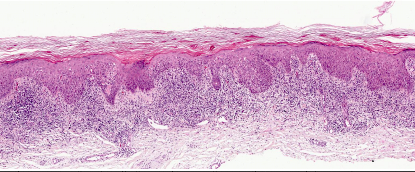
Describe the features
Diagnosis?
DDx?

Describe:
Shave biopsy of skin down to deep dermis
Hyperkeratosis
Band-like lymphohistiocytic infiltrate/lichenoid interface dermatitis
Saw tooth rete ridges
(Inflammation usually limited to superficial dermis, Eos and plasma cells absent or infrequent)
Diagnosis:
Lichen Planus
DDx:
Lichen planus like keratosis (LPLK) - identical histologically, single lesion, often mistaken for BCC
Lichenoid drug reaction - many more eos
Secondary syphillis - plasma cells
Lichen striatus - LP like with lymphocytes around eccrine coil in deep dermis