Causes of HF
Ix (lab)
bnp also inreased by glucocorticoids, thyroid hormones, tachycardia
Mx of acute heart failure emergency
Avoid supplemental oxygen if not hypoxaemic since may cause vasoconstriction and reduce cardiac out- put!
If known COPD, hypoxaemia still needs correcting; give high-flow oxygen but monitor closely for CO2 retention (check serial ABG if needed) and reduce flow as soon as possible.

Assessment of LV function (imaging)
& possible findings
an echo helps measure EDV, if large, systolic dysfunction HF is the cause,if small>> diastolic

Which diuretics r thenmost effective?
name 2 & when u would give each?
how is it given?
Loop
Furosemide 40 - 500 mg daily in divided doses. May be given IV, especially when patients are very fluid overloaded. Big doses may be needed in renal impairment.
Better effect is occasionally seen with prolonged infusions (i.e. 250 mg over several hours.
Bumetanide may be better absorbed orally, and may have advantages when patients are markedly oedematous.
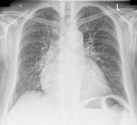
HF CXR sign

A= Alveolar oedema, classically this is perihilar ‘bat’s wing’ shadowing.
B= Kerley B lines—now known as septal lines. These are variously attributed to interstitial oedema and engorged peripheral lym- phatics.
C= Cardiomegaly—cardiothoracic ratio >50% on a PA film.
D= Dilated prominent upper lobe veins (upper lobe diversion).
E= Pleural Effusions.
Other features include peribronchial cuffing (thickened bronchial walls) and fluid in the fissures. (b) ‘Bat’s wing’, peri-hilar pulmonary oedema indicating heart failure and fluid overload.
135

If hypokalemia persists after giveing loop? What can u consider
what is K value that would make u add smthn else
Spirinolactone 25mg OD
if K less than 3.2
eplerenone is an alternative if not tolerated
When is it safe to give B blockers?
the patient’s systolic BP is > 100 mmHg with a resting heart rate > 60 bpm (and no AV block)
no significant postural drop (and they are not dizzy).
It is usually safe to titrate the dose subsequently if the systolic BP is > 90 mmHg with a resting heart rate > 50 bpm and no significant postural drop (and they are not dizzy).
What can u give if BP is low, but u wanna adjust HR.
Ivabridine
warn about flashing lights
If medical therapy fails whats next?
Where medical therapy fails then special pacemaker devices can be used when there is evidence of left bundle branch block (see ECG below).
This means the QRS duration is broad and essentially depolarisation of electricity is delayed from the septum to lateral wall resulting in mechanical reduction.
If we pace at these two points then we can alter the QRS duration to becoming narrow again then the heart muscle can pump normally.
This is called CRT or cardiac resynchronisation pacemaker.

Why is it important to differentiate btw systolic and diastolic dysfunction type HF?
that changes what type of TREATMENT is given
vasodilators r less useful in diastolic dysfunction as high ventricular filling pressures r required
According to nice if ______ &______ is normal, HF is unlikely
if either is abnormal….what do u next
ECG AND BNP
ECHO

Perihilar edema

What is heart failure?
Cardiac output is inadequate to meet the body’s requirements.
· Can be systolic or diastolic but usually both co-exist
Can be left sides or right sided or both (congestive cardiac failure)
Can be acute or chronic
o Acute - venous congestion +/- signs of peripheral hypoperfusion due to decreased arterial pressure
§ New onset acute
§ Decompensation of chronic heart failure (usually severe pulmonary oedema)
o Chronic – progresses slowly, venous congestion common but arterial pressure is maintained till late
Compensatory Mechanisms During Heart Failure
Cardiac
•Tachycardia
Autonomic Nerves
•Increased sympathetic adrenergic activity
•Reduced vagal activity to heart
Hormones
NE and A
•Natriuretic peptides
what is Framingham criteria
Diagnoses heart failure based on major and minor criteria.

function of angiotensin-Neprilysin inhibitors?
enhance natriuretic peptides

chronic heart failure Mx

role of nitrates in acute and chronic HF
reduce preload, reduce PE, reduce V. size
beneficial in using IV nitrites in those with
Acute HF: if there is underlyig ischemia, hypertension, AR, or mitral valve disease
Chronic HF: to releif orthopnea, dyspenea
how does CPAP work?
improves ventilation by recruiting more alveoli, driving fluid out of alveolar spaces and into vasculature (get help before initiating!)

what is the name of the classiifcation

Pathophysiology of HF

Reasons for PND
