What are the functions of the tight junction or blood testes barrier?

* Barrier: TJs formed between adjacent cells play an essential role in compartmentalization by creating a barrier to restrict the diffusion of solutes through the paracellular pathway
* Fence: TJs also create a boundary between the apical and basolateral domains of a cell, which differe in protein and lipid composition. This in turn creates and maintains epithelial and endothelial cell polarity.
** The BTB also creates an immunological barrier that sequesters antigenic determinants residing on germ cell surfaces from the systemic circulation. This barrier also excludes the entry of circulating immunoglobulins and lymphocytes into the adluminal compartment.





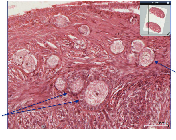
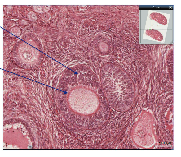
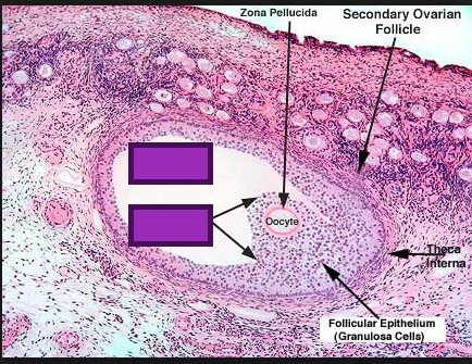
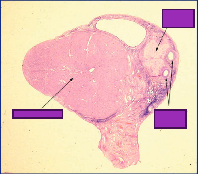
How does the size of the oocyte vary between primordial and secondary follicles?
The oocyte (imature ovum) larger in secondary follicles



follicle cells (membrana granulosa)


What is follicular atresia?
Degeneration of follicles at any stage of their development. The majority of follicles undergo atresia, while those that mature to ovulate are relatively few. The oocyte may degenerate prior to the onset of degeneration of follicular wall or visa versa. During atresia the membrane granulosa and theca interna cells exhibit signs of degeneration such as pyknosis and chromatolysis.
** they may undergo hypertrophy, luteinization, fibrosis, or hyalinisation– which the theca interna and basement membrane may become amorphous and resemble a glassy structure.
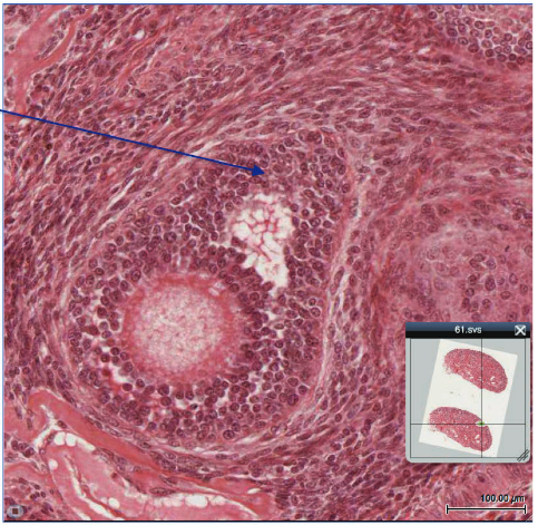
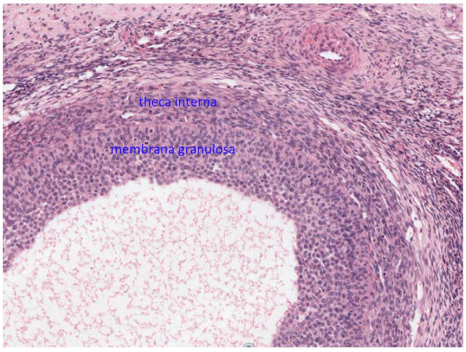
What is the function of the endocrine cells of the theca interna?
The membrana ganulosa cells possess FSH receptors and in late tertiary follicles, LH receptors. The endocrine cells of the theca interna possess LH receptors. LH acts on the endocrine cells of the theca interna to facilitate PRODUCTION OF ANDROGENS. Then passes to the membrana granulosa to produce oestrogens under the influence of FSH. Causing signs of oestrus.
What is in the theca interna layer of the follicle?
Blood vessels
What is meant by luteinization?
Formation of the corpus luteum
* follicle ruptues, wall collapses, walls fold inward and antral cavity is nearly obliterated. Haemorrhage may occur forming CORPUS HEMORRHAGICUM– mostly in the mare, cow, and sow.
* the cells of membrana granulosa and theca interna hypertrophy and multiply to form luteal cells that comprise the corpus luteum


What hormones are produced by the corpus luteum?
* oestrogens, oxytocin, relaxin, progesterone
What is a corpus albicans?
Scar tissue left behind from the regression of the corpus luteum
What biological purpose is served by recurrent formation and regression of corpora lutea?
* prepares the uterus “just in case”– relaxes the muscle, increases uterine secretion
* progesterone and oestrogen are always at opposite ends of the spectrum- progesterone dominates
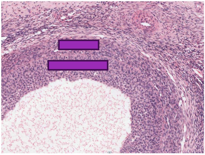
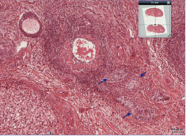
What hormone is primarily responsible for the structure of teh epithelium seen in this slide?
Oestrogen






What two potential animals could this be? Why?

Cords of epithelioid cells occur throughout the stroma of the cortex in bitches and queens.







