What is this?

US of the testis
What is this?

Normal right testicle and epidimymis
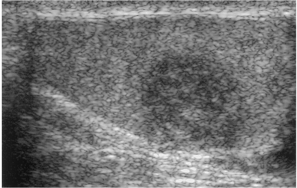
What is this?

Testicular ultrasound
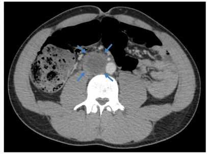
What kidn of imaging is this and what is shown?


What kind of imaging is this and what is shown?

What is this?

Lumen in the middle
Can see muscle mass around the outside
Ductus deferens
What are the features for a ductus deferens?

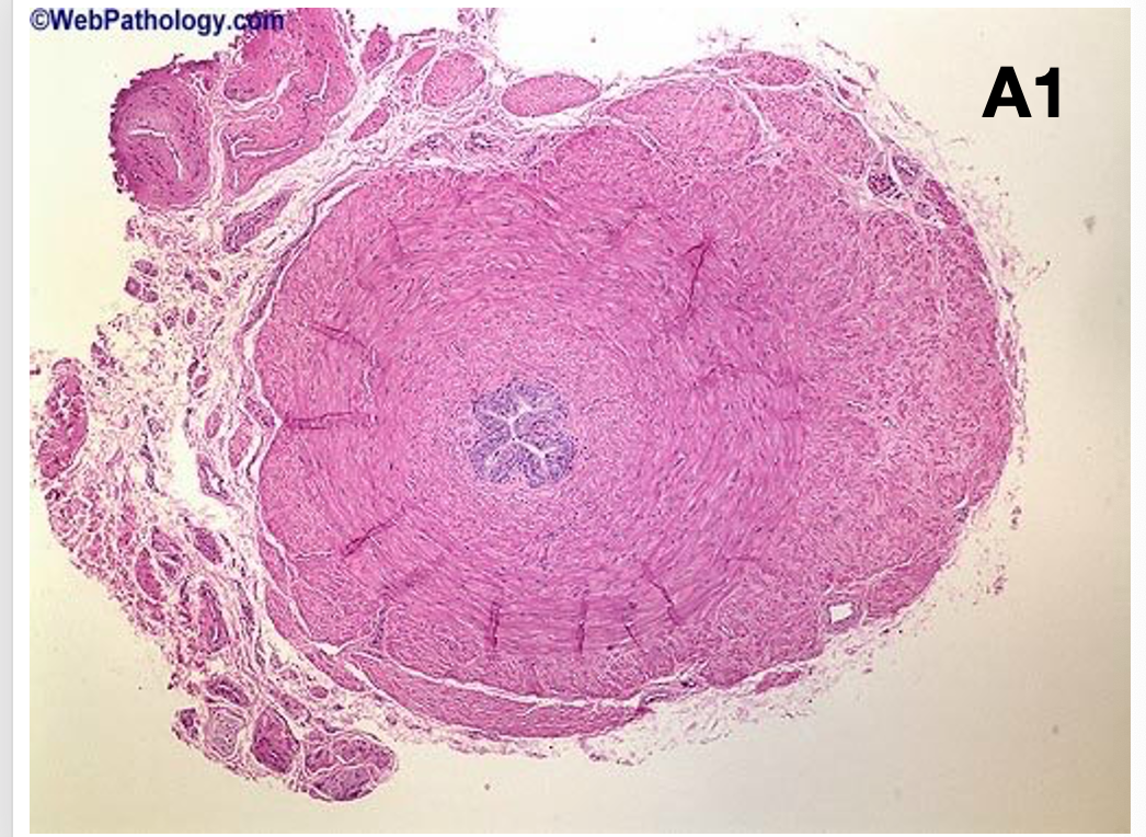
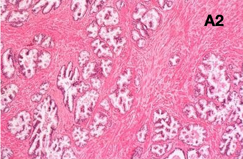
What is this?

Prostate- Fibromuscular glandular
Glands are in white
Pink is fibrous stoma
What are features of spot diagnosis of prostate?

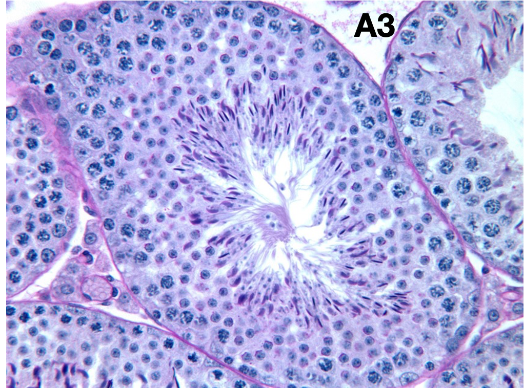
What is shown?

Basement membrane around outside in pink
Spermatogonium are seen
This is a section of the seminefrous tubules
What are the featurs of testis spot diagnosis?

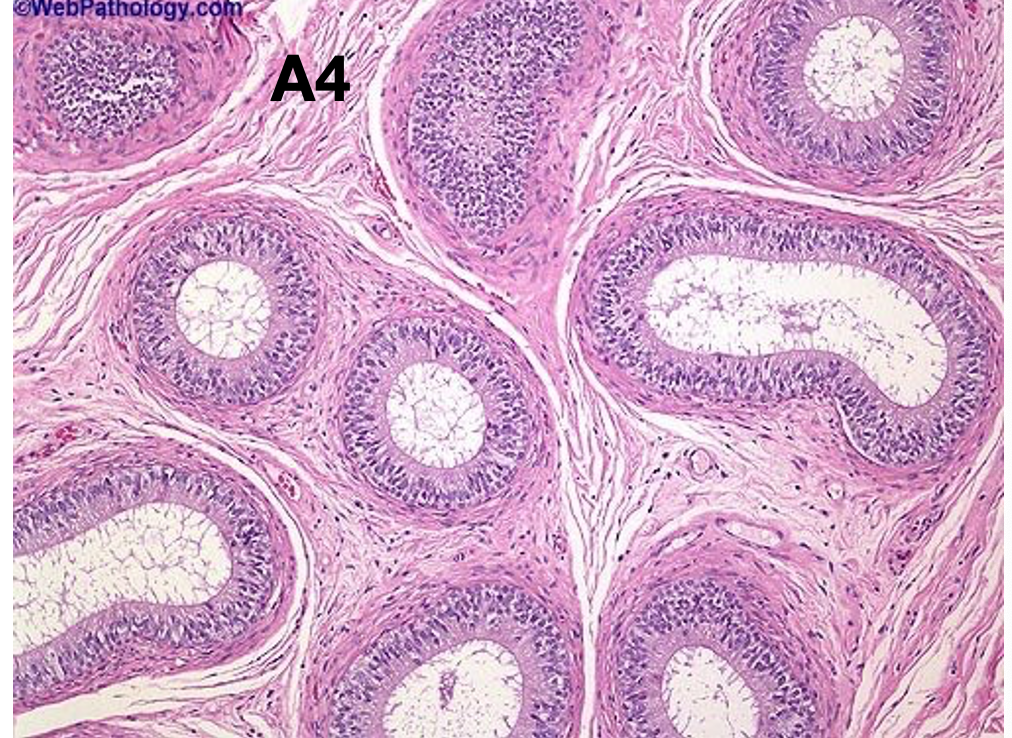
What is seen in this image?

Can see the lumen as a tubular structure
Pseudostratified epithelium- Nucleus at different levels from each cell
Epidiymis
What are the features of spot diagnosis of epididmyis?

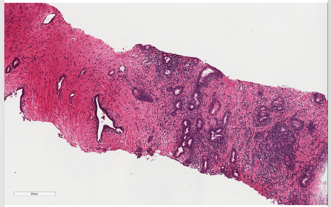
What is shown here?

Blue cells agreggatred
Get a lot of infiltration of inflammatory cells
Chronic inflammation is shown here
What is prostatitis?
Inflammatory conditions of the prostate
Common
What are the symptoms of prostatitis?

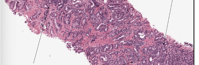
What is this?

Normal prostate
What is this?

Prostatic cancer
What are the grades shown at different locations?


What is seen in prostate carcinoma?

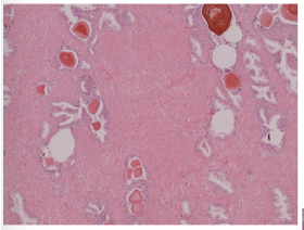
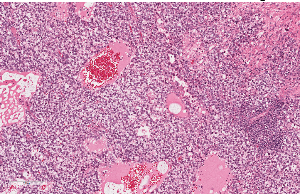
What is shown here?

Testis
Lot of abnormal cells
Infiltration of lymphocytes
Blood vessels
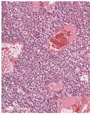
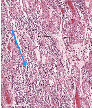
What is shown here and what is the label?


What is shown here?

Little bit of invasion of normal testicular structure
What is labelled and what is shown here?

