Hemolymphatic Flashcards

(38 cards)

1
Q

Polycythemia vera (primary erythrocytosis) - treatment options?

A

Rpx phlebotomy
Chemo agents (e.g. hydroxyurea)
Hirudotherapy (medicinal use of
leeches)
Onion powder (induce hemolysis) - case report in a cat

How well did you know this?
1
Not at all
2
3
4
5
Perfectly
2
Q

Polycythemia vera (primary erythrocytosis) - CSx and pathogenesis?

A

Cats: CSx common - congested MM, neuro signs. +/- GI signs.
Patho - as in humans, gain-of-function mutation in exon 12 of the JAK2 gene
leading to erythrocytosis only. But true underlying cause unknown.

How well did you know this?
1
Not at all
2
3
4
5
Perfectly
3
Q

Define leukoreduction.

A

Methods of preserving blood to optimize its characteristics and limit degradation during storage are required. In particular, the metabolites of leukocytes such as cytokines, histamine, elastase, and acid phosphatase
seem fundamental to the development of storage lesions and post-transfusion reactions.
In humans, the leukoreduction of the human blood units reduces number of WBCs (about 1-5 x 10^6 per blood unit). The prestorage filtration, soon after the blood donation,
reduces the lesions of RBCs during the storage period by removing the leukocytes before their fragmentation and avoiding the accumulation of cytokines of leukocyte origin in stored blood and blood components.

How well did you know this?
1
Not at all
2
3
4
5
Perfectly
4
Q

1) Why are RBCs susceptible to oxidative injury? Esp cats?
2) What mechanisms do RBCs have to prevent oxidative injury?
3) Clin path findings with RBC oxidative injury?

A

1) Risk factors for oxidative injury: ubiquity, proximity to oxygen, lack of
nuclear material, high iron content.
Cats - feline Hb contains 8 instead of 2 oxidizable sulfhydryl groups. Also feline spleen is inefficient at removing HB. So low numbers (<10%) single, small Heinz bodies may be seen on RBCs in healthy cats.

2) Most impt mechanism = glutathione pathway. Glutathione is a tripeptide produced from cysteine,
glycine & glutamate, and is primarily formed and stored by the liver,
but RBCs have intracellular glutathione as a major antioxidant
defense. Glutathione exerts its antioxidant effect through neutralizing ROS. Glutathione, in the presence of ROS is oxidized and the interaction of free radicals and enzymes like glutathione peroxidase form oxidized glutathione (GSSG). Oxidized glutathione can be recycled through the function of enzymes (eg, glutathione reductase) and cofactors (eg, vitamin C, vitamin E, and selenium), to be reduced to its original form (reduced glutathione, GSH).

3) Heinz bodies, eccentrocytes

How well did you know this?
1
Not at all
2
3
4
5
Perfectly
5
Q

Heinz bodies
a) Formation process?
b) DDx in cats?
c) DDx in dogs?
d) Which stain to differentiate?

A

a) HBs are produced when the sulfhydryl groups in the globin part of the Hb molecule undergoes oxidation, causing the molecule to become unstable –> damaged Hb molecules coalesce. Usually removed from RBCs by the spleen.

b) DKA > DM, hepatic lipidosis, drugs (acetaminophen), hyperT (with/without anemia), lymphoma, renal failure, propylene glycol (semi-moist food - can see up to 50% HBl; usually not anemic but reduced RBC lifespan), salmon based diets.

c) Onions/garlic, Zn, paracetamol (< cats)

d) New methylene blue (HB stain dark blue, RBC pale aqua)

How well did you know this?
1
Not at all
2
3
4
5
Perfectly
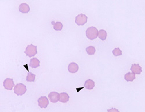
6
Q

Cat RBCs. Abnormality?

A

Heinz bodies

How well did you know this?
1
Not at all
2
3
4
5
Perfectly
7
Q

Lifespan of RBCs in dogs vs cats?

A

D: 110-120 days
C: 65-76 days

How well did you know this?
1
Not at all
2
3
4
5
Perfectly
8
Q

Name 2 congenital platelet disorders in dogs.

A

1) Platelet storage pool disease (impaired adenosine diphosphate (ADP) storage in the dense granules of platelets)

2) Glanzmann’s thrombasthenia (impaired expression of platelet integrin αIIbβ3)

How well did you know this?
1
Not at all
2
3
4
5
Perfectly
9
Q

What is the pathogenesis of Glanzmann’s thrombasthenia?

A

Autosomal recessive congenital platelet disorder caused by qualitative or quantitative defects of platelet GPIIb–IIIa complex (aka fibrinogen receptor), due to mutations within the gene encoding GPIIb.
Leads to impaired platelet aggregation, platelets cannot bind fibrinogen and mediate clot retraction.

How well did you know this?
1
Not at all
2
3
4
5
Perfectly
10
Q

Clinical manifestations of Glanzmann’s thrombasthenia & findings on platelet function testing?

A

Bleeding diathesis; intermittent hematoma formation and/or petechiae hemorrhage, onset of signs from young.
Whole blood platelet aggregometry - significant impairment in platelet aggregation in response to ADP and AA.

How well did you know this?
1
Not at all
2
3
4
5
Perfectly
11
Q

Dog & cat breeds affected by Glanzmann’s thrombasthenia?

A

All cases reported involve mutations in gene encoding GPIIb.

Dogs:
- Otterhounds - single nucleotide change in exon 12 –> substitution of a histidine for aspartic acid within the 3rd calcium-binding domain of GPIIb.
- Great Pyrenees (Type 1 GT - severe quantitative decrease in GPIIb–IIIa). 14-base-pair repeat in exon 13 –> frameshift –> premature stop codon
- Mixed breed dogs (case report Haysom JVIM 2016) - SNP in exon 13 –> premature stop codon at codon for arginine.

Cat: case report (non-pedigree) Li JVIM 2020.
ITGA2B gene –> frameshift –> impaired expression of platelet integrin αIIbβ3.

How well did you know this?
1
Not at all
2
3
4
5
Perfectly
12
Q

Incidence of transfusion reactions in dogs?
Most common type of transfusion reaction?

A

3-28%.
Febrile non-hemolytic reaction.

How well did you know this?
1
Not at all
2
3
4
5
Perfectly
13
Q

Describe major vs minor cross-matching.

A

Major CM – detects recipient antibodies against donor RBC antigens.
Minor CM test – detects antibodies in the donor serum against recipient RBC antigens.
Presence of agglutination or haemolysis indicates incompatibility.

How well did you know this?
1
Not at all
2
3
4
5
Perfectly
14
Q

Role of protein C?

Consequences of protein C deficiency?

A

Circulating, vitamin K-dependent protease produced by the liver. Activated form has a role in regulating coagulation - acts as an anticoagulant by inactivating factors Va & VIIIa –> regulates subsequent thrombin generation.

Venous thrombosis (case report in dog)

How well did you know this?
1
Not at all
2
3
4
5
Perfectly
15
Q

Which other novel erythrocyte antigens have been identified in cats outside of the AB system? What is the prevalence of these antigens (if known)?

What is the clinical significance of knowing antigen status in cats receiving blood transfusions?

A

Binvel JVIM 2020

Mik
FEA 1 - 84%
FEA 5 - 96%
And 3 other FEAs (2-4)

FEA 1-negative status was associated with a higher risk of having naturally occurring alloantibodies (NOAb) - present in 16.7% cats (vs 5.1% of FEA 1-positive cats).

FEA 1 may correspond to the Mik antigen. Some FEA 1 or Mik-negative cats may present anti-Mik or anti-FEA 1 NOAb - may mediate a clinically relevant transfusion reaction despite blood donor and recipient being AB-matched.

How well did you know this?
1
Not at all
2
3
4
5
Perfectly
16
Q

Platelet P2Y12 receptor:
- Roles?
- Which drugs target this?

A

Crucial role in ADP-mediated generation of thromboxane A2 (another impt platelet activator). Inititates signaling events that potentiate agonist-induced dense granule release and procoagulant activity.

Drugs - clopidogrel, prasugrel, cangrelor, ticagrelor

17
Q

Platelet 𝛼IIb𝛽3 receptor
- Roles?
- Which drugs target this?

A

Integrin receptor. Binds soluble fibrinogen, vWF, fibronectin, and vitronectin»_space; essential for platelet aggregation.

Drugs - abciximab, tirofiban, eptifibatide

18
Q

Aspirin
- MOA?
- Duration of effects?

A

Irreversibly inhibits COX-1 activity in platelets»_space; prevents production of thromboxane (TXA) A2 & PG

~7-10 days (lifespan of platelets)

19
Q

Where is vWF produced & stored?
Differences in amts between dogs & cats?
Physiologic/pathologic factors influencing vWF fluctuations/

A

VWF - produced by endothelial cells & megakaryocytes, stored in platelet alpha granules & endothelial cells (Weibel-Palade bodies)
(NB FVIII produced by hepatocytes)

Dogs have much less vWF in platelets (3%) cf cats (20%)

Fluctuations - day-to-day fluctuations in healthy dogs. Exaggerated with pregnancy, heat (bitches), systemic illness (esp liver disease, inflammatory disorders). Measure ideally during physiologically ‘quiet’ times.

20
Q

Types of vWD, pathogenesis & predisposed breeds?

A

Type I vWD: normal vWD but low concentration. Many breeds - Airedale, Akita, Bernese Mountain Dog, Dachshund, Dobermans, GSDs, GRs, Greyhound, Irish Wolfhound, Manchester Terrier, Schnauzer, Pembroke Welsh Corgi, Poodle, Shetland Sheepdog etc.
Clinical severity variable depending on vWF: Ag & breed. Airedales rarely bleed, Dobers tend to bleed.

Type II vWD: low vWF concentration + abnormal structure. Severe clinical presentation. German Shorthaired Pointer, German Wirehaired Pointer.

Type III vWD: vWF markedly reduced to absent. Severe clinical presentation.
Familial: Chesapeake Bay Retriever, Dutch Kooiker, Scottish Terrier, Shetland Sheepdog.
Sporadic: Blue Heeler, Border Collie, Bull Terrier, Cocker Spaniel, Labrador Retriever, mixed breeds, Pomeranian etc.

21
Q

Describe what information can be obtained from the labelled parameters on the TEG tracing in the diagram. What associations do these parameters have to standard coagulation assays?

A

R (reaction time) = time to initial fibrin formation
- Primarily affected by coagulation factor activity (direct correlation with PT +/- aPTT)

K (clotting time) = time needed to reach a predetermined clot strength
- K dependent on coagulation factor activity + [fibrinogen] + platelets.

Angle (α) = rate of clot formation

Maximum clot strength (MA) = maximum amplitude of tracing (in mm).
- MA can be converted to G = clot strength in units of force (dynes/cm2).
- MA determined primarily by platelet number/function + [fibrinogen].

22
Q

What is the function of P-selectin wrt platelets?

A

P-selectin = cell adhesion molecule/protein produced by activated platelets & endothelial cells. Mediates rolling of platelets & WBCs on activated endothelial cells. After platelet activation, P-selectin is translocated from intracellular granules to the external membrane. Fibrinogen then aggregates platelets by bridging glycoprotein (GP) IIb/IIIa between adjacent platelets.

23
Q

What is the function of P-selectin wrt platelets?

A

P-selectin = cell adhesion molecule/protein produced by activated platelets & endothelial cells. Mediates rolling of platelets & WBCs on activated endothelial cells. After platelet activation, P-selectin is translocated from intracellular granules to the external membrane. Fibrinogen then aggregates platelets by bridging glycoprotein (GP) IIb/IIIa between adjacent platelets.

24
Q

What is ADAMTS13?
Deficiency results in what condition?

A

Zinc-containing metalloprotease enzyme that cleaves vWf anchored on the endothelial surface, in circulation & at sites of vascular injury.

Deficiency (either autoantibody-mediated destruction or gene mutation) leads to thrombotic thrombocytopenic purpura (TTP).

25
Which coagulation factors are stable vs labile in transfusion products?
Stable: II, VII, IX, X Labile: V, VIII
26
Which dot plot(s) is/are normal vs abnormal? Explain why.
**(A) is a normal dot plot** with distinct separation of cell clusters of all five cell types. Identification of each cell (dot) is indicated by the color code at the bottom (neutrophils, lymphocytes, monocytes, eosinophils, and basophils, respectively). URBC is un-lysed RBC. **Distinct lines drawn through the middle of a cell cluster is an indication the instrument classified cells incorrectly. A cell cluster should have one cell type and one color. Dividing a cell cluster into two or more colors indicates that cluster of one cell type was classified as more than one type. ** **(B) is an abnormal ProCyte dot plot**. There is a long oval cluster of cells extending up from the normal neutrophil area, to the right of the true, small cluster of blue lymphocytes and continuing up into the area to the lower right of the true red monocytes. This long oval cluster of neutrophils was classified as neutrophils (violet: lowest part) lymphocytes (blue: middle part) and monocytes (red: upper part). The blood smear had toxic immature neutrophils which appeared to have increased fluorescence. ** (C) is an abnormal ProCyte dot plot **in which the oval cluster of cells to the far right was **actually all eosinophils but about half (lower part with light blue dots) were incorrectly classified as basophils by ProCyte.** The sharp line bisecting the distinct cell cluster predicts the instrument error. There was satisfactory separation of neutrophil, lymphocyte, and monocytes clusters.
27
Role of vitamin K in hemostasis?
Co-factor for enzyme γ-glutamyl carboxylase, which modifies FII, VII, IX & X >> allows binding to Ca2+, then to phospholipid membranes on platelets. Also needed for activation of anti-clotting factors proteins C, S & Z. - Protein C inhibits FVIIIa & Va, inhibiting thrombin generationl; protein S = cofactor - Protein Z inhibits FXa
28
Inherited disorders in Vitamin K-dependent enzymes has been reported in what cat breed? Pathogenesis? Clinical manifestations?
Devon Rex. Pathogenesis: abnormal **gamma-glutamyl carboxylase (carboxylase-epoxidase)** enzyme, required for activation of vitamin K-dependent factors with vitamin K hydroquinone as a cofactor. Enzyme has abnormally decreased affinity for both vit K hydroquinone & inactive CFs >> decreased affinity can be overcome with vitamin K supplementation. CSx: hematomas, conjunctival hemorrhage, hemarthrosis, massive bleeding into body cavities. Prolonged PT & aPTT; normal fibrinogen & platelet counts. Reduced activities of CFs (II, IX, X <20% activity, VII <50% activity)
29
What BM & hemogram changes can be observed with estrogen toxicity?
Early - myeloid hyperplasia (increased M:E ratio) + peripheral neutrophilia Also increased BM plasma cells (3%+), aplastic anemia
30
What cut-off % of non-lymphoid blast populations in BM or blood is used to diagnose acute myeloid leukemia?
>20% blasts (Chronic ML - marked peripoheral left shift)
31
What populations of cats are most commonly diagnosed with MDS?
FeLV and/or FIV+
32
What are the normal values in cat/dog BM for the following: - Plasma cells - Lymphocytes - Mononuclear phagocytes - Granulocytes - M: E ratio?
- Plasma cells
33
What hemostatic abnormalities are common in cats with liver disease (cholangitis, HL or neoplasia)? What is the % of bleeding complications in cats undergoing liver bx? Which cats are most at risk?
- Vit K def (prolonged PT, decr FII, VII, X activities, increased PIVKA) - FXIII deficiency (impt in final stabilization of fibrin clot) - Decr anti-coagulants (AT, PC) - Fibrinogen variable (incr with inflammatory dz, decr with lipidosis) Minor bleeding 22% (Hct drop <10%), 13% needed major tx. Cats with obstructive jaundice most at risk for transfusion dependency (though uncommonly have prolonged PT/APTT)
34
What are systemic complications of hyperviscosity syndrome?
Common - hemostatic disorders (coating of platelets with Ig etc.) --> petechiae, epistaxis & mucosal hemorrhage Ocular changes - visual abnormalities Neuro signs (e.g. seizures), renal failure, CHF
35
What immunohistochemical stain is useful to diagnose lymphangiosarcoma in dogs?
Prospero-related homeobox gene 1 (PROX-1). Marker specific to lymphatic endothelial cells.
36
Increased levels of what amino acid may lead to thrombosis? What does this reflect?
Homocysteine. HyperHCY reflects B12 or folate deficiency (observed in 100% healthy Greyhounds, 75% Greyhounds with thrombosis in 1 paper)
37
Which clotting factors does heparin inactivate? What does it activate?
At low + high doses - inhibits Xa At high doses - inhibits FIIa, IXa, XIa, XIIa, XIIIa (fibrin-stabilising), FVa, FVIIIa Activates tPA (fibrinolytic) & release of tissue factor inhibitors
38
DDx for reticulocytosis without anaemia?
- Drive for erythropoiesis - pulmonary disease most common, CVS disease, renal hypoxia (renal/extra-renal causes) - Inappropriate EPO release (renal or hepatic tumors) - Ni convincing evidence of iron deficiency associated with blood loss - Compensated haemolytic anaemia