Compare cytopathology and histopathology.
Cytopathology offers quickassessment of cellular detail butno architectural detail. (e.g. Fine needle aspiration).
Hostopathology looks at intact tissue that is fixed and stained. Processing time is longer but offers greater architecutral detail. (e.g. Cone Biopsy)
What is the NHS breast screening programme?
Women between 50-70 (47-73 in some areas) are offered screening mammograms every 3 years.
What is Fat Necrosis?
An infalmmatory reaction due to damage of adipose tissue, such as due to trauma, surgery or radiotherapy.
It can present with a breast mass and is benign.
What is duct ectasia? How does it present?
Inflammation and dilation of large breast ducts.
Presents with:
Cytology shows proteinaceous material & inflammatory cells.
What is acute mastitis? How does it present and how would you treat it?
Acute infalmmation of the breast tissue, susually due to cracked skin and stasis of milk seen in lactating women.
S. aureus is the most common caustative organism.
Presents with painful red brest.
Treat by draining any abscesses and ABx.
Histology shows increased neutrophils.
Summarise the presentation, epidemiology and histological findings of fibrocystic disease.
Fribocystic disease is the most common beningn breast condition, usually presenting in 30-50 year olds.
It is likely am exaggerated response to normal hormonal influences.
Presents with lump.
On FNA, straw or green coloured liquid.
What are fibroadenomas, their epidemiology, presentation and treatment.
Fibroadenomas are benign fibroepithelial neoplasms of the breast (i.e. glandular and fibrous tissue).
In young women, 20-30.
Present as well circumscribed mobile lumps (Breast Mouse).
Shelling out is curative.

Are phyllodes tumours benign or malignant? How do they present?
Common or uncommon?
What is their discriminating histological appearance?
Phyllodes tumours are a group of fibroepithelial neoplasms as a result of periductal stromal cell overgrowth.
They are uncommon.
They present as a breast mass in women around 50.
Most are benign, but can be aggressive and malignant.
Phyllodes is Greek for leaf; on histology leaf like appearance.
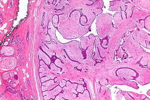
What does this histology section show?

Phyllodes Tumour (Leaf-like appearance)
What is an intraductal papilloma, in what age group are they most common?
What is their appearance on cytology?
A benign tumour that froms in the ducts, most commonly occuring in women 35-50.
It is benign, but excised nontheless.
On cytology, shwos three-dimensional cluster.
Can be central (in large lactiferous ducts) or peripheral (small terminal ductules).
What is a radial scar? How do they appear on mammography? How do we treat them and why?
A benign lesion showing sclerosin duct hyperplasia.
Star-like appearance on mammography.
May indicate disturbance in breast tissue, and sometimes the edges can develop into invasive malignancy, therefore they are excised.

Define Proliferative breast disease, why do we care about it?Name 3 subforms.
Proliferative breast disease is group of non-malignent conditions that is assoiated with an incrased risk of developing breast cancer.
Examples include:
Summarise the histology and prognosis of usual epithelial hyperplasia.
It’s not considered a direct precursor lesion, but is a marker for slightly increased risk for subsequent invasive carcinoma (1.5-2 x increase).
ON histology there is some overgrowth of glandular and epithelial cells and the lumina appear serrated.
Summarise the histology and prognosis of atypicalductal carcinoma.
Atypical ductal carcinoma is likely to represent the earliest morpholgical precursor to low-grade ductal carcinoma in situ.
4x increased risk of developing invasive breast cancer.
On histology there are cribriform areas (punched out appearance).
REMOVE!
Summarise the histology and prognosis of In situ lobula neoplasia.
In situ lobular neoplasia is a risk factor for subsequent invasive breast carcinoma (relative risk 7-12 x increased).
In the acinar unit, there is proliferation and atypical cells are present.
What is Padget’s disease of the breast?
An eczema-like rash afeecting the nipple and adjacent areas, associated with discharge, nipple retraction and altered sensation of the area.
It occurs in 1.4% of breast cancers.

Summarise Ductal Carcinoma in situ. How does it appear on mammography and histology? How is it managed?
Neoplastic epithelial proliferation in the breast with an inherant (bit not inevitable) risk of progreassion to invasive breast carcinoma.
Asymptomatic. On mammography appears as microcalcifications (~85% picked up on screening).
Managed by surgical excision (clear margin excision) -> can be curative.
Recurrance is more likely with extensive disease and high grade DCIS.
What is the lifetime risk for Invasice Breast Cancers?
1:8 women will develop breast cancer in their life, making it the most common cancer in females.
What is the likely underlying aetiology behind invasive breast cancer
Oestrogen exposure (e.g. early menarche, late menopause, nulliparity, increased fat).
A family Hx is important.
Around 5% show clear inheritance (BRCA).
What is the lifetime risk of a BRCA positive woman to develop breast cancer?
85%. This is why in postive woman prophylactic mastectomy with surgical reconstruction is recomended.
What is the name for the grading of invasice breast cancer? What does it entail?
Nottingham modification of Bloom-Richardson criteria.
It looks at:
3 points for each, 3-5 grade 1, 6-7 grade 2, 8-9 grade 3.
What are the 3 receptors included in the “receptor status” of BC?
What is the likely receptor status of low grade and high grade BCs?
Low grade: ER and PR positive, Her2 negative.
High grade: ER and PR negative, Her2 positive.
What is the generic and the brand name for the monoclonal Ab that binds Her2.
Trastuzumab, aka Herceptin.