
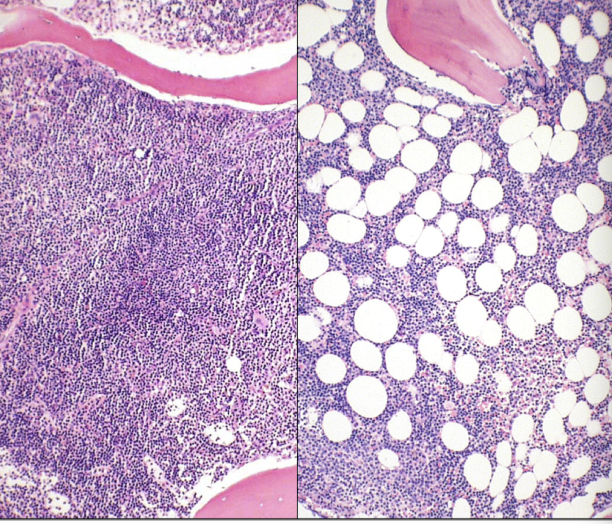
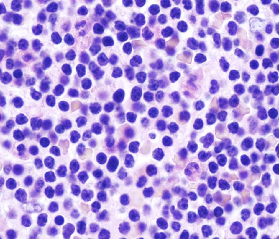
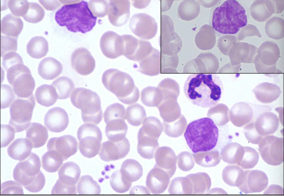
CLL/SLL

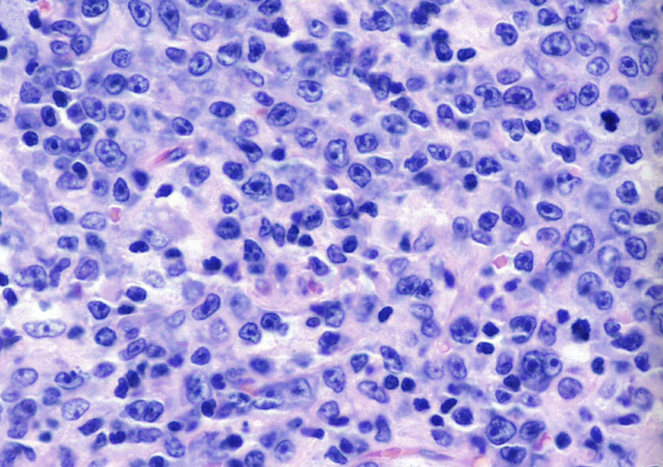
Hodgkin Lymphoma

CLL/SLL

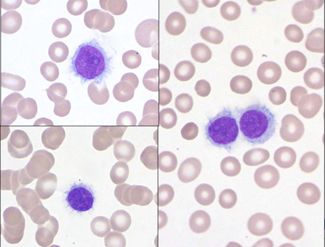
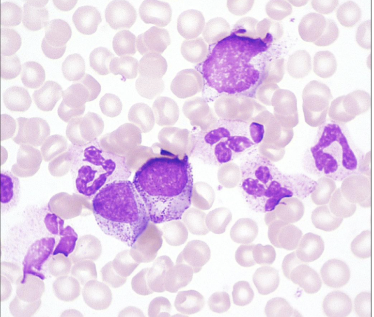
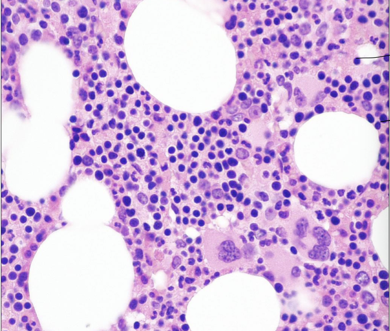
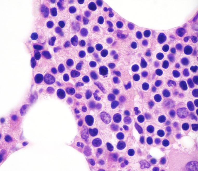
Hairy Cell Leukemia

CLL/SLL

Mycosis Fungoides

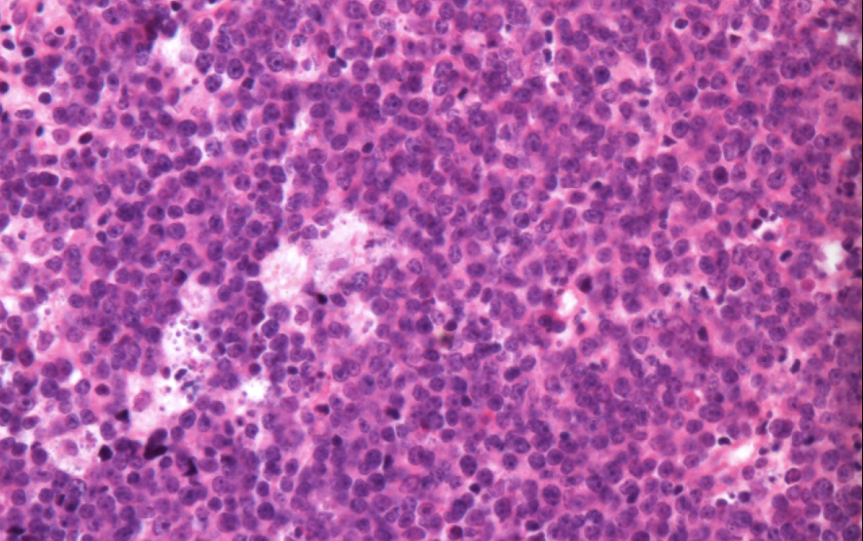
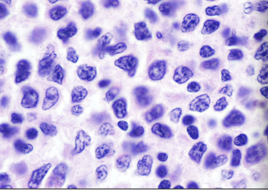
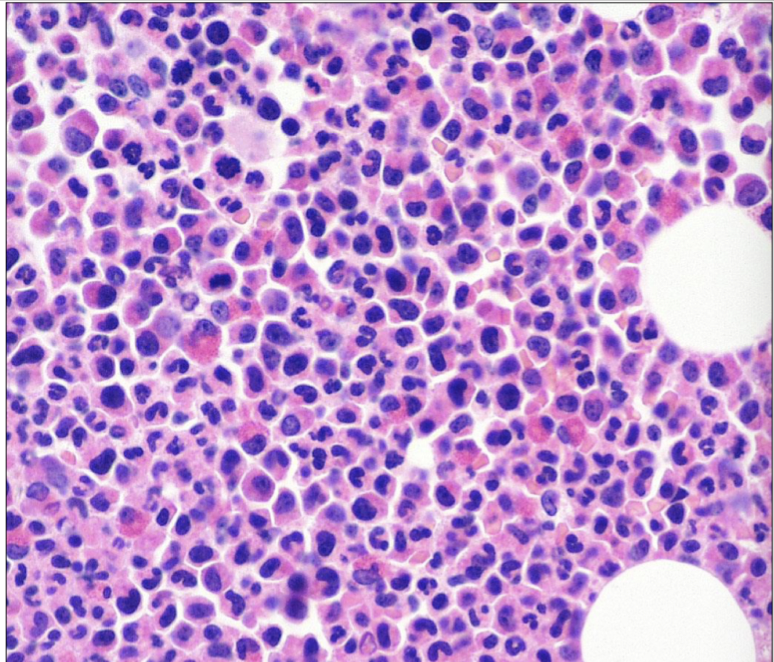
Diffuse large B cell lymphoma

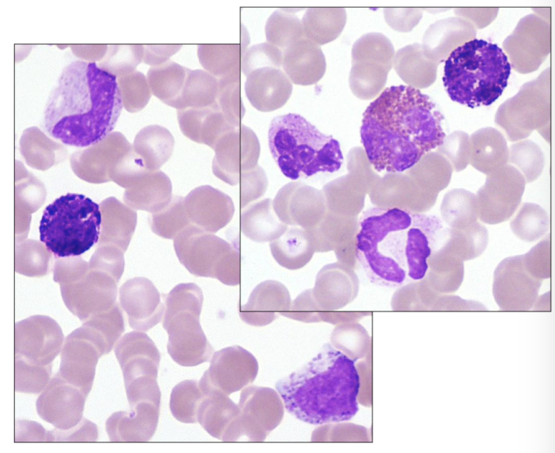
Sezary Syndrome

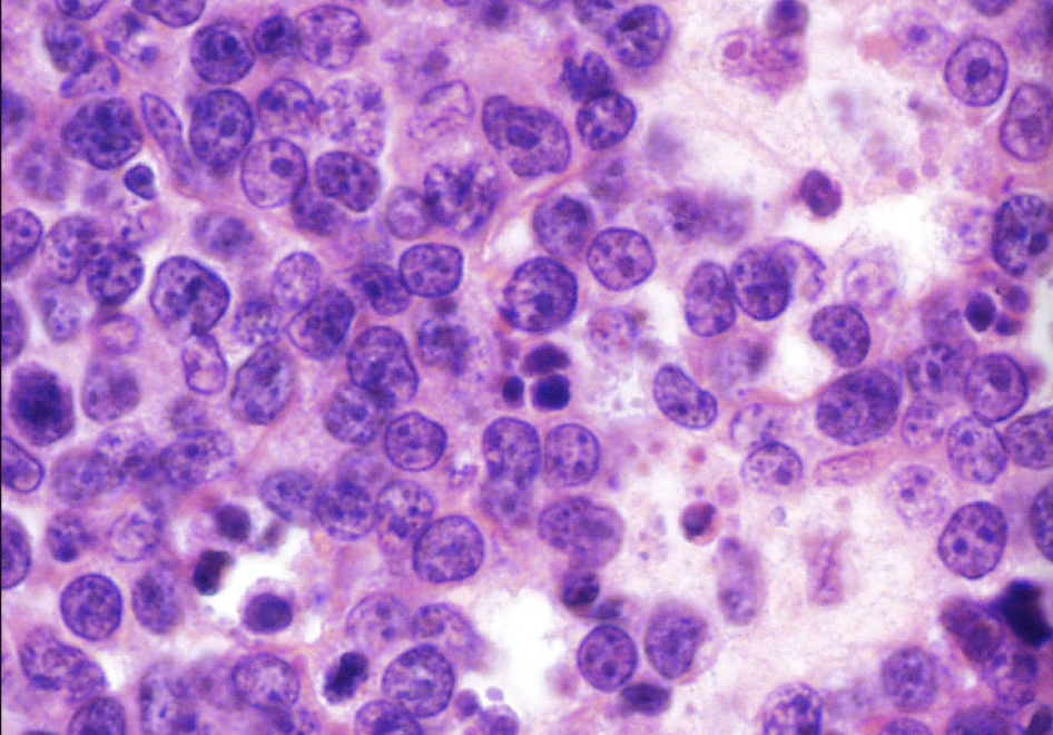
“Starry Night” Burkitt Lymphoma

Mycosis Fungoides
Describe the status of CD20,5,10 and other in CLL/SLL, Hairy Cell, MALT, Follicular, Mantle cell


CLL/SLL
Whats the difference bewtween Hodgkins lymphoma and Non-Hodgkin lymphoma?


Hodgkin Lymphoma

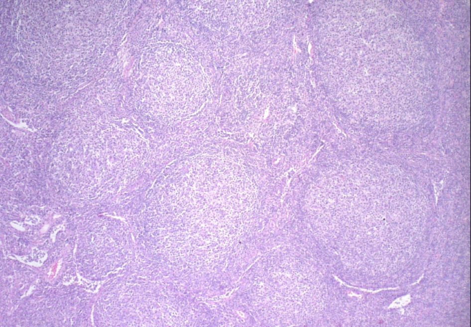
Follicular lymphoma

follicular lymphoma

Burkitt Lymphoma

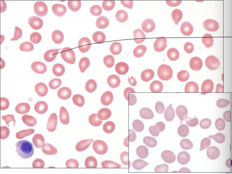
CML

CML

CML

PV

PV

PMF

PMF