What are the three types of cartilage?
Hyaline Fibrous Elastic
Where can you find hyaline cartilage?
Tracheal cartilage
Where can you find fibrous cartilage?
Intervertebral discs
Where can you find elastic cartilage?
Pinna (external ear)
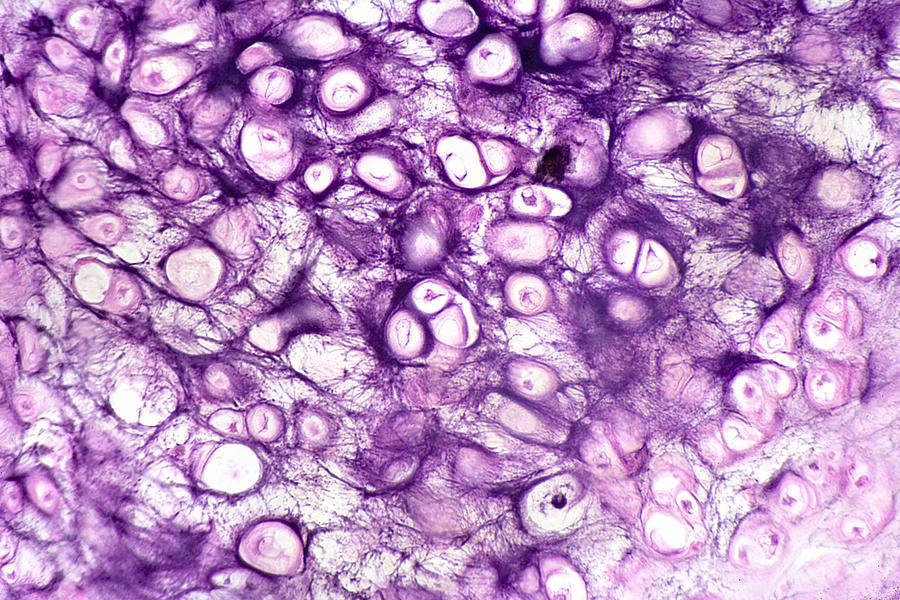
What kind of cartilage is this?

Hyaline / Smooth Cartilage
What kind of cartilage is this?

Fibrous Cartilage
What kind of cartilage is this?

Elastic Cartilage
What are the 8 types of bone cancer?
1) Myeloma
2) Chondrosarcoma
3) Osteosarcoma
4) Ewing Sarcoma
5) Enchondroma
6) Osteoblastoma
7) Osteochondroma
8) Metastatic adenocarcinoma
What is the difference between sarcoma and carcinoma?
Sarcoma - Malignancy of connective tissue
Carcinoma - Malignancy of epithelial tissue