
Pseudostratified columnar epithelium

Serous Cell (H&E)

Simple Cuboidal epithelium

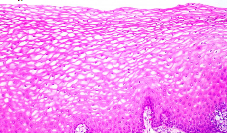
Stratified squamous, non-keratinized

Simple Columnar epithelium

Stratified Cuboidal

Transitional epithelium (Uroepithelium) Stratified and dome cells at apical surface

Stratified Squamous Non-keratinized Epithelium

Simple Cuboidal - epithelial lining

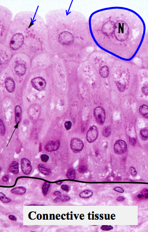
Stratified Squamous

Stratified Columnar

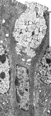
Golblet Cell - Mucous Cell (TEM)

Simple Columnar

Mucous Cell - Goblet (LM, H&E)

Simple Squamous

Simple Cuboidal

Single cell mucous cell - goblet cells

Serous Cell (TEM)

Multicellular Mucous cells (H&E)