What are the main functions of bone?
Outline the composition of bone.
In which part of a bone is the growth plate found?
Metaphysis

What are the main features of cortical bones?
What are the main features of cancellous bones?
Describe the microanatomy of bone.
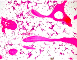
Describe the histological appearance of cancellous bone.
Trabeculae are dark pink areas and in between you will find adipose tissue with haemopoietic cells

What are the three main types of bone cell and what are their roles?

Which protein is important in regulating the action of osteoclasts?
Osteoblasts produce osteoprotegrin which blocks the RANK-RANKL interaction which prevents the differentiation of an osteoclast precursor into a fully functioning osteoclast

Define metabolic bone disease.
A group of diseases characterised by disordered bone turnover due to imbalance of various body chemicals.
NOTE: overall effect tends to be osteopaenia
What are the three main categories of metabolic bone disease?
Where is bone usually sampled from for histological analysis of bone in metabolic bone disease?
Iliac crest
NOTE: the sample be processed and un-decalcified for histomorphometry
Which static parameters are measured in the histological analysis of bone in metabolic bone disease?
Which technique is used to measure histodynamic parameters when investigating metabolic bone disease?
Tetracycline labelling
What are the most common causes of osteoporosis?
90% are due to insufficient calcium intake or post-menopausal oestrogen deficiency
List some primary and secondary causes of osteoporosis.
Broadly speaking, what are the two rutes by which disordered bone turnover can cause osteoporosis?
What are the effects of long-term steroid use on bone?
Describe the ways in which osteoporosis can present.
Which investigations may be used in a patient with suspected osteoporosis?
Which four organs are affected by PTH and have a role in calcium homeostasis?
Define osteomalacia.
Defective bone mineralisation
What two underlying abnormalities can cause osteomalacia?
What is the main histological feature of osteomalacia?
Reduced amount of mineralised bone compared to the amount of osteoid
