Hemostasis Testing Flashcards

(42 cards)

1
Q

Hemostasis
+
Primary v Secondary

A

arrest of bleeding or interruption of blood flow

abnormalities cause hemorrhage or prothrombus

Primary = endothelial response + formation of platelet plug
Secondary = coagulastion cascade + clot resolution

How well did you know this?
1
Not at all
2
3
4
5
Perfectly
2
Q

Major players in hemostasis

A

blood vessels
platelets
coagulation factors
fibronilytic factors

How well did you know this?
1
Not at all
2
3
4
5
Perfectly
3
Q

Healthy Endothelium

A

Normally in antithrombotic state

1) antioplatelet factors:
- blo subendothelial extracellular matrix
- produce prostacyclin + NO

2) anticoagulant factors
- heparin like molecules
- thrombomodulin
- tissue factor pathway inhibitor

3) fibrinolytic factors
- tissue-type plasminogen activator

How well did you know this?
1
Not at all
2
3
4
5
Perfectly
4
Q

Injured Endothelium

A

local neurologic response after injury πŸ‘’ arteriolar constriction
- attempt to ↓ defect size

prothrombotic properties during trauma + inflammation

subendothelial EC matrix now exposed to platelets πŸ‘’ adhesion thru vWF
- vWF synthesized + stored in endothelial cells

procoagulant tissue factor produced in response to inflammation

release of plasminogen activator inhibitor
- inhibits fibrinolysis
- favors thrombosis

How well did you know this?
1
Not at all
2
3
4
5
Perfectly
5
Q

Megakaryopoiesis + Regulation

A
  • almost all mature forms in marrow = < 1% nucleated cells
  • multinucleate cell with lobulated nucleus = forms by endomitosis
  • maturation time 2-10 days

Thrombopoietin
- from liver + kidneys + marrow stromal cells
- produced at constant rate in health
- πŸ‘‘ # of progenitor cells
- πŸ‘‘ megakaryocyte size + ploidy
- πŸ‘‘ releases of platelets

πŸ‘‘ thrombopoeitin production stimulated by:
- πŸ‘“ in megakaryocyte + platelet mass
- IL-6, GM-CSF, stem cell factor

How well did you know this?
1
Not at all
2
3
4
5
Perfectly
6
Q

Platelets

A
  • anucleate cytoplasmic fragments
  • released directly into blood
  • 30-40% in spleen
  • life span = 5-9 days
  • removal πŸ‘’ phagocytosis by macrophages
How well did you know this?
1
Not at all
2
3
4
5
Perfectly
7
Q

Avian + Reptiles + Fish + Amphibians
Thrombocytes

A

platelets known as thrombocytes instead

  • nucleated
  • high nuclear to cytoplasmic ratio
  • may be difficult to distinguish from lymphocytes
  • from distinct mononuclear cell line
How well did you know this?
1
Not at all
2
3
4
5
Perfectly
8
Q

Platelet Phases of Hemostasis

A

1) Adhesion πŸ‘’ mediated primarily by vWF
- bridge between platelet + exposed collagen
- release from endothelial cells + platelets

2) Shape Change
- from discound to spherical
- formation of pseudopodia

3) Aggregation
- activated platelet receoptor binds fibrinogen + vWF πŸ‘’ forms bridge between platelets
- Thromboxane A2 amplifies πŸ‘’ produced during platelet activation

4) Granule Release
- activates platelet phospholipases πŸ‘’ TXA2 production
- release Ca2+ πŸ‘’ componenet of coag cascade
- release of factors V + XI + vWF
- translocation of phosphotidylserine πŸ‘’ binds Ca2+ = focused coagulation

How well did you know this?
1
Not at all
2
3
4
5
Perfectly
9
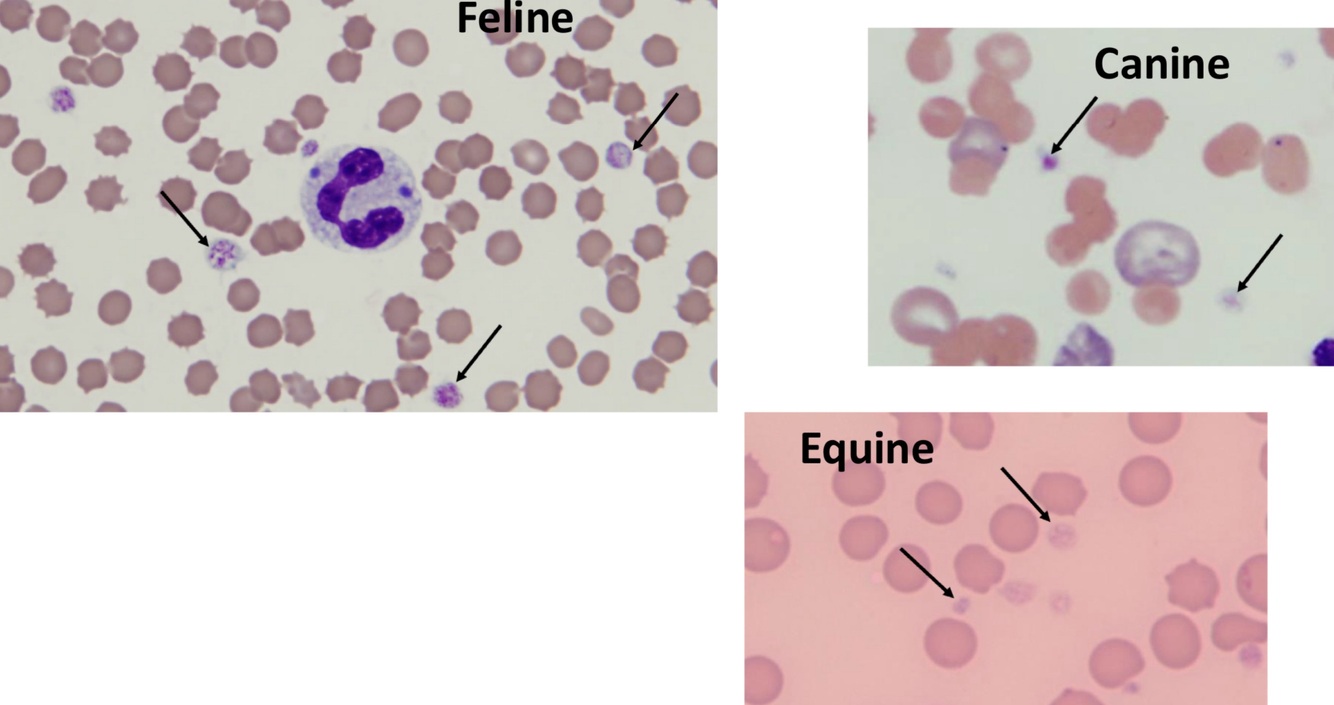
Q

Platelet Count

A

measured in EDTA anticoagulated blood

clumping may falsely πŸ‘“
- very common in cats + cattle

can be estimated on blood smear
- avg # in monolayer (100X objective) x 15-20K
- can look for large platelets

< 20,000/uL concern for spontaneous bleeding

May get other parameters:
- mean platelet volume (MPV)
- platelet distribution width (PDW)
- thrombocrit

How well did you know this?
1
Not at all
2
3
4
5
Perfectly
10
Q

Thrombocytopenia Mechanisms

A

1) πŸ‘“ production
- drugs = chemo, chloramphenicol, sulfa drugs, etc.
- toxins = aflatoxin, bracken fern
- infectious = FeLV, parvo, ricketssial diseases etc.
- proliferation of neoplastic cells in bone marrow

2) πŸ‘‘ destruction
- immune mediated = IMHA or ricketssial disease
- increased activation = DIC, infection

3) Sequestration
- splenic congestion/neoplasia

4) πŸ‘‘ consumption/utilization
- hemorrhage/trauma rare
- DIC

How well did you know this?
1
Not at all
2
3
4
5
Perfectly
11
Q

Macrothrombocytopenia of Cavalier King Charles Spaniels

A

release of platelets from megakaryocytes abnormal

counts 30,000 - 100,000/uL (200K-700K/uL

have large platelets

plateletcrit often normal

doesn’t cause bleeding

How well did you know this?
1
Not at all
2
3
4
5
Perfectly
12
Q

Thrombocytosis Mechanisms

A

1) splenic contraction

2) reactive thrombocytosis
- inflammation
- neoplasia
- iron deficiency

3) megakaryocytic leukemia / myeloproliferative disorders

How well did you know this?
1
Not at all
2
3
4
5
Perfectly
13
Q

Thrombopathy

A

functional platelet disorder

How well did you know this?
1
Not at all
2
3
4
5
Perfectly
14
Q

Buccal Mucosal Bleeding Time

A

evaluates primary hemostasis

requires special lancet tool

do not use if thrombocytopenic

helpful to confirm thrombopathy πŸ‘’ may be prolonged in von Willebrand disease

in dogs πŸ‘’ usually < 4 min

How well did you know this?
1
Not at all
2
3
4
5
Perfectly
15
Q

Von Willebrand Disease (vWD)

A

vWF in entholial cells + platelets
- responsible for platelet adherance
- binds Factor VIII πŸ‘’ πŸ‘‘ half-life

small + medium + large multimers
- large most active

common in dogs, rare in other species

clinical signs when conc. < 20-35%

3 types

How well did you know this?
1
Not at all
2
3
4
5
Perfectly
16
Q

3 types of vWD

A

Type I = πŸ‘“ in multimer sizes
- plasma conc. < 50%
- multimers present structurally + functionally normal
- majority of canine cases (doberman pinschers)

Type II = disproportionate loss of large multimers
- Rare

Type III = severe decreases in all multimers
- conc. often < 0.1% of normal

How well did you know this?
1
Not at all
2
3
4
5
Perfectly
17
Q

vWD testing

A

need plasma sample
- citrate or EDTA sample
- free of clots + hemolysis
- recommended to seperate plasma, place in plastic tube + freeze

measured by species specific Ab to vWF
multimeric analsysis possible
most dogs that bleed have values < 35%
genetic testing available

18
Q

Intrinsic Disorders of Platelet Function

A

Chediak-Higashi syndrome
- platelets lack dense granules πŸ‘’ lack platelet/coagulation activators

Cyclic Hematopoiesis of Grey Collies
- platelet reactivity to some activators defective
- dense granules absent

19
Q

Acquired Disorders of Platelet Function

A

Cyclooxygenase inhibiting drugs
- inhibits TXA2 production
- aspirin = irreversible (up to 5 days)
- non-selective NSAIDS = reversible (usually only hours)

Uremia
- inhibits fibrinogen binding
- alters interaction with vWF
- πŸ‘‘ NO + prostacyclin activity

Hyperglobulinemia
- interferes with platelet adhesion

20
Q

Clinical Signs of Primary Hemostatic Disorder

A
  • petechia
  • ecchymoses
  • bruising
  • spontaneous hemorrhage when platelets < 20K/uL
  • vWD πŸ‘’ mucosal hemorrhage, prolonged bleeding from wounds
21
Q

Clinical Signs of Secondary Hemostatic Disorder

A

large accumulations of blood:
- hematoma
- bleeding into cavities
- melena
- rebleeding from wounds
- hematuria

22
Q

Coagulation

A

activation of pathways
- intrinsic with collagen exposure
- extrinsic with endothelial cell disruption

activation of FX
formation of thrombin
formation of fibrin

23
Q

Intrinsic Pathway

Coagulation

A

stimulated by exposure of collagen (subendothelial ECM)
- negatively charged surface

Factor XII (FXII) initiates πŸ‘’ activated by contact with neg. charges

cascade of enzymatic reaction πŸ‘’ results in activation FX

24
Q

Extrinsic Pathway

Coagulation

A

stimulated by tissue factor:
- from damaged tissue
- from activated cells (monocytes/macrophages)

TF + activated FVII activate FX
- can also activate FIX

Factor VII πŸ‘’ shortest half-life of factors

25
Common Pathway | Coagulation
starts with activation of FX converts prothrombin to thrombin w/ activated FV - thrombin feeds back to activate FV + FVIII + FXI thrombin cleaves fibrinogen to fibrin thrombin activates FXIII πŸ‘’ cross-links fibrin
26
Inhibitors of Coagulation
**Antithrombin III (ATIII)** - produced by hepatocytes - binds + inactivates enzymes πŸ‘’ thrombin (FIIa), FIXa, Fxa, FXIa, FXIIa - activity enhanced by heparin Protein C - produced by hepatocytes - activated by thrombin/thrombomodulin complex - inactivates FVa + FVIIIa πŸ‘’ help from protein S Tissue factor pathway inhibitor - made by endothelial cells, monocytesm, macrophages, hepatocytes - inhibits TF-FVIIa in presense of Ca2+
27
Fibrinolysis
Plasmin degrades fibrin - releases FDPs - D-dimers specific for fibrinolysis of cross-linked fibrin plasminogen binds fibrin - tissue plasminogen activator converts plasminogen to plasmin πŸ‘’ from endothelial cells - digestion of fibrin opens new sites for plasminogen binding - also degrades πŸ‘’FVa, FVIIIa, vWF
28
Coagulation + Fibrinolysis testing
**Sodium citrate blood tube πŸ‘’ light blue tube** - citrate chelates calcium - **blood to anticoagulant ratio 9:1 ** - clean stick πŸ‘’ tissue damage / hemolysis activate clotting - immediate gentle mixing - aPTT, PT, TT, fibrinogen, FDPs, D-dimers Tests: aPPT - activated partial thromboplastin time PT - prothrombin time TT - thrombin time ACT - activated clotting time Fibrinogen FDPs - fibrin(ogen) degradation products D-dimers specific factor test
29
Activated Partial Thromboplastin Time (aPTT)
**intrinsic + common pathway** time in seconds til clot formation: - kaolin - platelet phospholipid - calcium **πŸ‘‘ time with factor deficiency in either pathway** Prolonged: - factor activity < 30% - affected hemophilliacs - hereditary FXI deficiency - hereditary FXII deficiency πŸ‘’ no clinical bleeding tendencies, birds + reptiles naturally lack FXII Shortened: - inflammation πŸ‘’ πŸ‘‘ in fibrinogen + FVIII ## Footnote tip : brad aP**I**TT
30
Prothrombin Time (PT)
**extrinsic + common pathway** time in seconds til clot formation: - tissue factor - calcium **πŸ‘‘ time with factor deficiency in either pathway** ## Footnote tip : P**E**T
31
Prolongation of BOTH aPTT + PT
- deficiency in common pathway - acquired vit. K deficiency/antagonism - disseminated intravascular coagulation (DIC) - liver failure - πŸ‘“ fibrinogen (< 50mg/dL) - heparin treatment
32
Thrombin Time (TT)
**measure of functional fibrinogen** - add thrombin + Ca2+ Prolonged: - hypofibrinogenemia - dysfibrinogenemia - πŸ‘‘ FDPs can measure fibrinogen conc. directly - heat precipitation not accurate for πŸ‘“ ## Footnote *not actually measuring thrombin*
33
Activated clotting time (ACT)
**intrinsic + common pathway** measures time for fresh whole blood to clot - exposure to contact activator πŸ‘’ glass tube, diatomaceous earth prolonged: **- severe factor activity < 10%** - severe thrombocytopenia - therapy πŸ‘’ heparin, aspirin therapy - inadequate warming of tube
34
Fibrin(ogen) Degradation Productions (FDPs)
degradation of fibrinogen + fibrin by plasmin πŸ‘‘ with DIC
35
D-dimers
degradation of cross-linked fibrin πŸ‘‘ with DIC πŸ‘’ more specific than FDPs
36
Coagulopathies
hereditary disorders - hemophilia A + B - other factors less common acquired disorders: - vit. K deficiency or antagonism - liver disease - DIC
37
Hemophilia A
**deficiency FVIII** - **most common inherited coagulopathy** - commonly affects GSDs clinical signs depend of factor activity - < 30% prolong aPTT - carriers 40-60% activity - spontaneous bleeding possible 2-5%, likely < 2% - bleeding with minor trauma likely 2-5%, for sure < 2%
38
Hemophilia B
**deficiency FIX** - spontaneous internal hemorrhage more common πŸ‘’ very low activity - carriers 40-60% activity - **same lab abnormalities as hemophillia A**
39
Vitamin K deficiency/antagonism
**Vit K dependent factors/proteins** -** II (thrombin), VII, IX, X** - Protein C **Associated with:** - πŸ‘“ absorption πŸ‘’ severe GI dz, liver dz, exocrean pancreatic insuffiency - rodenticide toxicity clinical signs variable
40
Liver Disease | Coagulation
**most coagulation factors made by liver** **severe disease** - PT usually elevated first - similar test pattern to vit K deficiency
41
Disseminated Intravascular Coagulation
**primary + secondary hemostatic disorder** - πŸ‘‘ utilization of platelets + clotting factors πŸ‘’ excessive clotting - πŸ‘‘ fibrinolysis πŸ‘’ excess bleeding **clinical signs of both:** - petechiae - hematoma formation - hematuria **DIC always secondary to another condition** - severe tissue necrosis, sepsis, heatstroke, parvovirus, disseminated neoplasia, pancreatitis, more Need at least 3 of 4 for diagnosis: - πŸ‘“ platelet count - πŸ‘‘ aPTT - πŸ‘‘ PT - πŸ‘‘ FDPs/D-dimers Other abnormalities: - prolonged TT - hypofibrinogenemia - shistocytes - πŸ‘“ ATIII
42
Coagulation