Hip dislocation Flashcards

(10 cards)

1
Q

What is the most common cause of hip dislocation?

A

This is usually caused by high energy trauma such as RTA dashboard injury or fall from a height

How well did you know this?
1
Not at all
2
3
4
5
Perfectly
2
Q

What are some possible other injuries occurring with hip dislocation?

A

There is also a risk of posterior acetabular wall fracture and femoral fractures

How well did you know this?
1
Not at all
2
3
4
5
Perfectly
3
Q

What is the most common direction of hip dislocation?

A

Posterior

How well did you know this?
1
Not at all
2
3
4
5
Perfectly
4
Q

How will patients usually present with a hip dislocation?

A

This will present with a flexed, internally rotated and adducted knee

How well did you know this?
1
Not at all
2
3
4
5
Perfectly
5
Q

What are some possible complications of hip dislocation?

A
  • Sciatic nerve palsy
  • Avascular necrosis of the hip
  • Secondary osteoarthritis of the hip
How well did you know this?
1
Not at all
2
3
4
5
Perfectly
6
Q

What investigations are required in hip dislocation?

A

Neurovascular assessment
Radiography
CT

How well did you know this?
1
Not at all
2
3
4
5
Perfectly
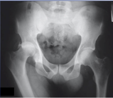
7
Q

What is shown on this X-ray?

A

Hip dislocation

How well did you know this?
1
Not at all
2
3
4
5
Perfectly
8
Q

What is required for early management of hip dislocation?

A
  • Urgent reduction
  • Stabilisation in tractions
How well did you know this?
1
Not at all
2
3
4
5
Perfectly
9
Q

What is the definitive management of hip dislocation?

A

Definitive management then involved fixation of associated pelvic fractures and fixation of other injuries in poly-trauma patients

How well did you know this?
1
Not at all
2
3
4
5
Perfectly
10
Q
A
How well did you know this?
1
Not at all
2
3
4
5
Perfectly