HSV Flashcards

(21 cards)

1
Q

What is the presentation

A

primary infection: may present with a severe gingivostomatitis
cold sores
painful genital ulceration

How well did you know this?
1
Not at all
2
3
4
5
Perfectly
2
Q

What is the management of gingivostomatitis

A

Oral acyclovir and chlorhexadine mouthwash

How well did you know this?
1
Not at all
2
3
4
5
Perfectly
3
Q

What is the treatment for cold sores

A

topical aciclovir although the evidence base for this is modest

How well did you know this?
1
Not at all
2
3
4
5
Perfectly
4
Q

What is the management for genital herpes

A

Oral aciclovir
general measures include:
saline bathing
analgesia
topical anaesthetic agents e.g. lidocaine

How well did you know this?
1
Not at all
2
3
4
5
Perfectly
5
Q

When is ceserean recommended

A

If a primary attack of herpes occurs during a pregnancy of 28 weeks=< gestation

How well did you know this?
1
Not at all
2
3
4
5
Perfectly
6
Q

What should be given to women with recurrent herpes

A

suppressive therapy during pregnancy

How well did you know this?
1
Not at all
2
3
4
5
Perfectly
7
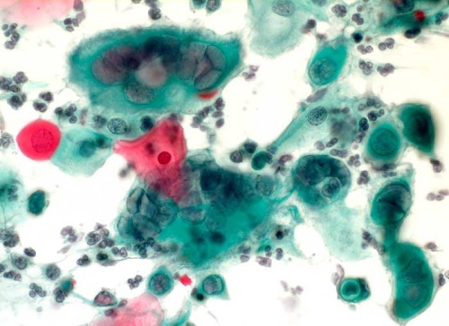
Q

How does it present on a Pap smear

A

Multinucleated giant cells representing infection by the herpes simplex virus. Note the 3 M’s; Multinucleation, Margination of the chromatin, Molding of the nuclei

How well did you know this?
1
Not at all
2
3
4
5
Perfectly
8
Q

How does genital herpes present

A

Painful genital ulceration
dysuria and pruritis
the primary infection is often more severe than recurrent episodes
systemic features such as headache, fever and malaise are more common in primary episodes
tender inguinal lymphadenopathy
urinary retention may occur

How well did you know this?
1
Not at all
2
3
4
5
Perfectly
9
Q

What Is the investigation of choice

A

nucleic acid amplification tests (NAAT) is the investigation of choice in genital herpes and are now considered superior to viral culture
HSV serology may be useful in certain situations such as recurrent genital ulceration of unknown cause

How well did you know this?
1
Not at all
2
3
4
5
Perfectly
10
Q

What is herpes simplex keratitis

A

Dendritic corneal ulcer

How well did you know this?
1
Not at all
2
3
4
5
Perfectly
11
Q

What are the features of herpes simplex keratitis

A

red, painful eye
photophobia
epiphora
visual acuity may be decreased
fluorescein staining may show an epithelial ulcer

How well did you know this?
1
Not at all
2
3
4
5
Perfectly
12
Q

What is the management of herpes keratitis

A

immediate referral to an ophthalmologist
topical aciclovir

How well did you know this?
1
Not at all
2
3
4
5
Perfectly
13
Q

where does herpes simplex encephalitis effect

A

virus characteristically affects the temporal lobes AND INFERIOR FRONTAL

How well did you know this?
1
Not at all
2
3
4
5
Perfectly
14
Q

What are the features of herpes encephalitis

A

Fever, headache, psychiatric symptoms, seizures, vomiting
focal features e.g. aphasia
peripheral lesions (e.g. cold sores) have no relation to the presence of HSV encephalitis

How well did you know this?
1
Not at all
2
3
4
5
Perfectly
15
Q

What is the cause

A

HSV 1

How well did you know this?
1
Not at all
2
3
4
5
Perfectly
16
Q

What is the investigations For HSV E

A

CSF, PCR, CT, MRI, EEG

17
Q

What is seen in CSF

A

lymphocytosis, elevated protein

18
Q

What is seen on CT

A

medial temporal and inferior frontal changes (e.g. petechial haemorrhages) - normal in one-third of patients

19
Q

What is seen on EEG

A

lateralised periodic discharges at 2HZ

20
Q

How to treat HSV E

21
Q

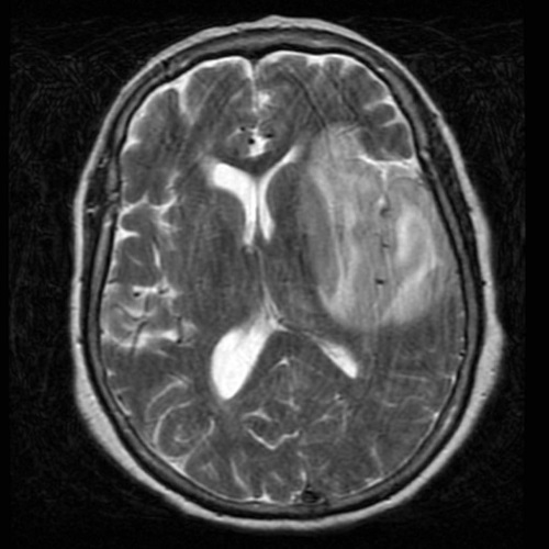
How does HSV Encephalitis it look on MRI

A

There is hyperintensity of the affected white matter and cortex in the medial temporal lobes and insular cortex.