2,3-Diphosphoglycerate (2,3-DPG)** decreases with blood storage (almost depleted by 2 wks). Glycolytic intermediate present in RBCs that serves as a major modifier of Hb oxygen affinity. Depletion causes oxyHb dissociation curve to shift left > increases RBC Hb O2 affinity so in theory impairs O2 offloading to tissues. 3. **Phosphofructokinase enzyme** depletion with storage. Enzyme that catalyzes the conversion of the fructose 6-phosphate intermediate to fructose 1,6-phosphate; key regulatory point for the rate of glycolysis in circulating RBCs. During storage H+ (lactic acid buildup) inhibits PFK activity & thus hydrolysis > don't produce enough ATP > eventual failure of RBC membrane Na+-K+ ATPase activity, membrane stability, glucose transport, oxidative stress defense mechanisms & membrane phospholipid distribution.
53
When should crossmatching be performed?
Ideally before every transfusion! But consensus: - May not be necessary in transfusion-naive dogs (though study showed higher Hct increases post-transfusion in X-matched transfusion naive dogs) - Strong recc dogs previously transfused >4days prior (regardless of initial DEA 1 typing/XM results) - Cats (before ALL transfusions) + major XM if transfused >2d prior (regardless of initial AB blood type results) - +/- minor XM for plasma transfusions in cats even if AB compatible (in case Mik antigen)
54
What is the predominant immunoglobulin involved in acute hemolytic transfusion reactions (AHTRs) in dogs and cats respectively?
Dog – IgG Cat – IgM
55
What is the predominant immune stimulus involved in FNHTRs in dogs and cats? What diagnostic tests may be used in people to test for presence of this (not available in vet med however)?
WBC-derived cytokine and/or circulating anti-WBC antibodies. Direct anti-globulin test (DAT), human leukocyte antigen testing (difficult to test for WBC antibodies)
56
What does Coombs test detect? What is its Sn/Sp for detection of IM hemolysis in dogs vs cats?
Presence of IgG/IgM antibody or C3 complement on RBCs
57
Which infectious agent is strongly associated with IMHAin dogs vs cats?
Dogs - Babesia gibsoni infection. More variable with B. canis, B vogeli, B conradae & other infx. Also Leishmania, D immitis & Bartonella. Cats - Mycoplasma haemofelis. (NB FeLV can cause Coombs+ result)
58
What immune system components are predominantly involved in canine IMHA?
IgG (half life 1 week) Th2 cell-mediated Type 2 HS reaction/cytotoxic (complement - note IgG activates complement)
59
What are expected direct anti-globulin (DAT) and osmotic fragility test (OFT) results for the following conditions? - IMHA (associative vs non-associative) - Inherited erythrocyte enzyme deficiencies - Hemophagocytic disorders
IMHA: DAT+ (false neg possible), OFT+ Inherited RBC enzyme def: DAT-, OFT+ Hemophagocytic disorders: DAT-, OFT- (don't involve hemolysis or RBC membranes) | Remember OFT assesses RBC membrane stability
60
For these 2 erythrocyte enzyme deficiencies: phosphofructokinase (PFK) deficiency & pyruvate kinase deficiency, describe: - Breeds affected (dogs vs cats) - Pathogenesis, causal gene mutation - Clinical manifestations - Tx/prevention (if any)
**Pyruvate kinase deficiency** - PK = enzyme found in RBCs, involved in last step of glycolysis. Enzyme deficiency > reduced RBC lifespan > anaemia. - Cats – Abyssinian, Somali, DSH. Dogs – Basenjis, WHWT, Beagles; Labs & Pugs **- PK-LR gene mutation** - Autosomal recessive -CSx: variable regen anemia, exercise intolerance. * Progressive iron overload from continuous hemolysis  hemosiderosis & hepatic hemochromatosis (v high ferritin & hepatic iron) + hepatic fibrosis. +/- myelofibrosis & sclerosis, osteosclerosis. **Phosphofructokinase deficiency** - Wachtelhunds, Eng springer spaniels, Cocker spaniels - PFK gene mutation - Autosomal recessive - BW – persistent bilirubinuria & reticulocytosis despite normal Hct because of high Hb O2 affinity of PFK-deficient RBCs - Some dogs are subclinical, but most have persistent HA with inducible hemolytic crises, secondary to exercise-induced hyperventilation alkalemia - Lack PFK activity in muscle > metabolic/exertional myopathy characterized by exercise intolerance, occasional muscle cramps, mild incr CK, pigmenturia - Prevent hemolytic crises by avoiding panting, strenuous exercise, heat.
61
Describe the 2 main mechanisms by which free Hb causes nephrotoxicity.
1. Free Hb in plasma scavenges nitric oxide (impt vasodilator of renal medulla - has high metabolic load) > renal ischemia & acute tubular injury or necrosis. 2. Free Hb is also filtered across the glomerulus (small, only 17kD) & releases iron in the tubules > free radical injury.
62
What are the main mechanisms opposing clotting (prevent inappropriate coagulation)?
1. **Anti-thrombin/heparin sulfate** (co-factor) - Heparin inactivates FXa at low doses, remaining factors (V, VIII, II, IX, XI, XII, XIII, kallikrein) at high doses, tPA 2. **Thrombomodulin/thrombin/aPC** (activated protein C) complex - Protein S associated 3. **Anti-platelet agents **- **NO, prostacyclin (PGI2)** (both are vasodilators & deactivate platelet receptors);** ADP phosphatases** (break down ADP) 4. **tPA/plasmin complex**
63
What events are involved in platelet activation & degranulation?
1. Shape change - platelets elongate with cytoplasmic extensions to increase surface area 2. Degranulation - platelets contain alpha granules (VWF, fibrinogen, FV & XIII) & dense granules (serotonin, ADP, Ca2+) 3. Phospholipid metabolism - produce TXA2 --> promotes platelet activation & aggregation by increasing expression of GP2b/3a receptors. 4. Phosphatidylserine (PS) exposure (membrane flipping) --> allows CFs to bind 5. Release of procoagulant microparticles 6. Platelet agonists (TXA2, ADP, thrombin) bind to platelets --> further activates recruited platelets 7. Conformational change in GP2b/3a receptor --> activation
64
Which coagulation factors are not synthesized by the liver?
vWF (produced in megakaryocytes, subendothelial connective tissue, endothelium), FVIII (synthesised in the liver, but also non-hepatic sinusoidal endothelial cells)
65
What is PIVKA & its diagnostic utility?
PIVKA = protein induced by vitamin K absence or antagonism. An abnormal form of prothrombin produced during vit K absence --> becomes abnormal within 12hrs. In cats with hepatic dz/IBD, more sensitive marker cf APTT or fibrinogen (also used to monitor response to vit K supplementation). Also high Sn/Sp in rodenticide tox.
66
What are the known dog RBC antigens? Which ones cause the most severe acute transfusion reactions, and what are the characteristics?
DEA 1.1, DEA 1.2, DEA 3, DEA 4, DEA 5, DEA 7 (6 & 8 not available for typing) DEA 1.1, 1.2, Dal (dog missing this have alloAb & develop reactions - esp **Dal**matians) --> acute rxns with hemoglobinemia, hemoglobinuria & icterus Remaining antigens - have reduced half-life of transfused RBCs but generally no-minimal reactions.
67
Explain how alloantibodies affect blood type administration & RBC lifespan in type A vs B vs AB cats.
**Type A cats**: 1/3 have weak (low titre) anti-B alloantibodies (shortened RBC survival). - If receive type B or AB blood --> delayed hemolysis but no-minimal reaction (transfused RBC lifespan = 2d; normal 21-29d) **Type B cats:** most have strong (high titre) anti-A alloantibodies (often fatal) **Type AB cats: **lack both A & B antigens. Can receive A, AB blood or B pRBCs (NOT B whole blood as contains anti-A Ab)
68
What is the significance of the Mik antigen and why is it important to cross match?
High frequency antigen. Cats who lack Mik develop acute hemolytic TRs. XM is the only method to detect Mik incompatibility.
69
RBC lifespan in cats vs dogs?
Dogs 120d, cats 70d
70
What stimulates hepcidin production? What are the effects of hepicidin on iron availability?
IL-6 (hepicidin is an APP). Effects: - Cellular internalization and degradation of ferroportin --> inhibits Fe transport out of enterocytes into circulation --> iron trapping & sequestration within enterocytes - Prevents release of Fe stores from macrophages & hepatocytes; blocks luminal intestinal Fe absorption.
71
Causes of pure red cell aplasia?
1' - idiopathic, immune-mediated destruction 2' - rhEPO, FeLV, chloramphenicol (cats), parvovirus
72
Best method(s) to assess iron stores in cats vs dogs?
Dogs - serum ferritin or BM (as hemosiderin) Cats - serum ferritin
73
What disease is myelodysplastic syndrome strongly associated with in cats, and what may it lead to development of?
FeLV infection. Acute myeloid leukemia.
74
What are clin path characteristics of Chédiak-Higashi syndrome? What breed(s) are overrepresented? Treatment? What other condition can mimic clin path findings?
Blue smoke coat coloured Persians. Primary immunodeficiency with recurrent neutropenia, Np function defects, platelet function defects (low dense granule number, failure to secrete ADP and serotonin, abnormal aggregation) Blood smear - granulocytes (Np ,Eos) contain abnormally fused granules. Tx: G-CSF may partially corret Np function defects. Overall good prognosis. Birman cat granulation anomaly - also causes abnormal Np cytoplasmic granulation, toxic neutrophil granulation, + mucopolysaccharidosis.
75
Trapped neutrophil syndrome - Causal gene mutation, mode of inheritance - Clin path changes - Which breed(s)
Vesicle Protein Sorting 13B (VPS13B) gene. Autosomal recessive. Border Collies. Peripheral neutropenia with a degenerative L shift & marked monocytosis, myeloid hyperplasia in the BM with increased mature Np. Small size, recurrent bacterial/other infections, adverse vax reactions, abnormal craniofacial development (severe).
76
Cyclic Hematopoiesis/Neutropenia occurs in which breed? Pathogenesis including causal gene mutation?
Gray Collies (gray coat color results from defect in melanocytes) AP3B1 gene (insertional mutation). Autosomal recessive. Defect in trafficking of lysosomal membrane proteins. Cycling of neutrophil and other blood cell counts ~q2wks. Np are deficient in neutrophil elastase & myeloperoxidase. 2' infections common, most die by 6mo. Tx with recombinant G-CSF eliminated neutropenic episodes but did not correct functional defects (1 report)
77
Leukocyte adhesion deficiency - Which breed - Pathogenesis - Clin path findings - Prognosis
Irish Setters Mutation(s) in leukocyte adhesion proteins > prevent normal adherence and migration of WBCs through luminal endothelium. Defect in beta-2 subunit (= CD18) of the heterodimeric integrins --> Np function defects. Marked peripheral neutrophilia with nuclear hypersegmentation, but absence of neutrophils in tissues. CSx: omphalitis, lymphadenopathy, low BW, febrile infections. Px poor, abx generally ineffective, most die/euthanized by 2-3mo
78
What is glycoprotein IIb/IIIa (αIIbβ3) and its key roles/significance in disease?
Integrin; platelet membrane receptor. - Binding site for fibrinogen. - Binding site for vWF (as GpIIb-IIIa-fibrinogen complex) - Target for certain anti-platelet drugs (e.g. P2Y12 inhibitors - clopidogrel = ADP receptor blocker > induces conformational change in GPIIb/3a receptor) - IMTP - IgG antibodies form against this receptor.
79
Where is vWF stored? Which receptor does vWF bind to on platelets? Von willebrand disease - Types - Mode of inheritance - Predisposed breeds
Platelets (alpha granules), endothelial cells (in special organelles called Weibel-Palade bodies) GP1b-IX-V (glycoprotein 1b) receptor. Type 1: low [ ] of normal vWF. Doberman, GSD etc. Autosomal dominant with incomplete penetrance. Mild clinical severity. Type 2: low-normal [ ] of abnormal vWF (lack HMW multimers which are more effective in hemostasis). GSP, GWPs. Autosomal recessive. Mild-moderate clinical severity. Type 3: low-absent [ ] of vWF. Chesapeake bay retriever, Dutch Kooiker, Scotties, Shelties. Typically vWF: Ag <1%.
80
Which hormones have a stimulatory effect on erythropoiesis?
Growth hormone Thyroxine Glucocorticoids
81
When is leukoreduction preferred (pre or post storage) and why?
Kuo VCNA 2020 Prestorage (at time of collection) preferred. As LR removes leukocytes before they undergo apoptosis or necrosis, and before they can release breakdown products and inflammatory compounds such as histamine, plasminogen activator inhibitor-1, and myeloperoxidase. Also improves RBC survival & reduces post-transfusion immunosuppression.
82
What are the 3 main inhibitors of fibrinolysis and their MOA?
**PAI-1 (plasminogen activator inhibitor-1)** - Main inhibitor of tPA & uPA --> most significant inhibitor of fibrinolysis. **Alpha 2-antiplasmin** - Binds to & neutralizes active plasmin + prevent absorption of plasminogen onto the fibrin clot. **TAFIa (thrombin-activable fibrinolysis inhibitor)** - Removes carboxyl-terminal lysine groups from fibrin strands --> prevents binding of plasminogen & tPA to thrombus
83
(A) is a type of fibrinogen degradation product that is only generated from X-linked fibrin, with a short half-life of ....... indicating recent fibrinolysis. However, it has poor diagnostic ...... andshould not be used to guide decisions for anti-fibrinolytic therapy. List some causes of increased concentrations of (A).
(A) D-dimers 5 hours Specificity - IMHA, hepatic, renal disease - Heart failure - Neoplasia - Internal haemorrhage - Post-sx (healing) - DIC - Thromboembolic disease (hyperfibrinolysis = initial protective mechanism)
84
Name 2 anti-fibrinolytic drugs & their MOA? (can be similar)
Epsilon-aminocaproic acid (EACA), Tranexamic acid MOA: lysine analogues > competitively bind C-terminal lysine sites on plasminogen, preventing its binding to fibrin > inhibits plasmin formation
85
What is the predominant immunoglobulin involved in acute hemolytic transfusion reactions (AHTRs) in dogs and cats, respectively?
Dog – IgG Cat – IgM